气管黏膜角化病:个案讨论及文献复习。

IF 2.3 3区 医学 Q2 RESPIRATORY SYSTEM
Weiqiang Kong, Lu Zhao, Gongqi Chen, Chunli Huang, Wei Gu, Huiru Jie, Lingling Yi
{"title":"气管黏膜角化病:个案讨论及文献复习。","authors":"Weiqiang Kong, Lu Zhao, Gongqi Chen, Chunli Huang, Wei Gu, Huiru Jie, Lingling Yi","doi":"10.1177/14799731241312412","DOIUrl":null,"url":null,"abstract":"<p><p>A 57-year-old female presented with a chief complaint of cough, with productive yellow sputum particularly severe in the morning. Bronchoscopy revealed inflammatory changes in both main bronchi, with abundant white purulent secretions and necrotic material adhering to the luminal surface. Histopathological examination showed chronic inflammatory changes in the mucosal tissue, with mild hyperplasia of the local squamous epithelium and evidence of keratinization in the surrounding area, consistent with a diagnosis of tracheal mucosal keratosis. The patient was treated with anti-infection therapy, combined with symptomatic supportive treatments such as cough suppression, expectorants, and bronchodilation, resulting in an improvement of symptoms. Analysis of previous literature revealed that although this condition lacks specific clinical manifestations and signs, it exhibits a typical pattern of tracheal wall lesions, and bronchoscopy and histopathological examination have high diagnostic value for this disease. Due to impaired airway mucosal barrier function, the patient is prone to bacterial infection or colonization in the airways. Symptomatic supportive treatment based on the actual condition can effectively alleviate the patient's clinical symptoms. Currently, there is no definitive curative treatment for tracheal mucosal keratosis. However, treatments such as high-frequency electrocautery, carbon dioxide cryotherapy, and repeated lavage with epidermal growth factors may be helpful in curing this condition.</p>","PeriodicalId":10217,"journal":{"name":"Chronic Respiratory Disease","volume":"22 ","pages":"14799731241312412"},"PeriodicalIF":2.3000,"publicationDate":"2025-01-01","publicationTypes":"Journal Article","fieldsOfStudy":null,"isOpenAccess":false,"openAccessPdf":"https://www.ncbi.nlm.nih.gov/pmc/articles/PMC11700398/pdf/","citationCount":"0","resultStr":"{\"title\":\"Tracheal mucosal keratosis: Case discussion and literature review.\",\"authors\":\"Weiqiang Kong, Lu Zhao, Gongqi Chen, Chunli Huang, Wei Gu, Huiru Jie, Lingling Yi\",\"doi\":\"10.1177/14799731241312412\",\"DOIUrl\":null,\"url\":null,\"abstract\":\"<p><p>A 57-year-old female presented with a chief complaint of cough, with productive yellow sputum particularly severe in the morning. Bronchoscopy revealed inflammatory changes in both main bronchi, with abundant white purulent secretions and necrotic material adhering to the luminal surface. Histopathological examination showed chronic inflammatory changes in the mucosal tissue, with mild hyperplasia of the local squamous epithelium and evidence of keratinization in the surrounding area, consistent with a diagnosis of tracheal mucosal keratosis. The patient was treated with anti-infection therapy, combined with symptomatic supportive treatments such as cough suppression, expectorants, and bronchodilation, resulting in an improvement of symptoms. Analysis of previous literature revealed that although this condition lacks specific clinical manifestations and signs, it exhibits a typical pattern of tracheal wall lesions, and bronchoscopy and histopathological examination have high diagnostic value for this disease. Due to impaired airway mucosal barrier function, the patient is prone to bacterial infection or colonization in the airways. Symptomatic supportive treatment based on the actual condition can effectively alleviate the patient's clinical symptoms. Currently, there is no definitive curative treatment for tracheal mucosal keratosis. However, treatments such as high-frequency electrocautery, carbon dioxide cryotherapy, and repeated lavage with epidermal growth factors may be helpful in curing this condition.</p>\",\"PeriodicalId\":10217,\"journal\":{\"name\":\"Chronic Respiratory Disease\",\"volume\":\"22 \",\"pages\":\"14799731241312412\"},\"PeriodicalIF\":2.3000,\"publicationDate\":\"2025-01-01\",\"publicationTypes\":\"Journal Article\",\"fieldsOfStudy\":null,\"isOpenAccess\":false,\"openAccessPdf\":\"https://www.ncbi.nlm.nih.gov/pmc/articles/PMC11700398/pdf/\",\"citationCount\":\"0\",\"resultStr\":null,\"platform\":\"Semanticscholar\",\"paperid\":null,\"PeriodicalName\":\"Chronic Respiratory Disease\",\"FirstCategoryId\":\"3\",\"ListUrlMain\":\"https://doi.org/10.1177/14799731241312412\",\"RegionNum\":3,\"RegionCategory\":\"医学\",\"ArticlePicture\":[],\"TitleCN\":null,\"AbstractTextCN\":null,\"PMCID\":null,\"EPubDate\":\"\",\"PubModel\":\"\",\"JCR\":\"Q2\",\"JCRName\":\"RESPIRATORY SYSTEM\",\"Score\":null,\"Total\":0}","platform":"Semanticscholar","paperid":null,"PeriodicalName":"Chronic Respiratory Disease","FirstCategoryId":"3","ListUrlMain":"https://doi.org/10.1177/14799731241312412","RegionNum":3,"RegionCategory":"医学","ArticlePicture":[],"TitleCN":null,"AbstractTextCN":null,"PMCID":null,"EPubDate":"","PubModel":"","JCR":"Q2","JCRName":"RESPIRATORY SYSTEM","Score":null,"Total":0}
引用次数: 0

