新生儿肘关节脱位的处理。

IF 1.6 4区 医学 Q3 ORTHOPEDICS
Journal of Childrens Orthopaedics Pub Date : 2024-12-10 eCollection Date: 2025-02-01 DOI:10.1177/18632521241278166
Florian Kruse, Frederique Dizin, Brice Ilharreborde, Pascal Jehanno, Anne-Laure Simon, Virginie Mas
{"title":"新生儿肘关节脱位的处理。","authors":"Florian Kruse, Frederique Dizin, Brice Ilharreborde, Pascal Jehanno, Anne-Laure Simon, Virginie Mas","doi":"10.1177/18632521241278166","DOIUrl":null,"url":null,"abstract":"<p><strong>Background: </strong>The newborn transphyseal fracture of the distal humerus is frequently misdiagnosed with an elbow dislocation due to the absence of the lateral condyle ossification node. No consensus has been reported either for the diagnosis or the management of these rare fractures. This study aimed to analyze a series of newborns with transphyseal distal humerus fractures.</p><p><strong>Methods: </strong>All consecutive infants treated between 2005 and 2020 for a transphyseal fracture of the distal humerus before the age of 6 months were retrospectively included. All radiological examinations were analyzed (X-ray, ultrasound, and magnetic resonance imaging (MRI)) as well as the therapeutic management (orthopedic or surgical treatment). The patients were seen at outpatient clinic visits with a minimum of 2-year follow-up.</p><p><strong>Results: </strong>Nine newborns were treated. The main cause was an obstetrical traumatism (<i>n</i> = 8). The diagnosis was made on physical examination and addressed by obstetric departments with standard biplanar radiographs in four cases. The fracture was suspected on physical examination in the remaining five cases and confirmed by complementary imaging (ultrasound (2), MRI (1), and both (3)). A total of six patients were treated conservatively and three surgically with an open reduction. At a mean follow-up of 79 months, two complications occurred: one axillary abscess due to the cast and one cubitus varus deformity. All children had a full functional recovery.</p><p><strong>Conclusions: </strong>The transphyseal fracture of the distal humerus in newborns is a rare entity that should be managed conservatively. Additional imaging examinations are recommended to clarify the diagnosis.</p><p><strong>Level of evidence: </strong>Level IV, cohort study.</p>","PeriodicalId":56060,"journal":{"name":"Journal of Childrens Orthopaedics","volume":" ","pages":"48-55"},"PeriodicalIF":1.6000,"publicationDate":"2024-12-10","publicationTypes":"Journal Article","fieldsOfStudy":null,"isOpenAccess":false,"openAccessPdf":"https://www.ncbi.nlm.nih.gov/pmc/articles/PMC11632712/pdf/","citationCount":"0","resultStr":"{\"title\":\"Management of the supposed elbow dislocation in newborns.\",\"authors\":\"Florian Kruse, Frederique Dizin, Brice Ilharreborde, Pascal Jehanno, Anne-Laure Simon, Virginie Mas\",\"doi\":\"10.1177/18632521241278166\",\"DOIUrl\":null,\"url\":null,\"abstract\":\"<p><strong>Background: </strong>The newborn transphyseal fracture of the distal humerus is frequently misdiagnosed with an elbow dislocation due to the absence of the lateral condyle ossification node. No consensus has been reported either for the diagnosis or the management of these rare fractures. This study aimed to analyze a series of newborns with transphyseal distal humerus fractures.</p><p><strong>Methods: </strong>All consecutive infants treated between 2005 and 2020 for a transphyseal fracture of the distal humerus before the age of 6 months were retrospectively included. All radiological examinations were analyzed (X-ray, ultrasound, and magnetic resonance imaging (MRI)) as well as the therapeutic management (orthopedic or surgical treatment). The patients were seen at outpatient clinic visits with a minimum of 2-year follow-up.</p><p><strong>Results: </strong>Nine newborns were treated. The main cause was an obstetrical traumatism (<i>n</i> = 8). The diagnosis was made on physical examination and addressed by obstetric departments with standard biplanar radiographs in four cases. The fracture was suspected on physical examination in the remaining five cases and confirmed by complementary imaging (ultrasound (2), MRI (1), and both (3)). A total of six patients were treated conservatively and three surgically with an open reduction. At a mean follow-up of 79 months, two complications occurred: one axillary abscess due to the cast and one cubitus varus deformity. All children had a full functional recovery.</p><p><strong>Conclusions: </strong>The transphyseal fracture of the distal humerus in newborns is a rare entity that should be managed conservatively. Additional imaging examinations are recommended to clarify the diagnosis.</p><p><strong>Level of evidence: </strong>Level IV, cohort study.</p>\",\"PeriodicalId\":56060,\"journal\":{\"name\":\"Journal of Childrens Orthopaedics\",\"volume\":\" \",\"pages\":\"48-55\"},\"PeriodicalIF\":1.6000,\"publicationDate\":\"2024-12-10\",\"publicationTypes\":\"Journal Article\",\"fieldsOfStudy\":null,\"isOpenAccess\":false,\"openAccessPdf\":\"https://www.ncbi.nlm.nih.gov/pmc/articles/PMC11632712/pdf/\",\"citationCount\":\"0\",\"resultStr\":null,\"platform\":\"Semanticscholar\",\"paperid\":null,\"PeriodicalName\":\"Journal of Childrens Orthopaedics\",\"FirstCategoryId\":\"3\",\"ListUrlMain\":\"https://doi.org/10.1177/18632521241278166\",\"RegionNum\":4,\"RegionCategory\":\"医学\",\"ArticlePicture\":[],\"TitleCN\":null,\"AbstractTextCN\":null,\"PMCID\":null,\"EPubDate\":\"2025/2/1 0:00:00\",\"PubModel\":\"eCollection\",\"JCR\":\"Q3\",\"JCRName\":\"ORTHOPEDICS\",\"Score\":null,\"Total\":0}","platform":"Semanticscholar","paperid":null,"PeriodicalName":"Journal of Childrens Orthopaedics","FirstCategoryId":"3","ListUrlMain":"https://doi.org/10.1177/18632521241278166","RegionNum":4,"RegionCategory":"医学","ArticlePicture":[],"TitleCN":null,"AbstractTextCN":null,"PMCID":null,"EPubDate":"2025/2/1 0:00:00","PubModel":"eCollection","JCR":"Q3","JCRName":"ORTHOPEDICS","Score":null,"Total":0}
引用次数: 0

