裂孔疝修补术后补片移位的内镜处理。

IF 1.8
Bruno Costa Martins, Adrielma Athena Rodrigues Serrão Martins E Silva, Ada Alexandrina Brom Dos Santos Soares, Ulysses Ribeiro Junior
{"title":"裂孔疝修补术后补片移位的内镜处理。","authors":"Bruno Costa Martins, Adrielma Athena Rodrigues Serrão Martins E Silva, Ada Alexandrina Brom Dos Santos Soares, Ulysses Ribeiro Junior","doi":"10.1590/0102-6720202400053e1847","DOIUrl":null,"url":null,"abstract":"<p><strong>Background: </strong>The use of mesh in the repair of large hiatal hernias is still controversial. One of the most feared adverse events related to the use of mesh is erosion into the esophageal and gastric walls.</p><p><strong>Aims: </strong>To record the endoscopic treatment of mesh that has migrated into the gastric lumen after surgical treatment of hiatal hernia.</p><p><strong>Methods: </strong>The technical option was to wait for the progressive migration of the mesh into the gastric lumen, monitoring with upper digestive endoscopy, with removal by traction at the best time, with the aid of foreign body forceps.</p><p><strong>Results: </strong>The mesh was completely removed, and the evolution was satisfactory, without complications.</p><p><strong>Conclusions: </strong>In patients with mesh migration into the stomach who are oligosymptomatic and do not show signs of complications, endoscopic surveillance and subsequent removal of the foreign body can be successfully performed when the mesh is not adhered to the gastric wall, avoiding surgical procedures with high morbidity and mortality.</p>","PeriodicalId":72298,"journal":{"name":"Arquivos brasileiros de cirurgia digestiva : ABCD = Brazilian archives of digestive surgery","volume":"37 ","pages":"e1847"},"PeriodicalIF":1.8000,"publicationDate":"2024-12-16","publicationTypes":"Journal Article","fieldsOfStudy":null,"isOpenAccess":false,"openAccessPdf":"https://www.ncbi.nlm.nih.gov/pmc/articles/PMC11655071/pdf/","citationCount":"0","resultStr":"{\"title\":\"ENDOSCOPIC MANAGEMENT OF MESH MIGRATION FOLLOWING HIATAL HERNIA REPAIR.\",\"authors\":\"Bruno Costa Martins, Adrielma Athena Rodrigues Serrão Martins E Silva, Ada Alexandrina Brom Dos Santos Soares, Ulysses Ribeiro Junior\",\"doi\":\"10.1590/0102-6720202400053e1847\",\"DOIUrl\":null,\"url\":null,\"abstract\":\"<p><strong>Background: </strong>The use of mesh in the repair of large hiatal hernias is still controversial. One of the most feared adverse events related to the use of mesh is erosion into the esophageal and gastric walls.</p><p><strong>Aims: </strong>To record the endoscopic treatment of mesh that has migrated into the gastric lumen after surgical treatment of hiatal hernia.</p><p><strong>Methods: </strong>The technical option was to wait for the progressive migration of the mesh into the gastric lumen, monitoring with upper digestive endoscopy, with removal by traction at the best time, with the aid of foreign body forceps.</p><p><strong>Results: </strong>The mesh was completely removed, and the evolution was satisfactory, without complications.</p><p><strong>Conclusions: </strong>In patients with mesh migration into the stomach who are oligosymptomatic and do not show signs of complications, endoscopic surveillance and subsequent removal of the foreign body can be successfully performed when the mesh is not adhered to the gastric wall, avoiding surgical procedures with high morbidity and mortality.</p>\",\"PeriodicalId\":72298,\"journal\":{\"name\":\"Arquivos brasileiros de cirurgia digestiva : ABCD = Brazilian archives of digestive surgery\",\"volume\":\"37 \",\"pages\":\"e1847\"},\"PeriodicalIF\":1.8000,\"publicationDate\":\"2024-12-16\",\"publicationTypes\":\"Journal Article\",\"fieldsOfStudy\":null,\"isOpenAccess\":false,\"openAccessPdf\":\"https://www.ncbi.nlm.nih.gov/pmc/articles/PMC11655071/pdf/\",\"citationCount\":\"0\",\"resultStr\":null,\"platform\":\"Semanticscholar\",\"paperid\":null,\"PeriodicalName\":\"Arquivos brasileiros de cirurgia digestiva : ABCD = Brazilian archives of digestive surgery\",\"FirstCategoryId\":\"1085\",\"ListUrlMain\":\"https://doi.org/10.1590/0102-6720202400053e1847\",\"RegionNum\":0,\"RegionCategory\":null,\"ArticlePicture\":[],\"TitleCN\":null,\"AbstractTextCN\":null,\"PMCID\":null,\"EPubDate\":\"2024/1/1 0:00:00\",\"PubModel\":\"eCollection\",\"JCR\":\"\",\"JCRName\":\"\",\"Score\":null,\"Total\":0}","platform":"Semanticscholar","paperid":null,"PeriodicalName":"Arquivos brasileiros de cirurgia digestiva : ABCD = Brazilian archives of digestive surgery","FirstCategoryId":"1085","ListUrlMain":"https://doi.org/10.1590/0102-6720202400053e1847","RegionNum":0,"RegionCategory":null,"ArticlePicture":[],"TitleCN":null,"AbstractTextCN":null,"PMCID":null,"EPubDate":"2024/1/1 0:00:00","PubModel":"eCollection","JCR":"","JCRName":"","Score":null,"Total":0}
引用次数: 0

