IBD患者结肠腺癌旁异常发育不良的检查。

IF 2.3 4区 医学 Q3 ONCOLOGY
Pathology & Oncology Research Pub Date : 2025-01-03 eCollection Date: 2024-01-01 DOI:10.3389/pore.2024.1611978
Szintia Almási, Zsófia Balajthy, Bence Baráth, Zsófia Krisztina Török, Panna Szaszák, Tamás Lantos, Bence Kővári, Anita Sejben
{"title":"IBD患者结肠腺癌旁异常发育不良的检查。","authors":"Szintia Almási, Zsófia Balajthy, Bence Baráth, Zsófia Krisztina Török, Panna Szaszák, Tamás Lantos, Bence Kővári, Anita Sejben","doi":"10.3389/pore.2024.1611978","DOIUrl":null,"url":null,"abstract":"<p><strong>Objective: </strong>Recently, several non-conventional variants of IBD-associated dysplasia have been described; however, their prevalence in Central-Eastern Europe is unknown. We aimed to perform a retrospective pilot study by re-evaluating several IBD-associated adenocarcinoma cases to survey the incidence of adjacent non-conventional dysplasia and validate that recent North American findings may apply to a European population.</p><p><strong>Methods: </strong>Retrospectively, 28 randomly chosen cases of IBD-associated adenocarcinomas diagnosed between 2010 and 2022 were re-evaluated. The patient's sex, age (at the diagnosis of IBD and neoplasia), type of IBD, type of specimen [biopsy (n = 8)/surgical specimen (n = 20)], histological type, grade, localisation, stage, disease-free (DFS) and overall survival (OS) were obtained. Statistical analyses were carried out by using Mann-Whitney (continuous variables), Fisher's exact (categorical variables), Kaplan-Meier (DFS/OS curves), and logrank test (survival curves).</p><p><strong>Results: </strong>Exclusively, conventional dysplasia was observed in 11, and non-conventional dysplasia in 8 patients. Combined conventional and non-conventional dysplasia was detected in 9 patients. Non-conventional dysplasia showing a combination of multiple subtypes was noted in 10 cases. Altogether, 25 non-conventional dysplastic foci were identified, which were diagnosed as hypermucinous (n = 9), goblet cell-deficient (n = 6), serrated not otherwise specified (NOS) (n = 6), and traditional serrated adenoma-like (n = 4). The majority of non-conventional dysplasias were associated with ulcerative colitis (n = 12). Mucinous adenocarcinoma was exclusively associated with non-conventional dysplasia, while medullary carcinoma was only with conventional dysplasias (<i>p = 0.014</i> and <i>0.041</i>).</p><p><strong>Conclusion: </strong>Based on our results, non-conventional dysplasia is common (60%) adjacent to IBD-associated adenocarcinomas in a Central-Eastern European population and may be detected in biopsies. As multiple recent publications reported evidence of a worse prognosis and more common flat morphology compared to conventional dysplasias, their recognition is of great importance, and stricter follow-up with random biopsy samples may be considered.</p>","PeriodicalId":19981,"journal":{"name":"Pathology & Oncology Research","volume":"30 ","pages":"1611978"},"PeriodicalIF":2.3000,"publicationDate":"2025-01-03","publicationTypes":"Journal Article","fieldsOfStudy":null,"isOpenAccess":false,"openAccessPdf":"https://www.ncbi.nlm.nih.gov/pmc/articles/PMC11738611/pdf/","citationCount":"0","resultStr":"{\"title\":\"Examination of non-conventional dysplasias adjacent to colorectal adenocarcinoma in patients with IBD.