妊娠期垂体瘤卒中伴微泌乳素瘤生长:病例报告及文献复习。

IF 0.9 Q4 ENDOCRINOLOGY & METABOLISM
Case Reports in Endocrinology Pub Date : 2025-01-07 eCollection Date: 2025-01-01 DOI:10.1155/crie/2490132
Lucia Introini, Jenifer Silva, Mariana Risso, Beatriz Mendoza, Maria M Pineyro
{"title":"妊娠期垂体瘤卒中伴微泌乳素瘤生长:病例报告及文献复习。","authors":"Lucia Introini, Jenifer Silva, Mariana Risso, Beatriz Mendoza, Maria M Pineyro","doi":"10.1155/crie/2490132","DOIUrl":null,"url":null,"abstract":"<p><p>Prolactinomas are the most prevalent subtype of pituitary adenomas and represent one of the leading etiological factors responsible for amenorrhea and infertility in women. The primary therapeutic approach entails the use of dopamine agonists, which effectively restore fertility. In cases of microprolactinomas, the likelihood of experiencing a symptomatic enlargement of the tumor during pregnancy is exceptionally low, estimated at a mere 2.4%. Consequently, once pregnancy is successfully achieved, the administration of dopamine agonists is discontinued, with ongoing clinical monitoring of the patient's condition. The incidence of pituitary apoplexy during pregnancy is exceedingly rare. We present a case of a 29-year-old patient with microprolactinoma, treated with cabergoline, which was discontinued upon achieving pregnancy. However, at the 16th week of gestation, she presented with persistent headaches and compromised visual acuity, manifesting as left temporal hemianopia. A noncontrast magnetic resonance imaging (MRI) revealed an enlargement of the adenoma, accompanied by evidence of hemorrhage. She was referred to our hospital at 26 weeks of gestation. Cabergoline treatment was reinstated and well tolerated by the patient. Doses were increased to 2 mg per week because bitemporal hemianopia was not improving. A subsequent noncontrast MRI scan performed at 35 weeks of gestation demonstrated a further increase in adenoma size, measuring 17 × 21 × 13 mm, with signs of intratumoral bleeding. A planned cesarean section was performed at 39 weeks of gestation, without encountering maternal-fetal complications. Breastfeeding was not initiated due to the adenoma's compression of the chiasm. Accordingly, dopamine agonist therapy was continued. During the postpartum follow-up, the patient experienced a resumption of menstrual cycles, normalization of prolactin levels, and a reduction in tumor size. Ultimately, the diagnosis was established as a microprolactinoma, which had enlarged during pregnancy due to a pituitary tumor apoplexy. Although microprolactinomas typically carry a low risk of symptomatic tumor growth during pregnancy, this case emphasizes the critical importance of vigilant clinical monitoring to swiftly detect and manage this rare complication. This instance serves as an educational example of an uncommon event-a microprolactinoma experiencing apoplexy during pregnancy.</p>","PeriodicalId":9621,"journal":{"name":"Case Reports in Endocrinology","volume":"2025 ","pages":"2490132"},"PeriodicalIF":0.9000,"publicationDate":"2025-01-07","publicationTypes":"Journal Article","fieldsOfStudy":null,"isOpenAccess":false,"openAccessPdf":"https://www.ncbi.nlm.nih.gov/pmc/articles/PMC11732282/pdf/","citationCount":"0","resultStr":"{\"title\":\"Microprolactinoma Growth During Pregnancy With Pituitary Tumor Apoplexy: Case Report and Review of the Literature.\",\"authors\":\"Lucia Introini, Jenifer Silva, Mariana Risso, Beatriz Mendoza, Maria M Pineyro\",\"doi\":\"10.1155/crie/2490132\",\"DOIUrl\":null,\"url\":null,\"abstract\":\"<p><p>Prolactinomas are the most prevalent subtype of pituitary adenomas and represent one of the leading etiological factors responsible for amenorrhea and infertility in women. The primary therapeutic approach entails the use of dopamine agonists, which effectively restore fertility. In cases of microprolactinomas, the likelihood of experiencing a symptomatic enlargement of the tumor during pregnancy is exceptionally low, estimated at a mere 2.4%. Consequently, once pregnancy is successfully achieved, the administration of dopamine agonists is discontinued, with ongoing clinical monitoring of the patient's condition. The incidence of pituitary apoplexy during pregnancy is exceedingly rare. We present a case of a 29-year-old patient with microprolactinoma, treated with cabergoline, which was discontinued upon achieving pregnancy. However, at the 16th week of gestation, she presented with persistent headaches and compromised visual acuity, manifesting as left temporal hemianopia. A noncontrast magnetic resonance imaging (MRI) revealed an enlargement of the adenoma, accompanied by evidence of hemorrhage. She was referred to our hospital at 26 weeks of gestation. Cabergoline treatment was reinstated and well tolerated by the patient. Doses were increased to 2 mg per week because bitemporal hemianopia was not improving. A subsequent noncontrast MRI scan performed at 35 weeks of gestation demonstrated a further increase in adenoma size, measuring 17 × 21 × 13 mm, with signs of intratumoral bleeding. A planned cesarean section was performed at 39 weeks of gestation, without encountering maternal-fetal complications. Breastfeeding was not initiated due to the adenoma's compression of the chiasm. Accordingly, dopamine agonist therapy was continued. During the postpartum follow-up, the patient experienced a resumption of menstrual cycles, normalization of prolactin levels, and a reduction in tumor size. Ultimately, the diagnosis was established as a microprolactinoma, which had enlarged during pregnancy due to a pituitary tumor apoplexy. Although microprolactinomas typically carry a low risk of symptomatic tumor growth during pregnancy, this case emphasizes the critical importance of vigilant clinical monitoring to swiftly detect and manage this rare complication. This instance serves as an educational example of an uncommon event-a microprolactinoma experiencing apoplexy during pregnancy.</p>\",\"PeriodicalId\":9621,\"journal\":{\"name\":\"Case Reports in Endocrinology\",\"volume\":\"2025 \",\"pages\":\"2490132\"},\"PeriodicalIF\":0.9000,\"publicationDate\":\"2025-01-07\",\"publicationTypes\":\"Journal Article\",\"fieldsOfStudy\":null,\"isOpenAccess\":false,\"openAccessPdf\":\"https://www.ncbi.nlm.nih.gov/pmc/articles/PMC11732282/pdf/\",\"citationCount\":\"0\",\"resultStr\":null,\"platform\":\"Semanticscholar\",\"paperid\":null,\"PeriodicalName\":\"Case Reports in Endocrinology\",\"FirstCategoryId\":\"1085\",\"ListUrlMain\":\"https://doi.org/10.1155/crie/2490132\",\"RegionNum\":0,\"RegionCategory\":null,\"ArticlePicture\":[],\"TitleCN\":null,\"AbstractTextCN\":null,\"PMCID\":null,\"EPubDate\":\"2025/1/1 0:00:00\",\"PubModel\":\"eCollection\",\"JCR\":\"Q4\",\"JCRName\":\"ENDOCRINOLOGY & METABOLISM\",\"Score\":null,\"Total\":0}","platform":"Semanticscholar","paperid":null,"PeriodicalName":"Case Reports in Endocrinology","FirstCategoryId":"1085","ListUrlMain":"https://doi.org/10.1155/crie/2490132","RegionNum":0,"RegionCategory":null,"ArticlePicture":[],"TitleCN":null,"AbstractTextCN":null,"PMCID":null,"EPubDate":"2025/1/1 0:00:00","PubModel":"eCollection","JCR":"Q4","JCRName":"ENDOCRINOLOGY & METABOLISM","Score":null,"Total":0}
引用次数: 0

