原发性单侧肾上腺间变性大细胞淋巴瘤:化疗缓解。

JCEM case reports Pub Date : 2024-12-06 eCollection Date: 2024-12-01 DOI:10.1210/jcemcr/luae229
Daisuke Goto, Yumie Takeshita, Kosuke Nagai, Hisanori Goto, Yujiro Nakano, Toshinari Takamura
{"title":"原发性单侧肾上腺间变性大细胞淋巴瘤:化疗缓解。","authors":"Daisuke Goto, Yumie Takeshita, Kosuke Nagai, Hisanori Goto, Yujiro Nakano, Toshinari Takamura","doi":"10.1210/jcemcr/luae229","DOIUrl":null,"url":null,"abstract":"<p><p>Primary malignant lymphomas originating in the adrenal gland, particularly of T-cell origin, are extremely rare. Here we present the primary unilateral adrenal anaplastic large cell lymphoma case. A 64-year-old Japanese male initially presented with fatigue and appetite loss. Computed tomography imaging revealed a unilateral adrenal mass with multiorgan invasion, posing challenges in differentiation from adrenal carcinoma. A biopsy from the metastatic site in the right lateral vastus muscle was obtained, and immunohistochemistry revealed that tumor cells were positive for CD30 and CD56 and negative for CD3, CD15, CD20, CD43, perforin, granzyme B, epithelial membrane antigen, and anaplastic lymphoma kinase. Ultimately, the patient was diagnosed with primary unilateral adrenal anaplastic large cell lymphoma. Although he achieved complete response to chemotherapy, he died 4 months after complete response due to cholecystitis and lymphoma recurrence.</p>","PeriodicalId":73540,"journal":{"name":"JCEM case reports","volume":"2 12","pages":"luae229"},"PeriodicalIF":0.0000,"publicationDate":"2024-12-06","publicationTypes":"Journal Article","fieldsOfStudy":null,"isOpenAccess":false,"openAccessPdf":"https://www.ncbi.nlm.nih.gov/pmc/articles/PMC11630779/pdf/","citationCount":"0","resultStr":"{\"title\":\"Primary Unilateral Adrenal Anaplastic Large Cell Lymphoma: Remission by Chemotherapy.\",\"authors\":\"Daisuke Goto, Yumie Takeshita, Kosuke Nagai, Hisanori Goto, Yujiro Nakano, Toshinari Takamura\",\"doi\":\"10.1210/jcemcr/luae229\",\"DOIUrl\":null,\"url\":null,\"abstract\":\"<p><p>Primary malignant lymphomas originating in the adrenal gland, particularly of T-cell origin, are extremely rare. Here we present the primary unilateral adrenal anaplastic large cell lymphoma case. A 64-year-old Japanese male initially presented with fatigue and appetite loss. Computed tomography imaging revealed a unilateral adrenal mass with multiorgan invasion, posing challenges in differentiation from adrenal carcinoma. A biopsy from the metastatic site in the right lateral vastus muscle was obtained, and immunohistochemistry revealed that tumor cells were positive for CD30 and CD56 and negative for CD3, CD15, CD20, CD43, perforin, granzyme B, epithelial membrane antigen, and anaplastic lymphoma kinase. Ultimately, the patient was diagnosed with primary unilateral adrenal anaplastic large cell lymphoma. Although he achieved complete response to chemotherapy, he died 4 months after complete response due to cholecystitis and lymphoma recurrence.</p>\",\"PeriodicalId\":73540,\"journal\":{\"name\":\"JCEM case reports\",\"volume\":\"2 12\",\"pages\":\"luae229\"},\"PeriodicalIF\":0.0000,\"publicationDate\":\"2024-12-06\",\"publicationTypes\":\"Journal Article\",\"fieldsOfStudy\":null,\"isOpenAccess\":false,\"openAccessPdf\":\"https://www.ncbi.nlm.nih.gov/pmc/articles/PMC11630779/pdf/\",\"citationCount\":\"0\",\"resultStr\":null,\"platform\":\"Semanticscholar\",\"paperid\":null,\"PeriodicalName\":\"JCEM case reports\",\"FirstCategoryId\":\"1085\",\"ListUrlMain\":\"https://doi.org/10.1210/jcemcr/luae229\",\"RegionNum\":0,\"RegionCategory\":null,\"ArticlePicture\":[],\"TitleCN\":null,\"AbstractTextCN\":null,\"PMCID\":null,\"EPubDate\":\"2024/12/1 0:00:00\",\"PubModel\":\"eCollection\",\"JCR\":\"\",\"JCRName\":\"\",\"Score\":null,\"Total\":0}","platform":"Semanticscholar","paperid":null,"PeriodicalName":"JCEM case reports","FirstCategoryId":"1085","ListUrlMain":"https://doi.org/10.1210/jcemcr/luae229","RegionNum":0,"RegionCategory":null,"ArticlePicture":[],"TitleCN":null,"AbstractTextCN":null,"PMCID":null,"EPubDate":"2024/12/1 0:00:00","PubModel":"eCollection","JCR":"","JCRName":"","Score":null,"Total":0}
引用次数: 0

