关注POCUS:通过即时超声与潮末二氧化碳鉴别早期成功插管:一项前瞻性比较研究。

IF 0.9 Q3 ANESTHESIOLOGY
Soma Ganesh Raja Neethirajan, Ganeshamoorthy Baskar, Aruna Parameswari
{"title":"关注POCUS:通过即时超声与潮末二氧化碳鉴别早期成功插管:一项前瞻性比较研究。","authors":"Soma Ganesh Raja Neethirajan, Ganeshamoorthy Baskar, Aruna Parameswari","doi":"10.4274/TJAR.2024.241720","DOIUrl":null,"url":null,"abstract":"<p><strong>Objective: </strong>Successful endotracheal intubation is a key step in advanced airway management. The gold standard confirmation for successful endotracheal intubation is end-tidal carbon dioxide (etCO<sub>2</sub>) monitoring, although recent studies suggest that ultrasound can also be used. In this study, we explored the time-sensitive early recognition of successful endotracheal intubation by comparing ultrasound and etCO<sub>2</sub> monitoring.</p><p><strong>Methods: </strong>The study included 104 patients who were posted for elective surgery under general anaesthesia requiring endotracheal intubation. The time from removal of the face mask to ultrasound visualization of flutter in the trachea was compared with that of the appearance of six consecutive capnography waveforms following endotracheal intubation.</p><p><strong>Results: </strong>Ultrasound was a faster tool for recognizing successful endotracheal intubation [(21.63±7.38) seconds] compared with capnography [(40.62±7.93) seconds].</p><p><strong>Conclusion: </strong>eCO<sub>2</sub> requires more time for 6 continuous waveforms to confirm successful intubation and has a false positive rate. Supplementing the gold standard etCO<sub>2</sub> with ultrasound is faster and reliable in patients with low pulmonary blood flow without needing positive pressure ventilation, such as during cardiopulmonary resuscitation, in high-risk emergency intubations, such as in trauma, or in difficult airways where intubation can be confirmed in real time. Ultrasound is a reliable and faster tool for the early identification of successful endotracheal intubation than end-tidal carbon dioxide.</p>","PeriodicalId":23353,"journal":{"name":"Turkish journal of anaesthesiology and reanimation","volume":"52 6","pages":"240-246"},"PeriodicalIF":0.9000,"publicationDate":"2024-12-16","publicationTypes":"Journal Article","fieldsOfStudy":null,"isOpenAccess":false,"openAccessPdf":"https://www.ncbi.nlm.nih.gov/pmc/articles/PMC11650097/pdf/","citationCount":"0","resultStr":"{\"title\":\"Focus on POCUS: Identification of Early Successful Intubation by Point-of-Care Ultrasound Versus End-Tidal Carbon Dioxide: A Prospective Comparative Study.\",\"authors\":\"Soma Ganesh Raja Neethirajan, Ganeshamoorthy Baskar, Aruna Parameswari\",\"doi\":\"10.4274/TJAR.2024.241720\",\"DOIUrl\":null,\"url\":null,\"abstract\":\"<p><strong>Objective: </strong>Successful endotracheal intubation is a key step in advanced airway management. The gold standard confirmation for successful endotracheal intubation is end-tidal carbon dioxide (etCO<sub>2</sub>) monitoring, although recent studies suggest that ultrasound can also be used. In this study, we explored the time-sensitive early recognition of successful endotracheal intubation by comparing ultrasound and etCO<sub>2</sub> monitoring.</p><p><strong>Methods: </strong>The study included 104 patients who were posted for elective surgery under general anaesthesia requiring endotracheal intubation. The time from removal of the face mask to ultrasound visualization of flutter in the trachea was compared with that of the appearance of six consecutive capnography waveforms following endotracheal intubation.</p><p><strong>Results: </strong>Ultrasound was a faster tool for recognizing successful endotracheal intubation [(21.63±7.38) seconds] compared with capnography [(40.62±7.93) seconds].</p><p><strong>Conclusion: </strong>eCO<sub>2</sub> requires more time for 6 continuous waveforms to confirm successful intubation and has a false positive rate. Supplementing the gold standard etCO<sub>2</sub> with ultrasound is faster and reliable in patients with low pulmonary blood flow without needing positive pressure ventilation, such as during cardiopulmonary resuscitation, in high-risk emergency intubations, such as in trauma, or in difficult airways where intubation can be confirmed in real time. Ultrasound is a reliable and faster tool for the early identification of successful endotracheal intubation than end-tidal carbon dioxide.</p>\",\"PeriodicalId\":23353,\"journal\":{\"name\":\"Turkish journal of anaesthesiology and reanimation\",\"volume\":\"52 6\",\"pages\":\"240-246\"},\"PeriodicalIF\":0.9000,\"publicationDate\":\"2024-12-16\",\"publicationTypes\":\"Journal Article\",\"fieldsOfStudy\":null,\"isOpenAccess\":false,\"openAccessPdf\":\"https://www.ncbi.nlm.nih.gov/pmc/articles/PMC11650097/pdf/\",\"citationCount\":\"0\",\"resultStr\":null,\"platform\":\"Semanticscholar\",\"paperid\":null,\"PeriodicalName\":\"Turkish journal of anaesthesiology and reanimation\",\"FirstCategoryId\":\"1085\",\"ListUrlMain\":\"https://doi.org/10.4274/TJAR.2024.241720\",\"RegionNum\":0,\"RegionCategory\":null,\"ArticlePicture\":[],\"TitleCN\":null,\"AbstractTextCN\":null,\"PMCID\":null,\"EPubDate\":\"\",\"PubModel\":\"\",\"JCR\":\"Q3\",\"JCRName\":\"ANESTHESIOLOGY\",\"Score\":null,\"Total\":0}","platform":"Semanticscholar","paperid":null,"PeriodicalName":"Turkish journal of anaesthesiology and reanimation","FirstCategoryId":"1085","ListUrlMain":"https://doi.org/10.4274/TJAR.2024.241720","RegionNum":0,"RegionCategory":null,"ArticlePicture":[],"TitleCN":null,"AbstractTextCN":null,"PMCID":null,"EPubDate":"","PubModel":"","JCR":"Q3","JCRName":"ANESTHESIOLOGY","Score":null,"Total":0}
引用次数: 0