摘要

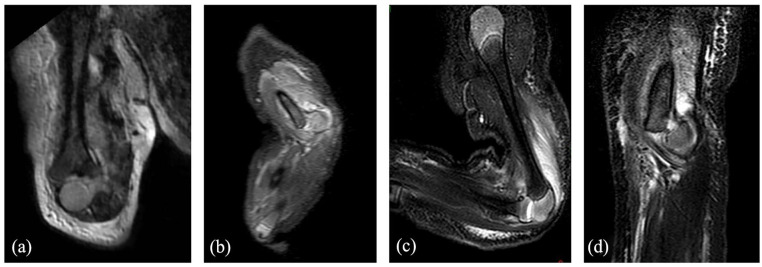
背景:新生儿肱骨远端棘突骨折由于缺乏外侧髁骨化节而经常被误诊为肘关节脱位。对于这些罕见骨折的诊断和治疗尚无共识。本研究旨在分析一系列新生儿肱骨远端骨折。方法:回顾性分析2005年至2020年间因6个月前肱骨远端棘突骨折连续治疗的所有婴儿。分析所有放射学检查(x线,超声和磁共振成像(MRI))以及治疗管理(骨科或手术治疗)。患者在门诊就诊,至少随访2年。结果:9例新生儿得到治疗。主要原因为产科创伤(n = 8)。诊断是在体格检查中作出的,产科部门用标准双平面x线片处理了4例。其余5例在体格检查中怀疑骨折,并通过补充成像(超声(2)、MRI(1)、两者(3))确认骨折。共有6例患者接受保守治疗,3例手术切开复位。在平均79个月的随访中,发生了2例并发症:一例因石膏引起的腋窝脓肿和一例肘内翻畸形。所有儿童的功能都完全恢复。结论:新生儿肱骨远端棘突骨折是一种罕见的疾病,应保守治疗。建议进行额外的影像学检查以明确诊断。证据等级:IV级,队列研究。
本文章由计算机程序翻译,如有差异,请以英文原文为准。

Management of the supposed elbow dislocation in newborns.

