子宫肌瘤栓塞治疗疼痛的新策略。

IF 1.5 Q3 CARDIAC & CARDIOVASCULAR SYSTEMS
Elaine Ho, Kiat Tsong Tan
{"title":"子宫肌瘤栓塞治疗疼痛的新策略。","authors":"Elaine Ho, Kiat Tsong Tan","doi":"10.1186/s42155-025-00516-3","DOIUrl":null,"url":null,"abstract":"<p><strong>Background: </strong>Uterine fibroid embolization can be associated with significant pain due to fibroid ischemia and interventions of the procedure itself. Fentanyl and midazolam are commonly provided for sedation and pain relief, but are not tolerated by all patients. This report outlines a novel pain management strategy for uterine fibroid embolization in a patient who could not receive either opioids or benzodiazepines.</p><p><strong>Methods: </strong>A 51 year old woman presenting with menorrhagia due to uterine fibroids was referred to interventional radiology for embolization. She was allergic to most opiates and had previously become agitated with IV midazolam, resulting in termination of a previous attempt at embolization. Thus, a combination of three analgesic modalities was used: intraarterial ropivacaine in the uterine arteries, superior hypogastric nerve block with ropivacaine, and intravenous acetaminophen. The patient underwent successful embolization and reported only intermittent pain of 1-2 out of 10 intensity.</p><p><strong>Discussion: </strong>This combined analgesic cocktail represents a novel alternative to traditional sedation for uterine fibroid embolization and may serve as a viable option for patients with similar contraindications.</p>","PeriodicalId":52351,"journal":{"name":"CVIR Endovascular","volume":"8 1","pages":"8"},"PeriodicalIF":1.5000,"publicationDate":"2025-01-22","publicationTypes":"Journal Article","fieldsOfStudy":null,"isOpenAccess":false,"openAccessPdf":"https://www.ncbi.nlm.nih.gov/pmc/articles/PMC11754559/pdf/","citationCount":"0","resultStr":"{\"title\":\"Novel pain management strategy for uterine fibroid embolization.\",\"authors\":\"Elaine Ho, Kiat Tsong Tan\",\"doi\":\"10.1186/s42155-025-00516-3\",\"DOIUrl\":null,\"url\":null,\"abstract\":\"<p><strong>Background: </strong>Uterine fibroid embolization can be associated with significant pain due to fibroid ischemia and interventions of the procedure itself. Fentanyl and midazolam are commonly provided for sedation and pain relief, but are not tolerated by all patients. This report outlines a novel pain management strategy for uterine fibroid embolization in a patient who could not receive either opioids or benzodiazepines.</p><p><strong>Methods: </strong>A 51 year old woman presenting with menorrhagia due to uterine fibroids was referred to interventional radiology for embolization. She was allergic to most opiates and had previously become agitated with IV midazolam, resulting in termination of a previous attempt at embolization. Thus, a combination of three analgesic modalities was used: intraarterial ropivacaine in the uterine arteries, superior hypogastric nerve block with ropivacaine, and intravenous acetaminophen. The patient underwent successful embolization and reported only intermittent pain of 1-2 out of 10 intensity.</p><p><strong>Discussion: </strong>This combined analgesic cocktail represents a novel alternative to traditional sedation for uterine fibroid embolization and may serve as a viable option for patients with similar contraindications.</p>\",\"PeriodicalId\":52351,\"journal\":{\"name\":\"CVIR Endovascular\",\"volume\":\"8 1\",\"pages\":\"8\"},\"PeriodicalIF\":1.5000,\"publicationDate\":\"2025-01-22\",\"publicationTypes\":\"Journal Article\",\"fieldsOfStudy\":null,\"isOpenAccess\":false,\"openAccessPdf\":\"https://www.ncbi.nlm.nih.gov/pmc/articles/PMC11754559/pdf/\",\"citationCount\":\"0\",\"resultStr\":null,\"platform\":\"Semanticscholar\",\"paperid\":null,\"PeriodicalName\":\"CVIR Endovascular\",\"FirstCategoryId\":\"1085\",\"ListUrlMain\":\"https://doi.org/10.1186/s42155-025-00516-3\",\"RegionNum\":0,\"RegionCategory\":null,\"ArticlePicture\":[],\"TitleCN\":null,\"AbstractTextCN\":null,\"PMCID\":null,\"EPubDate\":\"\",\"PubModel\":\"\",\"JCR\":\"Q3\",\"JCRName\":\"CARDIAC & CARDIOVASCULAR SYSTEMS\",\"Score\":null,\"Total\":0}","platform":"Semanticscholar","paperid":null,"PeriodicalName":"CVIR Endovascular","FirstCategoryId":"1085","ListUrlMain":"https://doi.org/10.1186/s42155-025-00516-3","RegionNum":0,"RegionCategory":null,"ArticlePicture":[],"TitleCN":null,"AbstractTextCN":null,"PMCID":null,"EPubDate":"","PubModel":"","JCR":"Q3","JCRName":"CARDIAC & CARDIOVASCULAR SYSTEMS","Score":null,"Total":0}
引用次数: 0

