肽组学分析揭示了虹鳟鱼肉在真空烹调过程中的温度依赖性蛋白水解。

IF 3.6 Q2 BIOCHEMISTRY & MOLECULAR BIOLOGY
Miyu Sakuyama, Yuri Kominami, Hideki Ushio
{"title":"肽组学分析揭示了虹鳟鱼肉在真空烹调过程中的温度依赖性蛋白水解。","authors":"Miyu Sakuyama, Yuri Kominami, Hideki Ushio","doi":"10.3390/proteomes12040036","DOIUrl":null,"url":null,"abstract":"<p><p>Sous vide, a cooking method that involves vacuum-sealed fish at low temperatures, yields a uniquely tender, easily flaked texture. Previous research on sous-vide tenderization has focused on thermal protein denaturation. On the other hand, the contribution of proteases, activated at low temperatures in fish meat, has been suggested. However, the details of protein degradation remain unclear. This study employed SDS-PAGE/immunoblot and peptidomic analysis of rainbow trout to assess proteolysis during sous-vide cooking. The results from SDS-PAGE and immunoblot analysis indicated reduced thermal aggregation of sarcoplasmic proteins and increased depolymerization of actin under low-temperature cooking conditions. A comparison of the peptidome showed that the proteolysis of myofibrillar proteins was accelerated during sous-vide cooking, with distinct proteases potentially activated at different cooking temperatures. Terminome analysis revealed the contribution of specific proteases at higher temperatures in rainbow trout. The results of this study demonstrate the thermal denaturation of sarcoplasmic proteins and proteolysis of myofibrillar proteins in rainbow trout meat during sous-vide cooking and its temperature dependence. The methodology in the present study could provide insights into the optimization of cooking conditions for different fish species, potentially leading to improved texture and quality of sous-vide products.</p>","PeriodicalId":20877,"journal":{"name":"Proteomes","volume":"12 4","pages":""},"PeriodicalIF":3.6000,"publicationDate":"2024-11-27","publicationTypes":"Journal Article","fieldsOfStudy":null,"isOpenAccess":false,"openAccessPdf":"https://www.ncbi.nlm.nih.gov/pmc/articles/PMC11679362/pdf/","citationCount":"0","resultStr":"{\"title\":\"Peptidomic Analysis Reveals Temperature-Dependent Proteolysis in Rainbow Trout (<i>Oncorhynchus mykiss</i>) Meat During Sous-Vide Cooking.\",\"authors\":\"Miyu Sakuyama, Yuri Kominami, Hideki Ushio\",\"doi\":\"10.3390/proteomes12040036\",\"DOIUrl\":null,\"url\":null,\"abstract\":\"<p><p>Sous vide, a cooking method that involves vacuum-sealed fish at low temperatures, yields a uniquely tender, easily flaked texture. Previous research on sous-vide tenderization has focused on thermal protein denaturation. On the other hand, the contribution of proteases, activated at low temperatures in fish meat, has been suggested. However, the details of protein degradation remain unclear. This study employed SDS-PAGE/immunoblot and peptidomic analysis of rainbow trout to assess proteolysis during sous-vide cooking. The results from SDS-PAGE and immunoblot analysis indicated reduced thermal aggregation of sarcoplasmic proteins and increased depolymerization of actin under low-temperature cooking conditions. A comparison of the peptidome showed that the proteolysis of myofibrillar proteins was accelerated during sous-vide cooking, with distinct proteases potentially activated at different cooking temperatures. Terminome analysis revealed the contribution of specific proteases at higher temperatures in rainbow trout. The results of this study demonstrate the thermal denaturation of sarcoplasmic proteins and proteolysis of myofibrillar proteins in rainbow trout meat during sous-vide cooking and its temperature dependence. The methodology in the present study could provide insights into the optimization of cooking conditions for different fish species, potentially leading to improved texture and quality of sous-vide products.</p>\",\"PeriodicalId\":20877,\"journal\":{\"name\":\"Proteomes\",\"volume\":\"12 4\",\"pages\":\"\"},\"PeriodicalIF\":3.6000,\"publicationDate\":\"2024-11-27\",\"publicationTypes\":\"Journal Article\",\"fieldsOfStudy\":null,\"isOpenAccess\":false,\"openAccessPdf\":\"https://www.ncbi.nlm.nih.gov/pmc/articles/PMC11679362/pdf/\",\"citationCount\":\"0\",\"resultStr\":null,\"platform\":\"Semanticscholar\",\"paperid\":null,\"PeriodicalName\":\"Proteomes\",\"FirstCategoryId\":\"1085\",\"ListUrlMain\":\"https://doi.org/10.3390/proteomes12040036\",\"RegionNum\":0,\"RegionCategory\":null,\"ArticlePicture\":[],\"TitleCN\":null,\"AbstractTextCN\":null,\"PMCID\":null,\"EPubDate\":\"\",\"PubModel\":\"\",\"JCR\":\"Q2\",\"JCRName\":\"BIOCHEMISTRY & MOLECULAR BIOLOGY\",\"Score\":null,\"Total\":0}","platform":"Semanticscholar","paperid":null,"PeriodicalName":"Proteomes","FirstCategoryId":"1085","ListUrlMain":"https://doi.org/10.3390/proteomes12040036","RegionNum":0,"RegionCategory":null,"ArticlePicture":[],"TitleCN":null,"AbstractTextCN":null,"PMCID":null,"EPubDate":"","PubModel":"","JCR":"Q2","JCRName":"BIOCHEMISTRY & MOLECULAR BIOLOGY","Score":null,"Total":0}
引用次数: 0

