脓毒性关节炎的诊断和治疗。当前概念回顾。

IF 1.6 4区 医学 Q3 ORTHOPEDICS
Journal of Childrens Orthopaedics Pub Date : 2025-01-02 eCollection Date: 2025-02-01 DOI:10.1177/18632521241311302
Ignacio Sanpera, Marta Salom, Cristina Alves, Deborah Eastwood
{"title":"脓毒性关节炎的诊断和治疗。当前概念回顾。","authors":"Ignacio Sanpera, Marta Salom, Cristina Alves, Deborah Eastwood","doi":"10.1177/18632521241311302","DOIUrl":null,"url":null,"abstract":"<p><p>Correct diagnosis and treatment of septic arthritis (SA) are essential to achieve satisfactory results and avoid lifelong consequences. Diagnosing septic arthritis is not always easy, which is why new biomarkers have been sought. Another difficulty in diagnosis is the increase in septic arthritis due to Kingella Kingae, which does not show the same signs and symptoms as classic <i>Staphylococcus aureus</i> infections. Increasingly, magnetic resonance imaging plays a more fundamental role in diagnosing septic arthritis, and many studies are focused on this line, especially for the study of associated pathologies. Numerous studies have been published on less invasive treatments for septic arthritis, although the evidence suggests that the results should be taken cautiously. Although most of the published studies focus on the hip and knee, there have also been recent publications on SA in the upper limb, foot, and ankle. Finally, the literature also pays attention to SA in young children due to its different etiology and the greater difficulties in its diagnosis.</p>","PeriodicalId":56060,"journal":{"name":"Journal of Childrens Orthopaedics","volume":" ","pages":"14-19"},"PeriodicalIF":1.6000,"publicationDate":"2025-01-02","publicationTypes":"Journal Article","fieldsOfStudy":null,"isOpenAccess":false,"openAccessPdf":"https://www.ncbi.nlm.nih.gov/pmc/articles/PMC11694264/pdf/","citationCount":"0","resultStr":"{\"title\":\"Diagnosis and management of septic arthritis: A current concepts review.\",\"authors\":\"Ignacio Sanpera, Marta Salom, Cristina Alves, Deborah Eastwood\",\"doi\":\"10.1177/18632521241311302\",\"DOIUrl\":null,\"url\":null,\"abstract\":\"<p><p>Correct diagnosis and treatment of septic arthritis (SA) are essential to achieve satisfactory results and avoid lifelong consequences. Diagnosing septic arthritis is not always easy, which is why new biomarkers have been sought. Another difficulty in diagnosis is the increase in septic arthritis due to Kingella Kingae, which does not show the same signs and symptoms as classic <i>Staphylococcus aureus</i> infections. Increasingly, magnetic resonance imaging plays a more fundamental role in diagnosing septic arthritis, and many studies are focused on this line, especially for the study of associated pathologies. Numerous studies have been published on less invasive treatments for septic arthritis, although the evidence suggests that the results should be taken cautiously. Although most of the published studies focus on the hip and knee, there have also been recent publications on SA in the upper limb, foot, and ankle. Finally, the literature also pays attention to SA in young children due to its different etiology and the greater difficulties in its diagnosis.</p>\",\"PeriodicalId\":56060,\"journal\":{\"name\":\"Journal of Childrens Orthopaedics\",\"volume\":\" \",\"pages\":\"14-19\"},\"PeriodicalIF\":1.6000,\"publicationDate\":\"2025-01-02\",\"publicationTypes\":\"Journal Article\",\"fieldsOfStudy\":null,\"isOpenAccess\":false,\"openAccessPdf\":\"https://www.ncbi.nlm.nih.gov/pmc/articles/PMC11694264/pdf/\",\"citationCount\":\"0\",\"resultStr\":null,\"platform\":\"Semanticscholar\",\"paperid\":null,\"PeriodicalName\":\"Journal of Childrens Orthopaedics\",\"FirstCategoryId\":\"3\",\"ListUrlMain\":\"https://doi.org/10.1177/18632521241311302\",\"RegionNum\":4,\"RegionCategory\":\"医学\",\"ArticlePicture\":[],\"TitleCN\":null,\"AbstractTextCN\":null,\"PMCID\":null,\"EPubDate\":\"2025/2/1 0:00:00\",\"PubModel\":\"eCollection\",\"JCR\":\"Q3\",\"JCRName\":\"ORTHOPEDICS\",\"Score\":null,\"Total\":0}","platform":"Semanticscholar","paperid":null,"PeriodicalName":"Journal of Childrens Orthopaedics","FirstCategoryId":"3","ListUrlMain":"https://doi.org/10.1177/18632521241311302","RegionNum":4,"RegionCategory":"医学","ArticlePicture":[],"TitleCN":null,"AbstractTextCN":null,"PMCID":null,"EPubDate":"2025/2/1 0:00:00","PubModel":"eCollection","JCR":"Q3","JCRName":"ORTHOPEDICS","Score":null,"Total":0}
引用次数: 0

