间歇多重IPACK阻滞联合ACB治疗屈曲挛缩性膝关节炎全膝关节置换术的镇痛效果。

IF 1.6 4区 医学 Q3 ORTHOPEDICS
Journal of Knee Surgery Pub Date : 2025-05-01 Epub Date: 2025-01-20 DOI:10.1055/s-0044-1801822
Yuqi Ren, Zhouhui Hou, Yue Zhang, Yue Li, Huanqiu Liu
{"title":"间歇多重IPACK阻滞联合ACB治疗屈曲挛缩性膝关节炎全膝关节置换术的镇痛效果。","authors":"Yuqi Ren, Zhouhui Hou, Yue Zhang, Yue Li, Huanqiu Liu","doi":"10.1055/s-0044-1801822","DOIUrl":null,"url":null,"abstract":"<p><p>We aimed to compare the analgesic effects of intermittent multiple infiltrations between the popliteal artery and capsule of the posterior knee (IPACK) combined with adductor canal block (ACB) and intermittent ACB alone in patients with flexion contracture knee arthritis undergoing total knee arthroplasty (TKA). Forty-six patients who underwent elective unilateral TKA were divided into two groups (<i>n</i> = 23 each): intermittent multiple IPACK combined with ACB (group IA) and intermittent multiple ACB (group A). ACB was performed with 20 mL of 0.375% ropivacaine in each group and IPACK with 20 mL of 0.25% ropivacaine in group IA. Intermittent multiple nerve blocks were used for postoperative analgesia (IPACK block combined with ACB in group IA and ACB in group A between 7:30 and 8:30 a.m. on postoperative day 1 [POD1] and postoperative day 2 [POD2]). Primary outcomes assessed were pain at rest, motion-evoked pain (MEP), and range of motion (ROM) on POD1 and POD2. Secondary outcomes included opioid consumption, first ambulation time, ambulation distance, and postoperative complications. We observed that compared with group A, MEP decreased, ROM became wider, ambulation distance was longer, and opioid consumption decreased in group IA. Other outcomes were either similar between the groups or showed clinically insignificant differences. We conclude that multiple intermittent IPACK therapy combined with ACB provides superior analgesia than multiple intermittent ACB therapy alone in patients with flexion contracture knee arthritis undergoing TKA.</p>","PeriodicalId":48798,"journal":{"name":"Journal of Knee Surgery","volume":" ","pages":"316-322"},"PeriodicalIF":1.6000,"publicationDate":"2025-05-01","publicationTypes":"Journal Article","fieldsOfStudy":null,"isOpenAccess":false,"openAccessPdf":"https://www.ncbi.nlm.nih.gov/pmc/articles/PMC12020490/pdf/","citationCount":"0","resultStr":"{\"title\":\"Analgesic Effect of Intermittent Multiple IPACK Block Combined with ACB in Patients with Flexion Contracture Knee Arthritis Undergoing Total Knee Arthroplasty.\",\"authors\":\"Yuqi Ren, Zhouhui Hou, Yue Zhang, Yue Li, Huanqiu Liu\",\"doi\":\"10.1055/s-0044-1801822\",\"DOIUrl\":null,\"url\":null,\"abstract\":\"<p><p>We aimed to compare the analgesic effects of intermittent multiple infiltrations between the popliteal artery and capsule of the posterior knee (IPACK) combined with adductor canal block (ACB) and intermittent ACB alone in patients with flexion contracture knee arthritis undergoing total knee arthroplasty (TKA). Forty-six patients who underwent elective unilateral TKA were divided into two groups (<i>n</i> = 23 each): intermittent multiple IPACK combined with ACB (group IA) and intermittent multiple ACB (group A). ACB was performed with 20 mL of 0.375% ropivacaine in each group and IPACK with 20 mL of 0.25% ropivacaine in group IA. Intermittent multiple nerve blocks were used for postoperative analgesia (IPACK block combined with ACB in group IA and ACB in group A between 7:30 and 8:30 a.m. on postoperative day 1 [POD1] and postoperative day 2 [POD2]). Primary outcomes assessed were pain at rest, motion-evoked pain (MEP), and range of motion (ROM) on POD1 and POD2. Secondary outcomes included opioid consumption, first ambulation time, ambulation distance, and postoperative complications. We observed that compared with group A, MEP decreased, ROM became wider, ambulation distance was longer, and opioid consumption decreased in group IA. Other outcomes were either similar between the groups or showed clinically insignificant differences. We conclude that multiple intermittent IPACK therapy combined with ACB provides superior analgesia than multiple intermittent ACB therapy alone in patients with flexion contracture knee arthritis undergoing TKA.</p>\",\"PeriodicalId\":48798,\"journal\":{\"name\":\"Journal of Knee Surgery\",\"volume\":\" \",\"pages\":\"316-322\"},\"PeriodicalIF\":1.6000,\"publicationDate\":\"2025-05-01\",\"publicationTypes\":\"Journal Article\",\"fieldsOfStudy\":null,\"isOpenAccess\":false,\"openAccessPdf\":\"https://www.ncbi.nlm.nih.gov/pmc/articles/PMC12020490/pdf/\",\"citationCount\":\"0\",\"resultStr\":null,\"platform\":\"Semanticscholar\",\"paperid\":null,\"PeriodicalName\":\"Journal of Knee Surgery\",\"FirstCategoryId\":\"3\",\"ListUrlMain\":\"https://doi.org/10.1055/s-0044-1801822\",\"RegionNum\":4,\"RegionCategory\":\"医学\",\"ArticlePicture\":[],\"TitleCN\":null,\"AbstractTextCN\":null,\"PMCID\":null,\"EPubDate\":\"2025/1/20 0:00:00\",\"PubModel\":\"Epub\",\"JCR\":\"Q3\",\"JCRName\":\"ORTHOPEDICS\",\"Score\":null,\"Total\":0}","platform":"Semanticscholar","paperid":null,"PeriodicalName":"Journal of Knee Surgery","FirstCategoryId":"3","ListUrlMain":"https://doi.org/10.1055/s-0044-1801822","RegionNum":4,"RegionCategory":"医学","ArticlePicture":[],"TitleCN":null,"AbstractTextCN":null,"PMCID":null,"EPubDate":"2025/1/20 0:00:00","PubModel":"Epub","JCR":"Q3","JCRName":"ORTHOPEDICS","Score":null,"Total":0}
引用次数: 0