摘要

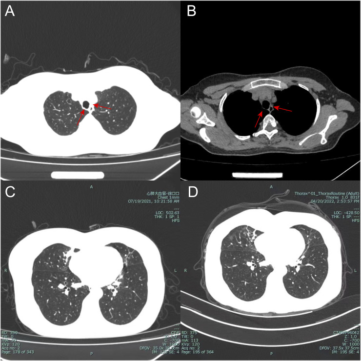
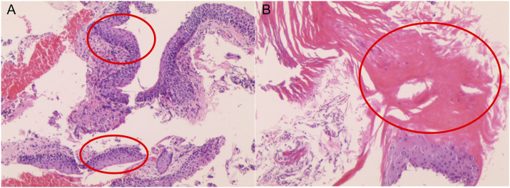
一名57岁女性,主诉为咳嗽,早晨痰黄特别严重。支气管镜检查显示两条主支气管均有炎性改变,可见大量白色化脓性分泌物和坏死物质粘附在管腔表面。组织病理学检查显示黏膜组织慢性炎性改变,局部鳞状上皮轻度增生,周围可见角化,符合气管黏膜角化病的诊断。患者给予抗感染治疗,并配合止咳、祛痰、支气管扩张等对症支持治疗,症状得到改善。分析既往文献发现,本病虽缺乏特异性临床表现和体征,但具有典型的气管壁病变模式,支气管镜检查和组织病理学检查对本病具有较高的诊断价值。由于气道黏膜屏障功能受损,患者易发生气道内细菌感染或定植。结合患者实际情况对症支持治疗,可有效缓解患者临床症状。目前,对于气管黏膜角化病没有明确的治疗方法。然而,高频电灼、二氧化碳冷冻疗法和表皮生长因子反复灌洗等治疗可能有助于治疗这种疾病。
本文章由计算机程序翻译,如有差异,请以英文原文为准。

Tracheal mucosal keratosis: Case discussion and literature review.

Tracheal mucosal keratosis: Case discussion and literature review.

Tracheal mucosal keratosis: Case discussion and literature review.

Tracheal mucosal keratosis: Case discussion and literature review.

A 57-year-old female presented with a chief complaint of cough, with productive yellow sputum particularly severe in the morning. Bronchoscopy revealed inflammatory changes in both main bronchi, with abundant white purulent secretions and necrotic material adhering to the luminal surface. Histopathological examination showed chronic inflammatory changes in the mucosal tissue, with mild hyperplasia of the local squamous epithelium and evidence of keratinization in the surrounding area, consistent with a diagnosis of tracheal mucosal keratosis. The patient was treated with anti-infection therapy, combined with symptomatic supportive treatments such as cough suppression, expectorants, and bronchodilation, resulting in an improvement of symptoms. Analysis of previous literature revealed that although this condition lacks specific clinical manifestations and signs, it exhibits a typical pattern of tracheal wall lesions, and bronchoscopy and histopathological examination have high diagnostic value for this disease. Due to impaired airway mucosal barrier function, the patient is prone to bacterial infection or colonization in the airways. Symptomatic supportive treatment based on the actual condition can effectively alleviate the patient's clinical symptoms. Currently, there is no definitive curative treatment for tracheal mucosal keratosis. However, treatments such as high-frequency electrocautery, carbon dioxide cryotherapy, and repeated lavage with epidermal growth factors may be helpful in curing this condition.

求助全文
通过发布文献求助,成功后即可免费获取论文全文。 去求助
来源期刊
Chronic Respiratory Disease
Chronic Respiratory Disease RESPIRATORY SYSTEM-
CiteScore
5.90
自引率
7.30%
发文量
47
审稿时长
11 weeks
期刊介绍: Chronic Respiratory Disease is a peer-reviewed, open access, scholarly journal, created in response to the rising incidence of chronic respiratory diseases worldwide. It publishes high quality research papers and original articles that have immediate relevance to clinical practice and its multi-disciplinary perspective reflects the nature of modern treatment. The journal provides a high quality, multi-disciplinary focus for the publication of original papers, reviews and commentary in the broad area of chronic respiratory disease, particularly its treatment and management.
×
引用
GB/T 7714-2015
复制
MLA
复制
APA
复制
导出至
BibTeX EndNote RefMan NoteFirst NoteExpress
×
提示
您的信息不完整,为了账户安全,请先补充。
现在去补充
×
提示
您因"违规操作"
具体请查看互助需知
我知道了
×
提示
确定
请完成安全验证×
copy
已复制链接
快去分享给好友吧!
我知道了
右上角分享
点击右上角分享
0
联系我们:info@booksci.cn Book学术提供免费学术资源搜索服务,方便国内外学者检索中英文文献。致力于提供最便捷和优质的服务体验。 Copyright © 2023 布克学术 All rights reserved.
京ICP备2023020795号-1
ghs 京公网安备 11010802042870号
Book学术文献互助
Book学术文献互助群
群 号:604180095
Book学术官方微信