通过靶向NLRP3炎性体的益生菌制剂调节帕金森病小鼠肠道炎症和保护多巴胺能神经元

IF 3.5
Liping Zhou, Ka Ying Wong, Hongxiang Xie
{"title":"通过靶向NLRP3炎性体的益生菌制剂调节帕金森病小鼠肠道炎症和保护多巴胺能神经元","authors":"Liping Zhou, Ka Ying Wong, Hongxiang Xie","doi":"10.1007/s11481-024-10163-5","DOIUrl":null,"url":null,"abstract":"<p><p>Emerging evidence highlights the significance of peripheral inflammation in the pathogenesis of Parkinson's disease (PD) and suggests the gut as a viable therapeutic target. This study aimed to explore the neuroprotective effects of the probiotic formulation VSL#3<sup>®</sup> and its underlying mechanism in a PD mouse model induced by MPTP. Following MPTP administration, the striatal levels of dopamine and its metabolites, as along with the survival rate of dopaminergic neurons in the substantia nigra, were significantly reduced in PD mice. MPTP also significantly increased the mRNA expression of pro-inflammatory cytokines TNF-α and IL-1β, while reducing anti-inflammation mediators, like glia cell line-derived neurotrophic factor (GDNF) and brain-derived neurotrophic factor (BDNF) in the striatum. These pathological changes were notably mitigated by VSL#3<sup>®</sup> treatment, suggesting its neuroprotective and anti-inflammatory effects in the brain. Additionally, VSL#3<sup>®</sup> significantly lowered the circulating levels of pro-inflammatory cytokines, and reduced TNF-α and IL-1β mRNA expression in the liver, indicating an inhibition of cytokine transfer. In the intestine, the probiotic treatment markedly decreased the mRNA expression of pro-inflammatory cytokines, (TNF-α, IL-1β, IL-6 and IL-17), and the other two key components of the NLRP3 inflammasome, caspase-1 and NLRP3, demonstrating an inhibition of VSL#3<sup>®</sup> on gut NLRP3 inflammasome. VSL#3<sup>®</sup> exerts neuroprotective effects in PD mice through the suppression of intestinal inflammation, particularly inhibiting the intestinal NLRP3 inflammasome. This study supports the therapeutic potential of targeting intestinal inflammation and utilizing probiotics in PD treatment.</p>","PeriodicalId":73858,"journal":{"name":"Journal of neuroimmune pharmacology : the official journal of the Society on NeuroImmune Pharmacology","volume":"20 1","pages":"9"},"PeriodicalIF":3.5000,"publicationDate":"2025-01-18","publicationTypes":"Journal Article","fieldsOfStudy":null,"isOpenAccess":false,"openAccessPdf":"https://www.ncbi.nlm.nih.gov/pmc/articles/PMC11742874/pdf/","citationCount":"0","resultStr":"{\"title\":\"Modulation of Intestinal Inflammation and Protection of Dopaminergic Neurons in Parkinson's Disease Mice through a Probiotic Formulation Targeting NLRP3 Inflammasome.\",\"authors\":\"Liping Zhou, Ka Ying Wong, Hongxiang Xie\",\"doi\":\"10.1007/s11481-024-10163-5\",\"DOIUrl\":null,\"url\":null,\"abstract\":\"<p><p>Emerging evidence highlights the significance of peripheral inflammation in the pathogenesis of Parkinson's disease (PD) and suggests the gut as a viable therapeutic target. This study aimed to explore the neuroprotective effects of the probiotic formulation VSL#3<sup>®</sup> and its underlying mechanism in a PD mouse model induced by MPTP. Following MPTP administration, the striatal levels of dopamine and its metabolites, as along with the survival rate of dopaminergic neurons in the substantia nigra, were significantly reduced in PD mice. MPTP also significantly increased the mRNA expression of pro-inflammatory cytokines TNF-α and IL-1β, while reducing anti-inflammation mediators, like glia cell line-derived neurotrophic factor (GDNF) and brain-derived neurotrophic factor (BDNF) in the striatum. These pathological changes were notably mitigated by VSL#3<sup>®</sup> treatment, suggesting its neuroprotective and anti-inflammatory effects in the brain. Additionally, VSL#3<sup>®</sup> significantly lowered the circulating levels of pro-inflammatory cytokines, and reduced TNF-α and IL-1β mRNA expression in the liver, indicating an inhibition of cytokine transfer. In the intestine, the probiotic treatment markedly decreased the mRNA expression of pro-inflammatory cytokines, (TNF-α, IL-1β, IL-6 and IL-17), and the other two key components of the NLRP3 inflammasome, caspase-1 and NLRP3, demonstrating an inhibition of VSL#3<sup>®</sup> on gut NLRP3 inflammasome. VSL#3<sup>®</sup> exerts neuroprotective effects in PD mice through the suppression of intestinal inflammation, particularly inhibiting the intestinal NLRP3 inflammasome. This study supports the therapeutic potential of targeting intestinal inflammation and utilizing probiotics in PD treatment.</p>\",\"PeriodicalId\":73858,\"journal\":{\"name\":\"Journal of neuroimmune pharmacology : the official journal of the Society on NeuroImmune Pharmacology\",\"volume\":\"20 1\",\"pages\":\"9\"},\"PeriodicalIF\":3.5000,\"publicationDate\":\"2025-01-18\",\"publicationTypes\":\"Journal Article\",\"fieldsOfStudy\":null,\"isOpenAccess\":false,\"openAccessPdf\":\"https://www.ncbi.nlm.nih.gov/pmc/articles/PMC11742874/pdf/\",\"citationCount\":\"0\",\"resultStr\":null,\"platform\":\"Semanticscholar\",\"paperid\":null,\"PeriodicalName\":\"Journal of neuroimmune pharmacology : the official journal of the Society on NeuroImmune Pharmacology\",\"FirstCategoryId\":\"1085\",\"ListUrlMain\":\"https://doi.org/10.1007/s11481-024-10163-5\",\"RegionNum\":0,\"RegionCategory\":null,\"ArticlePicture\":[],\"TitleCN\":null,\"AbstractTextCN\":null,\"PMCID\":null,\"EPubDate\":\"\",\"PubModel\":\"\",\"JCR\":\"\",\"JCRName\":\"\",\"Score\":null,\"Total\":0}","platform":"Semanticscholar","paperid":null,"PeriodicalName":"Journal of neuroimmune pharmacology : the official journal of the Society on NeuroImmune Pharmacology","FirstCategoryId":"1085","ListUrlMain":"https://doi.org/10.1007/s11481-024-10163-5","RegionNum":0,"RegionCategory":null,"ArticlePicture":[],"TitleCN":null,"AbstractTextCN":null,"PMCID":null,"EPubDate":"","PubModel":"","JCR":"","JCRName":"","Score":null,"Total":0}
引用次数: 0