\",\"authors\":\"Szintia Almási, Zsófia Balajthy, Bence Baráth, Zsófia Krisztina Török, Panna Szaszák, Tamás Lantos, Bence Kővári, Anita Sejben\",\"doi\":\"10.3389/pore.2024.1611978\",\"DOIUrl\":null,\"url\":null,\"abstract\":\"<p><strong>Objective: </strong>Recently, several non-conventional variants of IBD-associated dysplasia have been described; however, their prevalence in Central-Eastern Europe is unknown. We aimed to perform a retrospective pilot study by re-evaluating several IBD-associated adenocarcinoma cases to survey the incidence of adjacent non-conventional dysplasia and validate that recent North American findings may apply to a European population.</p><p><strong>Methods: </strong>Retrospectively, 28 randomly chosen cases of IBD-associated adenocarcinomas diagnosed between 2010 and 2022 were re-evaluated. The patient's sex, age (at the diagnosis of IBD and neoplasia), type of IBD, type of specimen [biopsy (n = 8)/surgical specimen (n = 20)], histological type, grade, localisation, stage, disease-free (DFS) and overall survival (OS) were obtained. Statistical analyses were carried out by using Mann-Whitney (continuous variables), Fisher's exact (categorical variables), Kaplan-Meier (DFS/OS curves), and logrank test (survival curves).</p><p><strong>Results: </strong>Exclusively, conventional dysplasia was observed in 11, and non-conventional dysplasia in 8 patients. Combined conventional and non-conventional dysplasia was detected in 9 patients. Non-conventional dysplasia showing a combination of multiple subtypes was noted in 10 cases. Altogether, 25 non-conventional dysplastic foci were identified, which were diagnosed as hypermucinous (n = 9), goblet cell-deficient (n = 6), serrated not otherwise specified (NOS) (n = 6), and traditional serrated adenoma-like (n = 4). The majority of non-conventional dysplasias were associated with ulcerative colitis (n = 12). Mucinous adenocarcinoma was exclusively associated with non-conventional dysplasia, while medullary carcinoma was only with conventional dysplasias (<i>p = 0.014</i> and <i>0.041</i>).</p><p><strong>Conclusion: </strong>Based on our results, non-conventional dysplasia is common (60%) adjacent to IBD-associated adenocarcinomas in a Central-Eastern European population and may be detected in biopsies. As multiple recent publications reported evidence of a worse prognosis and more common flat morphology compared to conventional dysplasias, their recognition is of great importance, and stricter follow-up with random biopsy samples may be considered.</p>\",\"PeriodicalId\":19981,\"journal\":{\"name\":\"Pathology & Oncology Research\",\"volume\":\"30 \",\"pages\":\"1611978\"},\"PeriodicalIF\":2.3000,\"publicationDate\":\"2025-01-03\",\"publicationTypes\":\"Journal Article\",\"fieldsOfStudy\":null,\"isOpenAccess\":false,\"openAccessPdf\":\"https://www.ncbi.nlm.nih.gov/pmc/articles/PMC11738611/pdf/\",\"citationCount\":\"0\",\"resultStr\":null,\"platform\":\"Semanticscholar\",\"paperid\":null,\"PeriodicalName\":\"Pathology & Oncology Research\",\"FirstCategoryId\":\"3\",\"ListUrlMain\":\"https://doi.org/10.3389/pore.2024.1611978\",\"RegionNum\":4,\"RegionCategory\":\"医学\",\"ArticlePicture\":[],\"TitleCN\":null,\"AbstractTextCN\":null,\"PMCID\":null,\"EPubDate\":\"2024/1/1 0:00:00\",\"PubModel\":\"eCollection\",\"JCR\":\"Q3\",\"JCRName\":\"ONCOLOGY\",\"Score\":null,\"Total\":0}","platform":"Semanticscholar","paperid":null,"PeriodicalName":"Pathology & Oncology Research","FirstCategoryId":"3","ListUrlMain":"https://doi.org/10.3389/pore.2024.1611978","RegionNum":4,"RegionCategory":"医学","ArticlePicture":[],"TitleCN":null,"AbstractTextCN":null,"PMCID":null,"EPubDate":"2024/1/1 0:00:00","PubModel":"eCollection","JCR":"Q3","JCRName":"ONCOLOGY","Score":null,"Total":0}
引用次数: 0

