下颌外侧异位1例。

National journal of maxillofacial surgery Pub Date : 2024-09-01 Epub Date: 2024-11-16 DOI:10.4103/njms.njms_202_22
Sudhir Ramisetti, Kollu Anusha, Thota Avinash, B Sashi Venkat Prathyush
{"title":"下颌外侧异位1例。","authors":"Sudhir Ramisetti, Kollu Anusha, Thota Avinash, B Sashi Venkat Prathyush","doi":"10.4103/njms.njms_202_22","DOIUrl":null,"url":null,"abstract":"<p><p>Ectopic thyroid is a rare congenital anomaly that results from failure of decent from the foramen cecum to the primitive thyroid during the stage of embryogenesis. The specific prevalence ranges from 1 in 100,000-300,000 population. Development, genetics, and mutation play a role in the formation of ectopic thyroid. The most common location of ectopic thyroid is at the base of the tongue, followed by sub-mandibular, pre-tracheal, esophageal, mediastinum, diaphragm, and other rare sites. Lateral ectopic thyroid is further a rare clinical entity which is formed due the failure of descend of the lateral thyroid component to the midline with a euthyroid in its normal anatomical position. Here, we present a case report of lateral ectopic thyroid which ordinarily does not flash as a diagnosis title for a painless, firm mass on the lateral aspect of the mandible, making the treatment plan inconclusive. Clinical, radiographic, laboratory tests with a histopathalogical examination make a categorical and final treatment for the ectopic thyroid. Regular follow-up with a euthyroid state maintenance gives a cherishing and positive output for the patient.</p>","PeriodicalId":101444,"journal":{"name":"National journal of maxillofacial surgery","volume":"15 3","pages":"540-543"},"PeriodicalIF":0.0000,"publicationDate":"2024-09-01","publicationTypes":"Journal Article","fieldsOfStudy":null,"isOpenAccess":false,"openAccessPdf":"https://www.ncbi.nlm.nih.gov/pmc/articles/PMC11737579/pdf/","citationCount":"0","resultStr":"{\"title\":\"Mandibular lateral ectopia: A rare case presentation.\",\"authors\":\"Sudhir Ramisetti, Kollu Anusha, Thota Avinash, B Sashi Venkat Prathyush\",\"doi\":\"10.4103/njms.njms_202_22\",\"DOIUrl\":null,\"url\":null,\"abstract\":\"<p><p>Ectopic thyroid is a rare congenital anomaly that results from failure of decent from the foramen cecum to the primitive thyroid during the stage of embryogenesis. The specific prevalence ranges from 1 in 100,000-300,000 population. Development, genetics, and mutation play a role in the formation of ectopic thyroid. The most common location of ectopic thyroid is at the base of the tongue, followed by sub-mandibular, pre-tracheal, esophageal, mediastinum, diaphragm, and other rare sites. Lateral ectopic thyroid is further a rare clinical entity which is formed due the failure of descend of the lateral thyroid component to the midline with a euthyroid in its normal anatomical position. Here, we present a case report of lateral ectopic thyroid which ordinarily does not flash as a diagnosis title for a painless, firm mass on the lateral aspect of the mandible, making the treatment plan inconclusive. Clinical, radiographic, laboratory tests with a histopathalogical examination make a categorical and final treatment for the ectopic thyroid. Regular follow-up with a euthyroid state maintenance gives a cherishing and positive output for the patient.</p>\",\"PeriodicalId\":101444,\"journal\":{\"name\":\"National journal of maxillofacial surgery\",\"volume\":\"15 3\",\"pages\":\"540-543\"},\"PeriodicalIF\":0.0000,\"publicationDate\":\"2024-09-01\",\"publicationTypes\":\"Journal Article\",\"fieldsOfStudy\":null,\"isOpenAccess\":false,\"openAccessPdf\":\"https://www.ncbi.nlm.nih.gov/pmc/articles/PMC11737579/pdf/\",\"citationCount\":\"0\",\"resultStr\":null,\"platform\":\"Semanticscholar\",\"paperid\":null,\"PeriodicalName\":\"National journal of maxillofacial surgery\",\"FirstCategoryId\":\"1085\",\"ListUrlMain\":\"https://doi.org/10.4103/njms.njms_202_22\",\"RegionNum\":0,\"RegionCategory\":null,\"ArticlePicture\":[],\"TitleCN\":null,\"AbstractTextCN\":null,\"PMCID\":null,\"EPubDate\":\"2024/11/16 0:00:00\",\"PubModel\":\"Epub\",\"JCR\":\"\",\"JCRName\":\"\",\"Score\":null,\"Total\":0}","platform":"Semanticscholar","paperid":null,"PeriodicalName":"National journal of maxillofacial surgery","FirstCategoryId":"1085","ListUrlMain":"https://doi.org/10.4103/njms.njms_202_22","RegionNum":0,"RegionCategory":null,"ArticlePicture":[],"TitleCN":null,"AbstractTextCN":null,"PMCID":null,"EPubDate":"2024/11/16 0:00:00","PubModel":"Epub","JCR":"","JCRName":"","Score":null,"Total":0}
引用次数: 0