摘要

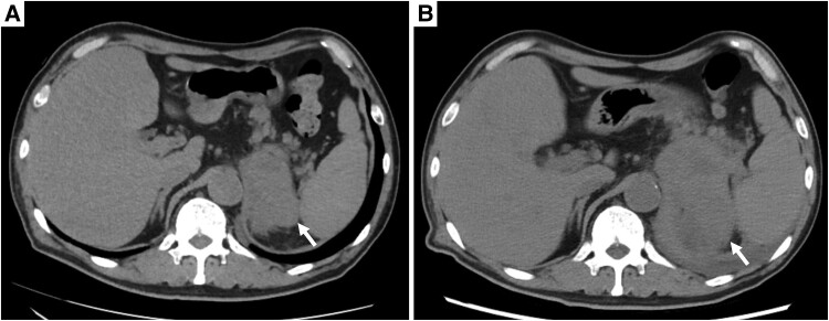
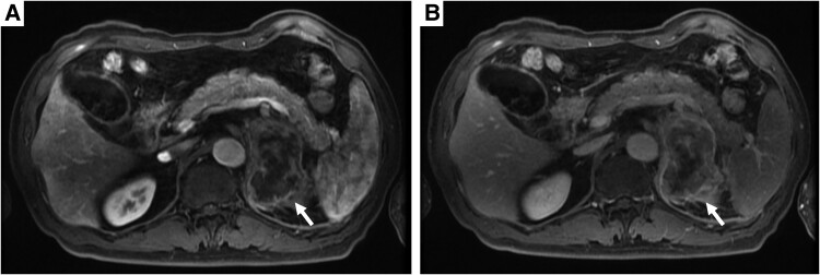
原发性恶性淋巴瘤起源于肾上腺,尤其是起源于t细胞,是非常罕见的。我们报告一例原发性单侧肾上腺间变性大细胞淋巴瘤。一名64岁的日本男性最初表现为疲劳和食欲不振。计算机断层成像显示单侧肾上腺肿块伴多器官侵犯,对肾上腺癌的鉴别提出了挑战。对右外侧股肌转移部位进行活检,免疫组化显示肿瘤细胞CD30和CD56呈阳性,CD3、CD15、CD20、CD43、穿孔素、颗粒酶B、上皮膜抗原和间变性淋巴瘤激酶呈阴性。最终,患者被诊断为原发性单侧肾上腺间变性大细胞淋巴瘤。虽然他对化疗取得了完全缓解,但在完全缓解后4个月,他因胆囊炎和淋巴瘤复发而死亡。
本文章由计算机程序翻译,如有差异,请以英文原文为准。

Primary Unilateral Adrenal Anaplastic Large Cell Lymphoma: Remission by Chemotherapy.

Primary Unilateral Adrenal Anaplastic Large Cell Lymphoma: Remission by Chemotherapy.

Primary Unilateral Adrenal Anaplastic Large Cell Lymphoma: Remission by Chemotherapy.

Primary Unilateral Adrenal Anaplastic Large Cell Lymphoma: Remission by Chemotherapy.

Primary malignant lymphomas originating in the adrenal gland, particularly of T-cell origin, are extremely rare. Here we present the primary unilateral adrenal anaplastic large cell lymphoma case. A 64-year-old Japanese male initially presented with fatigue and appetite loss. Computed tomography imaging revealed a unilateral adrenal mass with multiorgan invasion, posing challenges in differentiation from adrenal carcinoma. A biopsy from the metastatic site in the right lateral vastus muscle was obtained, and immunohistochemistry revealed that tumor cells were positive for CD30 and CD56 and negative for CD3, CD15, CD20, CD43, perforin, granzyme B, epithelial membrane antigen, and anaplastic lymphoma kinase. Ultimately, the patient was diagnosed with primary unilateral adrenal anaplastic large cell lymphoma. Although he achieved complete response to chemotherapy, he died 4 months after complete response due to cholecystitis and lymphoma recurrence.

求助全文
通过发布文献求助,成功后即可免费获取论文全文。 去求助
来源期刊
自引率
0.00%
发文量
0
×
引用
GB/T 7714-2015
复制
MLA
复制
APA
复制
导出至
BibTeX EndNote RefMan NoteFirst NoteExpress
×
提示
您的信息不完整,为了账户安全,请先补充。
现在去补充
×
提示
您因"违规操作"
具体请查看互助需知
我知道了
×
提示
确定
请完成安全验证×
copy
已复制链接
快去分享给好友吧!
我知道了
右上角分享
点击右上角分享
0
联系我们:info@booksci.cn Book学术提供免费学术资源搜索服务,方便国内外学者检索中英文文献。致力于提供最便捷和优质的服务体验。 Copyright © 2023 布克学术 All rights reserved.
京ICP备2023020795号-1
ghs 京公网安备 11010802042870号
Book学术文献互助
Book学术文献互助群
群 号:604180095
Book学术官方微信