儿童期发病的神经精神狼疮中的无菌性脑膜炎和白质病。

Case Reports in Rheumatology Pub Date : 2024-12-19 eCollection Date: 2024-01-01 DOI:10.1155/crrh/3496303
Mei Lam Hsu, Kwai Yu Winnie Chan
{"title":"儿童期发病的神经精神狼疮中的无菌性脑膜炎和白质病。","authors":"Mei Lam Hsu, Kwai Yu Winnie Chan","doi":"10.1155/crrh/3496303","DOIUrl":null,"url":null,"abstract":"<p><p>We reported a 10-year-old girl who had an atypical demyelinating disease as the presentation of her neuropsychiatric lupus. The patient had a 4-year history of systemic lupus erythematosus which had been on remission until she presented with fever and headache at the age of 10 years. Physical examination showed meningism. Extensive microbiological workup for infective meningitis was unrevealing. There was a radiographic finding of an extensive white matter hyperintensity on the magnetic resonance imaging (MRI) of the brain. At the initial stage of our case, as it was difficult to differentiate between infection of the central nervous system and neuropsychiatric manifestation of lupus, a course of intravenous immunoglobulin was given empirically instead of high-dose corticosteroid while awaiting the microbiological workup results. The fever and headache subsided shortly after commencement of intravenous immunoglobulin without use of pulse corticosteroid. After the active neurological symptoms remitted, she was given a total of six monthly doses of intravenous immunoglobulin at 2 g/kg/cycle and six biweekly doses of intravenous cyclophosphamide at 500 mg/m<sup>2</sup>/month. Interval MRI showed resolution of the white matter hyperintensity. Despite the extensive demyelinating disease on initial presentation, she remitted successfully without residual neurological sequelae.</p>","PeriodicalId":9622,"journal":{"name":"Case Reports in Rheumatology","volume":"2024 ","pages":"3496303"},"PeriodicalIF":0.0000,"publicationDate":"2024-12-19","publicationTypes":"Journal Article","fieldsOfStudy":null,"isOpenAccess":false,"openAccessPdf":"https://www.ncbi.nlm.nih.gov/pmc/articles/PMC11671661/pdf/","citationCount":"0","resultStr":"{\"title\":\"Aseptic Meningitis and White Matter Disease in Childhood-Onset Neuropsychiatric Lupus.\",\"authors\":\"Mei Lam Hsu, Kwai Yu Winnie Chan\",\"doi\":\"10.1155/crrh/3496303\",\"DOIUrl\":null,\"url\":null,\"abstract\":\"<p><p>We reported a 10-year-old girl who had an atypical demyelinating disease as the presentation of her neuropsychiatric lupus. The patient had a 4-year history of systemic lupus erythematosus which had been on remission until she presented with fever and headache at the age of 10 years. Physical examination showed meningism. Extensive microbiological workup for infective meningitis was unrevealing. There was a radiographic finding of an extensive white matter hyperintensity on the magnetic resonance imaging (MRI) of the brain. At the initial stage of our case, as it was difficult to differentiate between infection of the central nervous system and neuropsychiatric manifestation of lupus, a course of intravenous immunoglobulin was given empirically instead of high-dose corticosteroid while awaiting the microbiological workup results. The fever and headache subsided shortly after commencement of intravenous immunoglobulin without use of pulse corticosteroid. After the active neurological symptoms remitted, she was given a total of six monthly doses of intravenous immunoglobulin at 2 g/kg/cycle and six biweekly doses of intravenous cyclophosphamide at 500 mg/m<sup>2</sup>/month. Interval MRI showed resolution of the white matter hyperintensity. Despite the extensive demyelinating disease on initial presentation, she remitted successfully without residual neurological sequelae.</p>\",\"PeriodicalId\":9622,\"journal\":{\"name\":\"Case Reports in Rheumatology\",\"volume\":\"2024 \",\"pages\":\"3496303\"},\"PeriodicalIF\":0.0000,\"publicationDate\":\"2024-12-19\",\"publicationTypes\":\"Journal Article\",\"fieldsOfStudy\":null,\"isOpenAccess\":false,\"openAccessPdf\":\"https://www.ncbi.nlm.nih.gov/pmc/articles/PMC11671661/pdf/\",\"citationCount\":\"0\",\"resultStr\":null,\"platform\":\"Semanticscholar\",\"paperid\":null,\"PeriodicalName\":\"Case Reports in Rheumatology\",\"FirstCategoryId\":\"1085\",\"ListUrlMain\":\"https://doi.org/10.1155/crrh/3496303\",\"RegionNum\":0,\"RegionCategory\":null,\"ArticlePicture\":[],\"TitleCN\":null,\"AbstractTextCN\":null,\"PMCID\":null,\"EPubDate\":\"2024/1/1 0:00:00\",\"PubModel\":\"eCollection\",\"JCR\":\"\",\"JCRName\":\"\",\"Score\":null,\"Total\":0}","platform":"Semanticscholar","paperid":null,"PeriodicalName":"Case Reports in Rheumatology","FirstCategoryId":"1085","ListUrlMain":"https://doi.org/10.1155/crrh/3496303","RegionNum":0,"RegionCategory":null,"ArticlePicture":[],"TitleCN":null,"AbstractTextCN":null,"PMCID":null,"EPubDate":"2024/1/1 0:00:00","PubModel":"eCollection","JCR":"","JCRName":"","Score":null,"Total":0}
引用次数: 0