摘要

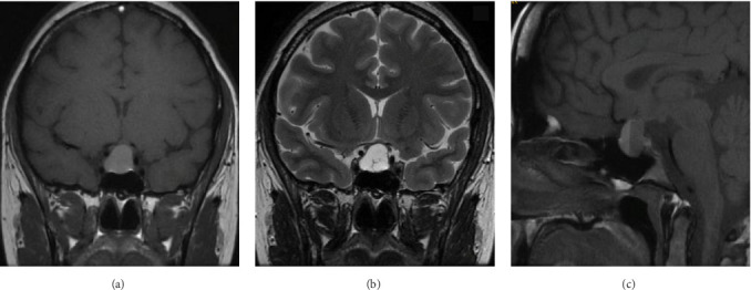
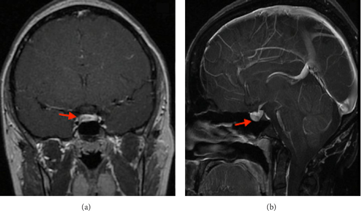
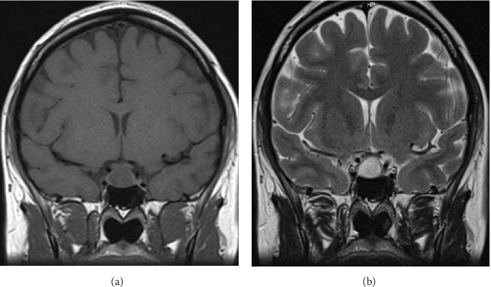
催乳素瘤是垂体腺瘤中最常见的亚型,是导致女性闭经和不孕的主要病因之一。主要的治疗方法需要使用多巴胺激动剂,有效地恢复生育能力。在微泌乳素瘤的病例中,在怀孕期间出现症状性肿瘤扩大的可能性非常低,估计只有2.4%。因此,一旦成功怀孕,停用多巴胺激动剂,并对患者的病情进行持续的临床监测。妊娠期脑垂体中风的发生率极为罕见。我们提出一个病例29岁的患者与微泌乳素瘤,治疗卡麦角林,这是停止在实现怀孕。然而,在妊娠第16周,她出现了持续的头痛和视力下降,表现为左颞偏视。非对比磁共振成像(MRI)显示腺瘤增大,并伴有出血的迹象。她在怀孕26周时被转介到我们医院。卡麦角林治疗恢复,患者耐受良好。剂量增加到每周2毫克,因为双颞偏视没有改善。妊娠35周进行的非对比MRI扫描显示腺瘤尺寸进一步增大,尺寸为17 × 21 × 13 mm,并有瘤内出血的迹象。在妊娠39周进行了有计划的剖宫产手术,没有遇到母胎并发症。由于腺瘤压迫交叉,没有开始母乳喂养。因此,继续使用多巴胺激动剂治疗。在产后随访期间,患者经历了月经周期恢复,催乳素水平正常化,肿瘤大小缩小。最终,诊断确定为微泌乳素瘤,在怀孕期间由于垂体瘤中风而扩大。虽然微泌乳素瘤在妊娠期间通常具有较低的症状性肿瘤生长风险,但本病例强调了警惕的临床监测对迅速发现和处理这种罕见并发症的重要性。这个例子作为一个不常见事件的教育例子-微泌乳素瘤在怀孕期间经历中风。
本文章由计算机程序翻译,如有差异,请以英文原文为准。

