纤维肌肉发育不良引起的快速扩张梭状腹主动脉瘤无狭窄病变一例。

IF 0.6 Q4 PERIPHERAL VASCULAR DISEASE
Annals of vascular diseases Pub Date : 2024-12-25 Epub Date: 2024-11-27 DOI:10.3400/avd.cr.24-00110
Shinya Masuda, Daichi Takahashi, Kazuaki Yanagiya, Masayuki Otani, Ko Sakatsume, Nobuaki Suzuki, Ichiro Yoshioka, Masaharu Hatakeyama, Hidekachi Kurotaki, Koichi Nagaya
{"title":"纤维肌肉发育不良引起的快速扩张梭状腹主动脉瘤无狭窄病变一例。","authors":"Shinya Masuda, Daichi Takahashi, Kazuaki Yanagiya, Masayuki Otani, Ko Sakatsume, Nobuaki Suzuki, Ichiro Yoshioka, Masaharu Hatakeyama, Hidekachi Kurotaki, Koichi Nagaya","doi":"10.3400/avd.cr.24-00110","DOIUrl":null,"url":null,"abstract":"<p><p>Fibromuscular dysplasia (FMD) is an arterial disease characterized by fibrous arterial wall thickening and irregular proliferation and degeneration of smooth muscle cells in muscular arteries. Abdominal aortic aneurysms (AAA) are rare, with only a few reported cases. A characteristic feature of AAA is an aneurysm protruding forward near the terminal aorta with stenosis. Here, we report a rare case of a 66-year-old woman who underwent abdominal aortic replacement for a fusiform AAA, diagnosed with aortic FMD (without stenotic lesions) on pathological examination.</p>","PeriodicalId":7995,"journal":{"name":"Annals of vascular diseases","volume":"17 4","pages":"443-446"},"PeriodicalIF":0.6000,"publicationDate":"2024-12-25","publicationTypes":"Journal Article","fieldsOfStudy":null,"isOpenAccess":false,"openAccessPdf":"https://www.ncbi.nlm.nih.gov/pmc/articles/PMC11669020/pdf/","citationCount":"0","resultStr":"{\"title\":\"Rapidly Expanding Fusiform Abdominal Aortic Aneurysm without Stenotic Lesion Caused by Fibromuscular Dysplasia: A Rare Case.\",\"authors\":\"Shinya Masuda, Daichi Takahashi, Kazuaki Yanagiya, Masayuki Otani, Ko Sakatsume, Nobuaki Suzuki, Ichiro Yoshioka, Masaharu Hatakeyama, Hidekachi Kurotaki, Koichi Nagaya\",\"doi\":\"10.3400/avd.cr.24-00110\",\"DOIUrl\":null,\"url\":null,\"abstract\":\"<p><p>Fibromuscular dysplasia (FMD) is an arterial disease characterized by fibrous arterial wall thickening and irregular proliferation and degeneration of smooth muscle cells in muscular arteries. Abdominal aortic aneurysms (AAA) are rare, with only a few reported cases. A characteristic feature of AAA is an aneurysm protruding forward near the terminal aorta with stenosis. Here, we report a rare case of a 66-year-old woman who underwent abdominal aortic replacement for a fusiform AAA, diagnosed with aortic FMD (without stenotic lesions) on pathological examination.</p>\",\"PeriodicalId\":7995,\"journal\":{\"name\":\"Annals of vascular diseases\",\"volume\":\"17 4\",\"pages\":\"443-446\"},\"PeriodicalIF\":0.6000,\"publicationDate\":\"2024-12-25\",\"publicationTypes\":\"Journal Article\",\"fieldsOfStudy\":null,\"isOpenAccess\":false,\"openAccessPdf\":\"https://www.ncbi.nlm.nih.gov/pmc/articles/PMC11669020/pdf/\",\"citationCount\":\"0\",\"resultStr\":null,\"platform\":\"Semanticscholar\",\"paperid\":null,\"PeriodicalName\":\"Annals of vascular diseases\",\"FirstCategoryId\":\"1085\",\"ListUrlMain\":\"https://doi.org/10.3400/avd.cr.24-00110\",\"RegionNum\":0,\"RegionCategory\":null,\"ArticlePicture\":[],\"TitleCN\":null,\"AbstractTextCN\":null,\"PMCID\":null,\"EPubDate\":\"2024/11/27 0:00:00\",\"PubModel\":\"Epub\",\"JCR\":\"Q4\",\"JCRName\":\"PERIPHERAL VASCULAR DISEASE\",\"Score\":null,\"Total\":0}","platform":"Semanticscholar","paperid":null,"PeriodicalName":"Annals of vascular diseases","FirstCategoryId":"1085","ListUrlMain":"https://doi.org/10.3400/avd.cr.24-00110","RegionNum":0,"RegionCategory":null,"ArticlePicture":[],"TitleCN":null,"AbstractTextCN":null,"PMCID":null,"EPubDate":"2024/11/27 0:00:00","PubModel":"Epub","JCR":"Q4","JCRName":"PERIPHERAL VASCULAR DISEASE","Score":null,"Total":0}
引用次数: 0

