经导管抢救垂死的格伦——格伦后血栓形成的创新策略。

IF 0.7 Q4 CARDIAC & CARDIOVASCULAR SYSTEMS
Annals of Pediatric Cardiology Pub Date : 2024-09-01 Epub Date: 2024-12-24 DOI:10.4103/apc.apc_187_24
Shantanu Jain, Debasree Gangopadhyay, Sabharisundaravel Paulraj, Mahua Roy, Jayitri Mazumdar, Joyeeta Dutta
{"title":"经导管抢救垂死的格伦——格伦后血栓形成的创新策略。","authors":"Shantanu Jain, Debasree Gangopadhyay, Sabharisundaravel Paulraj, Mahua Roy, Jayitri Mazumdar, Joyeeta Dutta","doi":"10.4103/apc.apc_187_24","DOIUrl":null,"url":null,"abstract":"<p><p>PostGlenn thrombosis is an infrequent, serious complication requiring immediate attention, which is not uncommon in a resource-limited setting where patients are often lost to follow-up and have poor compliance with medications. This rare complication has infrequently been reported in the past. We describe a case of a massive thromboembolic event in a patient presenting acutely in a decompensated state 14 years after initial palliation by Glenn shunt. We report an innovative strategy of using transcatheter mechanical thrombectomy using a rotational thrombectomy device and chemical thrombolysis for the successful salvation of the Glenn circuit.</p>","PeriodicalId":8026,"journal":{"name":"Annals of Pediatric Cardiology","volume":"17 5","pages":"372-376"},"PeriodicalIF":0.7000,"publicationDate":"2024-09-01","publicationTypes":"Journal Article","fieldsOfStudy":null,"isOpenAccess":false,"openAccessPdf":"https://www.ncbi.nlm.nih.gov/pmc/articles/PMC11737623/pdf/","citationCount":"0","resultStr":"{\"title\":\"Transcatheter salvage of dying Glenn - An innovative strategy for postGlenn thrombosis.\",\"authors\":\"Shantanu Jain, Debasree Gangopadhyay, Sabharisundaravel Paulraj, Mahua Roy, Jayitri Mazumdar, Joyeeta Dutta\",\"doi\":\"10.4103/apc.apc_187_24\",\"DOIUrl\":null,\"url\":null,\"abstract\":\"<p><p>PostGlenn thrombosis is an infrequent, serious complication requiring immediate attention, which is not uncommon in a resource-limited setting where patients are often lost to follow-up and have poor compliance with medications. This rare complication has infrequently been reported in the past. We describe a case of a massive thromboembolic event in a patient presenting acutely in a decompensated state 14 years after initial palliation by Glenn shunt. We report an innovative strategy of using transcatheter mechanical thrombectomy using a rotational thrombectomy device and chemical thrombolysis for the successful salvation of the Glenn circuit.</p>\",\"PeriodicalId\":8026,\"journal\":{\"name\":\"Annals of Pediatric Cardiology\",\"volume\":\"17 5\",\"pages\":\"372-376\"},\"PeriodicalIF\":0.7000,\"publicationDate\":\"2024-09-01\",\"publicationTypes\":\"Journal Article\",\"fieldsOfStudy\":null,\"isOpenAccess\":false,\"openAccessPdf\":\"https://www.ncbi.nlm.nih.gov/pmc/articles/PMC11737623/pdf/\",\"citationCount\":\"0\",\"resultStr\":null,\"platform\":\"Semanticscholar\",\"paperid\":null,\"PeriodicalName\":\"Annals of Pediatric Cardiology\",\"FirstCategoryId\":\"1085\",\"ListUrlMain\":\"https://doi.org/10.4103/apc.apc_187_24\",\"RegionNum\":0,\"RegionCategory\":null,\"ArticlePicture\":[],\"TitleCN\":null,\"AbstractTextCN\":null,\"PMCID\":null,\"EPubDate\":\"2024/12/24 0:00:00\",\"PubModel\":\"Epub\",\"JCR\":\"Q4\",\"JCRName\":\"CARDIAC & CARDIOVASCULAR SYSTEMS\",\"Score\":null,\"Total\":0}","platform":"Semanticscholar","paperid":null,"PeriodicalName":"Annals of Pediatric Cardiology","FirstCategoryId":"1085","ListUrlMain":"https://doi.org/10.4103/apc.apc_187_24","RegionNum":0,"RegionCategory":null,"ArticlePicture":[],"TitleCN":null,"AbstractTextCN":null,"PMCID":null,"EPubDate":"2024/12/24 0:00:00","PubModel":"Epub","JCR":"Q4","JCRName":"CARDIAC & CARDIOVASCULAR SYSTEMS","Score":null,"Total":0}
引用次数: 0

摘要

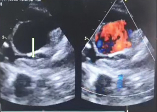
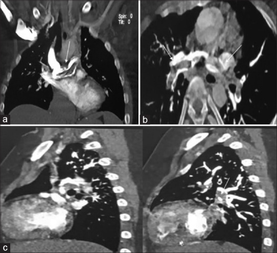
glenn后血栓形成是一种罕见的、需要立即关注的严重并发症,在资源有限的环境中,这种并发症并不罕见,因为患者往往无法随访,并且药物依从性差。这种罕见的并发症在过去很少有报道。我们描述了一个病例的一个巨大的血栓栓塞事件,在病人提出急性失代偿状态14年后,最初的姑息Glenn分流。我们报告了一种创新的策略,使用经导管机械取栓,使用旋转取栓装置和化学溶栓来成功拯救格伦电路。
本文章由计算机程序翻译,如有差异,请以英文原文为准。

Transcatheter salvage of dying Glenn - An innovative strategy for postGlenn thrombosis.

Transcatheter salvage of dying Glenn - An innovative strategy for postGlenn thrombosis.

Transcatheter salvage of dying Glenn - An innovative strategy for postGlenn thrombosis.

Transcatheter salvage of dying Glenn - An innovative strategy for postGlenn thrombosis.

PostGlenn thrombosis is an infrequent, serious complication requiring immediate attention, which is not uncommon in a resource-limited setting where patients are often lost to follow-up and have poor compliance with medications. This rare complication has infrequently been reported in the past. We describe a case of a massive thromboembolic event in a patient presenting acutely in a decompensated state 14 years after initial palliation by Glenn shunt. We report an innovative strategy of using transcatheter mechanical thrombectomy using a rotational thrombectomy device and chemical thrombolysis for the successful salvation of the Glenn circuit.

求助全文
通过发布文献求助,成功后即可免费获取论文全文。 去求助
来源期刊
Annals of Pediatric Cardiology
Annals of Pediatric Cardiology CARDIAC & CARDIOVASCULAR SYSTEMS-
CiteScore
1.40
自引率
14.30%
发文量
51
审稿时长
23 weeks
×
引用
GB/T 7714-2015
复制
MLA
复制
APA
复制
导出至
BibTeX EndNote RefMan NoteFirst NoteExpress
×
提示
您的信息不完整,为了账户安全,请先补充。
现在去补充
×
提示
您因"违规操作"
具体请查看互助需知
我知道了
×
提示
确定
请完成安全验证×
copy
已复制链接
快去分享给好友吧!
我知道了
右上角分享
点击右上角分享
0
联系我们:info@booksci.cn Book学术提供免费学术资源搜索服务,方便国内外学者检索中英文文献。致力于提供最便捷和优质的服务体验。 Copyright © 2023 布克学术 All rights reserved.
京ICP备2023020795号-1
ghs 京公网安备 11010802042870号
Book学术文献互助
Book学术文献互助群
群 号:604180095
Book学术官方微信