摘要

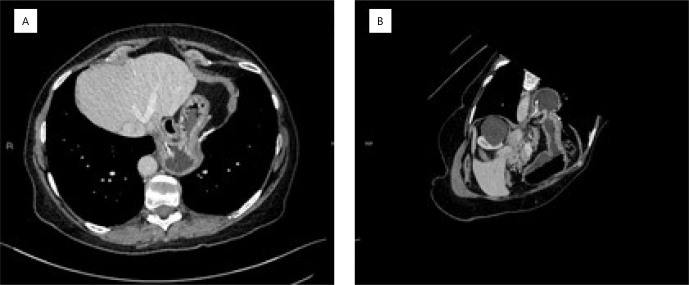
背景:补片在大裂孔疝修补中的应用仍存在争议。与使用补片有关的最可怕的不良事件之一是食管和胃壁的侵蚀。目的:记录裂孔疝手术治疗后胃腔内移位补片的内镜处理。方法:技术方案为等待补片逐步向胃腔内移动,在上消化道内镜下监测,在异物钳辅助下,在最佳时机牵引取出。结果:补片完全取出,进展满意,无并发症。结论:对于无症状且无并发症迹象的补片入胃患者,在补片未粘附胃壁的情况下,可以成功进行内镜监测和随后的异物取出,避免了高发病率和死亡率的手术。
本文章由计算机程序翻译,如有差异,请以英文原文为准。

ENDOSCOPIC MANAGEMENT OF MESH MIGRATION FOLLOWING HIATAL HERNIA REPAIR.

ENDOSCOPIC MANAGEMENT OF MESH MIGRATION FOLLOWING HIATAL HERNIA REPAIR.

ENDOSCOPIC MANAGEMENT OF MESH MIGRATION FOLLOWING HIATAL HERNIA REPAIR.

ENDOSCOPIC MANAGEMENT OF MESH MIGRATION FOLLOWING HIATAL HERNIA REPAIR.

Background: The use of mesh in the repair of large hiatal hernias is still controversial. One of the most feared adverse events related to the use of mesh is erosion into the esophageal and gastric walls.

Aims: To record the endoscopic treatment of mesh that has migrated into the gastric lumen after surgical treatment of hiatal hernia.

Methods: The technical option was to wait for the progressive migration of the mesh into the gastric lumen, monitoring with upper digestive endoscopy, with removal by traction at the best time, with the aid of foreign body forceps.

Results: The mesh was completely removed, and the evolution was satisfactory, without complications.

Conclusions: In patients with mesh migration into the stomach who are oligosymptomatic and do not show signs of complications, endoscopic surveillance and subsequent removal of the foreign body can be successfully performed when the mesh is not adhered to the gastric wall, avoiding surgical procedures with high morbidity and mortality.

求助全文
通过发布文献求助,成功后即可免费获取论文全文。 去求助
来源期刊
自引率
0.00%
发文量
0
×
引用
GB/T 7714-2015
复制
MLA
复制
APA
复制
导出至
BibTeX EndNote RefMan NoteFirst NoteExpress
×
提示
您的信息不完整,为了账户安全,请先补充。
现在去补充
×
提示
您因"违规操作"
具体请查看互助需知
我知道了
×
提示
确定
请完成安全验证×
copy
已复制链接
快去分享给好友吧!
我知道了
右上角分享
点击右上角分享
0
联系我们:info@booksci.cn Book学术提供免费学术资源搜索服务,方便国内外学者检索中英文文献。致力于提供最便捷和优质的服务体验。 Copyright © 2023 布克学术 All rights reserved.
京ICP备2023020795号-1
ghs 京公网安备 11010802042870号
Book学术文献互助
Book学术文献互助群
群 号:604180095
Book学术官方微信