摘要

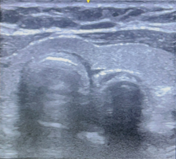
目的:气管插管成功是先进气道管理的关键步骤。气管插管成功的金标准是潮末二氧化碳(etCO2)监测,尽管最近的研究表明超声波也可以使用。在本研究中,我们通过比较超声和etCO2监测,探讨了气管插管成功的时间敏感性早期识别。方法:本研究纳入了104例在全麻下需要气管插管的择期手术患者。将取下面罩到超声显示气管颤振的时间与气管插管后连续6次超声波形的出现时间进行比较。结果:超声识别气管插管成功的时间为(21.63±7.38)秒,比超声检查(40.62±7.93)秒更快。结论:eCO2需要6次连续波形时间才能确认插管成功,且存在假阳性率。在不需要正压通气的低肺血流量患者中,如在心肺复苏期间,在创伤等高风险紧急插管中,或在可以实时确认插管的困难气道中,用超声补充金标准etCO2更快、更可靠。超声是一个可靠的和更快的工具,早期识别成功的气管插管比末潮二氧化碳。
本文章由计算机程序翻译,如有差异,请以英文原文为准。

Focus on POCUS: Identification of Early Successful Intubation by Point-of-Care Ultrasound Versus End-Tidal Carbon Dioxide: A Prospective Comparative Study.

Focus on POCUS: Identification of Early Successful Intubation by Point-of-Care Ultrasound Versus End-Tidal Carbon Dioxide: A Prospective Comparative Study.

Focus on POCUS: Identification of Early Successful Intubation by Point-of-Care Ultrasound Versus End-Tidal Carbon Dioxide: A Prospective Comparative Study.

Focus on POCUS: Identification of Early Successful Intubation by Point-of-Care Ultrasound Versus End-Tidal Carbon Dioxide: A Prospective Comparative Study.

Objective: Successful endotracheal intubation is a key step in advanced airway management. The gold standard confirmation for successful endotracheal intubation is end-tidal carbon dioxide (etCO2) monitoring, although recent studies suggest that ultrasound can also be used. In this study, we explored the time-sensitive early recognition of successful endotracheal intubation by comparing ultrasound and etCO2 monitoring.

Methods: The study included 104 patients who were posted for elective surgery under general anaesthesia requiring endotracheal intubation. The time from removal of the face mask to ultrasound visualization of flutter in the trachea was compared with that of the appearance of six consecutive capnography waveforms following endotracheal intubation.

Results: Ultrasound was a faster tool for recognizing successful endotracheal intubation [(21.63±7.38) seconds] compared with capnography [(40.62±7.93) seconds].

Conclusion: eCO2 requires more time for 6 continuous waveforms to confirm successful intubation and has a false positive rate. Supplementing the gold standard etCO2 with ultrasound is faster and reliable in patients with low pulmonary blood flow without needing positive pressure ventilation, such as during cardiopulmonary resuscitation, in high-risk emergency intubations, such as in trauma, or in difficult airways where intubation can be confirmed in real time. Ultrasound is a reliable and faster tool for the early identification of successful endotracheal intubation than end-tidal carbon dioxide.

求助全文
通过发布文献求助,成功后即可免费获取论文全文。 去求助
来源期刊
CiteScore
1.10
自引率
0.00%
发文量
0
×
引用
GB/T 7714-2015
复制
MLA
复制
APA
复制
导出至
BibTeX EndNote RefMan NoteFirst NoteExpress
×
提示
您的信息不完整,为了账户安全,请先补充。
现在去补充
×
提示
您因"违规操作"
具体请查看互助需知
我知道了
×
提示
确定
请完成安全验证×
copy
已复制链接
快去分享给好友吧!
我知道了
右上角分享
点击右上角分享
0
联系我们:info@booksci.cn Book学术提供免费学术资源搜索服务,方便国内外学者检索中英文文献。致力于提供最便捷和优质的服务体验。 Copyright © 2023 布克学术 All rights reserved.
京ICP备2023020795号-1
ghs 京公网安备 11010802042870号
Book学术文献互助
Book学术文献互助群
群 号:604180095
Book学术官方微信