肱骨轴骨折髓内钉固定术后肩袖撕裂与肩关节中期预后:至少五年的随访研究

IF 0.6 Q4 ORTHOPEDICS
R Furuhata, A Tanji, S Nakamura, T Urabe
{"title":"肱骨轴骨折髓内钉固定术后肩袖撕裂与肩关节中期预后:至少五年的随访研究","authors":"R Furuhata, A Tanji, S Nakamura, T Urabe","doi":"10.5704/MOJ.2411.008","DOIUrl":null,"url":null,"abstract":"<p><strong>Introduction: </strong>Antegrade intramedullary nail fixation for humeral shaft fractures yields satisfactory union rates. However, one of the related concerns is damage to the rotator cuff during nail insertion, which may affect long-term outcomes. The effect of a rotator cuff lesion on mid- and long-term shoulder outcomes remains unknown. This study aimed to investigate the incidence of rotator cuff tears 5 years or more after intramedullary nailing for humeral shaft fractures and to determine the impact of post-operative rotator cuff tears on mid-term outcomes.</p><p><strong>Material and methods: </strong>We retrospectively identified 27 patients who underwent antegrade intramedullary nail fixation for traumatic humeral shaft fractures and received follow-up for at least 5 years post-operatively. The patients were divided into two groups: those without tears and those with partial or complete tears, diagnosed using ultrasonography. We compared the functional and radiological shoulder outcomes between the two groups.</p><p><strong>Results: </strong>Of the 27 patients, 10 had partial or complete supraspinatus tears with a mean follow-up of 7.5 years postoperatively. The incidence of acromial spurs was significantly higher in patients with partial or complete tears than in those without tears (P<0.001). There were no significant differences in the age and sex-adjusted Constant score, or the American Shoulder and Elbow Surgeon score between the two groups.</p><p><strong>Conclusion: </strong>Our results revealed that 37% of patients developed partial or complete supraspinatus tendon tears in the mid-term. Post-operative rotator cuff tears were significantly associated with the formation of acromial spurs; however, they had no significant effect on mid-term shoulder functional outcomes.</p>","PeriodicalId":45241,"journal":{"name":"Malaysian Orthopaedic Journal","volume":"18 3","pages":"59-65"},"PeriodicalIF":0.6000,"publicationDate":"2024-11-01","publicationTypes":"Journal Article","fieldsOfStudy":null,"isOpenAccess":false,"openAccessPdf":"https://www.ncbi.nlm.nih.gov/pmc/articles/PMC11647534/pdf/","citationCount":"0","resultStr":"{\"title\":\"Rotator Cuff Tears and Mid-Term Shoulder Outcomes after Intramedullary Nail Fixation for Humeral Shaft Fracture: A Minimum Five-year Follow-up Study.\",\"authors\":\"R Furuhata, A Tanji, S Nakamura, T Urabe\",\"doi\":\"10.5704/MOJ.2411.008\",\"DOIUrl\":null,\"url\":null,\"abstract\":\"<p><strong>Introduction: </strong>Antegrade intramedullary nail fixation for humeral shaft fractures yields satisfactory union rates. However, one of the related concerns is damage to the rotator cuff during nail insertion, which may affect long-term outcomes. The effect of a rotator cuff lesion on mid- and long-term shoulder outcomes remains unknown. This study aimed to investigate the incidence of rotator cuff tears 5 years or more after intramedullary nailing for humeral shaft fractures and to determine the impact of post-operative rotator cuff tears on mid-term outcomes.</p><p><strong>Material and methods: </strong>We retrospectively identified 27 patients who underwent antegrade intramedullary nail fixation for traumatic humeral shaft fractures and received follow-up for at least 5 years post-operatively. The patients were divided into two groups: those without tears and those with partial or complete tears, diagnosed using ultrasonography. We compared the functional and radiological shoulder outcomes between the two groups.</p><p><strong>Results: </strong>Of the 27 patients, 10 had partial or complete supraspinatus tears with a mean follow-up of 7.5 years postoperatively. The incidence of acromial spurs was significantly higher in patients with partial or complete tears than in those without tears (P<0.001). There were no significant differences in the age and sex-adjusted Constant score, or the American Shoulder and Elbow Surgeon score between the two groups.</p><p><strong>Conclusion: </strong>Our results revealed that 37% of patients developed partial or complete supraspinatus tendon tears in the mid-term. Post-operative rotator cuff tears were significantly associated with the formation of acromial spurs; however, they had no significant effect on mid-term shoulder functional outcomes.</p>\",\"PeriodicalId\":45241,\"journal\":{\"name\":\"Malaysian Orthopaedic Journal\",\"volume\":\"18 3\",\"pages\":\"59-65\"},\"PeriodicalIF\":0.6000,\"publicationDate\":\"2024-11-01\",\"publicationTypes\":\"Journal Article\",\"fieldsOfStudy\":null,\"isOpenAccess\":false,\"openAccessPdf\":\"https://www.ncbi.nlm.nih.gov/pmc/articles/PMC11647534/pdf/\",\"citationCount\":\"0\",\"resultStr\":null,\"platform\":\"Semanticscholar\",\"paperid\":null,\"PeriodicalName\":\"Malaysian Orthopaedic Journal\",\"FirstCategoryId\":\"1085\",\"ListUrlMain\":\"https://doi.org/10.5704/MOJ.2411.008\",\"RegionNum\":0,\"RegionCategory\":null,\"ArticlePicture\":[],\"TitleCN\":null,\"AbstractTextCN\":null,\"PMCID\":null,\"EPubDate\":\"\",\"PubModel\":\"\",\"JCR\":\"Q4\",\"JCRName\":\"ORTHOPEDICS\",\"Score\":null,\"Total\":0}","platform":"Semanticscholar","paperid":null,"PeriodicalName":"Malaysian Orthopaedic Journal","FirstCategoryId":"1085","ListUrlMain":"https://doi.org/10.5704/MOJ.2411.008","RegionNum":0,"RegionCategory":null,"ArticlePicture":[],"TitleCN":null,"AbstractTextCN":null,"PMCID":null,"EPubDate":"","PubModel":"","JCR":"Q4","JCRName":"ORTHOPEDICS","Score":null,"Total":0}
引用次数: 0

