骨髓以外:用18f - fdg PET/CT揭示ALL复发的不常见部位。

IF 0.9 Q4 RADIOLOGY, NUCLEAR MEDICINE & MEDICAL IMAGING
World Journal of Nuclear Medicine Pub Date : 2024-06-24 eCollection Date: 2024-12-01 DOI:10.1055/s-0044-1787894
Siven Kar, Harshita Gupta, Nusrat Shaikh, Vikram Lele
{"title":"骨髓以外:用18f - fdg PET/CT揭示ALL复发的不常见部位。","authors":"Siven Kar, Harshita Gupta, Nusrat Shaikh, Vikram Lele","doi":"10.1055/s-0044-1787894","DOIUrl":null,"url":null,"abstract":"<p><p>Extramedullary infiltration of acute lymphoblastic leukemia/lymphoma (ALL) to genital organs is extremely rare. Here, we present a case report of an asymptomatic 49-year-old female, known case of precursor B-cell ALL, who was incidentally detected with thickened and heterogeneously hyperechoic endometrium on sonography. Contrast magnetic resonance imaging detected large polypoidal enhancing lesions showing intense diffusion restriction occupying the endometrial cavity and similar lesions in the left adnexa, left ovary, and fallopian tube which were suspicious for leukemic infiltration because of the clinical history and atypical appearance of the lesions. <sup>18</sup> F-fluorodeoxyglucose positron emission tomography/computed tomography ( <sup>18</sup> F-FDG PET/CT) was done which revealed intensely metabolically active lesion in the endometrial cavity, left adnexa, omental nodules, retroperitoneal lymph node, pancreatic lesion, and few irregular nodules in the right lower lobe. Biopsy findings confirmed extramedullary relapse of ALL. Hence, <sup>18</sup> F-FDG PET/CT can act as a good whole body survey to look for extramedullary sites of relapse.</p>","PeriodicalId":23742,"journal":{"name":"World Journal of Nuclear Medicine","volume":"23 4","pages":"282-284"},"PeriodicalIF":0.9000,"publicationDate":"2024-06-24","publicationTypes":"Journal Article","fieldsOfStudy":null,"isOpenAccess":false,"openAccessPdf":"https://www.ncbi.nlm.nih.gov/pmc/articles/PMC11637637/pdf/","citationCount":"0","resultStr":"{\"title\":\"Beyond the Marrow: Unveiling Uncommon Sites of ALL Relapse with <sup>18</sup> F-FDG PET/CT.\",\"authors\":\"Siven Kar, Harshita Gupta, Nusrat Shaikh, Vikram Lele\",\"doi\":\"10.1055/s-0044-1787894\",\"DOIUrl\":null,\"url\":null,\"abstract\":\"<p><p>Extramedullary infiltration of acute lymphoblastic leukemia/lymphoma (ALL) to genital organs is extremely rare. Here, we present a case report of an asymptomatic 49-year-old female, known case of precursor B-cell ALL, who was incidentally detected with thickened and heterogeneously hyperechoic endometrium on sonography. Contrast magnetic resonance imaging detected large polypoidal enhancing lesions showing intense diffusion restriction occupying the endometrial cavity and similar lesions in the left adnexa, left ovary, and fallopian tube which were suspicious for leukemic infiltration because of the clinical history and atypical appearance of the lesions. <sup>18</sup> F-fluorodeoxyglucose positron emission tomography/computed tomography ( <sup>18</sup> F-FDG PET/CT) was done which revealed intensely metabolically active lesion in the endometrial cavity, left adnexa, omental nodules, retroperitoneal lymph node, pancreatic lesion, and few irregular nodules in the right lower lobe. Biopsy findings confirmed extramedullary relapse of ALL. Hence, <sup>18</sup> F-FDG PET/CT can act as a good whole body survey to look for extramedullary sites of relapse.</p>\",\"PeriodicalId\":23742,\"journal\":{\"name\":\"World Journal of Nuclear Medicine\",\"volume\":\"23 4\",\"pages\":\"282-284\"},\"PeriodicalIF\":0.9000,\"publicationDate\":\"2024-06-24\",\"publicationTypes\":\"Journal Article\",\"fieldsOfStudy\":null,\"isOpenAccess\":false,\"openAccessPdf\":\"https://www.ncbi.nlm.nih.gov/pmc/articles/PMC11637637/pdf/\",\"citationCount\":\"0\",\"resultStr\":null,\"platform\":\"Semanticscholar\",\"paperid\":null,\"PeriodicalName\":\"World Journal of Nuclear Medicine\",\"FirstCategoryId\":\"1085\",\"ListUrlMain\":\"https://doi.org/10.1055/s-0044-1787894\",\"RegionNum\":0,\"RegionCategory\":null,\"ArticlePicture\":[],\"TitleCN\":null,\"AbstractTextCN\":null,\"PMCID\":null,\"EPubDate\":\"2024/12/1 0:00:00\",\"PubModel\":\"eCollection\",\"JCR\":\"Q4\",\"JCRName\":\"RADIOLOGY, NUCLEAR MEDICINE & MEDICAL IMAGING\",\"Score\":null,\"Total\":0}","platform":"Semanticscholar","paperid":null,"PeriodicalName":"World Journal of Nuclear Medicine","FirstCategoryId":"1085","ListUrlMain":"https://doi.org/10.1055/s-0044-1787894","RegionNum":0,"RegionCategory":null,"ArticlePicture":[],"TitleCN":null,"AbstractTextCN":null,"PMCID":null,"EPubDate":"2024/12/1 0:00:00","PubModel":"eCollection","JCR":"Q4","JCRName":"RADIOLOGY, NUCLEAR MEDICINE & MEDICAL IMAGING","Score":null,"Total":0}
引用次数: 0

