比较定量成像生物标志物联盟体积CT分类与RECIST反应分类。

Radiology advances Pub Date : 2025-01-06 eCollection Date: 2025-01-01 DOI:10.1093/radadv/umaf001
Binsheng Zhao, Nancy Obuchowski, Hao Yang, Yen Chou, Hong Ma, Pingzhen Guo, Ying Tang, Lawrence Schwartz, Daniel Sullivan
{"title":"比较定量成像生物标志物联盟体积CT分类与RECIST反应分类。","authors":"Binsheng Zhao, Nancy Obuchowski, Hao Yang, Yen Chou, Hong Ma, Pingzhen Guo, Ying Tang, Lawrence Schwartz, Daniel Sullivan","doi":"10.1093/radadv/umaf001","DOIUrl":null,"url":null,"abstract":"<p><strong>Purpose: </strong>To assess agreement between CT volumetry change classifications derived from Quantitative Imaging Biomarker Alliance Profile cut-points (ie, QIBA CTvol classifications) and the Response Evaluation Criteria in Solid Tumors (RECIST) categories.</p><p><strong>Materials and methods: </strong>Target lesions in lung, liver, and lymph nodes were randomly chosen from patients in 10 historical clinical trials for various cancers, ensuring a balanced representation of lesion types, diameter ranges described in the QIBA Profile, and variations in change magnitudes. Three radiologists independently segmented these lesions at baseline and follow-up scans using 2 software tools. Two types of predefined disagreements were assessed: Type I: substantive disagreement, where the disagreement between QIBA CTvol classifications and RECIST categories could not be attributed to the improved sensitivity of volumetry in detecting changes; and Type II: disagreement potentially arising from the improved sensitivity of volumetry in detecting changes. The proportion of lesions with disagreements between QIBA CTvol and RECIST, as well as the type of disagreements, was reported along with 95% CIs, both overall and within subgroups representing various factors.</p><p><strong>Results: </strong>A total of 2390 measurements from 478 lesions (158 lungs, 170 livers, 150 lymph nodes) in 281 patients were included. QIBA CTvol agreed with RECIST in 66.6% of interpretations. Of the 33.4% of interpretations with discrepancies, substantive disagreement (Type I) occurred in only 1.5% (95% CI: [0.8%, 2.1%]). Factors such as scanner vendor (<i>P</i> = .584), segmentation tool (<i>P</i> = .331), and lesion type (<i>P</i> = .492) were not significant predictors of disagreement. Significantly more disagreements were observed for larger lesions (≥50 mm, as defined in the QIBA Profile).</p><p><strong>Conclusion: </strong>We conclude that QIBA CTvol classifications agree with RECIST categories.</p>","PeriodicalId":519940,"journal":{"name":"Radiology advances","volume":"2 1","pages":"umaf001"},"PeriodicalIF":0.0000,"publicationDate":"2025-01-06","publicationTypes":"Journal Article","fieldsOfStudy":null,"isOpenAccess":false,"openAccessPdf":"https://www.ncbi.nlm.nih.gov/pmc/articles/PMC11739520/pdf/","citationCount":"0","resultStr":"{\"title\":\"Comparing quantitative imaging biomarker alliance volumetric CT classifications with RECIST response categories.