摘要

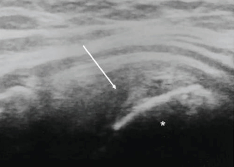
简介:顺行髓内钉内固定治疗肱骨干骨折愈合率令人满意。然而,其中一个相关的问题是在钉入时对肩袖的损伤,这可能会影响长期的结果。肩袖损伤对中长期肩关节预后的影响尚不清楚。本研究旨在调查肱骨干骨折髓内钉治疗5年或更长时间后肩袖撕裂的发生率,并确定术后肩袖撕裂对中期预后的影响。材料和方法:回顾性分析27例外伤性肱骨干骨折行顺行髓内钉内固定的患者,术后随访至少5年。患者分为两组:无撕裂组和部分或完全撕裂组,使用超声检查诊断。我们比较了两组肩关节的功能和放射学结果。结果:27例患者中,10例出现部分或完全冈上肌撕裂,术后平均随访7.5年。结论:我们的研究结果显示,37%的患者在中期出现部分或完全冈上肌腱撕裂。术后肩袖撕裂与肩峰马刺的形成显著相关;然而,它们对中期肩关节功能结局没有显著影响。
本文章由计算机程序翻译,如有差异,请以英文原文为准。

Rotator Cuff Tears and Mid-Term Shoulder Outcomes after Intramedullary Nail Fixation for Humeral Shaft Fracture: A Minimum Five-year Follow-up Study.

Rotator Cuff Tears and Mid-Term Shoulder Outcomes after Intramedullary Nail Fixation for Humeral Shaft Fracture: A Minimum Five-year Follow-up Study.

Rotator Cuff Tears and Mid-Term Shoulder Outcomes after Intramedullary Nail Fixation for Humeral Shaft Fracture: A Minimum Five-year Follow-up Study.

Introduction: Antegrade intramedullary nail fixation for humeral shaft fractures yields satisfactory union rates. However, one of the related concerns is damage to the rotator cuff during nail insertion, which may affect long-term outcomes. The effect of a rotator cuff lesion on mid- and long-term shoulder outcomes remains unknown. This study aimed to investigate the incidence of rotator cuff tears 5 years or more after intramedullary nailing for humeral shaft fractures and to determine the impact of post-operative rotator cuff tears on mid-term outcomes.

Material and methods: We retrospectively identified 27 patients who underwent antegrade intramedullary nail fixation for traumatic humeral shaft fractures and received follow-up for at least 5 years post-operatively. The patients were divided into two groups: those without tears and those with partial or complete tears, diagnosed using ultrasonography. We compared the functional and radiological shoulder outcomes between the two groups.

Results: Of the 27 patients, 10 had partial or complete supraspinatus tears with a mean follow-up of 7.5 years postoperatively. The incidence of acromial spurs was significantly higher in patients with partial or complete tears than in those without tears (P<0.001). There were no significant differences in the age and sex-adjusted Constant score, or the American Shoulder and Elbow Surgeon score between the two groups.

Conclusion: Our results revealed that 37% of patients developed partial or complete supraspinatus tendon tears in the mid-term. Post-operative rotator cuff tears were significantly associated with the formation of acromial spurs; however, they had no significant effect on mid-term shoulder functional outcomes.

求助全文
通过发布文献求助,成功后即可免费获取论文全文。 去求助
来源期刊
CiteScore
1.30
自引率
0.00%
发文量
104
审稿时长
24 weeks
期刊介绍: The Malaysian Orthopaedic Journal is a peer-reviewed journal that publishes original papers and case reports three times a year in both printed and electronic version. The purpose of MOJ is to disseminate new knowledge and provide updates in Orthopaedics, trauma and musculoskeletal research. It is an Open Access journal that does not require processing fee or article processing charge from the authors. The Malaysian Orthopaedic Journal is the official journal of Malaysian Orthopaedic Association (MOA) and ASEAN Orthopaedic Association (AOA).
×
引用
GB/T 7714-2015
复制
MLA
复制
APA
复制
导出至
BibTeX EndNote RefMan NoteFirst NoteExpress
×
提示
您的信息不完整,为了账户安全,请先补充。
现在去补充
×
提示
您因"违规操作"
具体请查看互助需知
我知道了
×
提示
确定
请完成安全验证×
copy
已复制链接
快去分享给好友吧!
我知道了
右上角分享
点击右上角分享
0
联系我们:info@booksci.cn Book学术提供免费学术资源搜索服务,方便国内外学者检索中英文文献。致力于提供最便捷和优质的服务体验。 Copyright © 2023 布克学术 All rights reserved.
京ICP备2023020795号-1
ghs 京公网安备 11010802042870号
Book学术文献互助
Book学术文献互助群
群 号:604180095
Book学术官方微信