摘要

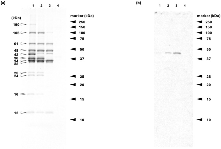
真空烹调法是一种在低温下对鱼进行真空密封的烹调方法,它能产生一种独特的鲜嫩、容易剥落的口感。以前对真空嫩化的研究主要集中在蛋白质的热变性上。另一方面,已经提出了在低温下鱼肉中活化的蛋白酶的作用。然而,蛋白质降解的细节仍不清楚。本研究采用SDS-PAGE/免疫印迹和肽组学分析虹鳟鱼在真空烹调过程中的蛋白水解。SDS-PAGE和免疫印迹分析结果表明,在低温蒸煮条件下,肌浆蛋白的热聚集减少,肌动蛋白的解聚增加。对肽穹的比较表明,在真空烹调过程中,肌纤维蛋白的蛋白质水解被加速,不同的蛋白酶在不同的烹调温度下可能被激活。终端组分析揭示了虹鳟鱼在高温下特定蛋白酶的作用。本研究的结果证明了虹鳟鱼肉在真空烹调过程中肌浆蛋白的热变性和肌纤维蛋白的蛋白水解及其温度依赖性。本研究的方法可以为优化不同鱼类的烹饪条件提供见解,有可能改善真空烹调产品的质地和质量。
本文章由计算机程序翻译,如有差异,请以英文原文为准。

Peptidomic Analysis Reveals Temperature-Dependent Proteolysis in Rainbow Trout (<i>Oncorhynchus mykiss</i>) Meat During Sous-Vide Cooking.

Peptidomic Analysis Reveals Temperature-Dependent Proteolysis in Rainbow Trout (<i>Oncorhynchus mykiss</i>) Meat During Sous-Vide Cooking.

Peptidomic Analysis Reveals Temperature-Dependent Proteolysis in Rainbow Trout (<i>Oncorhynchus mykiss</i>) Meat During Sous-Vide Cooking.

Peptidomic Analysis Reveals Temperature-Dependent Proteolysis in Rainbow Trout (Oncorhynchus mykiss) Meat During Sous-Vide Cooking.

Sous vide, a cooking method that involves vacuum-sealed fish at low temperatures, yields a uniquely tender, easily flaked texture. Previous research on sous-vide tenderization has focused on thermal protein denaturation. On the other hand, the contribution of proteases, activated at low temperatures in fish meat, has been suggested. However, the details of protein degradation remain unclear. This study employed SDS-PAGE/immunoblot and peptidomic analysis of rainbow trout to assess proteolysis during sous-vide cooking. The results from SDS-PAGE and immunoblot analysis indicated reduced thermal aggregation of sarcoplasmic proteins and increased depolymerization of actin under low-temperature cooking conditions. A comparison of the peptidome showed that the proteolysis of myofibrillar proteins was accelerated during sous-vide cooking, with distinct proteases potentially activated at different cooking temperatures. Terminome analysis revealed the contribution of specific proteases at higher temperatures in rainbow trout. The results of this study demonstrate the thermal denaturation of sarcoplasmic proteins and proteolysis of myofibrillar proteins in rainbow trout meat during sous-vide cooking and its temperature dependence. The methodology in the present study could provide insights into the optimization of cooking conditions for different fish species, potentially leading to improved texture and quality of sous-vide products.

求助全文
通过发布文献求助,成功后即可免费获取论文全文。 去求助
来源期刊
Proteomes
Proteomes Biochemistry, Genetics and Molecular Biology-Clinical Biochemistry
CiteScore
6.50
自引率
3.00%
发文量
37
审稿时长
11 weeks
期刊介绍: Proteomes (ISSN 2227-7382) is an open access, peer reviewed journal on all aspects of proteome science. Proteomes covers the multi-disciplinary topics of structural and functional biology, protein chemistry, cell biology, methodology used for protein analysis, including mass spectrometry, protein arrays, bioinformatics, HTS assays, etc. Our aim is to encourage scientists to publish their experimental and theoretical results in as much detail as possible. Therefore, there is no restriction on the length of papers. Scope: -whole proteome analysis of any organism -disease/pharmaceutical studies -comparative proteomics -protein-ligand/protein interactions -structure/functional proteomics -gene expression -methodology -bioinformatics -applications of proteomics
×
引用
GB/T 7714-2015
复制
MLA
复制
APA
复制
导出至
BibTeX EndNote RefMan NoteFirst NoteExpress
×
提示
您的信息不完整,为了账户安全,请先补充。
现在去补充
×
提示
您因"违规操作"
具体请查看互助需知
我知道了
×
提示
确定
请完成安全验证×
copy
已复制链接
快去分享给好友吧!
我知道了
右上角分享
点击右上角分享
0
联系我们:info@booksci.cn Book学术提供免费学术资源搜索服务,方便国内外学者检索中英文文献。致力于提供最便捷和优质的服务体验。 Copyright © 2023 布克学术 All rights reserved.
京ICP备2023020795号-1
ghs 京公网安备 11010802042870号
Book学术文献互助
Book学术文献互助群
群 号:604180095
Book学术官方微信