有神经症状的骨质疏松性椎体骨折椎体重建中的间接减压:初步病例系列

IF 1.2 Q3 SURGERY
Spine Surgery and Related Research Pub Date : 2024-05-10 eCollection Date: 2024-11-27 DOI:10.22603/ssrr.2024-0013
Yoshinori Morita, Hiroaki Nakashima, Naoki Segi, Sadayuki Ito, Jun Ouchida, Ryotaro Oishi, Ippei Yamauchi, Yuichi Miyairi, Mikito Tsushima, Kenyu Ito, Hiroyuki Tomita, Kazuaki Morishita, Tokumi Kanemura, Shiro Imagama
{"title":"有神经症状的骨质疏松性椎体骨折椎体重建中的间接减压:初步病例系列","authors":"Yoshinori Morita, Hiroaki Nakashima, Naoki Segi, Sadayuki Ito, Jun Ouchida, Ryotaro Oishi, Ippei Yamauchi, Yuichi Miyairi, Mikito Tsushima, Kenyu Ito, Hiroyuki Tomita, Kazuaki Morishita, Tokumi Kanemura, Shiro Imagama","doi":"10.22603/ssrr.2024-0013","DOIUrl":null,"url":null,"abstract":"<p><strong>Introduction: </strong>This study aimed to investigate the clinical and radiological outcome of \"indirect decompression\" using lateral-posterior combined surgery for osteoporotic vertebral fracture (OVF) with neurological symptoms.</p><p><strong>Methods: </strong>A total of 17 patients who underwent lateral and posterior combined indirect decompressive spinal reconstruction (LP-IDR) for single-level OVF with neurological symptoms were included in this study. The neurological symptoms (sensory disturbance and muscle weakness) and imaging findings (local angle and height of the fracture segment and bone fragment occupancy in the spinal canal) were investigated preoperatively, postoperatively, and at the 1-year follow-up.</p><p><strong>Results: </strong>Muscle weakness was observed preoperatively in ten patients. Nine patients had complete recovery of muscle weakness (<i>p</i><0.001), whereas one had residual muscle weakness at the 1-year follow-up. The presence of sensory disturbance was observed in 16 patients preoperatively, and it was significantly reduced to 8 patients at the 1-year follow-up (<i>p</i>=0.003). The bony fragment occupancy rate in the spinal canal was decreased from 44.0% to 40.2% postoperatively (<i>p</i>=0.04) and to 33.1% at 1 year (<i>p</i>=0.002). The local angle was corrected from 8.3° to -2.6° postoperatively (<i>p</i>=0.003) and to 1.2° at 1 year. The local height was corrected from 26.7 to 32.0 mm postoperatively (<i>p</i><0.001) and to 29.8 mm at 1 year.</p><p><strong>Conclusions: </strong>LP-IDR for OVF with neurological symptoms provided sufficient neurological improvement with expansion of the spinal canal over time.</p>","PeriodicalId":22253,"journal":{"name":"Spine Surgery and Related Research","volume":"8 6","pages":"623-630"},"PeriodicalIF":1.2000,"publicationDate":"2024-05-10","publicationTypes":"Journal Article","fieldsOfStudy":null,"isOpenAccess":false,"openAccessPdf":"https://www.ncbi.nlm.nih.gov/pmc/articles/PMC11625716/pdf/","citationCount":"0","resultStr":"{\"title\":\"Indirect Decompression in Vertebral Reconstruction for Osteoporotic Vertebral Fractures with Neurological Symptoms: A Preliminary Case Series.\",\"authors\":\"Yoshinori Morita, Hiroaki Nakashima, Naoki Segi, Sadayuki Ito, Jun Ouchida, Ryotaro Oishi, Ippei Yamauchi, Yuichi Miyairi, Mikito Tsushima, Kenyu Ito, Hiroyuki Tomita, Kazuaki Morishita, Tokumi Kanemura, Shiro Imagama\",\"doi\":\"10.22603/ssrr.2024-0013\",\"DOIUrl\":null,\"url\":null,\"abstract\":\"<p><strong>Introduction: </strong>This study aimed to investigate the clinical and radiological outcome of \\\"indirect decompression\\\" using lateral-posterior combined surgery for osteoporotic vertebral fracture (OVF) with neurological symptoms.</p><p><strong>Methods: </strong>A total of 17 patients who underwent lateral and posterior combined indirect decompressive spinal reconstruction (LP-IDR) for single-level OVF with neurological symptoms were included in this study. The neurological symptoms (sensory disturbance and muscle weakness) and imaging findings (local angle and height of the fracture segment and bone fragment occupancy in the spinal canal) were investigated preoperatively, postoperatively, and at the 1-year follow-up.</p><p><strong>Results: </strong>Muscle weakness was observed preoperatively in ten patients. Nine patients had complete recovery of muscle weakness (<i>p</i><0.001), whereas one had residual muscle weakness at the 1-year follow-up. The presence of sensory disturbance was observed in 16 patients preoperatively, and it was significantly reduced to 8 patients at the 1-year follow-up (<i>p</i>=0.003). The bony fragment occupancy rate in the spinal canal was decreased from 44.0% to 40.2% postoperatively (<i>p</i>=0.04) and to 33.1% at 1 year (<i>p</i>=0.002). The local angle was corrected from 8.3° to -2.6° postoperatively (<i>p</i>=0.003) and to 1.2° at 1 year. The local height was corrected from 26.7 to 32.0 mm postoperatively (<i>p</i><0.001) and to 29.8 mm at 1 year.</p><p><strong>Conclusions: </strong>LP-IDR for OVF with neurological symptoms provided sufficient neurological improvement with expansion of the spinal canal over time.</p>\",\"PeriodicalId\":22253,\"journal\":{\"name\":\"Spine Surgery and Related Research\",\"volume\":\"8 6\",\"pages\":\"623-630\"},\"PeriodicalIF\":1.2000,\"publicationDate\":\"2024-05-10\",\"publicationTypes\":\"Journal Article\",\"fieldsOfStudy\":null,\"isOpenAccess\":false,\"openAccessPdf\":\"https://www.ncbi.nlm.nih.gov/pmc/articles/PMC11625716/pdf/\",\"citationCount\":\"0\",\"resultStr\":null,\"platform\":\"Semanticscholar\",\"paperid\":null,\"PeriodicalName\":\"Spine Surgery and Related Research\",\"FirstCategoryId\":\"1085\",\"ListUrlMain\":\"https://doi.org/10.22603/ssrr.2024-0013\",\"RegionNum\":0,\"RegionCategory\":null,\"ArticlePicture\":[],\"TitleCN\":null,\"AbstractTextCN\":null,\"PMCID\":null,\"EPubDate\":\"2024/11/27 0:00:00\",\"PubModel\":\"eCollection\",\"JCR\":\"Q3\",\"JCRName\":\"SURGERY\",\"Score\":null,\"Total\":0}","platform":"Semanticscholar","paperid":null,"PeriodicalName":"Spine Surgery and Related Research","FirstCategoryId":"1085","ListUrlMain":"https://doi.org/10.22603/ssrr.2024-0013","RegionNum":0,"RegionCategory":null,"ArticlePicture":[],"TitleCN":null,"AbstractTextCN":null,"PMCID":null,"EPubDate":"2024/11/27 0:00:00","PubModel":"eCollection","JCR":"Q3","JCRName":"SURGERY","Score":null,"Total":0}
引用次数: 0

