青春期前患者SH3PXD2A::HTRA1基因融合的神经鞘瘤的临床和病理特征

IF 1.3 4区 医学 Q3 PATHOLOGY
Pediatric and Developmental Pathology Pub Date : 2025-03-01 Epub Date: 2024-12-24 DOI:10.1177/10935266241308946
Aida Glembocki, Robert Siddaway, Anthony Arnoldo, Molly Jakeman, Anthea Lafreniere
{"title":"青春期前患者SH3PXD2A::HTRA1基因融合的神经鞘瘤的临床和病理特征","authors":"Aida Glembocki, Robert Siddaway, Anthony Arnoldo, Molly Jakeman, Anthea Lafreniere","doi":"10.1177/10935266241308946","DOIUrl":null,"url":null,"abstract":"<p><p>An 11-year-old girl presented with a soft tissue lesion on the dorsal aspect of the left middle finger. Ultrasound imaging demonstrated a 2.8 cm × 0.8 cm × 0.8 cm lesion overlying the dorsal aspect of the base of the digit near the metacarpophalangeal joint. The patient's past medical history is remarkable for neuroblastoma, diagnosed at 9 months of age, with no MYCN amplification or 1p loss. We report a pediatric schwannoma harbouring a <i>SH3PXD2A::HTRA1</i> gene fusion with a distinctive serpentine histology. The lesion consisted of well-circumscribed nodules surrounded by thin EMA-positive perineural capsules. Each nodule was composed of lesional cells arranged in short fascicles with occasional clefting and a distinct \"serpentine\" palisading pattern. The lesion demonstrated Antoni A regions with Verocay body formation. No significant Antoni B areas were seen. The lesional Schwannian cells were bland with elongated and tapered nuclei, showing strong and diffuse positivity for S100. This pre-pubescent girl (Tanner Stage 2) is currently the youngest reported case of fusion-positive schwannoma. In addition, she has a significant prior history of a malignant neoplasm, and the lesion arose in an appendicular location.</p>","PeriodicalId":54634,"journal":{"name":"Pediatric and Developmental Pathology","volume":" ","pages":"137-141"},"PeriodicalIF":1.3000,"publicationDate":"2025-03-01","publicationTypes":"Journal Article","fieldsOfStudy":null,"isOpenAccess":false,"openAccessPdf":"https://www.ncbi.nlm.nih.gov/pmc/articles/PMC11894906/pdf/","citationCount":"0","resultStr":"{\"title\":\"Clinical and Pathological Features of a Schwannoma Harboring a <i>SH3PXD2A::HTRA1</i> Gene Fusion in a Pre-pubescent Patient.\",\"authors\":\"Aida Glembocki, Robert Siddaway, Anthony Arnoldo, Molly Jakeman, Anthea Lafreniere\",\"doi\":\"10.1177/10935266241308946\",\"DOIUrl\":null,\"url\":null,\"abstract\":\"<p><p>An 11-year-old girl presented with a soft tissue lesion on the dorsal aspect of the left middle finger. Ultrasound imaging demonstrated a 2.8 cm × 0.8 cm × 0.8 cm lesion overlying the dorsal aspect of the base of the digit near the metacarpophalangeal joint. The patient's past medical history is remarkable for neuroblastoma, diagnosed at 9 months of age, with no MYCN amplification or 1p loss. We report a pediatric schwannoma harbouring a <i>SH3PXD2A::HTRA1</i> gene fusion with a distinctive serpentine histology. The lesion consisted of well-circumscribed nodules surrounded by thin EMA-positive perineural capsules. Each nodule was composed of lesional cells arranged in short fascicles with occasional clefting and a distinct \\\"serpentine\\\" palisading pattern. The lesion demonstrated Antoni A regions with Verocay body formation. No significant Antoni B areas were seen. The lesional Schwannian cells were bland with elongated and tapered nuclei, showing strong and diffuse positivity for S100. This pre-pubescent girl (Tanner Stage 2) is currently the youngest reported case of fusion-positive schwannoma. In addition, she has a significant prior history of a malignant neoplasm, and the lesion arose in an appendicular location.</p>\",\"PeriodicalId\":54634,\"journal\":{\"name\":\"Pediatric and Developmental Pathology\",\"volume\":\" \",\"pages\":\"137-141\"},\"PeriodicalIF\":1.3000,\"publicationDate\":\"2025-03-01\",\"publicationTypes\":\"Journal Article\",\"fieldsOfStudy\":null,\"isOpenAccess\":false,\"openAccessPdf\":\"https://www.ncbi.nlm.nih.gov/pmc/articles/PMC11894906/pdf/\",\"citationCount\":\"0\",\"resultStr\":null,\"platform\":\"Semanticscholar\",\"paperid\":null,\"PeriodicalName\":\"Pediatric and Developmental Pathology\",\"FirstCategoryId\":\"3\",\"ListUrlMain\":\"https://doi.org/10.1177/10935266241308946\",\"RegionNum\":4,\"RegionCategory\":\"医学\",\"ArticlePicture\":[],\"TitleCN\":null,\"AbstractTextCN\":null,\"PMCID\":null,\"EPubDate\":\"2024/12/24 0:00:00\",\"PubModel\":\"Epub\",\"JCR\":\"Q3\",\"JCRName\":\"PATHOLOGY\",\"Score\":null,\"Total\":0}","platform":"Semanticscholar","paperid":null,"PeriodicalName":"Pediatric and Developmental Pathology","FirstCategoryId":"3","ListUrlMain":"https://doi.org/10.1177/10935266241308946","RegionNum":4,"RegionCategory":"医学","ArticlePicture":[],"TitleCN":null,"AbstractTextCN":null,"PMCID":null,"EPubDate":"2024/12/24 0:00:00","PubModel":"Epub","JCR":"Q3","JCRName":"PATHOLOGY","Score":null,"Total":0}
引用次数: 0