Microprolactinoma Growth During Pregnancy With Pituitary Tumor Apoplexy: Case Report and Review of the Literature.

Microprolactinoma Growth During Pregnancy With Pituitary Tumor Apoplexy: Case Report and Review of the Literature.

Microprolactinoma Growth During Pregnancy With Pituitary Tumor Apoplexy: Case Report and Review of the Literature.

Microprolactinoma Growth During Pregnancy With Pituitary Tumor Apoplexy: Case Report and Review of the Literature.

Prolactinomas are the most prevalent subtype of pituitary adenomas and represent one of the leading etiological factors responsible for amenorrhea and infertility in women. The primary therapeutic approach entails the use of dopamine agonists, which effectively restore fertility. In cases of microprolactinomas, the likelihood of experiencing a symptomatic enlargement of the tumor during pregnancy is exceptionally low, estimated at a mere 2.4%. Consequently, once pregnancy is successfully achieved, the administration of dopamine agonists is discontinued, with ongoing clinical monitoring of the patient's condition. The incidence of pituitary apoplexy during pregnancy is exceedingly rare. We present a case of a 29-year-old patient with microprolactinoma, treated with cabergoline, which was discontinued upon achieving pregnancy. However, at the 16th week of gestation, she presented with persistent headaches and compromised visual acuity, manifesting as left temporal hemianopia. A noncontrast magnetic resonance imaging (MRI) revealed an enlargement of the adenoma, accompanied by evidence of hemorrhage. She was referred to our hospital at 26 weeks of gestation. Cabergoline treatment was reinstated and well tolerated by the patient. Doses were increased to 2 mg per week because bitemporal hemianopia was not improving. A subsequent noncontrast MRI scan performed at 35 weeks of gestation demonstrated a further increase in adenoma size, measuring 17 × 21 × 13 mm, with signs of intratumoral bleeding. A planned cesarean section was performed at 39 weeks of gestation, without encountering maternal-fetal complications. Breastfeeding was not initiated due to the adenoma's compression of the chiasm. Accordingly, dopamine agonist therapy was continued. During the postpartum follow-up, the patient experienced a resumption of menstrual cycles, normalization of prolactin levels, and a reduction in tumor size. Ultimately, the diagnosis was established as a microprolactinoma, which had enlarged during pregnancy due to a pituitary tumor apoplexy. Although microprolactinomas typically carry a low risk of symptomatic tumor growth during pregnancy, this case emphasizes the critical importance of vigilant clinical monitoring to swiftly detect and manage this rare complication. This instance serves as an educational example of an uncommon event-a microprolactinoma experiencing apoplexy during pregnancy.

求助全文
通过发布文献求助,成功后即可免费获取论文全文。 去求助
来源期刊
Case Reports in Endocrinology
Case Reports in Endocrinology ENDOCRINOLOGY & METABOLISM-
CiteScore
2.10
自引率
0.00%
发文量
45
审稿时长
13 weeks
×
引用
GB/T 7714-2015
复制
MLA
复制
APA
复制
导出至
BibTeX EndNote RefMan NoteFirst NoteExpress
×
提示
您的信息不完整,为了账户安全,请先补充。
现在去补充
×
提示
您因"违规操作"
具体请查看互助需知
我知道了
×
提示
确定
请完成安全验证×
copy
已复制链接
快去分享给好友吧!
我知道了
右上角分享
点击右上角分享
0
联系我们:info@booksci.cn Book学术提供免费学术资源搜索服务,方便国内外学者检索中英文文献。致力于提供最便捷和优质的服务体验。 Copyright © 2023 布克学术 All rights reserved.
京ICP备2023020795号-1
ghs 京公网安备 11010802042870号
Book学术文献互助
Book学术文献互助群
群 号:604180095
Book学术官方微信