重症肌无力患者感染性胸腹主动脉瘤修复1例。

IF 0.6 Q4 PERIPHERAL VASCULAR DISEASE
Annals of vascular diseases Pub Date : 2024-12-25 Epub Date: 2024-10-08 DOI:10.3400/avd.cr.24-00099
Kiyoshi Chiba, Satoshi Kinebuchi, Masahide Komagamine, Kazuyoshi Tanigawa, Masahide Chikada, Hiroshi Nishimaki, Kan Nawata
{"title":"重症肌无力患者感染性胸腹主动脉瘤修复1例。","authors":"Kiyoshi Chiba, Satoshi Kinebuchi, Masahide Komagamine, Kazuyoshi Tanigawa, Masahide Chikada, Hiroshi Nishimaki, Kan Nawata","doi":"10.3400/avd.cr.24-00099","DOIUrl":null,"url":null,"abstract":"<p><p>Myasthenia gravis (MG) is an autoimmune neuromuscular junction disorder that rarely coexists with infectious thoracoabdominal aortic aneurysms (TAAA) requiring open repair. A 57-year-old patient with MG underwent elective thoracoabdominal aortic replacement. He was diagnosed with MG (Osserman classification II A). Extent IV thoracoabdominal aortic repair was performed under general anesthesia and maintained by total intravenous anesthesia. The patient was withdrawn from the ventilator on postoperative day 5 without spinal cord ischemia and myasthenic crisis. The management of infectious TAAA with myasthenia gravis warrants not only the prevention of complications associated with the crisis but also multidisciplinary treatments for infection control.</p>","PeriodicalId":7995,"journal":{"name":"Annals of vascular diseases","volume":"17 4","pages":"429-432"},"PeriodicalIF":0.6000,"publicationDate":"2024-12-25","publicationTypes":"Journal Article","fieldsOfStudy":null,"isOpenAccess":false,"openAccessPdf":"https://www.ncbi.nlm.nih.gov/pmc/articles/PMC11669023/pdf/","citationCount":"0","resultStr":"{\"title\":\"Infectious Thoracoabdominal Aortic Aneurysm Repair in a Patient with Myasthenia Gravis: A Case Report.\",\"authors\":\"Kiyoshi Chiba, Satoshi Kinebuchi, Masahide Komagamine, Kazuyoshi Tanigawa, Masahide Chikada, Hiroshi Nishimaki, Kan Nawata\",\"doi\":\"10.3400/avd.cr.24-00099\",\"DOIUrl\":null,\"url\":null,\"abstract\":\"<p><p>Myasthenia gravis (MG) is an autoimmune neuromuscular junction disorder that rarely coexists with infectious thoracoabdominal aortic aneurysms (TAAA) requiring open repair. A 57-year-old patient with MG underwent elective thoracoabdominal aortic replacement. He was diagnosed with MG (Osserman classification II A). Extent IV thoracoabdominal aortic repair was performed under general anesthesia and maintained by total intravenous anesthesia. The patient was withdrawn from the ventilator on postoperative day 5 without spinal cord ischemia and myasthenic crisis. The management of infectious TAAA with myasthenia gravis warrants not only the prevention of complications associated with the crisis but also multidisciplinary treatments for infection control.</p>\",\"PeriodicalId\":7995,\"journal\":{\"name\":\"Annals of vascular diseases\",\"volume\":\"17 4\",\"pages\":\"429-432\"},\"PeriodicalIF\":0.6000,\"publicationDate\":\"2024-12-25\",\"publicationTypes\":\"Journal Article\",\"fieldsOfStudy\":null,\"isOpenAccess\":false,\"openAccessPdf\":\"https://www.ncbi.nlm.nih.gov/pmc/articles/PMC11669023/pdf/\",\"citationCount\":\"0\",\"resultStr\":null,\"platform\":\"Semanticscholar\",\"paperid\":null,\"PeriodicalName\":\"Annals of vascular diseases\",\"FirstCategoryId\":\"1085\",\"ListUrlMain\":\"https://doi.org/10.3400/avd.cr.24-00099\",\"RegionNum\":0,\"RegionCategory\":null,\"ArticlePicture\":[],\"TitleCN\":null,\"AbstractTextCN\":null,\"PMCID\":null,\"EPubDate\":\"2024/10/8 0:00:00\",\"PubModel\":\"Epub\",\"JCR\":\"Q4\",\"JCRName\":\"PERIPHERAL VASCULAR DISEASE\",\"Score\":null,\"Total\":0}","platform":"Semanticscholar","paperid":null,"PeriodicalName":"Annals of vascular diseases","FirstCategoryId":"1085","ListUrlMain":"https://doi.org/10.3400/avd.cr.24-00099","RegionNum":0,"RegionCategory":null,"ArticlePicture":[],"TitleCN":null,"AbstractTextCN":null,"PMCID":null,"EPubDate":"2024/10/8 0:00:00","PubModel":"Epub","JCR":"Q4","JCRName":"PERIPHERAL VASCULAR DISEASE","Score":null,"Total":0}
引用次数: 0

