肺减容:手术还是支气管内瓣膜。

IF 3.4 Q2 RESPIRATORY SYSTEM
Breathe Pub Date : 2024-12-10 eCollection Date: 2024-10-01 DOI:10.1183/20734735.0107-2024
Laurens J Ceulemans, Dorina Esendagli, Giuseppe Cardillo, Marcello Migliore
{"title":"肺减容:手术还是支气管内瓣膜。","authors":"Laurens J Ceulemans, Dorina Esendagli, Giuseppe Cardillo, Marcello Migliore","doi":"10.1183/20734735.0107-2024","DOIUrl":null,"url":null,"abstract":"<p><p>Volume reduction is a disease-modifying treatment that aims to reshape the diseased lung towards a more normal total lung capacity by removing severely damaged and overinflated lung parenchyma. It is an effective therapeutic strategy in well-selected patients, resulting in improvements in exercise tolerance, lung function, quality of life and survival. The most widespread strategies for volume reduction are either video-assisted thoracoscopic surgery or bronchoscopic lung volume reduction. It is crucial to decide which approach would be more suitable for specific patients, as this is related to the outcome of the procedure. Factors like emphysema distribution on computed tomography, the presence or absence of collateral ventilation, the patient's pulmonary function tests, a history of other comorbidities and previous interventions might all influence the choice of procedure. It is crucial that this decision is taken by a multidisciplinary expert team to have the best outcome and fewer complications.</p>","PeriodicalId":9292,"journal":{"name":"Breathe","volume":"20 3","pages":"240107"},"PeriodicalIF":3.4000,"publicationDate":"2024-12-10","publicationTypes":"Journal Article","fieldsOfStudy":null,"isOpenAccess":false,"openAccessPdf":"https://www.ncbi.nlm.nih.gov/pmc/articles/PMC11629166/pdf/","citationCount":"0","resultStr":"{\"title\":\"Lung volume reduction: surgery <i>versus</i> endobronchial valves.\",\"authors\":\"Laurens J Ceulemans, Dorina Esendagli, Giuseppe Cardillo, Marcello Migliore\",\"doi\":\"10.1183/20734735.0107-2024\",\"DOIUrl\":null,\"url\":null,\"abstract\":\"<p><p>Volume reduction is a disease-modifying treatment that aims to reshape the diseased lung towards a more normal total lung capacity by removing severely damaged and overinflated lung parenchyma. It is an effective therapeutic strategy in well-selected patients, resulting in improvements in exercise tolerance, lung function, quality of life and survival. The most widespread strategies for volume reduction are either video-assisted thoracoscopic surgery or bronchoscopic lung volume reduction. It is crucial to decide which approach would be more suitable for specific patients, as this is related to the outcome of the procedure. Factors like emphysema distribution on computed tomography, the presence or absence of collateral ventilation, the patient's pulmonary function tests, a history of other comorbidities and previous interventions might all influence the choice of procedure. It is crucial that this decision is taken by a multidisciplinary expert team to have the best outcome and fewer complications.</p>\",\"PeriodicalId\":9292,\"journal\":{\"name\":\"Breathe\",\"volume\":\"20 3\",\"pages\":\"240107\"},\"PeriodicalIF\":3.4000,\"publicationDate\":\"2024-12-10\",\"publicationTypes\":\"Journal Article\",\"fieldsOfStudy\":null,\"isOpenAccess\":false,\"openAccessPdf\":\"https://www.ncbi.nlm.nih.gov/pmc/articles/PMC11629166/pdf/\",\"citationCount\":\"0\",\"resultStr\":null,\"platform\":\"Semanticscholar\",\"paperid\":null,\"PeriodicalName\":\"Breathe\",\"FirstCategoryId\":\"1085\",\"ListUrlMain\":\"https://doi.org/10.1183/20734735.0107-2024\",\"RegionNum\":0,\"RegionCategory\":null,\"ArticlePicture\":[],\"TitleCN\":null,\"AbstractTextCN\":null,\"PMCID\":null,\"EPubDate\":\"2024/10/1 0:00:00\",\"PubModel\":\"eCollection\",\"JCR\":\"Q2\",\"JCRName\":\"RESPIRATORY SYSTEM\",\"Score\":null,\"Total\":0}","platform":"Semanticscholar","paperid":null,"PeriodicalName":"Breathe","FirstCategoryId":"1085","ListUrlMain":"https://doi.org/10.1183/20734735.0107-2024","RegionNum":0,"RegionCategory":null,"ArticlePicture":[],"TitleCN":null,"AbstractTextCN":null,"PMCID":null,"EPubDate":"2024/10/1 0:00:00","PubModel":"eCollection","JCR":"Q2","JCRName":"RESPIRATORY SYSTEM","Score":null,"Total":0}
引用次数: 0

