超越界限:乳腺癌转移至结肠--洞察罕见而重要的临床情况:病例系列。

Mirza Faraz Saeed, Safa H Rahma, Maryam S Alrabeea, Noor A Albastaki, Isam M Juma
{"title":"超越界限:乳腺癌转移至结肠--洞察罕见而重要的临床情况:病例系列。","authors":"Mirza Faraz Saeed, Safa H Rahma, Maryam S Alrabeea, Noor A Albastaki, Isam M Juma","doi":"10.5005/jp-journals-10018-1449","DOIUrl":null,"url":null,"abstract":"<p><strong>Background: </strong>Colorectal metastasis from primary breast cancer is rare and presents a challenge for diagnosis and treatment.</p><p><strong>Aim: </strong>To report two cases of colorectal metastasis from a primary invasive lobular breast carcinoma (ILBC) with different presentations while discussing the mode of diagnosis, immunohistochemistry (IHC), course of treatment, and response.</p><p><strong>Case descriptions: </strong></p><p><strong>Case 1: </strong>A 47-year-old female, with a known case of bilateral invasive lobular breast cancer, was diagnosed in 2015 and staged as p Tx N3 M0. She underwent a bilateral nipple-sparing mastectomy and presented 8 years later with complaints of left-sided abdominal pain and altered bowel habits for 2 months. She underwent a colonoscopy, and an erythematous area was noted in the ascending colon, and narrowings were seen in the transverse and rectosigmoid junction. Histopathological findings were consistent with metastatic ILBC with the same IHC pattern.</p><p><strong>Case 2: </strong>A 52-year-old woman presented in September 2019 with a 1-month history of constipation, generalized colicky abdominal pain, 7 kg weight loss, nausea, and anorexia. She underwent a colonoscopy, which revealed a malignant-appearing apple-core lesion at the proximal rectum with severe stenosis that could not be bypassed. A PET-CT showed suspicious breast lesions, and after further investigations and biopsies, she was diagnosed with primary invasive lobular carcinoma (ILC) of the breast with rectal metastasis.</p><p><strong>Clinical significance: </strong>With the increasing incidence of both colorectal and breast cancer and the rarity of breast cancer metastasis to the gastrointestinal tract (GIT), this case series aims to highlight the growing incidence of lobular breast cancer metastasis to the colon and to shed light on the importance of further research in this area in terms of early detection and treatment to improve the prognosis of such patients.</p><p><strong>Conclusion: </strong>This case series highlights the clinical presentations, diagnosis, histopathology, challenges, and trials of treatment in our patients. These findings show the importance of considering gastrointestinal (GI) involvement in breast cancer patients and the need for multidisciplinary approaches to achieve better outcomes. However, this is an area of need for more research and awareness to improve the understanding and management of GI metastases from breast cancer.</p><p><strong>How to cite this article: </strong>Saeed MF, Rahma SH, Alrabeea MS, <i>et al.</i> Beyond Boundaries: Breast Cancer Metastasizing to Colon-An Insight into a Rare yet Significant Clinical Scenario: A Case Series. Euroasian J Hepato-Gastroenterol 2024;14(2):238-243.</p>","PeriodicalId":516317,"journal":{"name":"Euroasian journal of hepato-gastroenterology","volume":"14 2","pages":"238-243"},"PeriodicalIF":0.0000,"publicationDate":"2024-07-01","publicationTypes":"Journal Article","fieldsOfStudy":null,"isOpenAccess":false,"openAccessPdf":"https://www.ncbi.nlm.nih.gov/pmc/articles/PMC11714109/pdf/","citationCount":"0","resultStr":"{\"title\":\"Beyond Boundaries: Breast Cancer Metastasizing to Colon-An Insight into a Rare yet Significant Clinical Scenario: A Case Series.\",\"authors\":\"Mirza Faraz Saeed, Safa H Rahma, Maryam S Alrabeea, Noor A Albastaki, Isam M Juma\",\"doi\":\"10.5005/jp-journals-10018-1449\",\"DOIUrl\":null,\"url\":null,\"abstract\":\"<p><strong>Background: </strong>Colorectal metastasis from primary breast cancer is rare and presents a challenge for diagnosis and treatment.