摘要

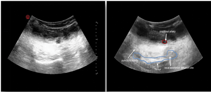
我们的目的是比较腘动脉与膝关节后囊间间歇多次浸润(IPACK)联合内收管阻滞(ACB)和单独间歇ACB对屈曲挛缩性膝关节炎患者行全膝关节置换术(TKA)的镇痛效果。将46例选择性单侧TKA患者分为间歇多次IPACK联合ACB组(IA组)和间歇多次ACB组(A组),每组ACB用0.375%罗哌卡因20 mL, IA组IPACK用0.25%罗哌卡因20 mL。术后第1天[POD1]和术后第2天[POD2]上午7:30 ~ 8:30采用间歇性多重神经阻滞进行术后镇痛(IPACK阻滞联合ACB组为IA组,ACB组为A组)。评估的主要结果是休息时疼痛、运动诱发疼痛(MEP)和POD1和POD2的活动范围(ROM)。次要结局包括阿片类药物消耗、首次下床时间、下床距离和术后并发症。我们观察到,与A组相比,IA组MEP降低,ROM变宽,行走距离变长,阿片类药物消耗减少。其他结果要么组间相似,要么临床差异不显著。我们得出结论,在屈曲挛缩性膝关节炎患者行TKA时,多次间歇性IPACK联合ACB治疗比单独多次间歇性ACB治疗提供更好的镇痛效果。
本文章由计算机程序翻译,如有差异,请以英文原文为准。

Analgesic Effect of Intermittent Multiple IPACK Block Combined with ACB in Patients with Flexion Contracture Knee Arthritis Undergoing Total Knee Arthroplasty.

Analgesic Effect of Intermittent Multiple IPACK Block Combined with ACB in Patients with Flexion Contracture Knee Arthritis Undergoing Total Knee Arthroplasty.

Analgesic Effect of Intermittent Multiple IPACK Block Combined with ACB in Patients with Flexion Contracture Knee Arthritis Undergoing Total Knee Arthroplasty.

Analgesic Effect of Intermittent Multiple IPACK Block Combined with ACB in Patients with Flexion Contracture Knee Arthritis Undergoing Total Knee Arthroplasty.

We aimed to compare the analgesic effects of intermittent multiple infiltrations between the popliteal artery and capsule of the posterior knee (IPACK) combined with adductor canal block (ACB) and intermittent ACB alone in patients with flexion contracture knee arthritis undergoing total knee arthroplasty (TKA). Forty-six patients who underwent elective unilateral TKA were divided into two groups (n = 23 each): intermittent multiple IPACK combined with ACB (group IA) and intermittent multiple ACB (group A). ACB was performed with 20 mL of 0.375% ropivacaine in each group and IPACK with 20 mL of 0.25% ropivacaine in group IA. Intermittent multiple nerve blocks were used for postoperative analgesia (IPACK block combined with ACB in group IA and ACB in group A between 7:30 and 8:30 a.m. on postoperative day 1 [POD1] and postoperative day 2 [POD2]). Primary outcomes assessed were pain at rest, motion-evoked pain (MEP), and range of motion (ROM) on POD1 and POD2. Secondary outcomes included opioid consumption, first ambulation time, ambulation distance, and postoperative complications. We observed that compared with group A, MEP decreased, ROM became wider, ambulation distance was longer, and opioid consumption decreased in group IA. Other outcomes were either similar between the groups or showed clinically insignificant differences. We conclude that multiple intermittent IPACK therapy combined with ACB provides superior analgesia than multiple intermittent ACB therapy alone in patients with flexion contracture knee arthritis undergoing TKA.

求助全文
通过发布文献求助,成功后即可免费获取论文全文。 去求助
来源期刊
CiteScore
4.50
自引率
5.90%
发文量
139
期刊介绍: The Journal of Knee Surgery covers a range of issues relating to the orthopaedic techniques of arthroscopy, arthroplasty, and reconstructive surgery of the knee joint. In addition to original peer-review articles, this periodical provides details on emerging surgical techniques, as well as reviews and special focus sections. Topics of interest include cruciate ligament repair and reconstruction, bone grafting, cartilage regeneration, and magnetic resonance imaging.
×
引用
GB/T 7714-2015
复制
MLA
复制
APA
复制
导出至
BibTeX EndNote RefMan NoteFirst NoteExpress
×
提示
您的信息不完整,为了账户安全,请先补充。
现在去补充
×
提示
您因"违规操作"
具体请查看互助需知
我知道了
×
提示
确定
请完成安全验证×
copy
已复制链接
快去分享给好友吧!
我知道了
右上角分享
点击右上角分享
0
联系我们:info@booksci.cn Book学术提供免费学术资源搜索服务,方便国内外学者检索中英文文献。致力于提供最便捷和优质的服务体验。 Copyright © 2023 布克学术 All rights reserved.
京ICP备2023020795号-1
ghs 京公网安备 11010802042870号
Book学术文献互助
Book学术文献互助群
群 号:604180095
Book学术官方微信