全身静脉溶栓和脊髓卒中:一例报告和文献复习。

IF 2.4 Q3 CLINICAL NEUROLOGY
BMJ Neurology Open Pub Date : 2024-12-18 eCollection Date: 2024-01-01 DOI:10.1136/bmjno-2024-000917
Haya Bishara, Sivan Bloch
{"title":"全身静脉溶栓和脊髓卒中:一例报告和文献复习。","authors":"Haya Bishara, Sivan Bloch","doi":"10.1136/bmjno-2024-000917","DOIUrl":null,"url":null,"abstract":"<p><strong>Background: </strong>Spinal cord infarction (SCI) is associated with poor clinical outcome. Intravenous thrombolysis (IVT) is a well-established treatment for cerebral ischaemic stroke. However, its efficacy in SCI is unknown.</p><p><strong>Objective: </strong>We present a case of acute spinal cord ischaemia with significant improvement following thrombolysis and review the current literature to explore the safety and feasibility of this treatment.</p><p><strong>Methods: </strong>We reviewed the literature for cases of SCI that were treated with IVT. We reviewed their medical history, clinical presentation and the reported outcome.</p><p><strong>Results: </strong>Other than our case, our review includes 19 cases of SCI treated with IVT. Their mean age was 62.87±15.27 and 36% of them were women. Most of the cases were spontaneous and treated within 240 min of onset. Favourable outcome was achieved in 89% of cases, including the few cases treated within extended time window. No clinical worsening due to haemorrhage was reported in either case.</p><p><strong>Conclusions: </strong>IVT may be considered in certain settings as treatment for SCI following the appropriate work-up. Favourable outcome was achieved in most cases and no case experienced clinical worsening due to post-thrombolysis haemorrhage. Safety and efficacy of this approach need further investigation.</p>","PeriodicalId":52754,"journal":{"name":"BMJ Neurology Open","volume":"6 2","pages":"e000917"},"PeriodicalIF":2.4000,"publicationDate":"2024-12-18","publicationTypes":"Journal Article","fieldsOfStudy":null,"isOpenAccess":false,"openAccessPdf":"https://www.ncbi.nlm.nih.gov/pmc/articles/PMC11667253/pdf/","citationCount":"0","resultStr":"{\"title\":\"Systemic intravenous thrombolysis and spinal stroke: a case report and review of the literature.\",\"authors\":\"Haya Bishara, Sivan Bloch\",\"doi\":\"10.1136/bmjno-2024-000917\",\"DOIUrl\":null,\"url\":null,\"abstract\":\"<p><strong>Background: </strong>Spinal cord infarction (SCI) is associated with poor clinical outcome. Intravenous thrombolysis (IVT) is a well-established treatment for cerebral ischaemic stroke. However, its efficacy in SCI is unknown.</p><p><strong>Objective: </strong>We present a case of acute spinal cord ischaemia with significant improvement following thrombolysis and review the current literature to explore the safety and feasibility of this treatment.</p><p><strong>Methods: </strong>We reviewed the literature for cases of SCI that were treated with IVT. We reviewed their medical history, clinical presentation and the reported outcome.</p><p><strong>Results: </strong>Other than our case, our review includes 19 cases of SCI treated with IVT. Their mean age was 62.87±15.27 and 36% of them were women. Most of the cases were spontaneous and treated within 240 min of onset. Favourable outcome was achieved in 89% of cases, including the few cases treated within extended time window. No clinical worsening due to haemorrhage was reported in either case.</p><p><strong>Conclusions: </strong>IVT may be considered in certain settings as treatment for SCI following the appropriate work-up. Favourable outcome was achieved in most cases and no case experienced clinical worsening due to post-thrombolysis haemorrhage. Safety and efficacy of this approach need further investigation.</p>\",\"PeriodicalId\":52754,\"journal\":{\"name\":\"BMJ Neurology Open\",\"volume\":\"6 2\",\"pages\":\"e000917\"},\"PeriodicalIF\":2.4000,\"publicationDate\":\"2024-12-18\",\"publicationTypes\":\"Journal Article\",\"fieldsOfStudy\":null,\"isOpenAccess\":false,\"openAccessPdf\":\"https://www.ncbi.nlm.nih.gov/pmc/articles/PMC11667253/pdf/\",\"citationCount\":\"0\",\"resultStr\":null,\"platform\":\"Semanticscholar\",\"paperid\":null,\"PeriodicalName\":\"BMJ Neurology Open\",\"FirstCategoryId\":\"1085\",\"ListUrlMain\":\"https://doi.org/10.1136/bmjno-2024-000917\",\"RegionNum\":0,\"RegionCategory\":null,\"ArticlePicture\":[],\"TitleCN\":null,\"AbstractTextCN\":null,\"PMCID\":null,\"EPubDate\":\"2024/1/1 0:00:00\",\"PubModel\":\"eCollection\",\"JCR\":\"Q3\",\"JCRName\":\"CLINICAL NEUROLOGY\",\"Score\":null,\"Total\":0}","platform":"Semanticscholar","paperid":null,"PeriodicalName":"BMJ Neurology Open","FirstCategoryId":"1085","ListUrlMain":"https://doi.org/10.1136/bmjno-2024-000917","RegionNum":0,"RegionCategory":null,"ArticlePicture":[],"TitleCN":null,"AbstractTextCN":null,"PMCID":null,"EPubDate":"2024/1/1 0:00:00","PubModel":"eCollection","JCR":"Q3","JCRName":"CLINICAL NEUROLOGY","Score":null,"Total":0}
引用次数: 0

