以髂腔深静脉血栓形成为表现的系统性红斑狼疮发病前的抗磷脂综合征1例报告及文献复习。

IF 0.6 Q4 PERIPHERAL VASCULAR DISEASE
Annals of vascular diseases Pub Date : 2024-12-25 Epub Date: 2024-10-08 DOI:10.3400/avd.cr.24-00040
Masaya Nakashima, Masayoshi Kobayashi
{"title":"以髂腔深静脉血栓形成为表现的系统性红斑狼疮发病前的抗磷脂综合征1例报告及文献复习。","authors":"Masaya Nakashima, Masayoshi Kobayashi","doi":"10.3400/avd.cr.24-00040","DOIUrl":null,"url":null,"abstract":"<p><p>Antiphospholipid syndrome (APS) and systemic lupus erythematosus (SLE) are similar to be characterized by thromboembolic events and various clinical manifestations. We experienced a 21-year-old man with acute iliocaval deep vein thrombosis (DVT). Primary APS was initially diagnosed on the criteria, and after multidisciplinary treatment, iliocaval DVT was gradually regressed. Six months later, the patient complained of acute enteritis, followed by peripheral neuropathy and butterfly lupus. SLE was diagnosed, which suggested that the onset of SLE was preceded by APS. This case raises the question of a present consensus that these two diseases are clearly different clinical entities, although these are closely related.</p>","PeriodicalId":7995,"journal":{"name":"Annals of vascular diseases","volume":"17 4","pages":"409-412"},"PeriodicalIF":0.6000,"publicationDate":"2024-12-25","publicationTypes":"Journal Article","fieldsOfStudy":null,"isOpenAccess":false,"openAccessPdf":"https://www.ncbi.nlm.nih.gov/pmc/articles/PMC11669031/pdf/","citationCount":"0","resultStr":"{\"title\":\"Preceding Antiphospholipid Syndrome before the Onset of Systemic Lupus Erythematosus Presenting with Iliocaval Deep Vein Thrombosis: A Case Report and Literature Review.\",\"authors\":\"Masaya Nakashima, Masayoshi Kobayashi\",\"doi\":\"10.3400/avd.cr.24-00040\",\"DOIUrl\":null,\"url\":null,\"abstract\":\"<p><p>Antiphospholipid syndrome (APS) and systemic lupus erythematosus (SLE) are similar to be characterized by thromboembolic events and various clinical manifestations. We experienced a 21-year-old man with acute iliocaval deep vein thrombosis (DVT). Primary APS was initially diagnosed on the criteria, and after multidisciplinary treatment, iliocaval DVT was gradually regressed. Six months later, the patient complained of acute enteritis, followed by peripheral neuropathy and butterfly lupus. SLE was diagnosed, which suggested that the onset of SLE was preceded by APS. This case raises the question of a present consensus that these two diseases are clearly different clinical entities, although these are closely related.</p>\",\"PeriodicalId\":7995,\"journal\":{\"name\":\"Annals of vascular diseases\",\"volume\":\"17 4\",\"pages\":\"409-412\"},\"PeriodicalIF\":0.6000,\"publicationDate\":\"2024-12-25\",\"publicationTypes\":\"Journal Article\",\"fieldsOfStudy\":null,\"isOpenAccess\":false,\"openAccessPdf\":\"https://www.ncbi.nlm.nih.gov/pmc/articles/PMC11669031/pdf/\",\"citationCount\":\"0\",\"resultStr\":null,\"platform\":\"Semanticscholar\",\"paperid\":null,\"PeriodicalName\":\"Annals of vascular diseases\",\"FirstCategoryId\":\"1085\",\"ListUrlMain\":\"https://doi.org/10.3400/avd.cr.24-00040\",\"RegionNum\":0,\"RegionCategory\":null,\"ArticlePicture\":[],\"TitleCN\":null,\"AbstractTextCN\":null,\"PMCID\":null,\"EPubDate\":\"2024/10/8 0:00:00\",\"PubModel\":\"Epub\",\"JCR\":\"Q4\",\"JCRName\":\"PERIPHERAL VASCULAR DISEASE\",\"Score\":null,\"Total\":0}","platform":"Semanticscholar","paperid":null,"PeriodicalName":"Annals of vascular diseases","FirstCategoryId":"1085","ListUrlMain":"https://doi.org/10.3400/avd.cr.24-00040","RegionNum":0,"RegionCategory":null,"ArticlePicture":[],"TitleCN":null,"AbstractTextCN":null,"PMCID":null,"EPubDate":"2024/10/8 0:00:00","PubModel":"Epub","JCR":"Q4","JCRName":"PERIPHERAL VASCULAR DISEASE","Score":null,"Total":0}
引用次数: 0