摘要

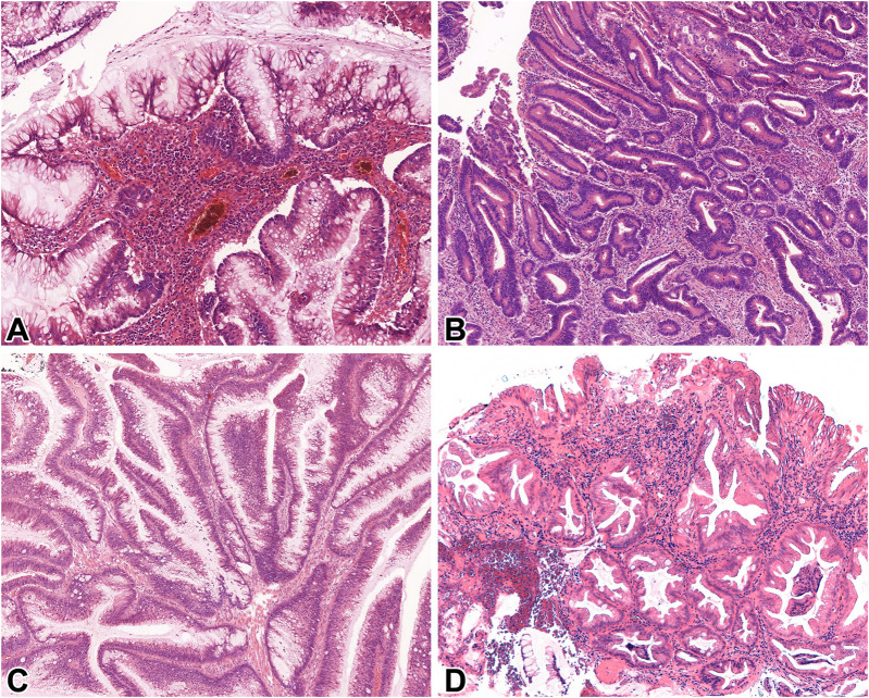
目的:最近,几种ibd相关的异常增生的非传统变体被描述;然而,它们在中东欧的流行情况尚不清楚。我们的目的是通过重新评估几个ibd相关腺癌病例来进行一项回顾性试点研究,以调查邻近非常规发育不良的发生率,并验证最近在北美的发现可能适用于欧洲人群。方法:回顾性分析随机选择的28例2010 - 2022年间诊断的ibd相关腺癌病例。获取患者的性别、年龄(诊断为IBD和肿瘤发生时)、IBD类型、标本类型[活检(n = 8)/手术标本(n = 20)]、组织学类型、分级、部位、分期、无病(DFS)和总生存(OS)。采用Mann-Whitney(连续变量)、Fisher’s exact(分类变量)、Kaplan-Meier (DFS/OS曲线)和logrank检验(生存曲线)进行统计分析。结果:其中常规发育不良11例,非常规发育不良8例。9例合并常规和非常规发育不良。在10例中注意到表现为多种亚型组合的非常规发育不良。总共发现25个非传统的发育不良灶,其中诊断为粘液过多(n = 9),杯状细胞缺陷(n = 6),锯齿状无其他特征(n = 6)和传统锯齿状腺瘤样(n = 4)。大多数非传统发育不良与溃疡性结肠炎(n = 12)有关。粘液腺癌仅与非常规异常增生相关,而髓样癌仅与常规异常增生相关(p = 0.014和0.041)。结论:根据我们的研究结果,在中欧-东欧人群中,与ibd相关腺癌相邻的非常规异常增生很常见(60%),并且可以在活检中检测到。由于最近有多篇文章报道了与传统的发育不良相比,其预后更差,形态更平坦的证据,因此对其进行识别非常重要,可以考虑对随机活检样本进行更严格的随访。
本文章由计算机程序翻译,如有差异,请以英文原文为准。

Examination of non-conventional dysplasias adjacent to colorectal adenocarcinoma in patients with IBD.