摘要

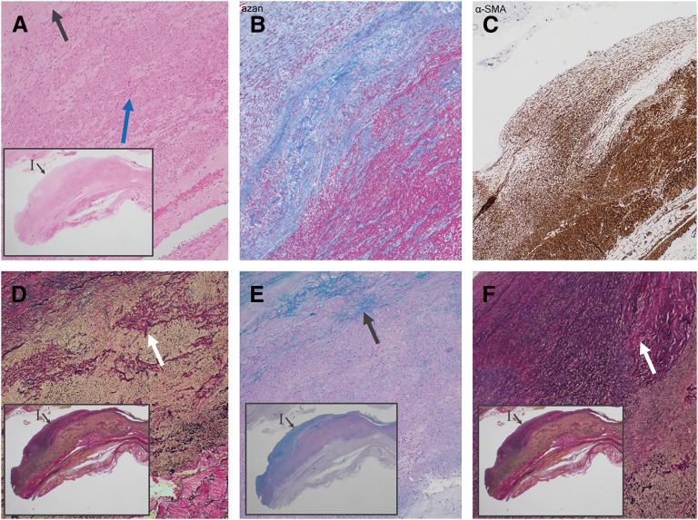
纤维肌肉发育不良(FMD)是一种以纤维动脉壁增厚和肌肉动脉平滑肌细胞不规则增生和变性为特征的动脉疾病。腹主动脉瘤(AAA)是罕见的,只有少数报告的病例。AAA的一个特征性特征是动脉瘤向前突出靠近末段主动脉并狭窄。在此,我们报告一个罕见的66岁女性病例,她接受了腹主动脉置换术治疗梭状AAA,在病理检查中诊断为主动脉FMD(无狭窄病变)。
本文章由计算机程序翻译,如有差异,请以英文原文为准。

Rapidly Expanding Fusiform Abdominal Aortic Aneurysm without Stenotic Lesion Caused by Fibromuscular Dysplasia: A Rare Case.

Rapidly Expanding Fusiform Abdominal Aortic Aneurysm without Stenotic Lesion Caused by Fibromuscular Dysplasia: A Rare Case.

Rapidly Expanding Fusiform Abdominal Aortic Aneurysm without Stenotic Lesion Caused by Fibromuscular Dysplasia: A Rare Case.

Rapidly Expanding Fusiform Abdominal Aortic Aneurysm without Stenotic Lesion Caused by Fibromuscular Dysplasia: A Rare Case.

Fibromuscular dysplasia (FMD) is an arterial disease characterized by fibrous arterial wall thickening and irregular proliferation and degeneration of smooth muscle cells in muscular arteries. Abdominal aortic aneurysms (AAA) are rare, with only a few reported cases. A characteristic feature of AAA is an aneurysm protruding forward near the terminal aorta with stenosis. Here, we report a rare case of a 66-year-old woman who underwent abdominal aortic replacement for a fusiform AAA, diagnosed with aortic FMD (without stenotic lesions) on pathological examination.

求助全文
通过发布文献求助,成功后即可免费获取论文全文。 去求助
来源期刊
Annals of vascular diseases
Annals of vascular diseases PERIPHERAL VASCULAR DISEASE-
自引率
0.00%
发文量
41
×
引用
GB/T 7714-2015
复制
MLA
复制
APA
复制
导出至
BibTeX EndNote RefMan NoteFirst NoteExpress
×
提示
您的信息不完整,为了账户安全,请先补充。
现在去补充
×
提示
您因"违规操作"
具体请查看互助需知
我知道了
×
提示
确定
请完成安全验证×
copy
已复制链接
快去分享给好友吧!
我知道了
右上角分享
点击右上角分享
0
联系我们:info@booksci.cn Book学术提供免费学术资源搜索服务,方便国内外学者检索中英文文献。致力于提供最便捷和优质的服务体验。 Copyright © 2023 布克学术 All rights reserved.
京ICP备2023020795号-1
ghs 京公网安备 11010802042870号
Book学术文献互助
Book学术文献互助群
群 号:604180095
Book学术官方微信