摘要

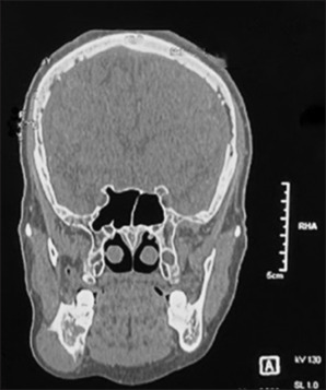
异位甲状腺是一种罕见的先天性异常,是由于胚胎发生阶段盲肠孔到原始甲状腺的管道失败而导致的。具体患病率为10 -30万分之一。发育、遗传和突变在异位甲状腺的形成中起作用。异位甲状腺最常见的位置是舌底,其次是下颌下、气管前、食管、纵隔、隔膜和其他罕见的部位。另外,侧异位甲状腺是一种罕见的临床疾病,它是由于甲状腺外侧部分未能下降到中线而形成的,正常解剖位置的正常甲状腺。在这里,我们提出一个病例报告的外侧异位甲状腺,通常不闪作为一个无痛的诊断标题,坚定的肿块在下颌骨的侧面,使治疗计划不确定。临床,放射学,实验室检查和组织病理学检查对异位甲状腺进行分类和最终治疗。定期随访并保持甲状腺功能正常,为患者提供了珍惜和积极的输出。
本文章由计算机程序翻译,如有差异,请以英文原文为准。

Mandibular lateral ectopia: A rare case presentation.

Mandibular lateral ectopia: A rare case presentation.

Mandibular lateral ectopia: A rare case presentation.

Mandibular lateral ectopia: A rare case presentation.

Ectopic thyroid is a rare congenital anomaly that results from failure of decent from the foramen cecum to the primitive thyroid during the stage of embryogenesis. The specific prevalence ranges from 1 in 100,000-300,000 population. Development, genetics, and mutation play a role in the formation of ectopic thyroid. The most common location of ectopic thyroid is at the base of the tongue, followed by sub-mandibular, pre-tracheal, esophageal, mediastinum, diaphragm, and other rare sites. Lateral ectopic thyroid is further a rare clinical entity which is formed due the failure of descend of the lateral thyroid component to the midline with a euthyroid in its normal anatomical position. Here, we present a case report of lateral ectopic thyroid which ordinarily does not flash as a diagnosis title for a painless, firm mass on the lateral aspect of the mandible, making the treatment plan inconclusive. Clinical, radiographic, laboratory tests with a histopathalogical examination make a categorical and final treatment for the ectopic thyroid. Regular follow-up with a euthyroid state maintenance gives a cherishing and positive output for the patient.

求助全文
通过发布文献求助,成功后即可免费获取论文全文。 去求助
来源期刊
CiteScore
1.20
自引率
0.00%
发文量
0
×
引用
GB/T 7714-2015
复制
MLA
复制
APA
复制
导出至
BibTeX EndNote RefMan NoteFirst NoteExpress
×
提示
您的信息不完整,为了账户安全,请先补充。
现在去补充
×
提示
您因"违规操作"
具体请查看互助需知
我知道了
×
提示
确定
请完成安全验证×
copy
已复制链接
快去分享给好友吧!
我知道了
右上角分享
点击右上角分享
0
联系我们:info@booksci.cn Book学术提供免费学术资源搜索服务,方便国内外学者检索中英文文献。致力于提供最便捷和优质的服务体验。 Copyright © 2023 布克学术 All rights reserved.
京ICP备2023020795号-1
ghs 京公网安备 11010802042870号
Book学术文献互助
Book学术文献互助群
群 号:604180095
Book学术官方微信