摘要

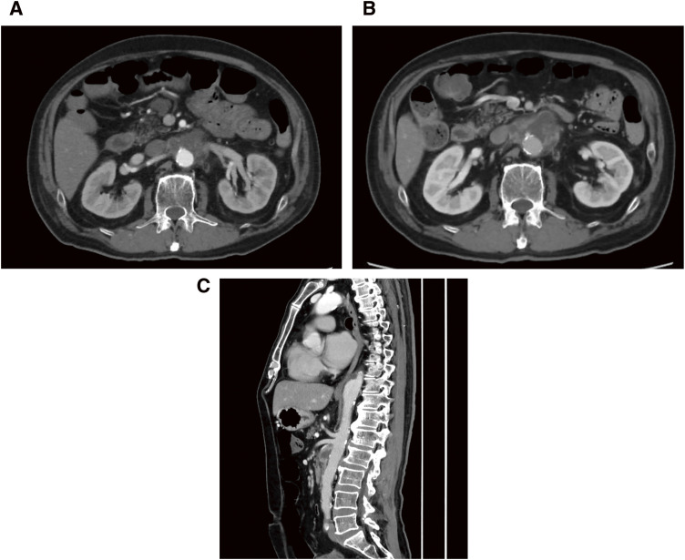
重症肌无力(MG)是一种自身免疫性神经肌肉连接障碍,很少与需要开放修复的感染性胸腹主动脉瘤(TAAA)共存。一位57岁的MG患者接受了选择性胸腹主动脉置换术。患者被诊断为MG (Osserman分类II A)。在全麻下行IV度胸腹主动脉修复术,并由全静脉麻醉维持。患者术后第5天停用呼吸机,无脊髓缺血和肌无力危象。感染性TAAA合并重症肌无力的管理不仅需要预防与危机相关的并发症,而且需要多学科的感染控制治疗。
本文章由计算机程序翻译,如有差异,请以英文原文为准。

Infectious Thoracoabdominal Aortic Aneurysm Repair in a Patient with Myasthenia Gravis: A Case Report.

Infectious Thoracoabdominal Aortic Aneurysm Repair in a Patient with Myasthenia Gravis: A Case Report.

Infectious Thoracoabdominal Aortic Aneurysm Repair in a Patient with Myasthenia Gravis: A Case Report.

Myasthenia gravis (MG) is an autoimmune neuromuscular junction disorder that rarely coexists with infectious thoracoabdominal aortic aneurysms (TAAA) requiring open repair. A 57-year-old patient with MG underwent elective thoracoabdominal aortic replacement. He was diagnosed with MG (Osserman classification II A). Extent IV thoracoabdominal aortic repair was performed under general anesthesia and maintained by total intravenous anesthesia. The patient was withdrawn from the ventilator on postoperative day 5 without spinal cord ischemia and myasthenic crisis. The management of infectious TAAA with myasthenia gravis warrants not only the prevention of complications associated with the crisis but also multidisciplinary treatments for infection control.

求助全文
通过发布文献求助,成功后即可免费获取论文全文。 去求助
来源期刊
Annals of vascular diseases
Annals of vascular diseases PERIPHERAL VASCULAR DISEASE-
自引率
0.00%
发文量
41
×
引用
GB/T 7714-2015
复制
MLA
复制
APA
复制
导出至
BibTeX EndNote RefMan NoteFirst NoteExpress
×
提示
您的信息不完整,为了账户安全,请先补充。
现在去补充
×
提示
您因"违规操作"
具体请查看互助需知
我知道了
×
提示
确定
请完成安全验证×
copy
已复制链接
快去分享给好友吧!
我知道了
右上角分享
点击右上角分享
0
联系我们:info@booksci.cn Book学术提供免费学术资源搜索服务,方便国内外学者检索中英文文献。致力于提供最便捷和优质的服务体验。 Copyright © 2023 布克学术 All rights reserved.
京ICP备2023020795号-1
ghs 京公网安备 11010802042870号
Book学术文献互助
Book学术文献互助群
群 号:604180095
Book学术官方微信