浸润性肝细胞癌延迟期的多期ct增强特征及应用。

IF 1 Q4 RADIOLOGY, NUCLEAR MEDICINE & MEDICAL IMAGING
Indian Journal of Radiology and Imaging Pub Date : 2024-08-14 eCollection Date: 2025-01-01 DOI:10.1055/s-0044-1789191
Tarvinder Singh, Nandita Mehta, Pankaj Gupta, Ajay Gulati, Mudita Gulati, Naveen Kalra, Madhumita Premkumar, Sunil Taneja, Vaneet Jearth, Vishal Sharma, Ajay Duseja
{"title":"浸润性肝细胞癌延迟期的多期ct增强特征及应用。","authors":"Tarvinder Singh, Nandita Mehta, Pankaj Gupta, Ajay Gulati, Mudita Gulati, Naveen Kalra, Madhumita Premkumar, Sunil Taneja, Vaneet Jearth, Vishal Sharma, Ajay Duseja","doi":"10.1055/s-0044-1789191","DOIUrl":null,"url":null,"abstract":"<p><p><b>Objective</b>  The aims of this study are to compare the multiphasic contrast-enhanced computed tomography (CECT) characteristics of infiltrative hepatocellular carcinoma (HCC) with nodular HCC and to assess the conspicuity of infiltrative HCC on different phases of CECT. <b>Materials and Methods</b>  This retrospective study comprised consecutive treatment-naive cirrhotic patients diagnosed with infiltrative and nodular HCC between January 2020 and December 2021 based on a multiphasic CECT (comprising arterial, portal venous, and delayed phases). The diagnosis of HCC was based on the Liver Imaging Reporting and Data System (LI-RADS) v2018 criteria (LR-4 and LR-5 lesions). Infiltrative HCCs are characterized by large, irregular, permeative lesions spread over multiple liver segments or lobes. Nodular HCCs comprise well-defined tumor nodules. Two radiologists independently reviewed all CT images. Additionally, lesion conspicuity on the arterial, portal venous, and delayed phases was assessed. <b>Results</b>  One hundred fifty-eight patients (117 nodular and 41 infiltrative HCCs; mean age: 55.6 ± 17.2 years; 90 [56.9%] males) were included. Arterial phase hyperenhancement, portal venous/delayed phase washout, and delayed phase enhancing capsule were significantly associated with nodular HCCs ( <i>p</i>  = 0.002, 0.0001, and <0.0001, respectively). Portal vein, hepatic vein thrombosis, biliary dilatation, and ascites were significantly associated with infiltrative HCCs ( <i>p</i>  < 0.0001, 0.004, <0.0001, and 0.003, respectively). The interobserver agreement for the conspicuity of infiltrative HCC was the highest for the delayed phase (weighted kappa = 0.611). <b>Conclusion</b>  Infiltrative HCCs show the major LI-RADS features less frequently compared with nodular HCCs, and venous thrombosis is an important clue to the diagnosis. The delayed phase of multiphasic CECT is critical to identifying these lesions.</p>","PeriodicalId":51597,"journal":{"name":"Indian Journal of Radiology and Imaging","volume":"35 1","pages":"67-72"},"PeriodicalIF":1.0000,"publicationDate":"2024-08-14","publicationTypes":"Journal Article","fieldsOfStudy":null,"isOpenAccess":false,"openAccessPdf":"https://www.ncbi.nlm.nih.gov/pmc/articles/PMC11651847/pdf/","citationCount":"0","resultStr":"{\"title\":\"Multiphasic Computed Tomography Enhancement Characteristics and Utility of Delayed Phase in Infiltrative Hepatocellular Carcinoma.\",\"authors\":\"Tarvinder Singh, Nandita Mehta, Pankaj Gupta, Ajay Gulati, Mudita Gulati, Naveen Kalra, Madhumita Premkumar, Sunil Taneja, Vaneet Jearth, Vishal Sharma, Ajay Duseja\",\"doi\":\"10.1055/s-0044-1789191\",\"DOIUrl\":null,\"url\":null,\"abstract\":\"<p><p><b>Objective</b>  The aims of this study are to compare the multiphasic contrast-enhanced computed tomography (CECT) characteristics of infiltrative hepatocellular carcinoma (HCC) with nodular HCC and to assess the conspicuity of infiltrative HCC on different phases of CECT. <b>Materials and Methods</b>  This retrospective study comprised consecutive treatment-naive cirrhotic patients diagnosed with infiltrative and nodular HCC between January 2020 and December 2021 based on a multiphasic CECT (comprising arterial, portal venous, and delayed phases). The diagnosis of HCC was based on the Liver Imaging Reporting and Data System (LI-RADS) v2018 criteria (LR-4 and LR-5 lesions). Infiltrative HCCs are characterized by large, irregular, permeative lesions spread over multiple liver segments or lobes. Nodular HCCs comprise well-defined tumor nodules. Two radiologists independently reviewed all CT images. Additionally, lesion conspicuity on the arterial, portal venous, and delayed phases was assessed. <b>Results</b>  One hundred fifty-eight patients (117 nodular and 41 infiltrative HCCs; mean age: 55.6 ± 17.2 years; 90 [56.9%] males) were included. Arterial phase hyperenhancement, portal venous/delayed phase washout, and delayed phase enhancing capsule were significantly associated with nodular HCCs ( <i>p</i>  = 0.002, 0.0001, and <0.0001, respectively). Portal vein, hepatic vein thrombosis, biliary dilatation, and ascites were significantly associated with infiltrative HCCs ( <i>p</i>  < 0.0001, 0.004, <0.0001, and 0.003, respectively). The interobserver agreement for the conspicuity of infiltrative HCC was the highest for the delayed phase (weighted kappa = 0.611). <b>Conclusion</b>  Infiltrative HCCs show the major LI-RADS features less frequently compared with nodular HCCs, and venous thrombosis is an important clue to the diagnosis. The delayed phase of multiphasic CECT is critical to identifying these lesions.</p>\",\"PeriodicalId\":51597,\"journal\":{\"name\":\"Indian Journal of Radiology and Imaging\",\"volume\":\"35 1\",\"pages\":\"67-72\"},\"PeriodicalIF\":1.0000,\"publicationDate\":\"2024-08-14\",\"publicationTypes\":\"Journal Article\",\"fieldsOfStudy\":null,\"isOpenAccess\":false,\"openAccessPdf\":\"https://www.ncbi.nlm.nih.gov/pmc/articles/PMC11651847/pdf/\",\"citationCount\":\"0\",\"resultStr\":null,\"platform\":\"Semanticscholar\",\"paperid\":null,\"PeriodicalName\":\"Indian Journal of Radiology and Imaging\",\"FirstCategoryId\":\"1085\",\"ListUrlMain\":\"https://doi.org/10.1055/s-0044-1789191\",\"RegionNum\":0,\"RegionCategory\":null,\"ArticlePicture\":[],\"TitleCN\":null,\"AbstractTextCN\":null,\"PMCID\":null,\"EPubDate\":\"2025/1/1 0:00:00\",\"PubModel\":\"eCollection\",\"JCR\":\"Q4\",\"JCRName\":\"RADIOLOGY, NUCLEAR MEDICINE & MEDICAL IMAGING\",\"Score\":null,\"Total\":0}","platform":"Semanticscholar","paperid":null,"PeriodicalName":"Indian Journal of Radiology and Imaging","FirstCategoryId":"1085","ListUrlMain":"https://doi.org/10.1055/s-0044-1789191","RegionNum":0,"RegionCategory":null,"ArticlePicture":[],"TitleCN":null,"AbstractTextCN":null,"PMCID":null,"EPubDate":"2025/1/1 0:00:00","PubModel":"eCollection","JCR":"Q4","JCRName":"RADIOLOGY, NUCLEAR MEDICINE & MEDICAL IMAGING","Score":null,"Total":0}
引用次数: 0