摘要

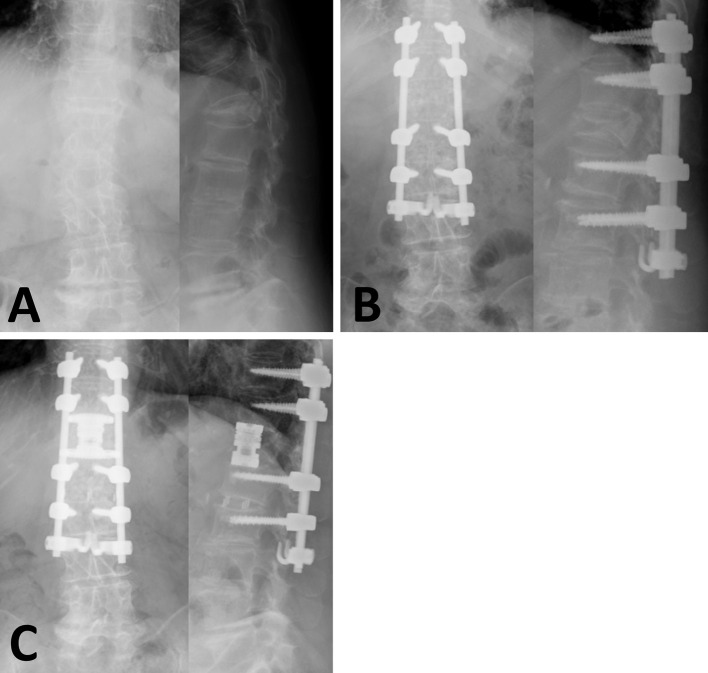
简介:本研究旨在探讨采用侧后路联合手术“间接减压”治疗伴有神经系统症状的骨质疏松性椎体骨折(OVF)的临床和影像学结果。方法:选取17例伴有神经系统症状的单节段OVF患者行侧后路联合间接减压脊柱重建术(LP-IDR)。术前、术后及1年随访时观察神经学症状(感觉障碍、肌肉无力)及影像学表现(骨折段局部角度、高度及骨碎片在椎管内的占用情况)。结果:10例患者术前出现肌肉无力。9例患者肌肉无力完全恢复(pp=0.003)。椎管内骨碎片占用率从术后44.0%降至40.2% (p=0.04), 1年后降至33.1% (p=0.002)。术后局部角度由8.3°矫正至-2.6°(p=0.003), 1年后矫正至1.2°。术后局部高度从26.7 mm矫正到32.0 mm(结论:LP-IDR治疗伴有神经症状的OVF,随着时间的推移,椎管扩张,神经系统得到了充分的改善。
本文章由计算机程序翻译,如有差异,请以英文原文为准。

