常染色体显性多囊肾病患者肺气肿性多囊肾感染的治疗:经皮囊肿引流术的可行性和局限性。

Clinical nephrology. Case studies Pub Date : 2024-12-20 eCollection Date: 2024-01-01 DOI:10.5414/CNCS111450
Hisashi Sugimoto, Tatsuya Suwabe, Shigekazu Kurihara, Yuki Oba, Daisuke Ikuma, Hiroki Mizuno, Akinari Sekine, Masayuki Yamanouchi, Katsuyuki Miki, Takayoshi Yokoyama, Yuki Nakamura, Yasuo Ishii, Takehiko Wada, Naoki Sawa, Yoshifumi Ubara
{"title":"常染色体显性多囊肾病患者肺气肿性多囊肾感染的治疗:经皮囊肿引流术的可行性和局限性。","authors":"Hisashi Sugimoto, Tatsuya Suwabe, Shigekazu Kurihara, Yuki Oba, Daisuke Ikuma, Hiroki Mizuno, Akinari Sekine, Masayuki Yamanouchi, Katsuyuki Miki, Takayoshi Yokoyama, Yuki Nakamura, Yasuo Ishii, Takehiko Wada, Naoki Sawa, Yoshifumi Ubara","doi":"10.5414/CNCS111450","DOIUrl":null,"url":null,"abstract":"<p><p>Emphysematous polycystic renal infection (EPRI) has a poor prognosis with conservative management, and early surgical nephrectomy has been recommended. However, percutaneous cyst drainage may be a possible treatment option. We experienced 6 patients with autosomal dominant polycystic kidney disease (ADPKD) presenting with EPRI. Three patients developed EPRI after renal transarterial embolization (TAE), and the other 3 developed EPRI independently of renal TAE. Two of the patients had only one cyst with gas formation, and the causative organism was sensitive to antibiotics; these patients were cured by cyst drainage and antibiotic therapy. However, in 3 patients with severe renal enlargement and gas formation in multiple cysts, the causative organism was antibiotic resistant and cyst drainage was not effective, so surgical nephrectomy was performed and the disease effectively treated. Surgical nephrectomy should be considered in patients with multiple cysts with gas formation and severe renal enlargement.</p>","PeriodicalId":510898,"journal":{"name":"Clinical nephrology. Case studies","volume":"12 ","pages":"83-89"},"PeriodicalIF":0.0000,"publicationDate":"2024-12-20","publicationTypes":"Journal Article","fieldsOfStudy":null,"isOpenAccess":false,"openAccessPdf":"https://www.ncbi.nlm.nih.gov/pmc/articles/PMC11706228/pdf/","citationCount":"0","resultStr":"{\"title\":\"Treatment of emphysematous polycystic renal infection in patients with autosomal dominant polycystic kidney disease: Feasibility and limitations of percutaneous cyst drainage.\",\"authors\":\"Hisashi Sugimoto, Tatsuya Suwabe, Shigekazu Kurihara, Yuki Oba, Daisuke Ikuma, Hiroki Mizuno, Akinari Sekine, Masayuki Yamanouchi, Katsuyuki Miki, Takayoshi Yokoyama, Yuki Nakamura, Yasuo Ishii, Takehiko Wada, Naoki Sawa, Yoshifumi Ubara\",\"doi\":\"10.5414/CNCS111450\",\"DOIUrl\":null,\"url\":null,\"abstract\":\"<p><p>Emphysematous polycystic renal infection (EPRI) has a poor prognosis with conservative management, and early surgical nephrectomy has been recommended. However, percutaneous cyst drainage may be a possible treatment option. We experienced 6 patients with autosomal dominant polycystic kidney disease (ADPKD) presenting with EPRI. Three patients developed EPRI after renal transarterial embolization (TAE), and the other 3 developed EPRI independently of renal TAE. Two of the patients had only one cyst with gas formation, and the causative organism was sensitive to antibiotics; these patients were cured by cyst drainage and antibiotic therapy. However, in 3 patients with severe renal enlargement and gas formation in multiple cysts, the causative organism was antibiotic resistant and cyst drainage was not effective, so surgical nephrectomy was performed and the disease effectively treated. Surgical nephrectomy should be considered in patients with multiple cysts with gas formation and severe renal enlargement.</p>\",\"PeriodicalId\":510898,\"journal\":{\"name\":\"Clinical nephrology. Case studies\",\"volume\":\"12 \",\"pages\":\"83-89\"},\"PeriodicalIF\":0.0000,\"publicationDate\":\"2024-12-20\",\"publicationTypes\":\"Journal Article\",\"fieldsOfStudy\":null,\"isOpenAccess\":false,\"openAccessPdf\":\"https://www.ncbi.nlm.nih.gov/pmc/articles/PMC11706228/pdf/\",\"citationCount\":\"0\",\"resultStr\":null,\"platform\":\"Semanticscholar\",\"paperid\":null,\"PeriodicalName\":\"Clinical nephrology. Case studies\",\"FirstCategoryId\":\"1085\",\"ListUrlMain\":\"https://doi.org/10.5414/CNCS111450\",\"RegionNum\":0,\"RegionCategory\":null,\"ArticlePicture\":[],\"TitleCN\":null,\"AbstractTextCN\":null,\"PMCID\":null,\"EPubDate\":\"2024/1/1 0:00:00\",\"PubModel\":\"eCollection\",\"JCR\":\"\",\"JCRName\":\"\",\"Score\":null,\"Total\":0}","platform":"Semanticscholar","paperid":null,"PeriodicalName":"Clinical nephrology. Case studies","FirstCategoryId":"1085","ListUrlMain":"https://doi.org/10.5414/CNCS111450","RegionNum":0,"RegionCategory":null,"ArticlePicture":[],"TitleCN":null,"AbstractTextCN":null,"PMCID":null,"EPubDate":"2024/1/1 0:00:00","PubModel":"eCollection","JCR":"","JCRName":"","Score":null,"Total":0}
引用次数: 0