摘要

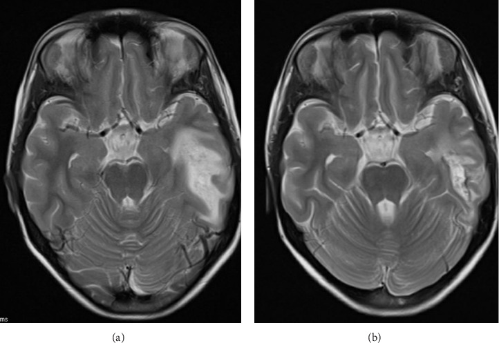
我们报告了一个10岁的女孩谁有一个非典型脱髓鞘疾病作为她的神经精神狼疮的表现。患者有4年的系统性红斑狼疮病史,10岁时出现发热和头痛,病情一度缓解。体格检查显示脑膜炎。感染性脑膜炎的广泛微生物检查未见结果。在脑磁共振成像(MRI)上发现广泛的白质高信号。在我们病例的初始阶段,由于中枢神经系统感染和狼疮的神经精神表现难以区分,在等待微生物检查结果的同时,经验性地给予静脉注射免疫球蛋白一个疗程,而不是大剂量的皮质类固醇。在开始静脉注射免疫球蛋白而不使用脉冲皮质类固醇后,发热和头痛很快消退。在活动性神经症状缓解后,她被给予6个月剂量的静脉注射免疫球蛋白(2g /kg/周期)和6个双周剂量的静脉注射环磷酰胺(500mg /m2/月)。间歇MRI显示白质高信号消退。尽管最初的表现是广泛的脱髓鞘疾病,但她成功地缓解了,没有残余的神经系统后遗症。
本文章由计算机程序翻译,如有差异,请以英文原文为准。

Aseptic Meningitis and White Matter Disease in Childhood-Onset Neuropsychiatric Lupus.

Aseptic Meningitis and White Matter Disease in Childhood-Onset Neuropsychiatric Lupus.

Aseptic Meningitis and White Matter Disease in Childhood-Onset Neuropsychiatric Lupus.

We reported a 10-year-old girl who had an atypical demyelinating disease as the presentation of her neuropsychiatric lupus. The patient had a 4-year history of systemic lupus erythematosus which had been on remission until she presented with fever and headache at the age of 10 years. Physical examination showed meningism. Extensive microbiological workup for infective meningitis was unrevealing. There was a radiographic finding of an extensive white matter hyperintensity on the magnetic resonance imaging (MRI) of the brain. At the initial stage of our case, as it was difficult to differentiate between infection of the central nervous system and neuropsychiatric manifestation of lupus, a course of intravenous immunoglobulin was given empirically instead of high-dose corticosteroid while awaiting the microbiological workup results. The fever and headache subsided shortly after commencement of intravenous immunoglobulin without use of pulse corticosteroid. After the active neurological symptoms remitted, she was given a total of six monthly doses of intravenous immunoglobulin at 2 g/kg/cycle and six biweekly doses of intravenous cyclophosphamide at 500 mg/m2/month. Interval MRI showed resolution of the white matter hyperintensity. Despite the extensive demyelinating disease on initial presentation, she remitted successfully without residual neurological sequelae.

求助全文
通过发布文献求助,成功后即可免费获取论文全文。 去求助
来源期刊
自引率
0.00%
发文量
35
审稿时长
12 weeks
×
引用
GB/T 7714-2015
复制
MLA
复制
APA
复制
导出至
BibTeX EndNote RefMan NoteFirst NoteExpress
×
提示
您的信息不完整,为了账户安全,请先补充。
现在去补充
×
提示
您因"违规操作"
具体请查看互助需知
我知道了
×
提示
确定
请完成安全验证×
copy
已复制链接
快去分享给好友吧!
我知道了
右上角分享
点击右上角分享
0
联系我们:info@booksci.cn Book学术提供免费学术资源搜索服务,方便国内外学者检索中英文文献。致力于提供最便捷和优质的服务体验。 Copyright © 2023 布克学术 All rights reserved.
京ICP备2023020795号-1
ghs 京公网安备 11010802042870号
Book学术文献互助
Book学术文献互助群
群 号:604180095
Book学术官方微信