PI3K组成性激活和Pten缺失小鼠睾丸性索间质肿瘤。

IF 2.9 3区 医学 Q2 ONCOLOGY
Marija Dinevska, Lachlan McAloney, Samuel S Widodo, Gulay Filiz, Jeremy Anderson, Sebastian Dworkin, Simon P Windley, Dagmar Wilhelm, Theo Mantamadiotis
{"title":"PI3K组成性激活和Pten缺失小鼠睾丸性索间质肿瘤。","authors":"Marija Dinevska, Lachlan McAloney, Samuel S Widodo, Gulay Filiz, Jeremy Anderson, Sebastian Dworkin, Simon P Windley, Dagmar Wilhelm, Theo Mantamadiotis","doi":"10.1093/carcin/bgae077","DOIUrl":null,"url":null,"abstract":"<p><p>Testicular tumors are the most common malignancy of young men, and tumors affecting the testis are caused by somatic mutations in germ or germ-like cells. The PI3K pathway is constitutively activated in about one-third of testicular cancers. To investigate the role of the PI3K pathway in transforming stem-like cells in the testis, we investigated tumors derived from mice with post-natal, constitutive activation of PI3K signaling and homozygous deletion of tumor suppressor Pten, targeted to Nestin-expressing cells. Mice developed aggressive tumors, exhibiting heterogeneous histopathology and hemorrhaging. The tumors resemble the rare testis tumor type, testicular sex cord-stromal Leydig cell tumors. Single-cell resolution spatial tissue analysis demonstrated that T-cells are the dominant tumor-infiltrating immune cell type, with very few infiltrating macrophages observed in the tumor tissue, with CD8+ T-cells predominating. Further analysis showed that immune cells preferentially localize to, or accumulate within stromal regions.</p>","PeriodicalId":9446,"journal":{"name":"Carcinogenesis","volume":" ","pages":""},"PeriodicalIF":2.9000,"publicationDate":"2025-01-20","publicationTypes":"Journal Article","fieldsOfStudy":null,"isOpenAccess":false,"openAccessPdf":"https://www.ncbi.nlm.nih.gov/pmc/articles/PMC11879163/pdf/","citationCount":"0","resultStr":"{\"title\":\"Testicular sex cord-stromal tumors in mice with constitutive activation of PI3K and loss of Pten.\",\"authors\":\"Marija Dinevska, Lachlan McAloney, Samuel S Widodo, Gulay Filiz, Jeremy Anderson, Sebastian Dworkin, Simon P Windley, Dagmar Wilhelm, Theo Mantamadiotis\",\"doi\":\"10.1093/carcin/bgae077\",\"DOIUrl\":null,\"url\":null,\"abstract\":\"<p><p>Testicular tumors are the most common malignancy of young men, and tumors affecting the testis are caused by somatic mutations in germ or germ-like cells. The PI3K pathway is constitutively activated in about one-third of testicular cancers. To investigate the role of the PI3K pathway in transforming stem-like cells in the testis, we investigated tumors derived from mice with post-natal, constitutive activation of PI3K signaling and homozygous deletion of tumor suppressor Pten, targeted to Nestin-expressing cells. Mice developed aggressive tumors, exhibiting heterogeneous histopathology and hemorrhaging. The tumors resemble the rare testis tumor type, testicular sex cord-stromal Leydig cell tumors. Single-cell resolution spatial tissue analysis demonstrated that T-cells are the dominant tumor-infiltrating immune cell type, with very few infiltrating macrophages observed in the tumor tissue, with CD8+ T-cells predominating. Further analysis showed that immune cells preferentially localize to, or accumulate within stromal regions.</p>\",\"PeriodicalId\":9446,\"journal\":{\"name\":\"Carcinogenesis\",\"volume\":\" \",\"pages\":\"\"},\"PeriodicalIF\":2.9000,\"publicationDate\":\"2025-01-20\",\"publicationTypes\":\"Journal Article\",\"fieldsOfStudy\":null,\"isOpenAccess\":false,\"openAccessPdf\":\"https://www.ncbi.nlm.nih.gov/pmc/articles/PMC11879163/pdf/\",\"citationCount\":\"0\",\"resultStr\":null,\"platform\":\"Semanticscholar\",\"paperid\":null,\"PeriodicalName\":\"Carcinogenesis\",\"FirstCategoryId\":\"3\",\"ListUrlMain\":\"https://doi.org/10.1093/carcin/bgae077\",\"RegionNum\":3,\"RegionCategory\":\"医学\",\"ArticlePicture\":[],\"TitleCN\":null,\"AbstractTextCN\":null,\"PMCID\":null,\"EPubDate\":\"\",\"PubModel\":\"\",\"JCR\":\"Q2\",\"JCRName\":\"ONCOLOGY\",\"Score\":null,\"Total\":0}","platform":"Semanticscholar","paperid":null,"PeriodicalName":"Carcinogenesis","FirstCategoryId":"3","ListUrlMain":"https://doi.org/10.1093/carcin/bgae077","RegionNum":3,"RegionCategory":"医学","ArticlePicture":[],"TitleCN":null,"AbstractTextCN":null,"PMCID":null,"EPubDate":"","PubModel":"","JCR":"Q2","JCRName":"ONCOLOGY","Score":null,"Total":0}
引用次数: 0