摘要

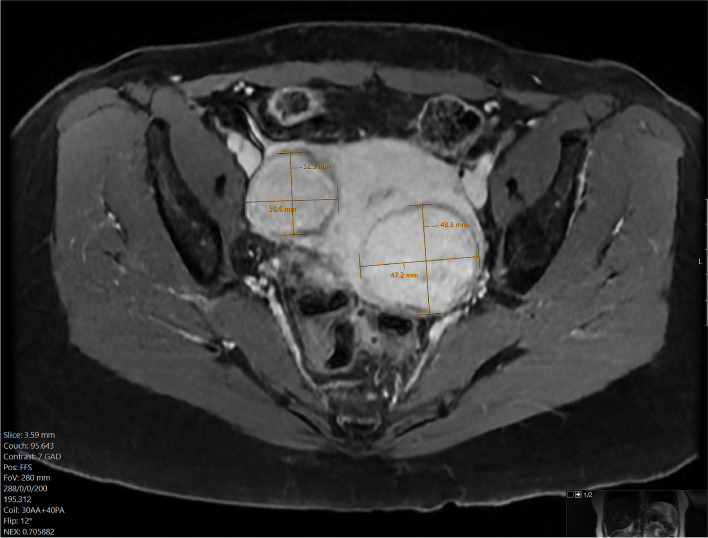
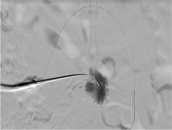
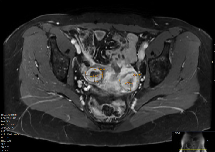
背景:子宫肌瘤栓塞可能与肌瘤缺血引起的明显疼痛和手术本身的干预有关。芬太尼和咪达唑仑通常用于镇静和缓解疼痛,但并非所有患者都能耐受。本报告概述了一种新的疼痛管理策略的子宫肌瘤栓塞患者谁不能接受阿片类药物或苯二氮卓类药物。方法:51岁女性,因子宫肌瘤引起月经过多,经介入放射治疗栓塞。她对大多数阿片类药物过敏,并曾因静脉注射咪达唑仑而焦躁不安,导致先前的栓塞尝试终止。因此,使用了三种镇痛方式的组合:子宫动脉动脉内注射罗哌卡因,用罗哌卡因阻断胃下上神经,静脉注射对乙酰氨基酚。患者接受了成功的栓塞治疗,仅报告了1-2 / 10强度的间歇性疼痛。讨论:这种联合镇痛鸡尾酒代表了传统镇静治疗子宫肌瘤栓塞的一种新选择,可能是有类似禁忌症患者的可行选择。
本文章由计算机程序翻译,如有差异,请以英文原文为准。

Novel pain management strategy for uterine fibroid embolization.

Novel pain management strategy for uterine fibroid embolization.

Novel pain management strategy for uterine fibroid embolization.

Novel pain management strategy for uterine fibroid embolization.

Background: Uterine fibroid embolization can be associated with significant pain due to fibroid ischemia and interventions of the procedure itself. Fentanyl and midazolam are commonly provided for sedation and pain relief, but are not tolerated by all patients. This report outlines a novel pain management strategy for uterine fibroid embolization in a patient who could not receive either opioids or benzodiazepines.

Methods: A 51 year old woman presenting with menorrhagia due to uterine fibroids was referred to interventional radiology for embolization. She was allergic to most opiates and had previously become agitated with IV midazolam, resulting in termination of a previous attempt at embolization. Thus, a combination of three analgesic modalities was used: intraarterial ropivacaine in the uterine arteries, superior hypogastric nerve block with ropivacaine, and intravenous acetaminophen. The patient underwent successful embolization and reported only intermittent pain of 1-2 out of 10 intensity.

Discussion: This combined analgesic cocktail represents a novel alternative to traditional sedation for uterine fibroid embolization and may serve as a viable option for patients with similar contraindications.

求助全文
通过发布文献求助,成功后即可免费获取论文全文。 去求助
来源期刊
CVIR Endovascular
CVIR Endovascular Medicine-Radiology, Nuclear Medicine and Imaging
CiteScore
2.30
自引率
0.00%
发文量
59
×
引用
GB/T 7714-2015
复制
MLA
复制
APA
复制
导出至
BibTeX EndNote RefMan NoteFirst NoteExpress
×
提示
您的信息不完整,为了账户安全,请先补充。
现在去补充
×
提示
您因"违规操作"
具体请查看互助需知
我知道了
×
提示
确定
请完成安全验证×
copy
已复制链接
快去分享给好友吧!
我知道了
右上角分享
点击右上角分享
0
联系我们:info@booksci.cn Book学术提供免费学术资源搜索服务,方便国内外学者检索中英文文献。致力于提供最便捷和优质的服务体验。 Copyright © 2023 布克学术 All rights reserved.
京ICP备2023020795号-1
ghs 京公网安备 11010802042870号
Book学术文献互助
Book学术文献互助群
群 号:604180095
Book学术官方微信