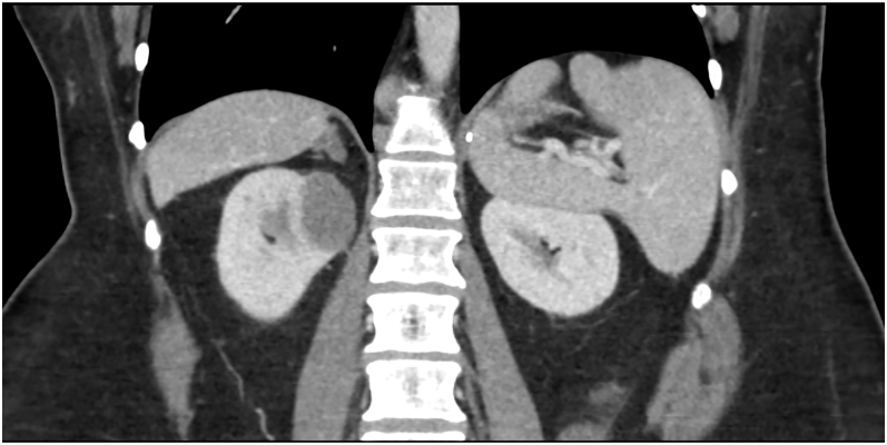
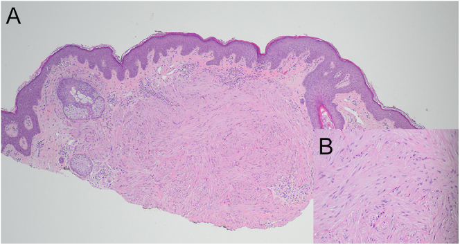
遗传性骨髓瘤病和肾细胞癌(HLRCC)、嗜铬细胞瘤(PCC)/副神经节瘤(PGL)和种系富马酸水合酶(FH)变体。

