骨质结构脱矿化是一种罕见遗传病的表现形式,与高死亡率有关。

IF 0.9 Q4 ENDOCRINOLOGY & METABOLISM
Case Reports in Endocrinology Pub Date : 2024-12-12 eCollection Date: 2024-01-01 DOI:10.1155/crie/6063059
Adeeba Afrah, Michael A Finkel, Carolina Fonseca, Marianne Tomiyoshi Asato, M Susan Jay, Athina Pappas, Shashikala B Gowda, Allison Jay
{"title":"骨质结构脱矿化是一种罕见遗传病的表现形式,与高死亡率有关。","authors":"Adeeba Afrah, Michael A Finkel, Carolina Fonseca, Marianne Tomiyoshi Asato, M Susan Jay, Athina Pappas, Shashikala B Gowda, Allison Jay","doi":"10.1155/crie/6063059","DOIUrl":null,"url":null,"abstract":"<p><p><b>Objectives:</b> Describe the details of the clinical presentation, diagnostic challenges, and management of a female neonate with neonatal severe hyperparathyroidism (NSHPT). <b>Methods:</b> This case report was developed from a retrospective chart review. The female infant was born to consanguineous parents-first cousins, with multiple prenatal concerns, including gestational diabetes, intrauterine growth restriction, polyhydramnios, and suspicion of a hypoplastic left atrium on prenatal echocardiogram (ECHO). Following a planned C-section at 37 weeks gestation, the neonate exhibited moderate respiratory distress with subcostal retractions. On physical examination, craniotabes, a bell-shaped chest, and a continuous machinery-type murmur were noted. <b>Results:</b> Evaluation at birth revealed a large Patent Ductus Arteriosus and significant demineralization of skeletal structures with atypical rib morphology. Lab work at 24 h of life (HOL) showed elevated serum calcium level (14.3 mg/dL), ionized calcium-iCal (2.32 mmol/L), and normal 25-OH Vitamin D (54.2 ng/mL). A comprehensive skeletal survey uncovered generalized osteopenia, metaphyseal lucencies, and evidence of healing fractures. Repeat lab work at 43 HOL, showed serum calcium of 18.0 mg/dL, iCal 2.67 mmol/L, and elevated parathyroid hormone (PTH) of 2116 pg/mL. Diagnosis of NSHPT was established based on laboratory findings. Molecular testing confirmed a homozygous variant (c.1744T >A; p.Cys582Ser) in the calcium-sensing receptor (CaSR) gene which confirmed the diagnosis of NSHPT. NSHPT, a rare genetic disorder associated with high mortality rates, is often caused by inactivating CaSR gene variants. The patient's family history revealed a strong correlation with familial hypocalciuric hypercalcemia (FHH), a benign condition associated with asymptomatic hypercalcemia, normal to minimally elevated parathyroid level, and hypocalciuria, it is caused by heterozygous inactivating mutations in the CaSR gene. Treatment of NSHPT typically involves total or subtotal parathyroidectomy; however, initial medical intervention is often necessary. In this case, the neonate underwent medical treatment with calcitonin, furosemide to help facilitate renal clearance of calcium, and intravenous fluids before a successful parathyroidectomy. <b>Conclusions:</b> This case accentuates the importance of considering rare genetic disorders in neonates with complex clinical presentations and affirms the need for comprehensive counseling and education, particularly in consanguineous parents, to address familial implications and guide appropriate interventions.</p>","PeriodicalId":9621,"journal":{"name":"Case Reports in Endocrinology","volume":"2024 ","pages":"6063059"},"PeriodicalIF":0.9000,"publicationDate":"2024-12-12","publicationTypes":"Journal Article","fieldsOfStudy":null,"isOpenAccess":false,"openAccessPdf":"https://www.ncbi.nlm.nih.gov/pmc/articles/PMC11658845/pdf/","citationCount":"0","resultStr":"{\"title\":\"Demineralization of Osseous Structures as Presentation of a Rare Genetic Disorder That Is Associated With a High Rate of Mortality.