Indirect Decompression in Vertebral Reconstruction for Osteoporotic Vertebral Fractures with Neurological Symptoms: A Preliminary Case Series.

Indirect Decompression in Vertebral Reconstruction for Osteoporotic Vertebral Fractures with Neurological Symptoms: A Preliminary Case Series.

Indirect Decompression in Vertebral Reconstruction for Osteoporotic Vertebral Fractures with Neurological Symptoms: A Preliminary Case Series.

Indirect Decompression in Vertebral Reconstruction for Osteoporotic Vertebral Fractures with Neurological Symptoms: A Preliminary Case Series.

Introduction: This study aimed to investigate the clinical and radiological outcome of "indirect decompression" using lateral-posterior combined surgery for osteoporotic vertebral fracture (OVF) with neurological symptoms.

Methods: A total of 17 patients who underwent lateral and posterior combined indirect decompressive spinal reconstruction (LP-IDR) for single-level OVF with neurological symptoms were included in this study. The neurological symptoms (sensory disturbance and muscle weakness) and imaging findings (local angle and height of the fracture segment and bone fragment occupancy in the spinal canal) were investigated preoperatively, postoperatively, and at the 1-year follow-up.

Results: Muscle weakness was observed preoperatively in ten patients. Nine patients had complete recovery of muscle weakness (p<0.001), whereas one had residual muscle weakness at the 1-year follow-up. The presence of sensory disturbance was observed in 16 patients preoperatively, and it was significantly reduced to 8 patients at the 1-year follow-up (p=0.003). The bony fragment occupancy rate in the spinal canal was decreased from 44.0% to 40.2% postoperatively (p=0.04) and to 33.1% at 1 year (p=0.002). The local angle was corrected from 8.3° to -2.6° postoperatively (p=0.003) and to 1.2° at 1 year. The local height was corrected from 26.7 to 32.0 mm postoperatively (p<0.001) and to 29.8 mm at 1 year.

Conclusions: LP-IDR for OVF with neurological symptoms provided sufficient neurological improvement with expansion of the spinal canal over time.

求助全文
通过发布文献求助,成功后即可免费获取论文全文。 去求助
来源期刊
CiteScore
1.80
自引率
0.00%
发文量
71
审稿时长
15 weeks
×
引用
GB/T 7714-2015
复制
MLA
复制
APA
复制
导出至
BibTeX EndNote RefMan NoteFirst NoteExpress
×
提示
您的信息不完整,为了账户安全,请先补充。
现在去补充
×
提示
您因"违规操作"
具体请查看互助需知
我知道了
×
提示
确定
请完成安全验证×
copy
已复制链接
快去分享给好友吧!
我知道了
右上角分享
点击右上角分享
0
联系我们:info@booksci.cn Book学术提供免费学术资源搜索服务,方便国内外学者检索中英文文献。致力于提供最便捷和优质的服务体验。 Copyright © 2023 布克学术 All rights reserved.
京ICP备2023020795号-1
ghs 京公网安备 11010802042870号
Book学术文献互助
Book学术文献互助群
群 号:604180095
Book学术官方微信