IF 0.7 Q4 ENDOCRINOLOGY & METABOLISM
John J Orrego, Joseph A Chorny
{"title":"遗传性骨髓瘤病和肾细胞癌(HLRCC)、嗜铬细胞瘤(PCC)/副神经节瘤(PGL)和种系富马酸水合酶(FH)变体。","authors":"John J Orrego, Joseph A Chorny","doi":"10.1530/EDM-24-0073","DOIUrl":null,"url":null,"abstract":"<p><strong>Summary: </strong>Hereditary leiomyomatosis and renal cell cancer (HLRCC) is an autosomal dominant condition characterized by multiple cutaneous and uterine leiomyomas and renal cell cancer (RCC). HLRCC is caused by germline pathogenic/likely pathogenic (P/LP) variants in the fumarate hydratase (FH) gene on chromosome 1q42.3, encoding the mitochondrial enzyme responsible for the conversion of fumarate to malate in the Krebs cycle. 0.6-3.1% of individuals with pheochromocytoma/paraganglioma (PCC/PGL) carry a germline variant in the FH gene. Most of these patients have no personal or family history of HLRCC-associated manifestations, but some of them do. We described a female-to-male transgender with HLRCC who presented with large symptomatic uterine leiomyomas in the third decade of life and was diagnosed with a PCC 19 years after hysterectomy and with cutaneous leiomyomas and an aggressive form of RCC in the sixth decade of life. With the publication of this case and the review of the existent literature, and until more information becomes available, we would like to emphasize that clinicians should be aware of the possible connection between HLRCC and PCC/PGL, that genetic testing for susceptibly genes for PCC/PGL should include the FH gene and finally that patients with HLRCC should be screened for PCC/PGL.</p><p><strong>Learning points: </strong>HLRCC, an autosomal dominant condition caused by germline P/LP variants in the fumarate hydratase (FH) gene, is characterized by multiple cutaneous and uterine leiomyomas and RCC.0.6-3.1% of individuals with PCC/PGL carry a germline P/LP variant in the FH gene.Most of these patients have no personal or family history of HLRCC-associated manifestations, but some of them do.Preliminary evidence suggests that genetic testing for susceptibly genes for PCC/PGL should include the FH gene and that patients with HLRCC should be screened for PCC/PGL.Until more information becomes available, we suggest doing a full history, physical, family history, and screen for HLRCC-associated manifestations when there is an FH variant.Screening for PCC/PGL in patients with HLRCC could potentially include a baseline whole-body MRI and plasma fractionated metanephrines.</p>","PeriodicalId":37467,"journal":{"name":"Endocrinology, Diabetes and Metabolism Case Reports","volume":"2024 4","pages":""},"PeriodicalIF":0.7000,"publicationDate":"2024-12-20","publicationTypes":"Journal Article","fieldsOfStudy":null,"isOpenAccess":false,"openAccessPdf":"https://www.ncbi.nlm.nih.gov/pmc/articles/PMC11737469/pdf/","citationCount":"0","resultStr":"{\"title\":\"Hereditary leiomyomatosis and renal cell cancer (HLRCC), pheochromocytoma (PCC)/paraganglioma (PGL) and germline fumarate hydratase (FH) variants.\",\"authors\":\"John J Orrego, Joseph A Chorny\",\"doi\":\"10.1530/EDM-24-0073\",\"DOIUrl\":null,\"url\":null,\"abstract\":\"<p><strong>Summary: </strong>Hereditary leiomyomatosis and renal cell cancer (HLRCC) is an autosomal dominant condition characterized by multiple cutaneous and uterine leiomyomas and renal cell cancer (RCC). HLRCC is caused by germline pathogenic/likely pathogenic (P/LP) variants in the fumarate hydratase (FH) gene on chromosome 1q42.3, encoding the mitochondrial enzyme responsible for the conversion of fumarate to malate in the Krebs cycle. 0.6-3.1% of individuals with pheochromocytoma/paraganglioma (PCC/PGL) carry a germline variant in the FH gene. Most of these patients have no personal or family history of HLRCC-associated manifestations, but some of them do. We described a female-to-male transgender with HLRCC who presented with large symptomatic uterine leiomyomas in the third decade of life and was diagnosed with a PCC 19 years after hysterectomy and with cutaneous leiomyomas and an aggressive form of RCC in the sixth decade of life. With the publication of this case and the review of the existent literature, and until more information becomes available, we would like to emphasize that clinicians should be aware of the possible connection between HLRCC and PCC/PGL, that genetic testing for susceptibly genes for PCC/PGL should include the FH gene and finally that patients with HLRCC should be screened for PCC/PGL.</p><p><strong>Learning points: </strong>HLRCC, an autosomal dominant condition caused by germline P/LP variants in the fumarate hydratase (FH) gene, is characterized by multiple cutaneous and uterine leiomyomas and RCC.0.6-3.1% of individuals with PCC/PGL carry a germline P/LP variant in the FH gene.Most of these patients have no personal or family history of HLRCC-associated manifestations, but some of them do.Preliminary evidence suggests that genetic testing for susceptibly genes for PCC/PGL should include the FH gene and that patients with HLRCC should be screened for PCC/PGL.Until more information becomes available, we suggest doing a full history, physical, family history, and screen for HLRCC-associated manifestations when there is an FH variant.Screening for PCC/PGL in patients with HLRCC could potentially include a baseline whole-body MRI and plasma fractionated metanephrines.</p>\",\"PeriodicalId\":37467,\"journal\":{\"name\":\"Endocrinology, Diabetes and Metabolism Case Reports\",\"volume\":\"2024 4\",\"pages\":\"\"},\"PeriodicalIF\":0.7000,\"publicationDate\":\"2024-12-20\",\"publicationTypes\":\"Journal Article\",\"fieldsOfStudy\":null,\"isOpenAccess\":false,\"openAccessPdf\":\"https://www.ncbi.nlm.nih.gov/pmc/articles/PMC11737469/pdf/\",\"citationCount\":\"0\",\"resultStr\":null,\"platform\":\"Semanticscholar\",\"paperid\":null,\"PeriodicalName\":\"Endocrinology, Diabetes and Metabolism Case Reports\",\"FirstCategoryId\":\"1085\",\"ListUrlMain\":\"https://doi.org/10.1530/EDM-24-0073\",\"RegionNum\":0,\"RegionCategory\":null,\"ArticlePicture\":[],\"TitleCN\":null,\"AbstractTextCN\":null,\"PMCID\":null,\"EPubDate\":\"2024/10/1 0:00:00\",\"PubModel\":\"Print\",\"JCR\":\"Q4\",\"JCRName\":\"ENDOCRINOLOGY & METABOLISM\",\"Score\":null,\"Total\":0}","platform":"Semanticscholar","paperid":null,"PeriodicalName":"Endocrinology, Diabetes and Metabolism Case Reports","FirstCategoryId":"1085","ListUrlMain":"https://doi.org/10.1530/EDM-24-0073","RegionNum":0,"RegionCategory":null,"ArticlePicture":[],"TitleCN":null,"AbstractTextCN":null,"PMCID":null,"EPubDate":"2024/10/1 0:00:00","PubModel":"Print","JCR":"Q4","JCRName":"ENDOCRINOLOGY & METABOLISM","Score":null,"Total":0}
引用次数: 0