\",\"authors\":\"Binsheng Zhao, Nancy Obuchowski, Hao Yang, Yen Chou, Hong Ma, Pingzhen Guo, Ying Tang, Lawrence Schwartz, Daniel Sullivan\",\"doi\":\"10.1093/radadv/umaf001\",\"DOIUrl\":null,\"url\":null,\"abstract\":\"<p><strong>Purpose: </strong>To assess agreement between CT volumetry change classifications derived from Quantitative Imaging Biomarker Alliance Profile cut-points (ie, QIBA CTvol classifications) and the Response Evaluation Criteria in Solid Tumors (RECIST) categories.</p><p><strong>Materials and methods: </strong>Target lesions in lung, liver, and lymph nodes were randomly chosen from patients in 10 historical clinical trials for various cancers, ensuring a balanced representation of lesion types, diameter ranges described in the QIBA Profile, and variations in change magnitudes. Three radiologists independently segmented these lesions at baseline and follow-up scans using 2 software tools. Two types of predefined disagreements were assessed: Type I: substantive disagreement, where the disagreement between QIBA CTvol classifications and RECIST categories could not be attributed to the improved sensitivity of volumetry in detecting changes; and Type II: disagreement potentially arising from the improved sensitivity of volumetry in detecting changes. The proportion of lesions with disagreements between QIBA CTvol and RECIST, as well as the type of disagreements, was reported along with 95% CIs, both overall and within subgroups representing various factors.</p><p><strong>Results: </strong>A total of 2390 measurements from 478 lesions (158 lungs, 170 livers, 150 lymph nodes) in 281 patients were included. QIBA CTvol agreed with RECIST in 66.6% of interpretations. Of the 33.4% of interpretations with discrepancies, substantive disagreement (Type I) occurred in only 1.5% (95% CI: [0.8%, 2.1%]). Factors such as scanner vendor (<i>P</i> = .584), segmentation tool (<i>P</i> = .331), and lesion type (<i>P</i> = .492) were not significant predictors of disagreement. Significantly more disagreements were observed for larger lesions (≥50 mm, as defined in the QIBA Profile).</p><p><strong>Conclusion: </strong>We conclude that QIBA CTvol classifications agree with RECIST categories.</p>\",\"PeriodicalId\":519940,\"journal\":{\"name\":\"Radiology advances\",\"volume\":\"2 1\",\"pages\":\"umaf001\"},\"PeriodicalIF\":0.0000,\"publicationDate\":\"2025-01-06\",\"publicationTypes\":\"Journal Article\",\"fieldsOfStudy\":null,\"isOpenAccess\":false,\"openAccessPdf\":\"https://www.ncbi.nlm.nih.gov/pmc/articles/PMC11739520/pdf/\",\"citationCount\":\"0\",\"resultStr\":null,\"platform\":\"Semanticscholar\",\"paperid\":null,\"PeriodicalName\":\"Radiology advances\",\"FirstCategoryId\":\"1085\",\"ListUrlMain\":\"https://doi.org/10.1093/radadv/umaf001\",\"RegionNum\":0,\"RegionCategory\":null,\"ArticlePicture\":[],\"TitleCN\":null,\"AbstractTextCN\":null,\"PMCID\":null,\"EPubDate\":\"2025/1/1 0:00:00\",\"PubModel\":\"eCollection\",\"JCR\":\"\",\"JCRName\":\"\",\"Score\":null,\"Total\":0}","platform":"Semanticscholar","paperid":null,"PeriodicalName":"Radiology advances","FirstCategoryId":"1085","ListUrlMain":"https://doi.org/10.1093/radadv/umaf001","RegionNum":0,"RegionCategory":null,"ArticlePicture":[],"TitleCN":null,"AbstractTextCN":null,"PMCID":null,"EPubDate":"2025/1/1 0:00:00","PubModel":"eCollection","JCR":"","JCRName":"","Score":null,"Total":0}
引用次数: 0