摘要

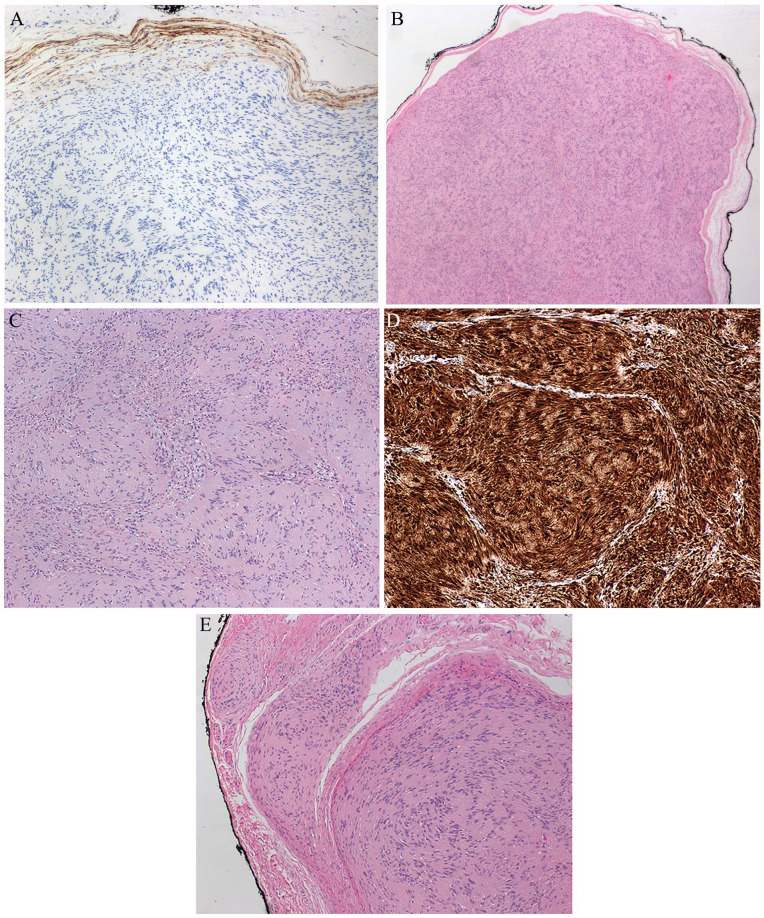
一个11岁的女孩提出了软组织病变在背侧的左中指。超声成像显示一个2.8 cm × 0.8 cm × 0.8 cm的病变,位于手指基部背侧靠近掌指关节处。患者既往有神经母细胞瘤病史,9个月大时确诊,无MYCN扩增或1p缺失。我们报道了一例儿童神经鞘瘤,其中SH3PXD2A::HTRA1基因融合具有独特的蛇形组织学。病变包括边界清晰的结节,周围是薄的ema阳性的神经周围囊。每个结节由病变细胞组成,排列成短束状,偶有裂隙,呈明显的“蛇形”栅栏状。病变表现为Antoni A区,伴Verocay体形成。未见明显的Antoni B区。病变许旺氏细胞呈淡色,细胞核伸长、变细,S100呈强弥漫性阳性。这个青春期前的女孩(Tanner期2)是目前报道的最年轻的融合阳性神经鞘瘤病例。此外,她有明显的恶性肿瘤病史,病变发生在阑尾部位。
本文章由计算机程序翻译,如有差异,请以英文原文为准。