摘要

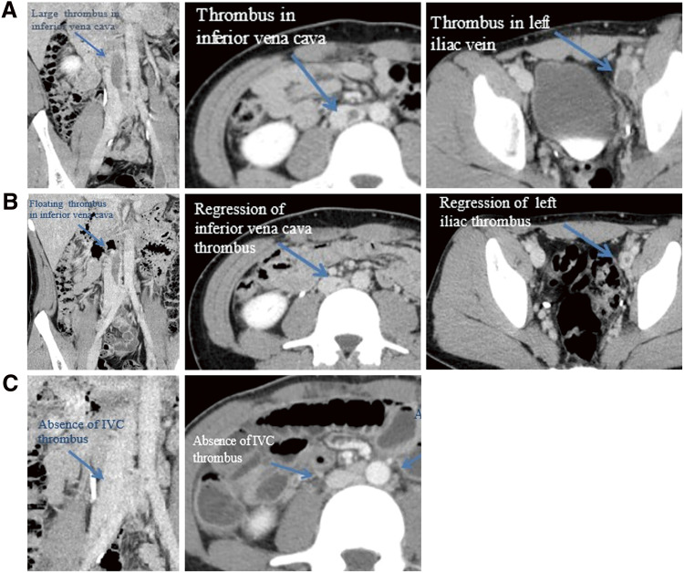
抗磷脂综合征(APS)和系统性红斑狼疮(SLE)相似,其特征是血栓栓塞事件和多种临床表现。我们经历了一个21岁的男性急性髂腔深静脉血栓形成(DVT)。原发性APS初步诊断符合标准,经多学科治疗,髂腔DVT逐渐消退。6个月后,患者主诉急性肠炎,接着是周围神经病变和蝴蝶狼疮。诊断为SLE,提示SLE发病前有APS。这个病例提出了一个问题,目前的共识,这两种疾病是明显不同的临床实体,尽管它们是密切相关的。
本文章由计算机程序翻译,如有差异,请以英文原文为准。

Preceding Antiphospholipid Syndrome before the Onset of Systemic Lupus Erythematosus Presenting with Iliocaval Deep Vein Thrombosis: A Case Report and Literature Review.

Preceding Antiphospholipid Syndrome before the Onset of Systemic Lupus Erythematosus Presenting with Iliocaval Deep Vein Thrombosis: A Case Report and Literature Review.

Preceding Antiphospholipid Syndrome before the Onset of Systemic Lupus Erythematosus Presenting with Iliocaval Deep Vein Thrombosis: A Case Report and Literature Review.

Antiphospholipid syndrome (APS) and systemic lupus erythematosus (SLE) are similar to be characterized by thromboembolic events and various clinical manifestations. We experienced a 21-year-old man with acute iliocaval deep vein thrombosis (DVT). Primary APS was initially diagnosed on the criteria, and after multidisciplinary treatment, iliocaval DVT was gradually regressed. Six months later, the patient complained of acute enteritis, followed by peripheral neuropathy and butterfly lupus. SLE was diagnosed, which suggested that the onset of SLE was preceded by APS. This case raises the question of a present consensus that these two diseases are clearly different clinical entities, although these are closely related.

求助全文
通过发布文献求助,成功后即可免费获取论文全文。 去求助
来源期刊
Annals of vascular diseases
Annals of vascular diseases PERIPHERAL VASCULAR DISEASE-
自引率
0.00%
发文量
41
×
引用
GB/T 7714-2015
复制
MLA
复制
APA
复制
导出至
BibTeX EndNote RefMan NoteFirst NoteExpress
×
提示
您的信息不完整,为了账户安全,请先补充。
现在去补充
×
提示
您因"违规操作"
具体请查看互助需知
我知道了
×
提示
确定
请完成安全验证×
copy
已复制链接
快去分享给好友吧!
我知道了
右上角分享
点击右上角分享
0
联系我们:info@booksci.cn Book学术提供免费学术资源搜索服务,方便国内外学者检索中英文文献。致力于提供最便捷和优质的服务体验。 Copyright © 2023 布克学术 All rights reserved.
京ICP备2023020795号-1
ghs 京公网安备 11010802042870号
Book学术文献互助
Book学术文献互助群
群 号:604180095
Book学术官方微信