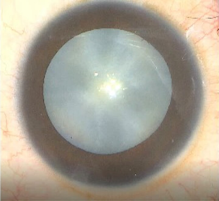
1例15岁女孩新发1型糖尿病表现为双侧白内障。

JCEM case reports Pub Date : 2025-01-20 eCollection Date: 2025-02-01 DOI:10.1210/jcemcr/luae247
Naiomi Gunaratne, Rebecca Tanenbaum, Dianne Deplewski, Marni Harris, Sarah Hilkert Rodriguez
{"title":"1例15岁女孩新发1型糖尿病表现为双侧白内障。","authors":"Naiomi Gunaratne, Rebecca Tanenbaum, Dianne Deplewski, Marni Harris, Sarah Hilkert Rodriguez","doi":"10.1210/jcemcr/luae247","DOIUrl":null,"url":null,"abstract":"<p><p>Cataracts secondary to type 1 or type 2 diabetes are not uncommon in adults; however, they are a rare finding in pediatric patients with type 1 diabetes. A 15-year-old girl presented with progressively worsened bilateral vision for 6 months. Her vision rapidly deteriorated over the previous month, prompting further evaluation that found bilateral cataracts with haziness in all layers and swollen lenses. Labs were done due to the findings and were significant for elevated serum glucose and hemoglobin A1c and mild diabetic ketoacidosis. Further testing confirmed type 1 diabetes. She had bilateral cataract surgery and has had a successful return of 20/20 vision in both eyes. The prevalence of early diabetic cataracts in the pediatric population is rare. Pathophysiology includes a defect in the polyol pathway, combined with oxidative stress, leading to increased fluid retention. Treatment involves cataract surgery and improved glycemic control. Current International Society for Pediatric and Adolescent Diabetes guidelines recommend initial evaluation for cataracts and subsequent surveillance concomitant with diabetic retinopathy monitoring biennially with those with good glycemic control. Given the rapid formation and severity of onset of bilateral cataracts for this patient, we propose continual screening for visual symptoms at each visit and emphasize the importance of ophthalmologic referrals.</p>","PeriodicalId":73540,"journal":{"name":"JCEM case reports","volume":"3 2","pages":"luae247"},"PeriodicalIF":0.0000,"publicationDate":"2025-01-20","publicationTypes":"Journal Article","fieldsOfStudy":null,"isOpenAccess":false,"openAccessPdf":"https://www.ncbi.nlm.nih.gov/pmc/articles/PMC11744040/pdf/","citationCount":"0","resultStr":"{\"title\":\"New-onset Type 1 Diabetes Mellitus Presenting as Bilateral Cataracts in a 15-year-old Girl.\",\"authors\":\"Naiomi Gunaratne, Rebecca Tanenbaum, Dianne Deplewski, Marni Harris, Sarah Hilkert Rodriguez\",\"doi\":\"10.1210/jcemcr/luae247\",\"DOIUrl\":null,\"url\":null,\"abstract\":\"<p><p>Cataracts secondary to type 1 or type 2 diabetes are not uncommon in adults; however, they are a rare finding in pediatric patients with type 1 diabetes. A 15-year-old girl presented with progressively worsened bilateral vision for 6 months. Her vision rapidly deteriorated over the previous month, prompting further evaluation that found bilateral cataracts with haziness in all layers and swollen lenses. Labs were done due to the findings and were significant for elevated serum glucose and hemoglobin A1c and mild diabetic ketoacidosis. Further testing confirmed type 1 diabetes. She had bilateral cataract surgery and has had a successful return of 20/20 vision in both eyes. The prevalence of early diabetic cataracts in the pediatric population is rare. Pathophysiology includes a defect in the polyol pathway, combined with oxidative stress, leading to increased fluid retention. Treatment involves cataract surgery and improved glycemic control. Current International Society for Pediatric and Adolescent Diabetes guidelines recommend initial evaluation for cataracts and subsequent surveillance concomitant with diabetic retinopathy monitoring biennially with those with good glycemic control. Given the rapid formation and severity of onset of bilateral cataracts for this patient, we propose continual screening for visual symptoms at each visit and emphasize the importance of ophthalmologic referrals.</p>\",\"PeriodicalId\":73540,\"journal\":{\"name\":\"JCEM case reports\",\"volume\":\"3 2\",\"pages\":\"luae247\"},\"PeriodicalIF\":0.0000,\"publicationDate\":\"2025-01-20\",\"publicationTypes\":\"Journal Article\",\"fieldsOfStudy\":null,\"isOpenAccess\":false,\"openAccessPdf\":\"https://www.ncbi.nlm.nih.gov/pmc/articles/PMC11744040/pdf/\",\"citationCount\":\"0\",\"resultStr\":null,\"platform\":\"Semanticscholar\",\"paperid\":null,\"PeriodicalName\":\"JCEM case reports\",\"FirstCategoryId\":\"1085\",\"ListUrlMain\":\"https://doi.org/10.1210/jcemcr/luae247\",\"RegionNum\":0,\"RegionCategory\":null,\"ArticlePicture\":[],\"TitleCN\":null,\"AbstractTextCN\":null,\"PMCID\":null,\"EPubDate\":\"2025/2/1 0:00:00\",\"PubModel\":\"eCollection\",\"JCR\":\"\",\"JCRName\":\"\",\"Score\":null,\"Total\":0}","platform":"Semanticscholar","paperid":null,"PeriodicalName":"JCEM case reports","FirstCategoryId":"1085","ListUrlMain":"https://doi.org/10.1210/jcemcr/luae247","RegionNum":0,"RegionCategory":null,"ArticlePicture":[],"TitleCN":null,"AbstractTextCN":null,"PMCID":null,"EPubDate":"2025/2/1 0:00:00","PubModel":"eCollection","JCR":"","JCRName":"","Score":null,"Total":0}
引用次数: 0