摘要

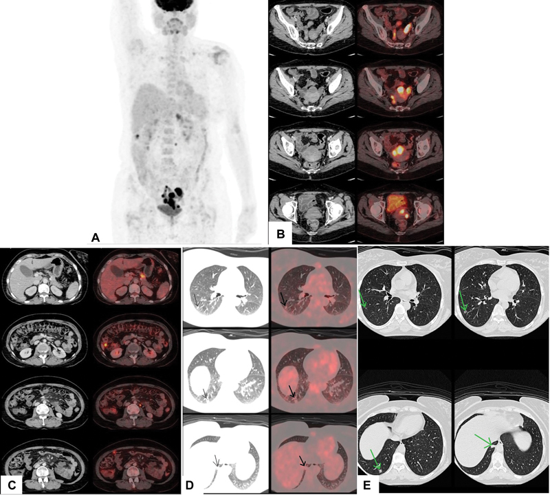
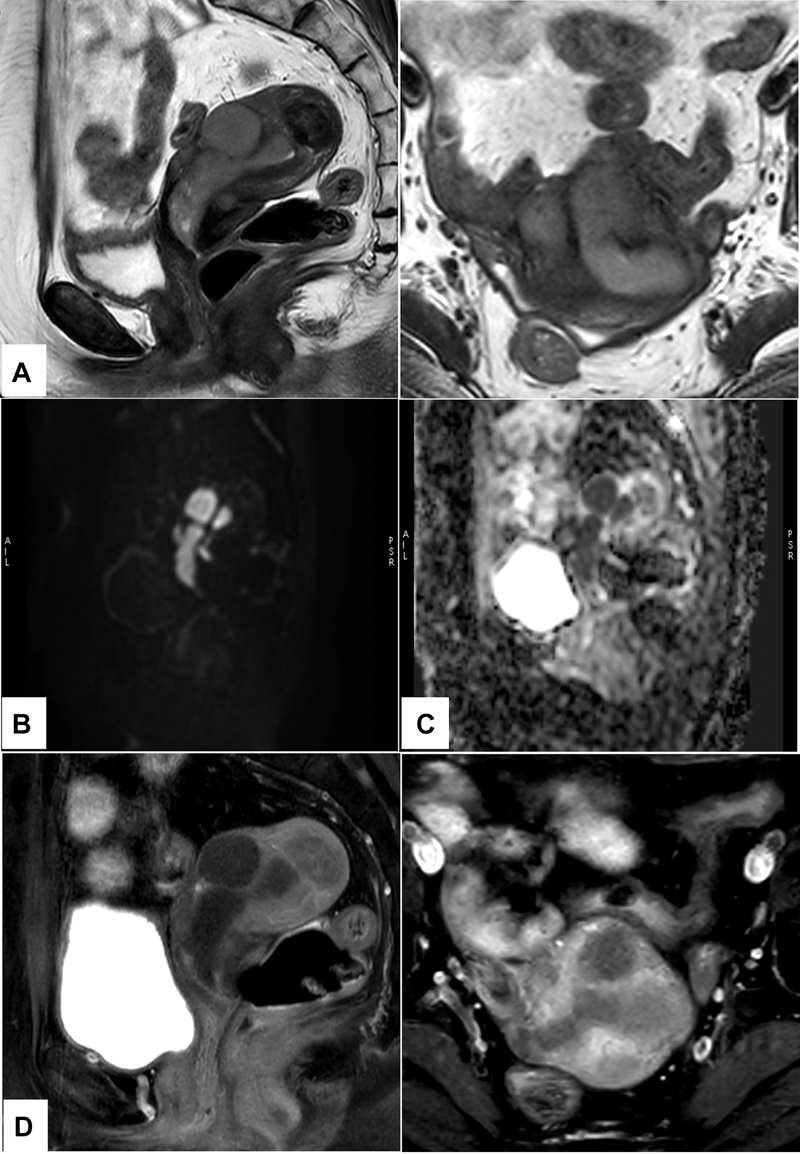
急性淋巴细胞白血病/淋巴瘤(ALL)髓外浸润到生殖器官是非常罕见的。在这里,我们报告一例无症状的49岁女性,已知的前体b细胞ALL病例,偶然发现超声增厚和异质高回声子宫内膜。磁共振造影示大息肉样增强病灶,弥散受限,占据子宫内膜腔,左侧附件、左侧卵巢、输卵管均见类似病灶,临床病史及外观不典型,怀疑白血病浸润。18 f -氟脱氧葡萄糖正电子发射断层扫描/计算机断层扫描(18 F-FDG PET/CT)显示子宫内膜腔、左附件、大网膜结节、腹膜后淋巴结、胰腺病变强烈代谢活跃,右下叶少量不规则结节。活检结果证实ALL髓外复发。因此,18f - fdg PET/CT可以作为一个很好的全身检查来寻找髓外复发部位。
本文章由计算机程序翻译,如有差异,请以英文原文为准。