摘要

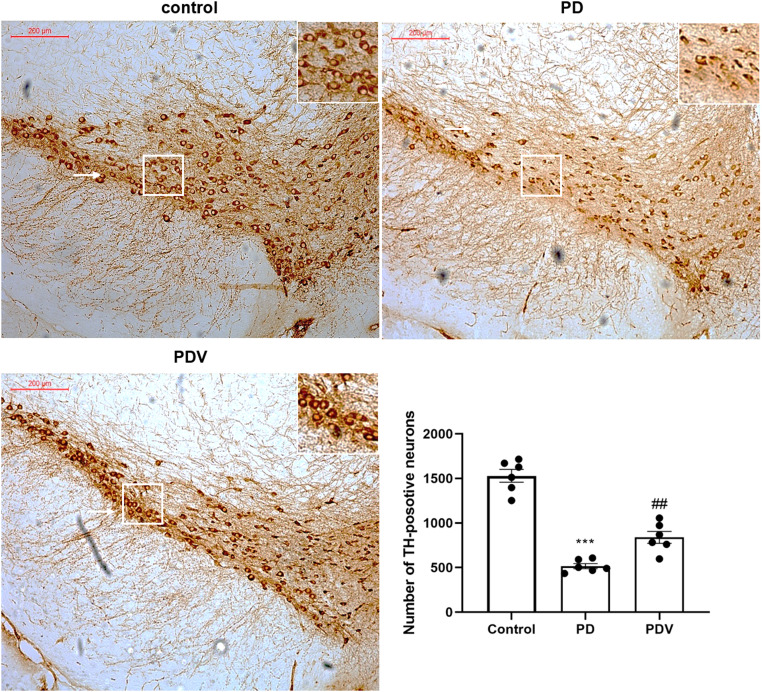
新出现的证据强调了外周炎症在帕金森病(PD)发病机制中的重要性,并表明肠道是可行的治疗靶点。本研究旨在探讨益生菌制剂VSL#3®在MPTP诱导的PD小鼠模型中的神经保护作用及其潜在机制。MPTP给药后,PD小鼠纹状体多巴胺及其代谢物水平显著降低,黑质多巴胺能神经元存活率显著降低。MPTP还显著增加了促炎细胞因子TNF-α和IL-1β的mRNA表达,同时降低了纹状体中胶质细胞系源性神经营养因子(GDNF)和脑源性神经营养因子(BDNF)等抗炎介质的表达。VSL#3®治疗显著减轻了这些病理变化,表明其在大脑中的神经保护和抗炎作用。此外,VSL#3®显著降低了促炎细胞因子的循环水平,降低了肝脏中TNF-α和IL-1β mRNA的表达,表明抑制了细胞因子的转移。在肠道中,益生菌治疗显著降低了促炎细胞因子(TNF-α, IL-1β, IL-6和IL-17)的mRNA表达,以及NLRP3炎症小体的其他两个关键成分caspase-1和NLRP3,表明VSL#3®对肠道NLRP3炎症小体有抑制作用。VSL#3®通过抑制肠道炎症,特别是抑制肠道NLRP3炎性体,在PD小鼠中发挥神经保护作用。本研究支持针对肠道炎症和利用益生菌治疗PD的治疗潜力。
本文章由计算机程序翻译,如有差异,请以英文原文为准。