摘要

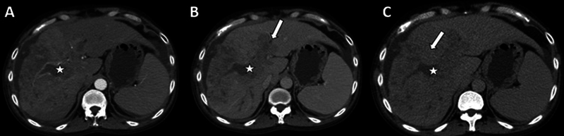
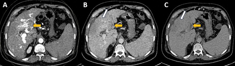
目的比较浸润性肝细胞癌(HCC)与结节性肝细胞癌(结节性肝癌)的多期增强ct (CECT)特征,评价浸润性肝细胞癌不同期CECT的显著性。材料和方法本回顾性研究纳入了2020年1月至2021年12月期间诊断为浸润性和结节性HCC的连续未接受治疗的肝硬化患者,基于多期CECT(包括动脉期、门静脉期和延迟期)。HCC的诊断依据肝成像报告和数据系统(LI-RADS) v2018标准(LR-4和LR-5病变)。浸润性hcc的特征是大的、不规则的、浸润性病变,分布在多个肝节段或肝叶。结节性hcc包括定义明确的肿瘤结节。两名放射科医生独立审查了所有CT图像。此外,还评估了动脉、门静脉和延迟期病变的显著性。结果158例患者中,结节性hcc 117例,浸润性hcc 41例;平均年龄:55.6±17.2岁;包括90例(56.9%)男性。动脉期高强化、门静脉/延迟期冲洗、延迟期增强胶囊与结节性hcc有显著相关性(p = 0.002、0.0001、p)。结论浸润性hcc与结节性hcc相比,主要LI-RADS表现较少,静脉血栓形成是诊断的重要线索。多相CECT的延迟期是识别这些病变的关键。
本文章由计算机程序翻译,如有差异,请以英文原文为准。