摘要

继发于1型或2型糖尿病的白内障在成人中并不罕见;然而,它们在患有1型糖尿病的儿科患者中是罕见的。一名15岁女孩,双眼视力渐进式恶化6个月。在过去的一个月里,她的视力迅速恶化,进一步的检查发现双侧白内障,所有层都模糊不清,晶状体肿胀。结果表明,血清葡萄糖和血红蛋白A1c升高以及轻度糖尿病酮症酸中毒具有重要意义。进一步检查证实为1型糖尿病。她接受了双侧白内障手术,并成功恢复了双眼20/20的视力。早期糖尿病性白内障在儿科人群中的患病率是罕见的。病理生理包括多元醇途径的缺陷,结合氧化应激,导致液体潴留增加。治疗包括白内障手术和改善血糖控制。当前国际儿科和青少年糖尿病学会指南建议对白内障进行初步评估,随后监测糖尿病视网膜病变,并对血糖控制良好的患者进行两年一次的监测。鉴于该患者双侧白内障形成迅速且发病严重,我们建议在每次就诊时持续筛查视力症状,并强调眼科转诊的重要性。
本文章由计算机程序翻译,如有差异,请以英文原文为准。

New-onset Type 1 Diabetes Mellitus Presenting as Bilateral Cataracts in a 15-year-old Girl.

New-onset Type 1 Diabetes Mellitus Presenting as Bilateral Cataracts in a 15-year-old Girl.

New-onset Type 1 Diabetes Mellitus Presenting as Bilateral Cataracts in a 15-year-old Girl.

Cataracts secondary to type 1 or type 2 diabetes are not uncommon in adults; however, they are a rare finding in pediatric patients with type 1 diabetes. A 15-year-old girl presented with progressively worsened bilateral vision for 6 months. Her vision rapidly deteriorated over the previous month, prompting further evaluation that found bilateral cataracts with haziness in all layers and swollen lenses. Labs were done due to the findings and were significant for elevated serum glucose and hemoglobin A1c and mild diabetic ketoacidosis. Further testing confirmed type 1 diabetes. She had bilateral cataract surgery and has had a successful return of 20/20 vision in both eyes. The prevalence of early diabetic cataracts in the pediatric population is rare. Pathophysiology includes a defect in the polyol pathway, combined with oxidative stress, leading to increased fluid retention. Treatment involves cataract surgery and improved glycemic control. Current International Society for Pediatric and Adolescent Diabetes guidelines recommend initial evaluation for cataracts and subsequent surveillance concomitant with diabetic retinopathy monitoring biennially with those with good glycemic control. Given the rapid formation and severity of onset of bilateral cataracts for this patient, we propose continual screening for visual symptoms at each visit and emphasize the importance of ophthalmologic referrals.

求助全文
通过发布文献求助,成功后即可免费获取论文全文。 去求助
来源期刊
自引率
0.00%
发文量
0
×
引用
GB/T 7714-2015
复制
MLA
复制
APA
复制
导出至
BibTeX EndNote RefMan NoteFirst NoteExpress
×
提示
您的信息不完整,为了账户安全,请先补充。
现在去补充
×
提示
您因"违规操作"
具体请查看互助需知
我知道了
×
提示
确定
请完成安全验证×
copy
已复制链接
快去分享给好友吧!
我知道了
右上角分享
点击右上角分享
0
联系我们:info@booksci.cn Book学术提供免费学术资源搜索服务,方便国内外学者检索中英文文献。致力于提供最便捷和优质的服务体验。 Copyright © 2023 布克学术 All rights reserved.
京ICP备2023020795号-1
ghs 京公网安备 11010802042870号
Book学术文献互助
Book学术文献互助群
群 号:604180095
Book学术官方微信