</p><p><strong>Aim: </strong>To report two cases of colorectal metastasis from a primary invasive lobular breast carcinoma (ILBC) with different presentations while discussing the mode of diagnosis, immunohistochemistry (IHC), course of treatment, and response.</p><p><strong>Case descriptions: </strong></p><p><strong>Case 1: </strong>A 47-year-old female, with a known case of bilateral invasive lobular breast cancer, was diagnosed in 2015 and staged as p Tx N3 M0. She underwent a bilateral nipple-sparing mastectomy and presented 8 years later with complaints of left-sided abdominal pain and altered bowel habits for 2 months. She underwent a colonoscopy, and an erythematous area was noted in the ascending colon, and narrowings were seen in the transverse and rectosigmoid junction. Histopathological findings were consistent with metastatic ILBC with the same IHC pattern.</p><p><strong>Case 2: </strong>A 52-year-old woman presented in September 2019 with a 1-month history of constipation, generalized colicky abdominal pain, 7 kg weight loss, nausea, and anorexia. She underwent a colonoscopy, which revealed a malignant-appearing apple-core lesion at the proximal rectum with severe stenosis that could not be bypassed. A PET-CT showed suspicious breast lesions, and after further investigations and biopsies, she was diagnosed with primary invasive lobular carcinoma (ILC) of the breast with rectal metastasis.</p><p><strong>Clinical significance: </strong>With the increasing incidence of both colorectal and breast cancer and the rarity of breast cancer metastasis to the gastrointestinal tract (GIT), this case series aims to highlight the growing incidence of lobular breast cancer metastasis to the colon and to shed light on the importance of further research in this area in terms of early detection and treatment to improve the prognosis of such patients.</p><p><strong>Conclusion: </strong>This case series highlights the clinical presentations, diagnosis, histopathology, challenges, and trials of treatment in our patients. These findings show the importance of considering gastrointestinal (GI) involvement in breast cancer patients and the need for multidisciplinary approaches to achieve better outcomes. However, this is an area of need for more research and awareness to improve the understanding and management of GI metastases from breast cancer.</p><p><strong>How to cite this article: </strong>Saeed MF, Rahma SH, Alrabeea MS, <i>et al.</i> Beyond Boundaries: Breast Cancer Metastasizing to Colon-An Insight into a Rare yet Significant Clinical Scenario: A Case Series. Euroasian J Hepato-Gastroenterol 2024;14(2):238-243.</p>\",\"PeriodicalId\":516317,\"journal\":{\"name\":\"Euroasian journal of hepato-gastroenterology\",\"volume\":\"14 2\",\"pages\":\"238-243\"},\"PeriodicalIF\":0.0000,\"publicationDate\":\"2024-07-01\",\"publicationTypes\":\"Journal Article\",\"fieldsOfStudy\":null,\"isOpenAccess\":false,\"openAccessPdf\":\"https://www.ncbi.nlm.nih.gov/pmc/articles/PMC11714109/pdf/\",\"citationCount\":\"0\",\"resultStr\":null,\"platform\":\"Semanticscholar\",\"paperid\":null,\"PeriodicalName\":\"Euroasian journal of hepato-gastroenterology\",\"FirstCategoryId\":\"1085\",\"ListUrlMain\":\"https://doi.org/10.5005/jp-journals-10018-1449\",\"RegionNum\":0,\"RegionCategory\":null,\"ArticlePicture\":[],\"TitleCN\":null,\"AbstractTextCN\":null,\"PMCID\":null,\"EPubDate\":\"2024/12/27 0:00:00\",\"PubModel\":\"Epub\",\"JCR\":\"\",\"JCRName\":\"\",\"Score\":null,\"Total\":0}","platform":"Semanticscholar","paperid":null,"PeriodicalName":"Euroasian journal of hepato-gastroenterology","FirstCategoryId":"1085","ListUrlMain":"https://doi.org/10.5005/jp-journals-10018-1449","RegionNum":0,"RegionCategory":null,"ArticlePicture":[],"TitleCN":null,"AbstractTextCN":null,"PMCID":null,"EPubDate":"2024/12/27 0:00:00","PubModel":"Epub","JCR":"","JCRName":"","Score":null,"Total":0}
引用次数: 0