摘要

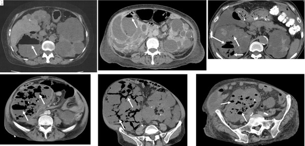
肺气肿性多囊肾感染(EPRI)预后差,需要保守治疗,建议早期手术切除肾。然而,经皮囊肿引流可能是一种可能的治疗选择。我们研究了6例常染色体显性多囊肾病(ADPKD),并伴有EPRI。3例患者在肾经动脉栓塞(TAE)后发生EPRI, 3例患者独立于肾经动脉栓塞发生EPRI。2例患者仅有1个囊肿伴气体形成,病原菌对抗生素敏感;经囊肿引流及抗生素治疗均治愈。但3例严重肾肿大、多发囊肿造气患者,因病原菌对抗生素耐药,囊肿引流无效,行手术切除肾,得到有效治疗。多发囊肿伴气体形成及严重肾肿大的患者应考虑手术切除肾。
本文章由计算机程序翻译,如有差异,请以英文原文为准。

Treatment of emphysematous polycystic renal infection in patients with autosomal dominant polycystic kidney disease: Feasibility and limitations of percutaneous cyst drainage.

Treatment of emphysematous polycystic renal infection in patients with autosomal dominant polycystic kidney disease: Feasibility and limitations of percutaneous cyst drainage.

Treatment of emphysematous polycystic renal infection in patients with autosomal dominant polycystic kidney disease: Feasibility and limitations of percutaneous cyst drainage.

Emphysematous polycystic renal infection (EPRI) has a poor prognosis with conservative management, and early surgical nephrectomy has been recommended. However, percutaneous cyst drainage may be a possible treatment option. We experienced 6 patients with autosomal dominant polycystic kidney disease (ADPKD) presenting with EPRI. Three patients developed EPRI after renal transarterial embolization (TAE), and the other 3 developed EPRI independently of renal TAE. Two of the patients had only one cyst with gas formation, and the causative organism was sensitive to antibiotics; these patients were cured by cyst drainage and antibiotic therapy. However, in 3 patients with severe renal enlargement and gas formation in multiple cysts, the causative organism was antibiotic resistant and cyst drainage was not effective, so surgical nephrectomy was performed and the disease effectively treated. Surgical nephrectomy should be considered in patients with multiple cysts with gas formation and severe renal enlargement.

求助全文
通过发布文献求助,成功后即可免费获取论文全文。 去求助
来源期刊
自引率
0.00%
发文量
0
×
引用
GB/T 7714-2015
复制
MLA
复制
APA
复制
导出至
BibTeX EndNote RefMan NoteFirst NoteExpress
×
提示
您的信息不完整,为了账户安全,请先补充。
现在去补充
×
提示
您因"违规操作"
具体请查看互助需知
我知道了
×
提示
确定
请完成安全验证×
copy
已复制链接
快去分享给好友吧!
我知道了
右上角分享
点击右上角分享
0
联系我们:info@booksci.cn Book学术提供免费学术资源搜索服务,方便国内外学者检索中英文文献。致力于提供最便捷和优质的服务体验。 Copyright © 2023 布克学术 All rights reserved.
京ICP备2023020795号-1
ghs 京公网安备 11010802042870号
Book学术文献互助
Book学术文献互助群
群 号:604180095
Book学术官方微信