摘要

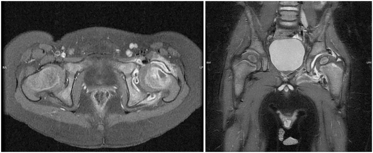
正确的诊断和治疗化脓性关节炎(SA)是必不可少的,以获得满意的结果,避免终身后果。诊断感染性关节炎并不总是那么容易,这就是为什么人们一直在寻找新的生物标志物。另一个诊断上的困难是由于金氏菌引起的脓毒性关节炎的增加,它与典型的金黄色葡萄球菌感染没有相同的体征和症状。磁共振成像在脓毒性关节炎的诊断中发挥着越来越重要的作用,许多研究都集中在这方面,特别是对相关病理的研究。已经发表了许多关于脓毒性关节炎的微创治疗的研究,尽管有证据表明应该谨慎对待结果。虽然大多数已发表的研究集中在髋关节和膝关节,但最近也有关于上肢、足部和踝关节SA的研究。最后,由于其病因不同且诊断难度较大,文献也关注了幼儿SA。
本文章由计算机程序翻译,如有差异,请以英文原文为准。

Diagnosis and management of septic arthritis: A current concepts review.

Diagnosis and management of septic arthritis: A current concepts review.

Diagnosis and management of septic arthritis: A current concepts review.

Correct diagnosis and treatment of septic arthritis (SA) are essential to achieve satisfactory results and avoid lifelong consequences. Diagnosing septic arthritis is not always easy, which is why new biomarkers have been sought. Another difficulty in diagnosis is the increase in septic arthritis due to Kingella Kingae, which does not show the same signs and symptoms as classic Staphylococcus aureus infections. Increasingly, magnetic resonance imaging plays a more fundamental role in diagnosing septic arthritis, and many studies are focused on this line, especially for the study of associated pathologies. Numerous studies have been published on less invasive treatments for septic arthritis, although the evidence suggests that the results should be taken cautiously. Although most of the published studies focus on the hip and knee, there have also been recent publications on SA in the upper limb, foot, and ankle. Finally, the literature also pays attention to SA in young children due to its different etiology and the greater difficulties in its diagnosis.

求助全文
通过发布文献求助,成功后即可免费获取论文全文。 去求助
来源期刊
Journal of Childrens Orthopaedics
Journal of Childrens Orthopaedics Medicine-Orthopedics and Sports Medicine
CiteScore
2.70
自引率
14.30%
发文量
61
审稿时长
23 weeks
期刊介绍: Aims & Scope The Journal of Children’s Orthopaedics is the official journal of the European Paediatric Orthopaedic Society (EPOS) and is published by The British Editorial Society of Bone & Joint Surgery. It provides a forum for the advancement of the knowledge and education in paediatric orthopaedics and traumatology across geographical borders. It advocates an increased worldwide involvement in preventing and treating musculoskeletal diseases in children and adolescents. The journal publishes high quality, peer-reviewed articles that focus on clinical practice, diagnosis and treatment of disorders unique to paediatric orthopaedics, as well as on basic and applied research. It aims to help physicians stay abreast of the latest and ever-changing developments in the field of paediatric orthopaedics and traumatology. The journal welcomes original contributions submitted exclusively for review to the journal. This continuously published online journal is fully open access and will publish one print issue each year to coincide with the EPOS Annual Congress, featuring the meeting’s abstracts.
×
引用
GB/T 7714-2015
复制
MLA
复制
APA
复制
导出至
BibTeX EndNote RefMan NoteFirst NoteExpress
×
提示
您的信息不完整,为了账户安全,请先补充。
现在去补充
×
提示
您因"违规操作"
具体请查看互助需知
我知道了
×
提示
确定
请完成安全验证×
copy
已复制链接
快去分享给好友吧!
我知道了
右上角分享
点击右上角分享
0
联系我们:info@booksci.cn Book学术提供免费学术资源搜索服务,方便国内外学者检索中英文文献。致力于提供最便捷和优质的服务体验。 Copyright © 2023 布克学术 All rights reserved.
京ICP备2023020795号-1
ghs 京公网安备 11010802042870号
Book学术文献互助
Book学术文献互助群
群 号:604180095
Book学术官方微信