摘要

背景:原发性乳腺癌结直肠转移非常罕见,对诊断和治疗提出了挑战。目的:报告两例不同临床表现的原发性浸润性小叶性乳腺癌(ILBC)的结直肠转移,并探讨其诊断方式、免疫组化(IHC)、治疗过程和疗效。病例描述:病例1:47岁女性,已知双侧浸润性小叶性乳腺癌,2015年确诊,分期为p Tx N3 M0。她接受了双侧乳头保留乳房切除术,8年后出现左侧腹痛和排便习惯改变2个月。患者行结肠镜检查,发现升结肠红斑区,横结肠和直肠乙状结肠连接处狭窄。组织病理学结果与转移性ILBC一致,具有相同的免疫组化模式。病例2:一名52岁女性,于2019年9月出现便秘、全身性绞痛、体重减轻7公斤、恶心和厌食症,病史1个月。她接受了结肠镜检查,发现直肠近端有一个恶性的苹果核病变,伴有严重的狭窄,无法绕过。PET-CT显示可疑乳腺病变,经进一步检查和活检,诊断为乳腺原发性浸润性小叶癌(ILC)伴直肠转移。临床意义:随着结、乳腺癌发病率的不断上升,以及乳腺癌转移至胃肠道(GIT)的罕见,本病例系列旨在强调小叶型乳腺癌转移至结肠的发病率不断上升,并阐明进一步研究该领域对早期发现和治疗改善患者预后的重要性。结论:本病例系列突出了我们患者的临床表现、诊断、组织病理学、挑战和治疗试验。这些发现表明考虑胃肠道(GI)参与乳腺癌患者的重要性和需要多学科的方法来实现更好的结果。然而,这是一个需要更多研究和认识的领域,以提高对乳腺癌胃肠道转移的理解和管理。文章引用方式:Saeed MF, Rahma SH, Alrabeea MS等。超越界限:乳腺癌转移到结肠-一个罕见但重要的临床情况的见解:一个病例系列。中华胃肠病杂志;2009;14(2):238-243。
本文章由计算机程序翻译,如有差异,请以英文原文为准。

Beyond Boundaries: Breast Cancer Metastasizing to Colon-An Insight into a Rare yet Significant Clinical Scenario: A Case Series.

Beyond Boundaries: Breast Cancer Metastasizing to Colon-An Insight into a Rare yet Significant Clinical Scenario: A Case Series.

Beyond Boundaries: Breast Cancer Metastasizing to Colon-An Insight into a Rare yet Significant Clinical Scenario: A Case Series.

Beyond Boundaries: Breast Cancer Metastasizing to Colon-An Insight into a Rare yet Significant Clinical Scenario: A Case Series.

Background: Colorectal metastasis from primary breast cancer is rare and presents a challenge for diagnosis and treatment.

Aim: To report two cases of colorectal metastasis from a primary invasive lobular breast carcinoma (ILBC) with different presentations while discussing the mode of diagnosis, immunohistochemistry (IHC), course of treatment, and response.

Case descriptions:

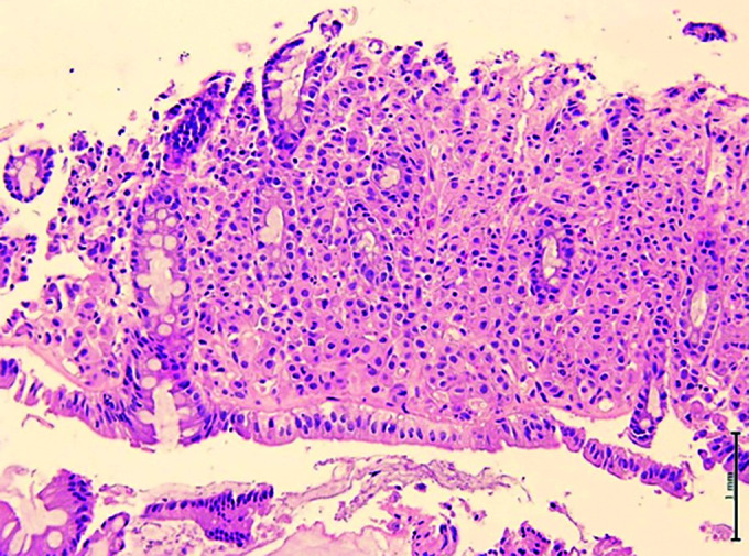
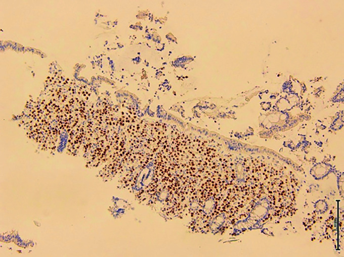
Case 1: A 47-year-old female, with a known case of bilateral invasive lobular breast cancer, was diagnosed in 2015 and staged as p Tx N3 M0. She underwent a bilateral nipple-sparing mastectomy and presented 8 years later with complaints of left-sided abdominal pain and altered bowel habits for 2 months. She underwent a colonoscopy, and an erythematous area was noted in the ascending colon, and narrowings were seen in the transverse and rectosigmoid junction. Histopathological findings were consistent with metastatic ILBC with the same IHC pattern.

Case 2: A 52-year-old woman presented in September 2019 with a 1-month history of constipation, generalized colicky abdominal pain, 7 kg weight loss, nausea, and anorexia. She underwent a colonoscopy, which revealed a malignant-appearing apple-core lesion at the proximal rectum with severe stenosis that could not be bypassed. A PET-CT showed suspicious breast lesions, and after further investigations and biopsies, she was diagnosed with primary invasive lobular carcinoma (ILC) of the breast with rectal metastasis.

Clinical significance: With the increasing incidence of both colorectal and breast cancer and the rarity of breast cancer metastasis to the gastrointestinal tract (GIT), this case series aims to highlight the growing incidence of lobular breast cancer metastasis to the colon and to shed light on the importance of further research in this area in terms of early detection and treatment to improve the prognosis of such patients.

Conclusion: This case series highlights the clinical presentations, diagnosis, histopathology, challenges, and trials of treatment in our patients. These findings show the importance of considering gastrointestinal (GI) involvement in breast cancer patients and the need for multidisciplinary approaches to achieve better outcomes. However, this is an area of need for more research and awareness to improve the understanding and management of GI metastases from breast cancer.

How to cite this article: Saeed MF, Rahma SH, Alrabeea MS, et al. Beyond Boundaries: Breast Cancer Metastasizing to Colon-An Insight into a Rare yet Significant Clinical Scenario: A Case Series. Euroasian J Hepato-Gastroenterol 2024;14(2):238-243.

求助全文
通过发布文献求助,成功后即可免费获取论文全文。 去求助
来源期刊
自引率
0.00%
发文量
0
×
引用
GB/T 7714-2015
复制
MLA
复制
APA
复制
导出至
BibTeX EndNote RefMan NoteFirst NoteExpress
×
提示
您的信息不完整,为了账户安全,请先补充。
现在去补充
×
提示
您因"违规操作"
具体请查看互助需知
我知道了
×
提示
确定
请完成安全验证×
copy
已复制链接
快去分享给好友吧!
我知道了
右上角分享
点击右上角分享
0
联系我们:info@booksci.cn Book学术提供免费学术资源搜索服务,方便国内外学者检索中英文文献。致力于提供最便捷和优质的服务体验。 Copyright © 2023 布克学术 All rights reserved.
京ICP备2023020795号-1
ghs 京公网安备 11010802042870号
Book学术文献互助
Book学术文献互助群
群 号:604180095
Book学术官方微信