Multiphasic Computed Tomography Enhancement Characteristics and Utility of Delayed Phase in Infiltrative Hepatocellular Carcinoma.

Multiphasic Computed Tomography Enhancement Characteristics and Utility of Delayed Phase in Infiltrative Hepatocellular Carcinoma.

Multiphasic Computed Tomography Enhancement Characteristics and Utility of Delayed Phase in Infiltrative Hepatocellular Carcinoma.

Multiphasic Computed Tomography Enhancement Characteristics and Utility of Delayed Phase in Infiltrative Hepatocellular Carcinoma.

Objective  The aims of this study are to compare the multiphasic contrast-enhanced computed tomography (CECT) characteristics of infiltrative hepatocellular carcinoma (HCC) with nodular HCC and to assess the conspicuity of infiltrative HCC on different phases of CECT. Materials and Methods  This retrospective study comprised consecutive treatment-naive cirrhotic patients diagnosed with infiltrative and nodular HCC between January 2020 and December 2021 based on a multiphasic CECT (comprising arterial, portal venous, and delayed phases). The diagnosis of HCC was based on the Liver Imaging Reporting and Data System (LI-RADS) v2018 criteria (LR-4 and LR-5 lesions). Infiltrative HCCs are characterized by large, irregular, permeative lesions spread over multiple liver segments or lobes. Nodular HCCs comprise well-defined tumor nodules. Two radiologists independently reviewed all CT images. Additionally, lesion conspicuity on the arterial, portal venous, and delayed phases was assessed. Results  One hundred fifty-eight patients (117 nodular and 41 infiltrative HCCs; mean age: 55.6 ± 17.2 years; 90 [56.9%] males) were included. Arterial phase hyperenhancement, portal venous/delayed phase washout, and delayed phase enhancing capsule were significantly associated with nodular HCCs ( p  = 0.002, 0.0001, and <0.0001, respectively). Portal vein, hepatic vein thrombosis, biliary dilatation, and ascites were significantly associated with infiltrative HCCs ( p  < 0.0001, 0.004, <0.0001, and 0.003, respectively). The interobserver agreement for the conspicuity of infiltrative HCC was the highest for the delayed phase (weighted kappa = 0.611). Conclusion  Infiltrative HCCs show the major LI-RADS features less frequently compared with nodular HCCs, and venous thrombosis is an important clue to the diagnosis. The delayed phase of multiphasic CECT is critical to identifying these lesions.

求助全文
通过发布文献求助,成功后即可免费获取论文全文。 去求助
来源期刊
Indian Journal of Radiology and Imaging
Indian Journal of Radiology and Imaging RADIOLOGY, NUCLEAR MEDICINE & MEDICAL IMAGING-
CiteScore
1.20
自引率
0.00%
发文量
115
审稿时长
45 weeks
期刊介绍: Information not localized
×
引用
GB/T 7714-2015
复制
MLA
复制
APA
复制
导出至
BibTeX EndNote RefMan NoteFirst NoteExpress
×
提示
您的信息不完整,为了账户安全,请先补充。
现在去补充
×
提示
您因"违规操作"
具体请查看互助需知
我知道了
×
提示
确定
请完成安全验证×
copy
已复制链接
快去分享给好友吧!
我知道了
右上角分享
点击右上角分享
0
联系我们:info@booksci.cn Book学术提供免费学术资源搜索服务,方便国内外学者检索中英文文献。致力于提供最便捷和优质的服务体验。 Copyright © 2023 布克学术 All rights reserved.
京ICP备2023020795号-1
ghs 京公网安备 11010802042870号
Book学术文献互助
Book学术文献互助群
群 号:604180095
Book学术官方微信