教育案例:牛皮癣。

IF 1.3 Q3 PATHOLOGY
Ryan C. Saal BS , Abby S. Van Voorhees MD , Richard M. Conran MD, PhD, JD
{"title":"教育案例:牛皮癣。","authors":"Ryan C. Saal BS , Abby S. Van Voorhees MD , Richard M. Conran MD, PhD, JD","doi":"10.1016/j.acpath.2024.100154","DOIUrl":null,"url":null,"abstract":"","PeriodicalId":44927,"journal":{"name":"Academic Pathology","volume":"12 1","pages":"Article 100154"},"PeriodicalIF":1.3000,"publicationDate":"2025-01-01","publicationTypes":"Journal Article","fieldsOfStudy":null,"isOpenAccess":false,"openAccessPdf":"https://www.ncbi.nlm.nih.gov/pmc/articles/PMC11697160/pdf/","citationCount":"0","resultStr":"{\"title\":\"Educational Case: Psoriasis\",\"authors\":\"Ryan C. Saal BS , Abby S. Van Voorhees MD , Richard M. Conran MD, PhD, JD\",\"doi\":\"10.1016/j.acpath.2024.100154\",\"DOIUrl\":null,\"url\":null,\"abstract\":\"\",\"PeriodicalId\":44927,\"journal\":{\"name\":\"Academic Pathology\",\"volume\":\"12 1\",\"pages\":\"Article 100154\"},\"PeriodicalIF\":1.3000,\"publicationDate\":\"2025-01-01\",\"publicationTypes\":\"Journal Article\",\"fieldsOfStudy\":null,\"isOpenAccess\":false,\"openAccessPdf\":\"https://www.ncbi.nlm.nih.gov/pmc/articles/PMC11697160/pdf/\",\"citationCount\":\"0\",\"resultStr\":null,\"platform\":\"Semanticscholar\",\"paperid\":null,\"PeriodicalName\":\"Academic Pathology\",\"FirstCategoryId\":\"1085\",\"ListUrlMain\":\"https://www.sciencedirect.com/science/article/pii/S2374289524000502\",\"RegionNum\":0,\"RegionCategory\":null,\"ArticlePicture\":[],\"TitleCN\":null,\"AbstractTextCN\":null,\"PMCID\":null,\"EPubDate\":\"\",\"PubModel\":\"\",\"JCR\":\"Q3\",\"JCRName\":\"PATHOLOGY\",\"Score\":null,\"Total\":0}","platform":"Semanticscholar","paperid":null,"PeriodicalName":"Academic Pathology","FirstCategoryId":"1085","ListUrlMain":"https://www.sciencedirect.com/science/article/pii/S2374289524000502","RegionNum":0,"RegionCategory":null,"ArticlePicture":[],"TitleCN":null,"AbstractTextCN":null,"PMCID":null,"EPubDate":"","PubModel":"","JCR":"Q3","JCRName":"PATHOLOGY","Score":null,"Total":0}
引用次数: 0

摘要

本文章由计算机程序翻译,如有差异,请以英文原文为准。

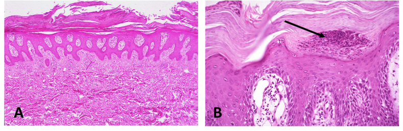
Educational Case: Psoriasis

Educational Case: Psoriasis

Educational Case: Psoriasis

Educational Case: Psoriasis
求助全文
通过发布文献求助,成功后即可免费获取论文全文。 去求助
来源期刊
Academic Pathology
Academic Pathology PATHOLOGY-
CiteScore
2.20
自引率
20.00%
发文量
46
审稿时长
15 weeks
期刊介绍: Academic Pathology is an open access journal sponsored by the Association of Pathology Chairs, established to give voice to the innovations in leadership and management of academic departments of Pathology. These innovations may have impact across the breadth of pathology and laboratory medicine practice. Academic Pathology addresses methods for improving patient care (clinical informatics, genomic testing and data management, lab automation, electronic health record integration, and annotate biorepositories); best practices in inter-professional clinical partnerships; innovative pedagogical approaches to medical education and educational program evaluation in pathology; models for training academic pathologists and advancing academic career development; administrative and organizational models supporting the discipline; and leadership development in academic medical centers, health systems, and other relevant venues. Intended authorship and audiences for Academic Pathology are international and reach beyond academic pathology itself, including but not limited to healthcare providers, educators, researchers, and policy-makers.
×
引用
GB/T 7714-2015
复制
MLA
复制
APA
复制
导出至
BibTeX EndNote RefMan NoteFirst NoteExpress
×
提示
您的信息不完整,为了账户安全,请先补充。
现在去补充
×
提示
您因"违规操作"
具体请查看互助需知
我知道了
×
提示
确定
请完成安全验证×
copy
已复制链接
快去分享给好友吧!
我知道了
右上角分享
点击右上角分享
0
联系我们:info@booksci.cn Book学术提供免费学术资源搜索服务,方便国内外学者检索中英文文献。致力于提供最便捷和优质的服务体验。 Copyright © 2023 布克学术 All rights reserved.
京ICP备2023020795号-1
ghs 京公网安备 11010802042870号
Book学术文献互助
Book学术文献互助群
群 号:604180095
Book学术官方微信