摘要

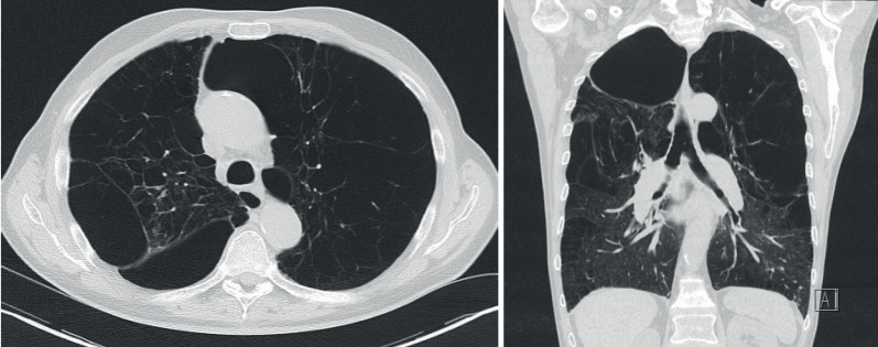
体积缩小是一种疾病修饰治疗,旨在通过去除严重受损和过度膨胀的肺实质,重塑患病肺,使其达到更正常的肺总容量。在精心挑选的患者中,它是一种有效的治疗策略,可以改善运动耐量、肺功能、生活质量和生存率。最广泛的减容策略是电视胸腔镜手术或支气管镜肺减容。决定哪种方法更适合特定的患者是至关重要的,因为这关系到手术的结果。计算机断层扫描上的肺气肿分布、有无侧支通气、患者肺功能检查、其他合并症史和既往干预等因素都可能影响手术的选择。这是至关重要的,这个决定是由一个多学科的专家团队做出的,以获得最好的结果和更少的并发症。
本文章由计算机程序翻译,如有差异,请以英文原文为准。

Lung volume reduction: surgery <i>versus</i> endobronchial valves.

Lung volume reduction: surgery <i>versus</i> endobronchial valves.

Lung volume reduction: surgery <i>versus</i> endobronchial valves.

Lung volume reduction: surgery versus endobronchial valves.

Volume reduction is a disease-modifying treatment that aims to reshape the diseased lung towards a more normal total lung capacity by removing severely damaged and overinflated lung parenchyma. It is an effective therapeutic strategy in well-selected patients, resulting in improvements in exercise tolerance, lung function, quality of life and survival. The most widespread strategies for volume reduction are either video-assisted thoracoscopic surgery or bronchoscopic lung volume reduction. It is crucial to decide which approach would be more suitable for specific patients, as this is related to the outcome of the procedure. Factors like emphysema distribution on computed tomography, the presence or absence of collateral ventilation, the patient's pulmonary function tests, a history of other comorbidities and previous interventions might all influence the choice of procedure. It is crucial that this decision is taken by a multidisciplinary expert team to have the best outcome and fewer complications.

求助全文
通过发布文献求助,成功后即可免费获取论文全文。 去求助
来源期刊
Breathe
Breathe RESPIRATORY SYSTEM-
CiteScore
2.90
自引率
5.00%
发文量
51
审稿时长
12 weeks
×
引用
GB/T 7714-2015
复制
MLA
复制
APA
复制
导出至
BibTeX EndNote RefMan NoteFirst NoteExpress
×
提示
您的信息不完整,为了账户安全,请先补充。
现在去补充
×
提示
您因"违规操作"
具体请查看互助需知
我知道了
×
提示
确定
请完成安全验证×
copy
已复制链接
快去分享给好友吧!
我知道了
右上角分享
点击右上角分享
0
联系我们:info@booksci.cn Book学术提供免费学术资源搜索服务,方便国内外学者检索中英文文献。致力于提供最便捷和优质的服务体验。 Copyright © 2023 布克学术 All rights reserved.
京ICP备2023020795号-1
ghs 京公网安备 11010802042870号
Book学术文献互助
Book学术文献互助群
群 号:604180095
Book学术官方微信