Management of the supposed elbow dislocation in newborns.

Management of the supposed elbow dislocation in newborns.

Management of the supposed elbow dislocation in newborns.

Background: The newborn transphyseal fracture of the distal humerus is frequently misdiagnosed with an elbow dislocation due to the absence of the lateral condyle ossification node. No consensus has been reported either for the diagnosis or the management of these rare fractures. This study aimed to analyze a series of newborns with transphyseal distal humerus fractures.

Methods: All consecutive infants treated between 2005 and 2020 for a transphyseal fracture of the distal humerus before the age of 6 months were retrospectively included. All radiological examinations were analyzed (X-ray, ultrasound, and magnetic resonance imaging (MRI)) as well as the therapeutic management (orthopedic or surgical treatment). The patients were seen at outpatient clinic visits with a minimum of 2-year follow-up.

Results: Nine newborns were treated. The main cause was an obstetrical traumatism (n = 8). The diagnosis was made on physical examination and addressed by obstetric departments with standard biplanar radiographs in four cases. The fracture was suspected on physical examination in the remaining five cases and confirmed by complementary imaging (ultrasound (2), MRI (1), and both (3)). A total of six patients were treated conservatively and three surgically with an open reduction. At a mean follow-up of 79 months, two complications occurred: one axillary abscess due to the cast and one cubitus varus deformity. All children had a full functional recovery.

Conclusions: The transphyseal fracture of the distal humerus in newborns is a rare entity that should be managed conservatively. Additional imaging examinations are recommended to clarify the diagnosis.

Level of evidence: Level IV, cohort study.

求助全文
通过发布文献求助,成功后即可免费获取论文全文。 去求助
来源期刊
Journal of Childrens Orthopaedics
Journal of Childrens Orthopaedics Medicine-Orthopedics and Sports Medicine
CiteScore
2.70
自引率
14.30%
发文量
61
审稿时长
23 weeks
期刊介绍: Aims & Scope The Journal of Children’s Orthopaedics is the official journal of the European Paediatric Orthopaedic Society (EPOS) and is published by The British Editorial Society of Bone & Joint Surgery. It provides a forum for the advancement of the knowledge and education in paediatric orthopaedics and traumatology across geographical borders. It advocates an increased worldwide involvement in preventing and treating musculoskeletal diseases in children and adolescents. The journal publishes high quality, peer-reviewed articles that focus on clinical practice, diagnosis and treatment of disorders unique to paediatric orthopaedics, as well as on basic and applied research. It aims to help physicians stay abreast of the latest and ever-changing developments in the field of paediatric orthopaedics and traumatology. The journal welcomes original contributions submitted exclusively for review to the journal. This continuously published online journal is fully open access and will publish one print issue each year to coincide with the EPOS Annual Congress, featuring the meeting’s abstracts.
×
引用
GB/T 7714-2015
复制
MLA
复制
APA
复制
导出至
BibTeX EndNote RefMan NoteFirst NoteExpress
×
提示
您的信息不完整,为了账户安全,请先补充。
现在去补充
×
提示
您因"违规操作"
具体请查看互助需知
我知道了
×
提示
确定
请完成安全验证×
copy
已复制链接
快去分享给好友吧!
我知道了
右上角分享
点击右上角分享
0
联系我们:info@booksci.cn Book学术提供免费学术资源搜索服务,方便国内外学者检索中英文文献。致力于提供最便捷和优质的服务体验。 Copyright © 2023 布克学术 All rights reserved.
京ICP备2023020795号-1
ghs 京公网安备 11010802042870号
Book学术文献互助
Book学术文献互助群
群 号:604180095
Book学术官方微信