摘要

摘要:遗传性平滑肌瘤病和肾细胞癌(HLRCC)是一种常染色体显性遗传病,以多发性皮肤和子宫平滑肌瘤和肾细胞癌(RCC)为特征。HLRCC是由染色体1q42.3上富马酸水合酶(FH)基因的种系致病性/可能致病性(P/LP)变异引起的,该基因编码在Krebs循环中负责富马酸转化为苹果酸的线粒体酶。0.6% -3.1%的嗜铬细胞瘤/副神经节瘤(PCC/PGL)患者携带FH基因的种系变异。这些患者大多数没有个人或家族史的hrcc相关表现,但其中一些有。我们描述了一位女变男的HLRCC患者,他在30岁时出现大的有症状的子宫平滑肌瘤,在子宫切除术后19年被诊断为PCC,在60岁时被诊断为皮肤平滑肌瘤和侵袭性的RCC。随着本病例的发表和对现有文献的回顾,在获得更多信息之前,我们想强调的是,临床医生应该意识到HLRCC和PCC/PGL之间可能存在的联系,PCC/PGL易感基因的基因检测应该包括FH基因,最后,HLRCC患者应该进行PCC/PGL筛查。学习要点:HLRCC是一种常染色体显性遗传病,由富马酸水合酶(FH)基因的种系P/LP变异引起,以多发性皮肤和子宫平滑肌瘤和rcc为特征。0.6% -3.1%的PCC/PGL患者携带FH基因的种系P/LP变异。这些患者大多数没有个人或家族史的hrcc相关表现,但其中一些有。初步证据表明,PCC/PGL易感基因的基因检测应包括FH基因,并且HLRCC患者应进行PCC/PGL筛查。在获得更多的信息之前,我们建议做一个完整的病史,体格,家族史,当有FH变异时,筛查hlrc相关的表现。筛查高肝癌患者的PCC/PGL可能包括基线全身MRI和血浆分离肾上腺素。
本文章由计算机程序翻译,如有差异,请以英文原文为准。

Hereditary leiomyomatosis and renal cell cancer (HLRCC), pheochromocytoma (PCC)/paraganglioma (PGL) and germline fumarate hydratase (FH) variants.

Hereditary leiomyomatosis and renal cell cancer (HLRCC), pheochromocytoma (PCC)/paraganglioma (PGL) and germline fumarate hydratase (FH) variants.

Hereditary leiomyomatosis and renal cell cancer (HLRCC), pheochromocytoma (PCC)/paraganglioma (PGL) and germline fumarate hydratase (FH) variants.