\",\"authors\":\"Adeeba Afrah, Michael A Finkel, Carolina Fonseca, Marianne Tomiyoshi Asato, M Susan Jay, Athina Pappas, Shashikala B Gowda, Allison Jay\",\"doi\":\"10.1155/crie/6063059\",\"DOIUrl\":null,\"url\":null,\"abstract\":\"<p><p><b>Objectives:</b> Describe the details of the clinical presentation, diagnostic challenges, and management of a female neonate with neonatal severe hyperparathyroidism (NSHPT). <b>Methods:</b> This case report was developed from a retrospective chart review. The female infant was born to consanguineous parents-first cousins, with multiple prenatal concerns, including gestational diabetes, intrauterine growth restriction, polyhydramnios, and suspicion of a hypoplastic left atrium on prenatal echocardiogram (ECHO). Following a planned C-section at 37 weeks gestation, the neonate exhibited moderate respiratory distress with subcostal retractions. On physical examination, craniotabes, a bell-shaped chest, and a continuous machinery-type murmur were noted. <b>Results:</b> Evaluation at birth revealed a large Patent Ductus Arteriosus and significant demineralization of skeletal structures with atypical rib morphology. Lab work at 24 h of life (HOL) showed elevated serum calcium level (14.3 mg/dL), ionized calcium-iCal (2.32 mmol/L), and normal 25-OH Vitamin D (54.2 ng/mL). A comprehensive skeletal survey uncovered generalized osteopenia, metaphyseal lucencies, and evidence of healing fractures. Repeat lab work at 43 HOL, showed serum calcium of 18.0 mg/dL, iCal 2.67 mmol/L, and elevated parathyroid hormone (PTH) of 2116 pg/mL. Diagnosis of NSHPT was established based on laboratory findings. Molecular testing confirmed a homozygous variant (c.1744T >A; p.Cys582Ser) in the calcium-sensing receptor (CaSR) gene which confirmed the diagnosis of NSHPT. NSHPT, a rare genetic disorder associated with high mortality rates, is often caused by inactivating CaSR gene variants. The patient's family history revealed a strong correlation with familial hypocalciuric hypercalcemia (FHH), a benign condition associated with asymptomatic hypercalcemia, normal to minimally elevated parathyroid level, and hypocalciuria, it is caused by heterozygous inactivating mutations in the CaSR gene. Treatment of NSHPT typically involves total or subtotal parathyroidectomy; however, initial medical intervention is often necessary. In this case, the neonate underwent medical treatment with calcitonin, furosemide to help facilitate renal clearance of calcium, and intravenous fluids before a successful parathyroidectomy. <b>Conclusions:</b> This case accentuates the importance of considering rare genetic disorders in neonates with complex clinical presentations and affirms the need for comprehensive counseling and education, particularly in consanguineous parents, to address familial implications and guide appropriate interventions.</p>\",\"PeriodicalId\":9621,\"journal\":{\"name\":\"Case Reports in Endocrinology\",\"volume\":\"2024 \",\"pages\":\"6063059\"},\"PeriodicalIF\":0.9000,\"publicationDate\":\"2024-12-12\",\"publicationTypes\":\"Journal Article\",\"fieldsOfStudy\":null,\"isOpenAccess\":false,\"openAccessPdf\":\"https://www.ncbi.nlm.nih.gov/pmc/articles/PMC11658845/pdf/\",\"citationCount\":\"0\",\"resultStr\":null,\"platform\":\"Semanticscholar\",\"paperid\":null,\"PeriodicalName\":\"Case Reports in Endocrinology\",\"FirstCategoryId\":\"1085\",\"ListUrlMain\":\"https://doi.org/10.1155/crie/6063059\",\"RegionNum\":0,\"RegionCategory\":null,\"ArticlePicture\":[],\"TitleCN\":null,\"AbstractTextCN\":null,\"PMCID\":null,\"EPubDate\":\"2024/1/1 0:00:00\",\"PubModel\":\"eCollection\",\"JCR\":\"Q4\",\"JCRName\":\"ENDOCRINOLOGY & METABOLISM\",\"Score\":null,\"Total\":0}","platform":"Semanticscholar","paperid":null,"PeriodicalName":"Case Reports in Endocrinology","FirstCategoryId":"1085","ListUrlMain":"https://doi.org/10.1155/crie/6063059","RegionNum":0,"RegionCategory":null,"ArticlePicture":[],"TitleCN":null,"AbstractTextCN":null,"PMCID":null,"EPubDate":"2024/1/1 0:00:00","PubModel":"eCollection","JCR":"Q4","JCRName":"ENDOCRINOLOGY & METABOLISM","Score":null,"Total":0}
引用次数: 0