Clinical and Pathological Features of a Schwannoma Harboring a <i>SH3PXD2A::HTRA1</i> Gene Fusion in a Pre-pubescent Patient.

Clinical and Pathological Features of a Schwannoma Harboring a <i>SH3PXD2A::HTRA1</i> Gene Fusion in a Pre-pubescent Patient.

Clinical and Pathological Features of a Schwannoma Harboring a <i>SH3PXD2A::HTRA1</i> Gene Fusion in a Pre-pubescent Patient.

Clinical and Pathological Features of a Schwannoma Harboring a SH3PXD2A::HTRA1 Gene Fusion in a Pre-pubescent Patient.

An 11-year-old girl presented with a soft tissue lesion on the dorsal aspect of the left middle finger. Ultrasound imaging demonstrated a 2.8 cm × 0.8 cm × 0.8 cm lesion overlying the dorsal aspect of the base of the digit near the metacarpophalangeal joint. The patient's past medical history is remarkable for neuroblastoma, diagnosed at 9 months of age, with no MYCN amplification or 1p loss. We report a pediatric schwannoma harbouring a SH3PXD2A::HTRA1 gene fusion with a distinctive serpentine histology. The lesion consisted of well-circumscribed nodules surrounded by thin EMA-positive perineural capsules. Each nodule was composed of lesional cells arranged in short fascicles with occasional clefting and a distinct "serpentine" palisading pattern. The lesion demonstrated Antoni A regions with Verocay body formation. No significant Antoni B areas were seen. The lesional Schwannian cells were bland with elongated and tapered nuclei, showing strong and diffuse positivity for S100. This pre-pubescent girl (Tanner Stage 2) is currently the youngest reported case of fusion-positive schwannoma. In addition, she has a significant prior history of a malignant neoplasm, and the lesion arose in an appendicular location.

求助全文
通过发布文献求助,成功后即可免费获取论文全文。 去求助
来源期刊
CiteScore
3.70
自引率
5.30%
发文量
59
审稿时长
6-12 weeks
期刊介绍: The Journal covers the spectrum of disorders of early development (including embryology, placentology, and teratology), gestational and perinatal diseases, and all diseases of childhood. Studies may be in any field of experimental, anatomic, or clinical pathology, including molecular pathology. Case reports are published only if they provide new insights into disease mechanisms or new information.
×
引用
GB/T 7714-2015
复制
MLA
复制
APA
复制
导出至
BibTeX EndNote RefMan NoteFirst NoteExpress
×
提示
您的信息不完整,为了账户安全,请先补充。
现在去补充
×
提示
您因"违规操作"
具体请查看互助需知
我知道了
×
提示
确定
请完成安全验证×
copy
已复制链接
快去分享给好友吧!
我知道了
右上角分享
点击右上角分享
0
联系我们:info@booksci.cn Book学术提供免费学术资源搜索服务,方便国内外学者检索中英文文献。致力于提供最便捷和优质的服务体验。 Copyright © 2023 布克学术 All rights reserved.
京ICP备2023020795号-1
ghs 京公网安备 11010802042870号
Book学术文献互助
Book学术文献互助群
群 号:604180095
Book学术官方微信