瓜氨酸对成年雄性大鼠睾丸扭扭损伤保护作用的实验研究。

Q2 Medicine
Vida Motamed Nia, Nastaran Rezaei, Mohammad Shokati Sayyad, Mohammad Seyedabadi, Fereshteh Talebpour Amiri, Fatemeh Shaki
{"title":"瓜氨酸对成年雄性大鼠睾丸扭扭损伤保护作用的实验研究。","authors":"Vida Motamed Nia, Nastaran Rezaei, Mohammad Shokati Sayyad, Mohammad Seyedabadi, Fereshteh Talebpour Amiri, Fatemeh Shaki","doi":"10.18502/jri.v25i3.17014","DOIUrl":null,"url":null,"abstract":"<p><strong>Background: </strong>Testicular torsion is a critical urological emergency that can lead to testicular ischemia and significant tissue damage. Citrulline, a supplement known for enhancing cellular metabolism and mitigating oxidative stress and inflammation, has been explored for its protective effects against testicular injury resulting from torsion and detorsion in rat models.</p><p><strong>Methods: </strong>This study involved 42 Wistar rats, divided into six groups: Sham, torsion/detorsion (T/D), and four groups receiving varying doses of Citrulline (300, 600, 900 <i>mg/kg</i>) and vitamin E (20 <i>mg/kg</i>). A surgical procedure was performed to induce torsion by rotating the left testicle for 4 <i>hr</i>, followed by reperfusion. Daily oral administration of the supplements continued for one week post-surgery. Assessments included oxidative stress markers, apoptosis, inflammation, pathology, and sperm parameters. Statistical analysis was conducted using GraphPad Prism.</p><p><strong>Results: </strong>Citrulline administration at doses of 600 and 900 <i>mg/kg</i> significantly reduced malondialdehyde (MDA) and reactive oxygen species (ROS) levels. Additionally, it increased glutathione (GSH) levels and decreased protein carbonyl levels at the 900 <i>mg/kg</i> dose. The expression of interleukin-6 (IL-6) decreased at 900 <i>mg/kg</i>, tumor necrosis factor-alpha (TNF-α) levels dropped at 600 and 900 <i>mg/kg</i>, and the pro-apoptotic factor Bax was reduced at all doses. Sperm analysis showed improved sperm count and motility at the 900 <i>mg/kg</i> dose. Histological examination revealed significant positive effects of Citrulline on testicular tissue.</p><p><strong>Conclusion: </strong>Citrulline effectively lowers oxidative stress, inflammation, while enhancing sperm quality and pathological outcomes. These results indicate that Citrulline has potential as a therapeutic agent for testicular torsion.</p>","PeriodicalId":38826,"journal":{"name":"Journal of Reproduction and Infertility","volume":"25 3","pages":"201-210"},"PeriodicalIF":0.0000,"publicationDate":"2024-07-01","publicationTypes":"Journal Article","fieldsOfStudy":null,"isOpenAccess":false,"openAccessPdf":"https://www.ncbi.nlm.nih.gov/pmc/articles/PMC11736274/pdf/","citationCount":"0","resultStr":"{\"title\":\"The Protective Effects of Citrulline on Testicular Injury Induced by Torsion and Detorsion in Adult Male Rats: An Experimental Study.\",\"authors\":\"Vida Motamed Nia, Nastaran Rezaei, Mohammad Shokati Sayyad, Mohammad Seyedabadi, Fereshteh Talebpour Amiri, Fatemeh Shaki\",\"doi\":\"10.18502/jri.v25i3.17014\",\"DOIUrl\":null,\"url\":null,\"abstract\":\"<p><strong>Background: </strong>Testicular torsion is a critical urological emergency that can lead to testicular ischemia and significant tissue damage. Citrulline, a supplement known for enhancing cellular metabolism and mitigating oxidative stress and inflammation, has been explored for its protective effects against testicular injury resulting from torsion and detorsion in rat models.</p><p><strong>Methods: </strong>This study involved 42 Wistar rats, divided into six groups: Sham, torsion/detorsion (T/D), and four groups receiving varying doses of Citrulline (300, 600, 900 <i>mg/kg</i>) and vitamin E (20 <i>mg/kg</i>). A surgical procedure was performed to induce torsion by rotating the left testicle for 4 <i>hr</i>, followed by reperfusion. Daily oral administration of the supplements continued for one week post-surgery. Assessments included oxidative stress markers, apoptosis, inflammation, pathology, and sperm parameters. Statistical analysis was conducted using GraphPad Prism.</p><p><strong>Results: </strong>Citrulline administration at doses of 600 and 900 <i>mg/kg</i> significantly reduced malondialdehyde (MDA) and reactive oxygen species (ROS) levels. Additionally, it increased glutathione (GSH) levels and decreased protein carbonyl levels at the 900 <i>mg/kg</i> dose. The expression of interleukin-6 (IL-6) decreased at 900 <i>mg/kg</i>, tumor necrosis factor-alpha (TNF-α) levels dropped at 600 and 900 <i>mg/kg</i>, and the pro-apoptotic factor Bax was reduced at all doses. Sperm analysis showed improved sperm count and motility at the 900 <i>mg/kg</i> dose. Histological examination revealed significant positive effects of Citrulline on testicular tissue.</p><p><strong>Conclusion: </strong>Citrulline effectively lowers oxidative stress, inflammation, while enhancing sperm quality and pathological outcomes. These results indicate that Citrulline has potential as a therapeutic agent for testicular torsion.</p>\",\"PeriodicalId\":38826,\"journal\":{\"name\":\"Journal of Reproduction and Infertility\",\"volume\":\"25 3\",\"pages\":\"201-210\"},\"PeriodicalIF\":0.0000,\"publicationDate\":\"2024-07-01\",\"publicationTypes\":\"Journal Article\",\"fieldsOfStudy\":null,\"isOpenAccess\":false,\"openAccessPdf\":\"https://www.ncbi.nlm.nih.gov/pmc/articles/PMC11736274/pdf/\",\"citationCount\":\"0\",\"resultStr\":null,\"platform\":\"Semanticscholar\",\"paperid\":null,\"PeriodicalName\":\"Journal of Reproduction and Infertility\",\"FirstCategoryId\":\"1085\",\"ListUrlMain\":\"https://doi.org/10.18502/jri.v25i3.17014\",\"RegionNum\":0,\"RegionCategory\":null,\"ArticlePicture\":[],\"TitleCN\":null,\"AbstractTextCN\":null,\"PMCID\":null,\"EPubDate\":\"\",\"PubModel\":\"\",\"JCR\":\"Q2\",\"JCRName\":\"Medicine\",\"Score\":null,\"Total\":0}","platform":"Semanticscholar","paperid":null,"PeriodicalName":"Journal of Reproduction and Infertility","FirstCategoryId":"1085","ListUrlMain":"https://doi.org/10.18502/jri.v25i3.17014","RegionNum":0,"RegionCategory":null,"ArticlePicture":[],"TitleCN":null,"AbstractTextCN":null,"PMCID":null,"EPubDate":"","PubModel":"","JCR":"Q2","JCRName":"Medicine","Score":null,"Total":0}
引用次数: 0