Beyond the Marrow: Unveiling Uncommon Sites of ALL Relapse with <sup>18</sup> F-FDG PET/CT.

Beyond the Marrow: Unveiling Uncommon Sites of ALL Relapse with <sup>18</sup> F-FDG PET/CT.

Beyond the Marrow: Unveiling Uncommon Sites of ALL Relapse with 18 F-FDG PET/CT.

Extramedullary infiltration of acute lymphoblastic leukemia/lymphoma (ALL) to genital organs is extremely rare. Here, we present a case report of an asymptomatic 49-year-old female, known case of precursor B-cell ALL, who was incidentally detected with thickened and heterogeneously hyperechoic endometrium on sonography. Contrast magnetic resonance imaging detected large polypoidal enhancing lesions showing intense diffusion restriction occupying the endometrial cavity and similar lesions in the left adnexa, left ovary, and fallopian tube which were suspicious for leukemic infiltration because of the clinical history and atypical appearance of the lesions. 18 F-fluorodeoxyglucose positron emission tomography/computed tomography ( 18 F-FDG PET/CT) was done which revealed intensely metabolically active lesion in the endometrial cavity, left adnexa, omental nodules, retroperitoneal lymph node, pancreatic lesion, and few irregular nodules in the right lower lobe. Biopsy findings confirmed extramedullary relapse of ALL. Hence, 18 F-FDG PET/CT can act as a good whole body survey to look for extramedullary sites of relapse.

求助全文
通过发布文献求助,成功后即可免费获取论文全文。 去求助
来源期刊
World Journal of Nuclear Medicine
World Journal of Nuclear Medicine RADIOLOGY, NUCLEAR MEDICINE & MEDICAL IMAGING-
自引率
16.70%
发文量
118
审稿时长
48 weeks
×
引用
GB/T 7714-2015
复制
MLA
复制
APA
复制
导出至
BibTeX EndNote RefMan NoteFirst NoteExpress
×
提示
您的信息不完整,为了账户安全,请先补充。
现在去补充
×
提示
您因"违规操作"
具体请查看互助需知
我知道了
×
提示
确定
请完成安全验证×
copy
已复制链接
快去分享给好友吧!
我知道了
右上角分享
点击右上角分享
0
联系我们:info@booksci.cn Book学术提供免费学术资源搜索服务,方便国内外学者检索中英文文献。致力于提供最便捷和优质的服务体验。 Copyright © 2023 布克学术 All rights reserved.
京ICP备2023020795号-1
ghs 京公网安备 11010802042870号
Book学术文献互助
Book学术文献互助群
群 号:604180095
Book学术官方微信