晚期肝细胞癌停用血管内皮生长因子抑制剂后单用免疫疗法获得完全应答:病例报告。

Mohammad Ss Naviwala, Daania Shoaib, Waqas A Khan, Adeeba Zaki
{"title":"晚期肝细胞癌停用血管内皮生长因子抑制剂后单用免疫疗法获得完全应答:病例报告。","authors":"Mohammad Ss Naviwala, Daania Shoaib, Waqas A Khan, Adeeba Zaki","doi":"10.5005/jp-journals-10018-1455","DOIUrl":null,"url":null,"abstract":"<p><p>Bevacizumab and atezolizumab combination is one of the preferred combinations for managing advanced hepatocellular carcinoma (HCC), while the evidence on monotherapy with either agent is not convincing. We present a case of a man in his 50s diagnosed with HCC with spinal metastases who showed a good response to combination therapy. However, he developed severe proteinuria and hypertension secondary to bevacizumab, which had to be discontinued after 18 cycles. After an informed decision, atezolizumab was continued and the patient showed a sustained response. Till date, he has received 16 additional cycles of atezolizumab monotherapy after discontinuation of bevacizumab and continues to show a persistent response, with a progression-free survival of over 30 months now. It needs to be prospectively evaluated if atezolizumab's effectiveness as monotherapy for extended periods, as in our report, is a residual effect of initial combination therapy or if HCC is intrinsically responsive to immunotherapy alone.</p><p><strong>How to cite this article: </strong>Naviwala MSS, Shoaib D, Khan WA, <i>et al.</i> Complete Response with Immunotherapy Alone after Discontinuing VEGF Inhibitor in Advanced Hepatocellular Carcinoma: A Case Report. Euroasian J Hepato-Gastroenterol 2024;14(2):246-250.</p>","PeriodicalId":516317,"journal":{"name":"Euroasian journal of hepato-gastroenterology","volume":"14 2","pages":"246-250"},"PeriodicalIF":0.0000,"publicationDate":"2024-07-01","publicationTypes":"Journal Article","fieldsOfStudy":null,"isOpenAccess":false,"openAccessPdf":"https://www.ncbi.nlm.nih.gov/pmc/articles/PMC11714098/pdf/","citationCount":"0","resultStr":"{\"title\":\"Complete Response with Immunotherapy Alone after Discontinuing VEGF Inhibitor in Advanced Hepatocellular Carcinoma: A Case Report.\",\"authors\":\"Mohammad Ss Naviwala, Daania Shoaib, Waqas A Khan, Adeeba Zaki\",\"doi\":\"10.5005/jp-journals-10018-1455\",\"DOIUrl\":null,\"url\":null,\"abstract\":\"<p><p>Bevacizumab and atezolizumab combination is one of the preferred combinations for managing advanced hepatocellular carcinoma (HCC), while the evidence on monotherapy with either agent is not convincing. We present a case of a man in his 50s diagnosed with HCC with spinal metastases who showed a good response to combination therapy. However, he developed severe proteinuria and hypertension secondary to bevacizumab, which had to be discontinued after 18 cycles. After an informed decision, atezolizumab was continued and the patient showed a sustained response. Till date, he has received 16 additional cycles of atezolizumab monotherapy after discontinuation of bevacizumab and continues to show a persistent response, with a progression-free survival of over 30 months now. It needs to be prospectively evaluated if atezolizumab's effectiveness as monotherapy for extended periods, as in our report, is a residual effect of initial combination therapy or if HCC is intrinsically responsive to immunotherapy alone.</p><p><strong>How to cite this article: </strong>Naviwala MSS, Shoaib D, Khan WA, <i>et al.</i> Complete Response with Immunotherapy Alone after Discontinuing VEGF Inhibitor in Advanced Hepatocellular Carcinoma: A Case Report. Euroasian J Hepato-Gastroenterol 2024;14(2):246-250.</p>\",\"PeriodicalId\":516317,\"journal\":{\"name\":\"Euroasian journal of hepato-gastroenterology\",\"volume\":\"14 2\",\"pages\":\"246-250\"},\"PeriodicalIF\":0.0000,\"publicationDate\":\"2024-07-01\",\"publicationTypes\":\"Journal Article\",\"fieldsOfStudy\":null,\"isOpenAccess\":false,\"openAccessPdf\":\"https://www.ncbi.nlm.nih.gov/pmc/articles/PMC11714098/pdf/\",\"citationCount\":\"0\",\"resultStr\":null,\"platform\":\"Semanticscholar\",\"paperid\":null,\"PeriodicalName\":\"Euroasian journal of hepato-gastroenterology\",\"FirstCategoryId\":\"1085\",\"ListUrlMain\":\"https://doi.org/10.5005/jp-journals-10018-1455\",\"RegionNum\":0,\"RegionCategory\":null,\"ArticlePicture\":[],\"TitleCN\":null,\"AbstractTextCN\":null,\"PMCID\":null,\"EPubDate\":\"2024/12/27 0:00:00\",\"PubModel\":\"Epub\",\"JCR\":\"\",\"JCRName\":\"\",\"Score\":null,\"Total\":0}","platform":"Semanticscholar","paperid":null,"PeriodicalName":"Euroasian journal of hepato-gastroenterology","FirstCategoryId":"1085","ListUrlMain":"https://doi.org/10.5005/jp-journals-10018-1455","RegionNum":0,"RegionCategory":null,"ArticlePicture":[],"TitleCN":null,"AbstractTextCN":null,"PMCID":null,"EPubDate":"2024/12/27 0:00:00","PubModel":"Epub","JCR":"","JCRName":"","Score":null,"Total":0}
引用次数: 0