Hereditary leiomyomatosis and renal cell cancer (HLRCC), pheochromocytoma (PCC)/paraganglioma (PGL) and germline fumarate hydratase (FH) variants.

Summary: Hereditary leiomyomatosis and renal cell cancer (HLRCC) is an autosomal dominant condition characterized by multiple cutaneous and uterine leiomyomas and renal cell cancer (RCC). HLRCC is caused by germline pathogenic/likely pathogenic (P/LP) variants in the fumarate hydratase (FH) gene on chromosome 1q42.3, encoding the mitochondrial enzyme responsible for the conversion of fumarate to malate in the Krebs cycle. 0.6-3.1% of individuals with pheochromocytoma/paraganglioma (PCC/PGL) carry a germline variant in the FH gene. Most of these patients have no personal or family history of HLRCC-associated manifestations, but some of them do. We described a female-to-male transgender with HLRCC who presented with large symptomatic uterine leiomyomas in the third decade of life and was diagnosed with a PCC 19 years after hysterectomy and with cutaneous leiomyomas and an aggressive form of RCC in the sixth decade of life. With the publication of this case and the review of the existent literature, and until more information becomes available, we would like to emphasize that clinicians should be aware of the possible connection between HLRCC and PCC/PGL, that genetic testing for susceptibly genes for PCC/PGL should include the FH gene and finally that patients with HLRCC should be screened for PCC/PGL.

Learning points: HLRCC, an autosomal dominant condition caused by germline P/LP variants in the fumarate hydratase (FH) gene, is characterized by multiple cutaneous and uterine leiomyomas and RCC.0.6-3.1% of individuals with PCC/PGL carry a germline P/LP variant in the FH gene.Most of these patients have no personal or family history of HLRCC-associated manifestations, but some of them do.Preliminary evidence suggests that genetic testing for susceptibly genes for PCC/PGL should include the FH gene and that patients with HLRCC should be screened for PCC/PGL.Until more information becomes available, we suggest doing a full history, physical, family history, and screen for HLRCC-associated manifestations when there is an FH variant.Screening for PCC/PGL in patients with HLRCC could potentially include a baseline whole-body MRI and plasma fractionated metanephrines.

求助全文
通过发布文献求助,成功后即可免费获取论文全文。 去求助
来源期刊
CiteScore
1.50
自引率
0.00%
发文量
142
审稿时长
9 weeks
期刊介绍: Endocrinology, Diabetes & Metabolism Case Reports publishes case reports on common and rare conditions in all areas of clinical endocrinology, diabetes and metabolism. Articles should include clear learning points which readers can use to inform medical education or clinical practice. The types of cases of interest to Endocrinology, Diabetes & Metabolism Case Reports include: -Insight into disease pathogenesis or mechanism of therapy - Novel diagnostic procedure - Novel treatment - Unique/unexpected symptoms or presentations of a disease - New disease or syndrome: presentations/diagnosis/management - Unusual effects of medical treatment - Error in diagnosis/pitfalls and caveats
×
引用
GB/T 7714-2015
复制
MLA
复制
APA
复制
导出至
BibTeX EndNote RefMan NoteFirst NoteExpress
×
提示
您的信息不完整,为了账户安全,请先补充。
现在去补充
×
提示
您因"违规操作"
具体请查看互助需知
我知道了
×
提示
确定
请完成安全验证×
copy
已复制链接
快去分享给好友吧!
我知道了
右上角分享
点击右上角分享
0
联系我们:info@booksci.cn Book学术提供免费学术资源搜索服务,方便国内外学者检索中英文文献。致力于提供最便捷和优质的服务体验。 Copyright © 2023 布克学术 All rights reserved.
京ICP备2023020795号-1
ghs 京公网安备 11010802042870号
Book学术文献互助
Book学术文献互助群
群 号:604180095
Book学术官方微信