摘要

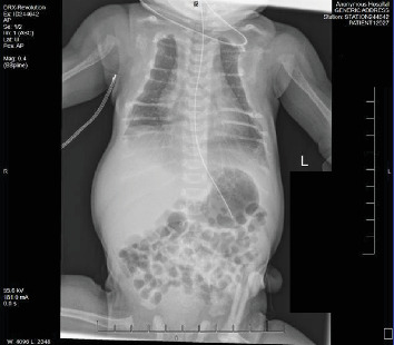
目的:描述一位患有新生儿严重甲状旁腺功能亢进(NSHPT)的女性新生儿的临床表现、诊断挑战和治疗的细节。方法:本病例报告来自回顾性图表回顾。该女婴为近亲父母所生,有多种产前问题,包括妊娠糖尿病、宫内生长受限、羊水过多、产前超声心动图(ECHO)怀疑左心房发育不良。在妊娠37周计划剖腹产后,新生儿表现出中度呼吸窘迫和肋下挛缩。体格检查时,发现颅骨裂、钟形胸部和持续的机械型杂音。结果:出生时的评估显示动脉导管未闭,骨骼结构明显脱矿,肋骨形态不典型。24 h血钙水平升高(14.3 mg/dL),血钙离子升高(2.32 mmol/L), 25-OH维生素D正常(54.2 ng/mL)。一项全面的骨骼调查发现了广泛性骨质减少、干骺端透明和骨折愈合的证据。在43 HOL下重复实验室工作,显示血清钙18.0 mg/dL, iCal 2.67 mmol/L,甲状旁腺激素(PTH)升高2116 pg/mL。NSHPT的诊断基于实验室结果。分子检测证实一个纯合子变异(c.1744T > a;p.Cys582Ser)在钙敏感受体(CaSR)基因中表达,证实了NSHPT的诊断。NSHPT是一种与高死亡率相关的罕见遗传疾病,通常由CaSR基因变异失活引起。患者家族史显示与家族性低钙血症高钙血症(FHH)密切相关,FHH是一种良性疾病,与无症状高钙血症相关,甲状旁腺水平正常至最低限度升高,低钙尿,由CaSR基因杂合失活突变引起。治疗NSHPT通常包括全甲状旁腺或次全甲状旁腺切除术;然而,最初的医疗干预往往是必要的。在此病例中,在成功切除甲状旁腺之前,新生儿接受了降钙素、速尿和静脉输液治疗,以帮助肾脏清除钙。结论:该病例强调了考虑具有复杂临床表现的新生儿罕见遗传疾病的重要性,并肯定了全面咨询和教育的必要性,特别是在近亲父母中,以解决家庭影响并指导适当的干预措施。
本文章由计算机程序翻译,如有差异,请以英文原文为准。

Demineralization of Osseous Structures as Presentation of a Rare Genetic Disorder That Is Associated With a High Rate of Mortality.