摘要

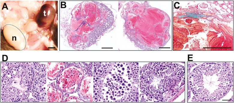
睾丸肿瘤是年轻男性最常见的恶性肿瘤,影响睾丸的肿瘤是由生殖细胞或类生殖细胞的体细胞突变引起的。在约三分之一的睾丸癌中,PI3K 通路被组成性激活。为了研究 PI3K 通路在睾丸干样细胞转化中的作用,我们研究了小鼠出生后 PI3K 信号的组成性激活和肿瘤抑制因子 Pten 的同源染色体缺失所产生的肿瘤。小鼠出现侵袭性肿瘤,表现出异质性组织病理学和出血。这些肿瘤类似于罕见的睾丸肿瘤类型--睾丸性索-间质Leydig细胞肿瘤。单细胞分辨率空间组织分析表明,T 细胞是肿瘤浸润免疫细胞的主要类型,肿瘤组织中很少观察到浸润巨噬细胞,CD8+ T 细胞占主导地位。进一步的分析表明,免疫细胞优先定位或聚集在基质区域。
本文章由计算机程序翻译,如有差异,请以英文原文为准。

Testicular sex cord-stromal tumors in mice with constitutive activation of PI3K and loss of Pten.

Testicular sex cord-stromal tumors in mice with constitutive activation of PI3K and loss of Pten.

Testicular sex cord-stromal tumors in mice with constitutive activation of PI3K and loss of Pten.

Testicular sex cord-stromal tumors in mice with constitutive activation of PI3K and loss of Pten.

Testicular tumors are the most common malignancy of young men, and tumors affecting the testis are caused by somatic mutations in germ or germ-like cells. The PI3K pathway is constitutively activated in about one-third of testicular cancers. To investigate the role of the PI3K pathway in transforming stem-like cells in the testis, we investigated tumors derived from mice with post-natal, constitutive activation of PI3K signaling and homozygous deletion of tumor suppressor Pten, targeted to Nestin-expressing cells. Mice developed aggressive tumors, exhibiting heterogeneous histopathology and hemorrhaging. The tumors resemble the rare testis tumor type, testicular sex cord-stromal Leydig cell tumors. Single-cell resolution spatial tissue analysis demonstrated that T-cells are the dominant tumor-infiltrating immune cell type, with very few infiltrating macrophages observed in the tumor tissue, with CD8+ T-cells predominating. Further analysis showed that immune cells preferentially localize to, or accumulate within stromal regions.

求助全文
通过发布文献求助,成功后即可免费获取论文全文。 去求助
来源期刊
Carcinogenesis
Carcinogenesis 医学-肿瘤学
CiteScore
9.20
自引率
2.10%
发文量
95
审稿时长
1 months
期刊介绍: Carcinogenesis: Integrative Cancer Research is a multi-disciplinary journal that brings together all the varied aspects of research that will ultimately lead to the prevention of cancer in man. The journal publishes papers that warrant prompt publication in the areas of Biology, Genetics and Epigenetics (including the processes of promotion, progression, signal transduction, apoptosis, genomic instability, growth factors, cell and molecular biology, mutation, DNA repair, genetics, etc.), Cancer Biomarkers and Molecular Epidemiology (including genetic predisposition to cancer, and epidemiology), Inflammation, Microenvironment and Prevention (including molecular dosimetry, chemoprevention, nutrition and cancer, etc.), and Carcinogenesis (including oncogenes and tumor suppressor genes in carcinogenesis, therapy resistance of solid tumors, cancer mouse models, apoptosis and senescence, novel therapeutic targets and cancer drugs).
×
引用
GB/T 7714-2015
复制
MLA
复制
APA
复制
导出至
BibTeX EndNote RefMan NoteFirst NoteExpress
×
提示
您的信息不完整,为了账户安全,请先补充。
现在去补充
×
提示
您因"违规操作"
具体请查看互助需知
我知道了
×
提示
确定
请完成安全验证×
copy
已复制链接
快去分享给好友吧!
我知道了
右上角分享
点击右上角分享
0
联系我们:info@booksci.cn Book学术提供免费学术资源搜索服务,方便国内外学者检索中英文文献。致力于提供最便捷和优质的服务体验。 Copyright © 2023 布克学术 All rights reserved.
京ICP备2023020795号-1
ghs 京公网安备 11010802042870号
Book学术文献互助
Book学术文献互助群
群 号:604180095
Book学术官方微信