罕见的吞咽困难1例。

Nazish Butt, Ghulam Mohiuddin, Muhammad Raza
{"title":"罕见的吞咽困难1例。","authors":"Nazish Butt, Ghulam Mohiuddin, Muhammad Raza","doi":"10.5005/jp-journals-10018-1453","DOIUrl":null,"url":null,"abstract":"<p><p>Esophageal leiomyomas (EL) are the most common benign tumors of the esophagus, being pedunculated polyp presentation is very rare. A 65-year-old female presented with symptoms of troublesome dysphagia. Esophagogastroduodenoscopy (EGD) performed revealed a pedunculated polyp of ~ 3 × 1.7 × 1.5 cm in size covered by normal-looking mucosa. The polypoid lesion was then removed successfully with a hot polypectomy snare. The histopathological diagnosis of the polyp turned out to be leiomyoma. Patient symptoms were relieved after successful removal.</p><p><strong>How to cite this article: </strong>Butt N, Mohiuddin G, Raza M. A Rare Case of Dysphagia: A Case Report. Euroasian J Hepato-Gastroenterol 2024;14(2):244-245.</p>","PeriodicalId":516317,"journal":{"name":"Euroasian journal of hepato-gastroenterology","volume":"14 2","pages":"244-245"},"PeriodicalIF":0.0000,"publicationDate":"2024-07-01","publicationTypes":"Journal Article","fieldsOfStudy":null,"isOpenAccess":false,"openAccessPdf":"https://www.ncbi.nlm.nih.gov/pmc/articles/PMC11714099/pdf/","citationCount":"0","resultStr":"{\"title\":\"A Rare Case of Dysphagia: A Case Report.\",\"authors\":\"Nazish Butt, Ghulam Mohiuddin, Muhammad Raza\",\"doi\":\"10.5005/jp-journals-10018-1453\",\"DOIUrl\":null,\"url\":null,\"abstract\":\"<p><p>Esophageal leiomyomas (EL) are the most common benign tumors of the esophagus, being pedunculated polyp presentation is very rare. A 65-year-old female presented with symptoms of troublesome dysphagia. Esophagogastroduodenoscopy (EGD) performed revealed a pedunculated polyp of ~ 3 × 1.7 × 1.5 cm in size covered by normal-looking mucosa. The polypoid lesion was then removed successfully with a hot polypectomy snare. The histopathological diagnosis of the polyp turned out to be leiomyoma. Patient symptoms were relieved after successful removal.</p><p><strong>How to cite this article: </strong>Butt N, Mohiuddin G, Raza M. A Rare Case of Dysphagia: A Case Report. Euroasian J Hepato-Gastroenterol 2024;14(2):244-245.</p>\",\"PeriodicalId\":516317,\"journal\":{\"name\":\"Euroasian journal of hepato-gastroenterology\",\"volume\":\"14 2\",\"pages\":\"244-245\"},\"PeriodicalIF\":0.0000,\"publicationDate\":\"2024-07-01\",\"publicationTypes\":\"Journal Article\",\"fieldsOfStudy\":null,\"isOpenAccess\":false,\"openAccessPdf\":\"https://www.ncbi.nlm.nih.gov/pmc/articles/PMC11714099/pdf/\",\"citationCount\":\"0\",\"resultStr\":null,\"platform\":\"Semanticscholar\",\"paperid\":null,\"PeriodicalName\":\"Euroasian journal of hepato-gastroenterology\",\"FirstCategoryId\":\"1085\",\"ListUrlMain\":\"https://doi.org/10.5005/jp-journals-10018-1453\",\"RegionNum\":0,\"RegionCategory\":null,\"ArticlePicture\":[],\"TitleCN\":null,\"AbstractTextCN\":null,\"PMCID\":null,\"EPubDate\":\"2024/12/27 0:00:00\",\"PubModel\":\"Epub\",\"JCR\":\"\",\"JCRName\":\"\",\"Score\":null,\"Total\":0}","platform":"Semanticscholar","paperid":null,"PeriodicalName":"Euroasian journal of hepato-gastroenterology","FirstCategoryId":"1085","ListUrlMain":"https://doi.org/10.5005/jp-journals-10018-1453","RegionNum":0,"RegionCategory":null,"ArticlePicture":[],"TitleCN":null,"AbstractTextCN":null,"PMCID":null,"EPubDate":"2024/12/27 0:00:00","PubModel":"Epub","JCR":"","JCRName":"","Score":null,"Total":0}
引用次数: 0

摘要

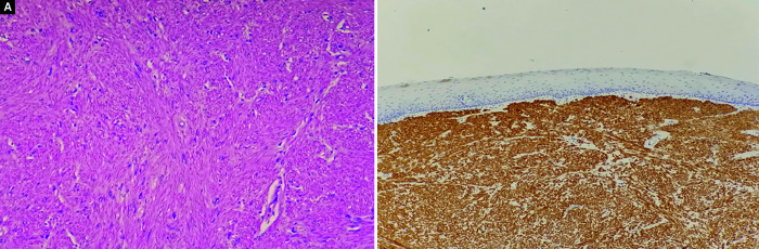
食管平滑肌瘤(EL)是最常见的食道良性肿瘤,呈带蒂息肉的表现十分罕见。65岁女性,有吞咽困难的症状。食管胃十二指肠镜(EGD)显示一个约3 × 1.7 × 1.5 cm大小的带蒂息肉,表面覆盖正常黏膜。然后用热息肉切除圈套成功切除息肉样病变。息肉的组织病理学诊断为平滑肌瘤。手术成功后,患者症状得到缓解。本文引自:Butt N, Mohiuddin G, Raza M.一例罕见的吞咽困难病例报告。中华胃肠病杂志;2009;14(2):444 - 444。
本文章由计算机程序翻译,如有差异,请以英文原文为准。

A Rare Case of Dysphagia: A Case Report.

A Rare Case of Dysphagia: A Case Report.

A Rare Case of Dysphagia: A Case Report.

Esophageal leiomyomas (EL) are the most common benign tumors of the esophagus, being pedunculated polyp presentation is very rare. A 65-year-old female presented with symptoms of troublesome dysphagia. Esophagogastroduodenoscopy (EGD) performed revealed a pedunculated polyp of ~ 3 × 1.7 × 1.5 cm in size covered by normal-looking mucosa. The polypoid lesion was then removed successfully with a hot polypectomy snare. The histopathological diagnosis of the polyp turned out to be leiomyoma. Patient symptoms were relieved after successful removal.

How to cite this article: Butt N, Mohiuddin G, Raza M. A Rare Case of Dysphagia: A Case Report. Euroasian J Hepato-Gastroenterol 2024;14(2):244-245.

求助全文
通过发布文献求助,成功后即可免费获取论文全文。 去求助
来源期刊
自引率
0.00%
发文量
0
×
引用
GB/T 7714-2015
复制
MLA
复制
APA
复制
导出至
BibTeX EndNote RefMan NoteFirst NoteExpress
×
提示
您的信息不完整,为了账户安全,请先补充。
现在去补充
×
提示
您因"违规操作"
具体请查看互助需知
我知道了
×
提示
确定
请完成安全验证×
copy
已复制链接
快去分享给好友吧!
我知道了
右上角分享
点击右上角分享
0
联系我们:info@booksci.cn Book学术提供免费学术资源搜索服务,方便国内外学者检索中英文文献。致力于提供最便捷和优质的服务体验。 Copyright © 2023 布克学术 All rights reserved.
京ICP备2023020795号-1
ghs 京公网安备 11010802042870号
Book学术文献互助
Book学术文献互助群
群 号:604180095
Book学术官方微信