Demineralization of Osseous Structures as Presentation of a Rare Genetic Disorder That Is Associated With a High Rate of Mortality.

Demineralization of Osseous Structures as Presentation of a Rare Genetic Disorder That Is Associated With a High Rate of Mortality.

Demineralization of Osseous Structures as Presentation of a Rare Genetic Disorder That Is Associated With a High Rate of Mortality.

Objectives: Describe the details of the clinical presentation, diagnostic challenges, and management of a female neonate with neonatal severe hyperparathyroidism (NSHPT). Methods: This case report was developed from a retrospective chart review. The female infant was born to consanguineous parents-first cousins, with multiple prenatal concerns, including gestational diabetes, intrauterine growth restriction, polyhydramnios, and suspicion of a hypoplastic left atrium on prenatal echocardiogram (ECHO). Following a planned C-section at 37 weeks gestation, the neonate exhibited moderate respiratory distress with subcostal retractions. On physical examination, craniotabes, a bell-shaped chest, and a continuous machinery-type murmur were noted. Results: Evaluation at birth revealed a large Patent Ductus Arteriosus and significant demineralization of skeletal structures with atypical rib morphology. Lab work at 24 h of life (HOL) showed elevated serum calcium level (14.3 mg/dL), ionized calcium-iCal (2.32 mmol/L), and normal 25-OH Vitamin D (54.2 ng/mL). A comprehensive skeletal survey uncovered generalized osteopenia, metaphyseal lucencies, and evidence of healing fractures. Repeat lab work at 43 HOL, showed serum calcium of 18.0 mg/dL, iCal 2.67 mmol/L, and elevated parathyroid hormone (PTH) of 2116 pg/mL. Diagnosis of NSHPT was established based on laboratory findings. Molecular testing confirmed a homozygous variant (c.1744T >A; p.Cys582Ser) in the calcium-sensing receptor (CaSR) gene which confirmed the diagnosis of NSHPT. NSHPT, a rare genetic disorder associated with high mortality rates, is often caused by inactivating CaSR gene variants. The patient's family history revealed a strong correlation with familial hypocalciuric hypercalcemia (FHH), a benign condition associated with asymptomatic hypercalcemia, normal to minimally elevated parathyroid level, and hypocalciuria, it is caused by heterozygous inactivating mutations in the CaSR gene. Treatment of NSHPT typically involves total or subtotal parathyroidectomy; however, initial medical intervention is often necessary. In this case, the neonate underwent medical treatment with calcitonin, furosemide to help facilitate renal clearance of calcium, and intravenous fluids before a successful parathyroidectomy. Conclusions: This case accentuates the importance of considering rare genetic disorders in neonates with complex clinical presentations and affirms the need for comprehensive counseling and education, particularly in consanguineous parents, to address familial implications and guide appropriate interventions.

求助全文
通过发布文献求助,成功后即可免费获取论文全文。 去求助
来源期刊
Case Reports in Endocrinology
Case Reports in Endocrinology ENDOCRINOLOGY & METABOLISM-
CiteScore
2.10
自引率
0.00%
发文量
45
审稿时长
13 weeks
×
引用
GB/T 7714-2015
复制
MLA
复制
APA
复制
导出至
BibTeX EndNote RefMan NoteFirst NoteExpress
×
提示
您的信息不完整,为了账户安全,请先补充。
现在去补充
×
提示
您因"违规操作"
具体请查看互助需知
我知道了
×
提示
确定
请完成安全验证×
copy
已复制链接
快去分享给好友吧!
我知道了
右上角分享
点击右上角分享
0
联系我们:info@booksci.cn Book学术提供免费学术资源搜索服务,方便国内外学者检索中英文文献。致力于提供最便捷和优质的服务体验。 Copyright © 2023 布克学术 All rights reserved.
京ICP备2023020795号-1
ghs 京公网安备 11010802042870号
Book学术文献互助
Book学术文献互助群
群 号:604180095
Book学术官方微信