摘要

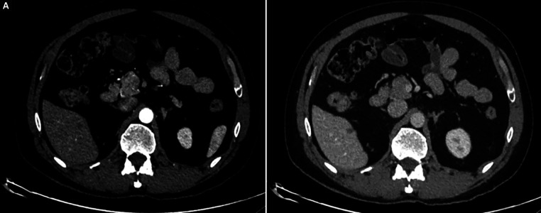
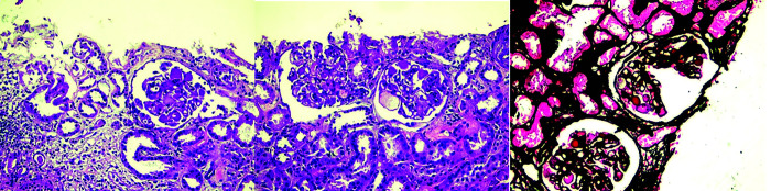
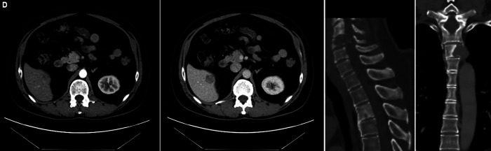
贝伐单抗和阿特唑单抗联合治疗是治疗晚期肝细胞癌(HCC)的首选组合之一,然而单药治疗的证据并不令人信服。我们报告了一个50多岁的男性HCC合并脊柱转移的病例,他对联合治疗有很好的反应。然而,他继发于贝伐单抗后出现了严重的蛋白尿和高血压,在18个周期后不得不停药。在做出明智的决定后,继续使用阿特唑单抗,患者表现出持续的反应。迄今为止,他在停用贝伐单抗后又接受了16个额外周期的atezolizumab单药治疗,并继续显示出持续的反应,目前无进展生存期超过30个月。如我们的报告所述,atezolizumab作为长期单药治疗的有效性是初始联合治疗的残余效应,还是HCC对单独免疫治疗具有内在反应,需要进行前瞻性评估。如何引用本文:Naviwala MSS, Shoaib D, Khan WA等。晚期肝细胞癌停止使用VEGF抑制剂后免疫治疗完全缓解:1例报告。中华肝病与胃肠病杂志;2009;14(2):246-250。
本文章由计算机程序翻译,如有差异,请以英文原文为准。

Complete Response with Immunotherapy Alone after Discontinuing VEGF Inhibitor in Advanced Hepatocellular Carcinoma: A Case Report.

Complete Response with Immunotherapy Alone after Discontinuing VEGF Inhibitor in Advanced Hepatocellular Carcinoma: A Case Report.

Complete Response with Immunotherapy Alone after Discontinuing VEGF Inhibitor in Advanced Hepatocellular Carcinoma: A Case Report.

Complete Response with Immunotherapy Alone after Discontinuing VEGF Inhibitor in Advanced Hepatocellular Carcinoma: A Case Report.

Bevacizumab and atezolizumab combination is one of the preferred combinations for managing advanced hepatocellular carcinoma (HCC), while the evidence on monotherapy with either agent is not convincing. We present a case of a man in his 50s diagnosed with HCC with spinal metastases who showed a good response to combination therapy. However, he developed severe proteinuria and hypertension secondary to bevacizumab, which had to be discontinued after 18 cycles. After an informed decision, atezolizumab was continued and the patient showed a sustained response. Till date, he has received 16 additional cycles of atezolizumab monotherapy after discontinuation of bevacizumab and continues to show a persistent response, with a progression-free survival of over 30 months now. It needs to be prospectively evaluated if atezolizumab's effectiveness as monotherapy for extended periods, as in our report, is a residual effect of initial combination therapy or if HCC is intrinsically responsive to immunotherapy alone.

How to cite this article: Naviwala MSS, Shoaib D, Khan WA, et al. Complete Response with Immunotherapy Alone after Discontinuing VEGF Inhibitor in Advanced Hepatocellular Carcinoma: A Case Report. Euroasian J Hepato-Gastroenterol 2024;14(2):246-250.

求助全文
通过发布文献求助,成功后即可免费获取论文全文。 去求助
来源期刊
自引率
0.00%
发文量
0
×
引用
GB/T 7714-2015
复制
MLA
复制
APA
复制
导出至
BibTeX EndNote RefMan NoteFirst NoteExpress
×
提示
您的信息不完整,为了账户安全,请先补充。
现在去补充
×
提示
您因"违规操作"
具体请查看互助需知
我知道了
×
提示
确定
请完成安全验证×
copy
已复制链接
快去分享给好友吧!
我知道了
右上角分享
点击右上角分享
0
联系我们:info@booksci.cn Book学术提供免费学术资源搜索服务,方便国内外学者检索中英文文献。致力于提供最便捷和优质的服务体验。 Copyright © 2023 布克学术 All rights reserved.
京ICP备2023020795号-1
ghs 京公网安备 11010802042870号
Book学术文献互助
Book学术文献互助群
群 号:604180095
Book学术官方微信