Examination of non-conventional dysplasias adjacent to colorectal adenocarcinoma in patients with IBD.

Examination of non-conventional dysplasias adjacent to colorectal adenocarcinoma in patients with IBD.

Objective: Recently, several non-conventional variants of IBD-associated dysplasia have been described; however, their prevalence in Central-Eastern Europe is unknown. We aimed to perform a retrospective pilot study by re-evaluating several IBD-associated adenocarcinoma cases to survey the incidence of adjacent non-conventional dysplasia and validate that recent North American findings may apply to a European population.

Methods: Retrospectively, 28 randomly chosen cases of IBD-associated adenocarcinomas diagnosed between 2010 and 2022 were re-evaluated. The patient's sex, age (at the diagnosis of IBD and neoplasia), type of IBD, type of specimen [biopsy (n = 8)/surgical specimen (n = 20)], histological type, grade, localisation, stage, disease-free (DFS) and overall survival (OS) were obtained. Statistical analyses were carried out by using Mann-Whitney (continuous variables), Fisher's exact (categorical variables), Kaplan-Meier (DFS/OS curves), and logrank test (survival curves).

Results: Exclusively, conventional dysplasia was observed in 11, and non-conventional dysplasia in 8 patients. Combined conventional and non-conventional dysplasia was detected in 9 patients. Non-conventional dysplasia showing a combination of multiple subtypes was noted in 10 cases. Altogether, 25 non-conventional dysplastic foci were identified, which were diagnosed as hypermucinous (n = 9), goblet cell-deficient (n = 6), serrated not otherwise specified (NOS) (n = 6), and traditional serrated adenoma-like (n = 4). The majority of non-conventional dysplasias were associated with ulcerative colitis (n = 12). Mucinous adenocarcinoma was exclusively associated with non-conventional dysplasia, while medullary carcinoma was only with conventional dysplasias (p = 0.014 and 0.041).

Conclusion: Based on our results, non-conventional dysplasia is common (60%) adjacent to IBD-associated adenocarcinomas in a Central-Eastern European population and may be detected in biopsies. As multiple recent publications reported evidence of a worse prognosis and more common flat morphology compared to conventional dysplasias, their recognition is of great importance, and stricter follow-up with random biopsy samples may be considered.

求助全文
通过发布文献求助,成功后即可免费获取论文全文。 去求助
来源期刊
CiteScore
6.30
自引率
0.00%
发文量
134
审稿时长
4-8 weeks
期刊介绍: Pathology & Oncology Research (POR) is an interdisciplinary Journal at the interface of pathology and oncology including the preclinical and translational research, diagnostics and therapy. Furthermore, POR is an international forum for the rapid communication of reviews, original research, critical and topical reports with excellence and novelty. Published quarterly, POR is dedicated to keeping scientists informed of developments on the selected biomedical fields bridging the gap between basic research and clinical medicine. It is a special aim for POR to promote pathological and oncological publishing activity of colleagues in the Central and East European region. The journal will be of interest to pathologists, and a broad range of experimental and clinical oncologists, and related experts. POR is supported by an acknowledged international advisory board and the Arányi Fundation for modern pathology.
×
引用
GB/T 7714-2015
复制
MLA
复制
APA
复制
导出至
BibTeX EndNote RefMan NoteFirst NoteExpress
×
提示
您的信息不完整,为了账户安全,请先补充。
现在去补充
×
提示
您因"违规操作"
具体请查看互助需知
我知道了
×
提示
确定
请完成安全验证×
copy
已复制链接
快去分享给好友吧!
我知道了
右上角分享
点击右上角分享
0
联系我们:info@booksci.cn Book学术提供免费学术资源搜索服务,方便国内外学者检索中英文文献。致力于提供最便捷和优质的服务体验。 Copyright © 2023 布克学术 All rights reserved.
京ICP备2023020795号-1
ghs 京公网安备 11010802042870号
Book学术文献互助
Book学术文献互助群
群 号:604180095
Book学术官方微信