摘要

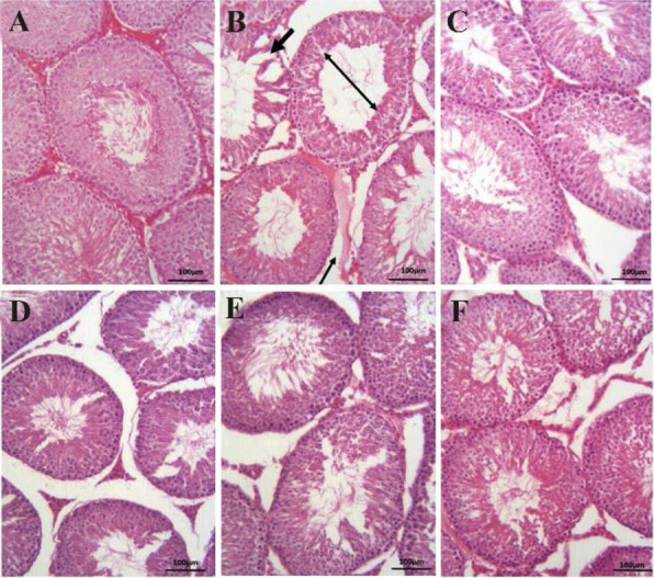
背景:睾丸扭转是一种严重的泌尿外科急症,可导致睾丸缺血和严重的组织损伤。瓜氨酸是一种以促进细胞代谢和减轻氧化应激和炎症而闻名的补充剂,已经在大鼠模型中探索了它对睾丸扭曲和扭曲造成的损伤的保护作用。方法:42只Wistar大鼠,分为假手术组、扭转/扭转组(T/D)和4组,分别给予不同剂量的瓜氨酸(300、600、900 mg/kg)和维生素E (20 mg/kg)。通过旋转左睾丸4小时,再灌注手术诱导扭转。术后持续一周每天口服补品。评估包括氧化应激标志物、细胞凋亡、炎症、病理和精子参数。使用GraphPad Prism进行统计分析。结果:600和900 mg/kg剂量的瓜氨酸显著降低丙二醛(MDA)和活性氧(ROS)水平。此外,在900 mg/kg剂量下,它增加了谷胱甘肽(GSH)水平,降低了蛋白质羰基水平。白细胞介素-6 (IL-6)表达在900 mg/kg时降低,肿瘤坏死因子-α (TNF-α)水平在600和900 mg/kg时降低,促凋亡因子Bax在所有剂量下均降低。精子分析显示900 mg/kg剂量可改善精子数量和活力。组织学检查显示瓜氨酸对睾丸组织有明显的积极作用。结论:瓜氨酸能有效降低氧化应激和炎症,提高精子质量和病理结局。这些结果表明瓜氨酸有潜力作为治疗睾丸扭转的药物。
本文章由计算机程序翻译,如有差异,请以英文原文为准。