摘要

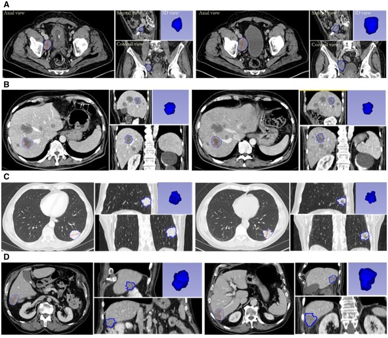
目的:评估定量成像生物标志物联盟剖面切点(即QIBA CTvol分类)得出的CT体积变化分类与实体肿瘤反应评价标准(RECIST)分类之间的一致性。材料和方法:从10个不同癌症的历史临床试验中随机选择肺、肝和淋巴结的靶病变,以确保病变类型、QIBA Profile中描述的直径范围和变化幅度的变化具有平衡的代表性。三名放射科医生使用两种软件工具在基线和随访扫描时独立分割这些病变。评估了两种预先定义的差异:类型I:实质性差异,QIBA CTvol分类和RECIST分类之间的差异不能归因于体积法检测变化的灵敏度提高;第二类:可能由于体积法检测变化的灵敏度提高而引起的分歧。报告了QIBA CTvol和RECIST之间不一致的病变比例,以及不一致的类型,以及95%的ci,包括总体和代表各种因素的亚组。结果:共纳入281例患者的478个病变(158个肺,170个肝脏,150个淋巴结)的2390个测量值。QIBA CTvol在66.6%的解释中与RECIST一致。在33.4%有差异的解释中,只有1.5%发生了实质性的分歧(I型)(95% CI:[0.8%, 2.1%])。诸如扫描仪供应商(P = .584)、分割工具(P = .331)和病变类型(P = .492)等因素不是差异的显著预测因素。对于较大的病变(≥50mm,根据QIBA Profile的定义),观察到更多的分歧。结论:QIBA CTvol分类与RECIST分类一致。
本文章由计算机程序翻译,如有差异,请以英文原文为准。

Comparing quantitative imaging biomarker alliance volumetric CT classifications with RECIST response categories.

Comparing quantitative imaging biomarker alliance volumetric CT classifications with RECIST response categories.

Comparing quantitative imaging biomarker alliance volumetric CT classifications with RECIST response categories.

Comparing quantitative imaging biomarker alliance volumetric CT classifications with RECIST response categories.

Purpose: To assess agreement between CT volumetry change classifications derived from Quantitative Imaging Biomarker Alliance Profile cut-points (ie, QIBA CTvol classifications) and the Response Evaluation Criteria in Solid Tumors (RECIST) categories.

Materials and methods: Target lesions in lung, liver, and lymph nodes were randomly chosen from patients in 10 historical clinical trials for various cancers, ensuring a balanced representation of lesion types, diameter ranges described in the QIBA Profile, and variations in change magnitudes. Three radiologists independently segmented these lesions at baseline and follow-up scans using 2 software tools. Two types of predefined disagreements were assessed: Type I: substantive disagreement, where the disagreement between QIBA CTvol classifications and RECIST categories could not be attributed to the improved sensitivity of volumetry in detecting changes; and Type II: disagreement potentially arising from the improved sensitivity of volumetry in detecting changes. The proportion of lesions with disagreements between QIBA CTvol and RECIST, as well as the type of disagreements, was reported along with 95% CIs, both overall and within subgroups representing various factors.

Results: A total of 2390 measurements from 478 lesions (158 lungs, 170 livers, 150 lymph nodes) in 281 patients were included. QIBA CTvol agreed with RECIST in 66.6% of interpretations. Of the 33.4% of interpretations with discrepancies, substantive disagreement (Type I) occurred in only 1.5% (95% CI: [0.8%, 2.1%]). Factors such as scanner vendor (P = .584), segmentation tool (P = .331), and lesion type (P = .492) were not significant predictors of disagreement. Significantly more disagreements were observed for larger lesions (≥50 mm, as defined in the QIBA Profile).

Conclusion: We conclude that QIBA CTvol classifications agree with RECIST categories.

求助全文
通过发布文献求助,成功后即可免费获取论文全文。 去求助
来源期刊
自引率
0.00%
发文量
0
×
引用
GB/T 7714-2015
复制
MLA
复制
APA
复制
导出至
BibTeX EndNote RefMan NoteFirst NoteExpress
×
提示
您的信息不完整,为了账户安全,请先补充。
现在去补充
×
提示
您因"违规操作"
具体请查看互助需知
我知道了
×
提示
确定
请完成安全验证×
copy
已复制链接
快去分享给好友吧!
我知道了
右上角分享
点击右上角分享
0
联系我们:info@booksci.cn Book学术提供免费学术资源搜索服务,方便国内外学者检索中英文文献。致力于提供最便捷和优质的服务体验。 Copyright © 2023 布克学术 All rights reserved.
京ICP备2023020795号-1
ghs 京公网安备 11010802042870号
Book学术文献互助
Book学术文献互助群
群 号:604180095
Book学术官方微信