子宫肌瘤继发小肠梗阻1例。

IF 1.7 Q2 OBSTETRICS & GYNECOLOGY
Przeglad Menopauzalny Pub Date : 2024-12-01 Epub Date: 2024-12-22 DOI:10.5114/pm.2024.145956
Andreas Antzoulas, Georgios-Ioannis Verras, Vasileios Leivaditis, Athanasios Papatriantafyllou, Levan Tchabashvili, Nikolaos Benetatos, Francesk Mulita
{"title":"子宫肌瘤继发小肠梗阻1例。","authors":"Andreas Antzoulas, Georgios-Ioannis Verras, Vasileios Leivaditis, Athanasios Papatriantafyllou, Levan Tchabashvili, Nikolaos Benetatos, Francesk Mulita","doi":"10.5114/pm.2024.145956","DOIUrl":null,"url":null,"abstract":"<p><p>Small bowel obstruction (SBO) is a serious condition with distinct symptoms such as constipation, vomiting, and abdominal distension. It is commonly caused by well-recognised factors. Recent advancements in imaging techniques and minimally invasive procedures have significantly improved our ability to accurately select patients for surgical intervention and promptly identify common SBO causes. Nonetheless, it is crucial to recognise that diagnosing rare SBO causes remains a challenge. We present a rare case of mechanical bowel obstruction caused by massive uterine fibroids in a 44-year-old woman. Large uterine fibroids can cause mechanical small intestine obstruction, although this is not a common cause. Diagnostic imaging, particularly computed tomography, plays a crucial role in diagnosing and determining appropriate management plans. Accurate monitoring and imaging can lead to improved patient outcomes by avoiding unnecessary surgical intervention and reducing morbidity and mortality rates. Treatment options include both medical and surgical methods. Both approaches have proven effective, with surgical procedures being the last resort if medical treatments are unsuccessful. The accuracy and efficacy of these surgical methods have shown promising results and significant prognostic benefits. It is critical to identify and report rare causes of bowel obstruction to improve future recognition and enhance patient outcomes.</p>","PeriodicalId":55643,"journal":{"name":"Przeglad Menopauzalny","volume":"23 4","pages":"225-228"},"PeriodicalIF":1.7000,"publicationDate":"2024-12-01","publicationTypes":"Journal Article","fieldsOfStudy":null,"isOpenAccess":false,"openAccessPdf":"https://www.ncbi.nlm.nih.gov/pmc/articles/PMC11726188/pdf/","citationCount":"0","resultStr":"{\"title\":\"Small bowel obstruction secondary to uterine fibroids: a case presentation.\",\"authors\":\"Andreas Antzoulas, Georgios-Ioannis Verras, Vasileios Leivaditis, Athanasios Papatriantafyllou, Levan Tchabashvili, Nikolaos Benetatos, Francesk Mulita\",\"doi\":\"10.5114/pm.2024.145956\",\"DOIUrl\":null,\"url\":null,\"abstract\":\"<p><p>Small bowel obstruction (SBO) is a serious condition with distinct symptoms such as constipation, vomiting, and abdominal distension. It is commonly caused by well-recognised factors. Recent advancements in imaging techniques and minimally invasive procedures have significantly improved our ability to accurately select patients for surgical intervention and promptly identify common SBO causes. Nonetheless, it is crucial to recognise that diagnosing rare SBO causes remains a challenge. We present a rare case of mechanical bowel obstruction caused by massive uterine fibroids in a 44-year-old woman. Large uterine fibroids can cause mechanical small intestine obstruction, although this is not a common cause. Diagnostic imaging, particularly computed tomography, plays a crucial role in diagnosing and determining appropriate management plans. Accurate monitoring and imaging can lead to improved patient outcomes by avoiding unnecessary surgical intervention and reducing morbidity and mortality rates. Treatment options include both medical and surgical methods. Both approaches have proven effective, with surgical procedures being the last resort if medical treatments are unsuccessful. The accuracy and efficacy of these surgical methods have shown promising results and significant prognostic benefits. It is critical to identify and report rare causes of bowel obstruction to improve future recognition and enhance patient outcomes.</p>\",\"PeriodicalId\":55643,\"journal\":{\"name\":\"Przeglad Menopauzalny\",\"volume\":\"23 4\",\"pages\":\"225-228\"},\"PeriodicalIF\":1.7000,\"publicationDate\":\"2024-12-01\",\"publicationTypes\":\"Journal Article\",\"fieldsOfStudy\":null,\"isOpenAccess\":false,\"openAccessPdf\":\"https://www.ncbi.nlm.nih.gov/pmc/articles/PMC11726188/pdf/\",\"citationCount\":\"0\",\"resultStr\":null,\"platform\":\"Semanticscholar\",\"paperid\":null,\"PeriodicalName\":\"Przeglad Menopauzalny\",\"FirstCategoryId\":\"1085\",\"ListUrlMain\":\"https://doi.org/10.5114/pm.2024.145956\",\"RegionNum\":0,\"RegionCategory\":null,\"ArticlePicture\":[],\"TitleCN\":null,\"AbstractTextCN\":null,\"PMCID\":null,\"EPubDate\":\"2024/12/22 0:00:00\",\"PubModel\":\"Epub\",\"JCR\":\"Q2\",\"JCRName\":\"OBSTETRICS & GYNECOLOGY\",\"Score\":null,\"Total\":0}","platform":"Semanticscholar","paperid":null,"PeriodicalName":"Przeglad Menopauzalny","FirstCategoryId":"1085","ListUrlMain":"https://doi.org/10.5114/pm.2024.145956","RegionNum":0,"RegionCategory":null,"ArticlePicture":[],"TitleCN":null,"AbstractTextCN":null,"PMCID":null,"EPubDate":"2024/12/22 0:00:00","PubModel":"Epub","JCR":"Q2","JCRName":"OBSTETRICS & GYNECOLOGY","Score":null,"Total":0}
引用次数: 0