Modulation of Intestinal Inflammation and Protection of Dopaminergic Neurons in Parkinson's Disease Mice through a Probiotic Formulation Targeting NLRP3 Inflammasome.

Modulation of Intestinal Inflammation and Protection of Dopaminergic Neurons in Parkinson's Disease Mice through a Probiotic Formulation Targeting NLRP3 Inflammasome.

Modulation of Intestinal Inflammation and Protection of Dopaminergic Neurons in Parkinson's Disease Mice through a Probiotic Formulation Targeting NLRP3 Inflammasome.

Modulation of Intestinal Inflammation and Protection of Dopaminergic Neurons in Parkinson's Disease Mice through a Probiotic Formulation Targeting NLRP3 Inflammasome.

Emerging evidence highlights the significance of peripheral inflammation in the pathogenesis of Parkinson's disease (PD) and suggests the gut as a viable therapeutic target. This study aimed to explore the neuroprotective effects of the probiotic formulation VSL#3® and its underlying mechanism in a PD mouse model induced by MPTP. Following MPTP administration, the striatal levels of dopamine and its metabolites, as along with the survival rate of dopaminergic neurons in the substantia nigra, were significantly reduced in PD mice. MPTP also significantly increased the mRNA expression of pro-inflammatory cytokines TNF-α and IL-1β, while reducing anti-inflammation mediators, like glia cell line-derived neurotrophic factor (GDNF) and brain-derived neurotrophic factor (BDNF) in the striatum. These pathological changes were notably mitigated by VSL#3® treatment, suggesting its neuroprotective and anti-inflammatory effects in the brain. Additionally, VSL#3® significantly lowered the circulating levels of pro-inflammatory cytokines, and reduced TNF-α and IL-1β mRNA expression in the liver, indicating an inhibition of cytokine transfer. In the intestine, the probiotic treatment markedly decreased the mRNA expression of pro-inflammatory cytokines, (TNF-α, IL-1β, IL-6 and IL-17), and the other two key components of the NLRP3 inflammasome, caspase-1 and NLRP3, demonstrating an inhibition of VSL#3® on gut NLRP3 inflammasome. VSL#3® exerts neuroprotective effects in PD mice through the suppression of intestinal inflammation, particularly inhibiting the intestinal NLRP3 inflammasome. This study supports the therapeutic potential of targeting intestinal inflammation and utilizing probiotics in PD treatment.

求助全文
通过发布文献求助,成功后即可免费获取论文全文。 去求助
来源期刊
自引率
0.00%
发文量
0
期刊介绍:
×
引用
GB/T 7714-2015
复制
MLA
复制
APA
复制
导出至
BibTeX EndNote RefMan NoteFirst NoteExpress
×
提示
您的信息不完整,为了账户安全,请先补充。
现在去补充
×
提示
您因"违规操作"
具体请查看互助需知
我知道了
×
提示
确定
请完成安全验证×
copy
已复制链接
快去分享给好友吧!
我知道了
右上角分享
点击右上角分享
0
联系我们:info@booksci.cn Book学术提供免费学术资源搜索服务,方便国内外学者检索中英文文献。致力于提供最便捷和优质的服务体验。 Copyright © 2023 布克学术 All rights reserved.
京ICP备2023020795号-1
ghs 京公网安备 11010802042870号
Book学术文献互助
Book学术文献互助群
群 号:604180095
Book学术官方微信