The Protective Effects of Citrulline on Testicular Injury Induced by Torsion and Detorsion in Adult Male Rats: An Experimental Study.

The Protective Effects of Citrulline on Testicular Injury Induced by Torsion and Detorsion in Adult Male Rats: An Experimental Study.

Background: Testicular torsion is a critical urological emergency that can lead to testicular ischemia and significant tissue damage. Citrulline, a supplement known for enhancing cellular metabolism and mitigating oxidative stress and inflammation, has been explored for its protective effects against testicular injury resulting from torsion and detorsion in rat models.

Methods: This study involved 42 Wistar rats, divided into six groups: Sham, torsion/detorsion (T/D), and four groups receiving varying doses of Citrulline (300, 600, 900 mg/kg) and vitamin E (20 mg/kg). A surgical procedure was performed to induce torsion by rotating the left testicle for 4 hr, followed by reperfusion. Daily oral administration of the supplements continued for one week post-surgery. Assessments included oxidative stress markers, apoptosis, inflammation, pathology, and sperm parameters. Statistical analysis was conducted using GraphPad Prism.

Results: Citrulline administration at doses of 600 and 900 mg/kg significantly reduced malondialdehyde (MDA) and reactive oxygen species (ROS) levels. Additionally, it increased glutathione (GSH) levels and decreased protein carbonyl levels at the 900 mg/kg dose. The expression of interleukin-6 (IL-6) decreased at 900 mg/kg, tumor necrosis factor-alpha (TNF-α) levels dropped at 600 and 900 mg/kg, and the pro-apoptotic factor Bax was reduced at all doses. Sperm analysis showed improved sperm count and motility at the 900 mg/kg dose. Histological examination revealed significant positive effects of Citrulline on testicular tissue.

Conclusion: Citrulline effectively lowers oxidative stress, inflammation, while enhancing sperm quality and pathological outcomes. These results indicate that Citrulline has potential as a therapeutic agent for testicular torsion.

求助全文
通过发布文献求助,成功后即可免费获取论文全文。 去求助
来源期刊
Journal of Reproduction and Infertility
Journal of Reproduction and Infertility Medicine-Reproductive Medicine
CiteScore
2.70
自引率
0.00%
发文量
44
×
引用
GB/T 7714-2015
复制
MLA
复制
APA
复制
导出至
BibTeX EndNote RefMan NoteFirst NoteExpress
×
提示
您的信息不完整,为了账户安全,请先补充。
现在去补充
×
提示
您因"违规操作"
具体请查看互助需知
我知道了
×
提示
确定
请完成安全验证×
copy
已复制链接
快去分享给好友吧!
我知道了
右上角分享
点击右上角分享
0
联系我们:info@booksci.cn Book学术提供免费学术资源搜索服务,方便国内外学者检索中英文文献。致力于提供最便捷和优质的服务体验。 Copyright © 2023 布克学术 All rights reserved.
京ICP备2023020795号-1
ghs 京公网安备 11010802042870号
Book学术文献互助
Book学术文献互助群
群 号:604180095
Book学术官方微信