摘要

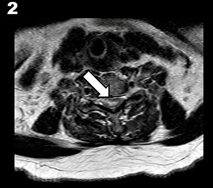
背景:脊髓梗死(SCI)与不良临床预后相关。静脉溶栓(IVT)是一种公认的治疗缺血性脑卒中的方法。然而,其在脊髓损伤中的疗效尚不清楚。目的:我们报告一例急性脊髓缺血溶栓治疗后明显改善的病例,并回顾目前的文献,探讨这种治疗的安全性和可行性。方法:我们回顾了脊髓损伤行静脉注射治疗的文献。我们回顾了他们的病史、临床表现和报告的结果。结果:除了我们的病例,我们的回顾包括19例脊髓损伤的IVT治疗。平均年龄62.87±15.27岁,女性占36%。大多数病例为自发性,并在发病后240分钟内得到治疗。89%的病例取得了良好的结果,包括在延长的时间窗口内治疗的少数病例。两例均无因出血引起的临床恶化。结论:在某些情况下,在适当的检查后,IVT可能被认为是脊髓损伤的治疗方法。大多数病例取得了良好的结果,没有一例因溶栓后出血而出现临床恶化。该方法的安全性和有效性有待进一步研究。
本文章由计算机程序翻译,如有差异,请以英文原文为准。

Systemic intravenous thrombolysis and spinal stroke: a case report and review of the literature.

Systemic intravenous thrombolysis and spinal stroke: a case report and review of the literature.

Systemic intravenous thrombolysis and spinal stroke: a case report and review of the literature.

Background: Spinal cord infarction (SCI) is associated with poor clinical outcome. Intravenous thrombolysis (IVT) is a well-established treatment for cerebral ischaemic stroke. However, its efficacy in SCI is unknown.

Objective: We present a case of acute spinal cord ischaemia with significant improvement following thrombolysis and review the current literature to explore the safety and feasibility of this treatment.

Methods: We reviewed the literature for cases of SCI that were treated with IVT. We reviewed their medical history, clinical presentation and the reported outcome.

Results: Other than our case, our review includes 19 cases of SCI treated with IVT. Their mean age was 62.87±15.27 and 36% of them were women. Most of the cases were spontaneous and treated within 240 min of onset. Favourable outcome was achieved in 89% of cases, including the few cases treated within extended time window. No clinical worsening due to haemorrhage was reported in either case.

Conclusions: IVT may be considered in certain settings as treatment for SCI following the appropriate work-up. Favourable outcome was achieved in most cases and no case experienced clinical worsening due to post-thrombolysis haemorrhage. Safety and efficacy of this approach need further investigation.

求助全文
通过发布文献求助,成功后即可免费获取论文全文。 去求助
来源期刊
BMJ Neurology Open
BMJ Neurology Open Medicine-Neurology (clinical)
CiteScore
3.20
自引率
3.70%
发文量
46
审稿时长
13 weeks
×
引用
GB/T 7714-2015
复制
MLA
复制
APA
复制
导出至
BibTeX EndNote RefMan NoteFirst NoteExpress
×
提示
您的信息不完整,为了账户安全,请先补充。
现在去补充
×
提示
您因"违规操作"
具体请查看互助需知
我知道了
×
提示
确定
请完成安全验证×
copy
已复制链接
快去分享给好友吧!
我知道了
右上角分享
点击右上角分享
0
联系我们:info@booksci.cn Book学术提供免费学术资源搜索服务,方便国内外学者检索中英文文献。致力于提供最便捷和优质的服务体验。 Copyright © 2023 布克学术 All rights reserved.
京ICP备2023020795号-1
ghs 京公网安备 11010802042870号
Book学术文献互助
Book学术文献互助群
群 号:604180095
Book学术官方微信