摘要

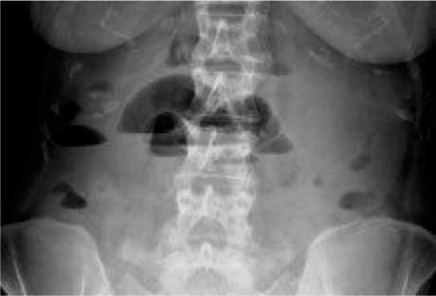
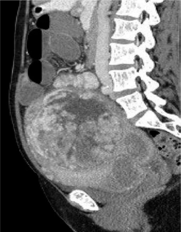
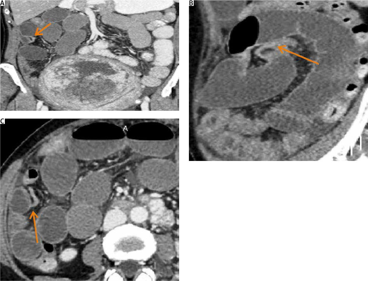
小肠梗阻(SBO)是一种严重的疾病,有明显的症状,如便秘、呕吐和腹胀。它通常是由公认的因素引起的。成像技术和微创手术的最新进展大大提高了我们准确选择手术干预患者和迅速识别常见SBO原因的能力。然而,认识到诊断罕见的SBO病因仍然是一项挑战,这一点至关重要。我们报告一个罕见的病例机械性肠梗阻由巨大的子宫肌瘤引起的44岁妇女。大子宫肌瘤可引起机械性小肠阻塞,虽然这不是常见的原因。诊断成像,特别是计算机断层扫描,在诊断和确定适当的管理计划中起着至关重要的作用。准确的监测和成像可以通过避免不必要的手术干预和降低发病率和死亡率来改善患者的预后。治疗方法包括内科和外科两种。这两种方法都被证明是有效的,如果药物治疗不成功,外科手术是最后的手段。这些手术方法的准确性和有效性已显示出良好的结果和显著的预后益处。识别和报告罕见的肠梗阻原因对于提高未来的认识和提高患者的预后是至关重要的。
本文章由计算机程序翻译,如有差异,请以英文原文为准。

Small bowel obstruction secondary to uterine fibroids: a case presentation.

Small bowel obstruction secondary to uterine fibroids: a case presentation.

Small bowel obstruction secondary to uterine fibroids: a case presentation.

Small bowel obstruction secondary to uterine fibroids: a case presentation.

Small bowel obstruction (SBO) is a serious condition with distinct symptoms such as constipation, vomiting, and abdominal distension. It is commonly caused by well-recognised factors. Recent advancements in imaging techniques and minimally invasive procedures have significantly improved our ability to accurately select patients for surgical intervention and promptly identify common SBO causes. Nonetheless, it is crucial to recognise that diagnosing rare SBO causes remains a challenge. We present a rare case of mechanical bowel obstruction caused by massive uterine fibroids in a 44-year-old woman. Large uterine fibroids can cause mechanical small intestine obstruction, although this is not a common cause. Diagnostic imaging, particularly computed tomography, plays a crucial role in diagnosing and determining appropriate management plans. Accurate monitoring and imaging can lead to improved patient outcomes by avoiding unnecessary surgical intervention and reducing morbidity and mortality rates. Treatment options include both medical and surgical methods. Both approaches have proven effective, with surgical procedures being the last resort if medical treatments are unsuccessful. The accuracy and efficacy of these surgical methods have shown promising results and significant prognostic benefits. It is critical to identify and report rare causes of bowel obstruction to improve future recognition and enhance patient outcomes.

求助全文
通过发布文献求助,成功后即可免费获取论文全文。 去求助
来源期刊
Przeglad Menopauzalny
Przeglad Menopauzalny OBSTETRICS & GYNECOLOGY-
CiteScore
3.40
自引率
11.10%
发文量
32
审稿时长
6-12 weeks
期刊介绍: Menopausal Review is a scientific bimonthly aimed at gynecologists and endocrinologists.
×
引用
GB/T 7714-2015
复制
MLA
复制
APA
复制
导出至
BibTeX EndNote RefMan NoteFirst NoteExpress
×
提示
您的信息不完整,为了账户安全,请先补充。
现在去补充
×
提示
您因"违规操作"
具体请查看互助需知
我知道了
×
提示
确定
请完成安全验证×
copy
已复制链接
快去分享给好友吧!
我知道了
右上角分享
点击右上角分享
0
联系我们:info@booksci.cn Book学术提供免费学术资源搜索服务,方便国内外学者检索中英文文献。致力于提供最便捷和优质的服务体验。 Copyright © 2023 布克学术 All rights reserved.
京ICP备2023020795号-1
ghs 京公网安备 11010802042870号
Book学术文献互助
Book学术文献互助群
群 号:604180095
Book学术官方微信