先天性高胰岛素血症的重氮氧化物中毒:病例报告。

Roberta Pajno, Camilla Visconti, Carmen Bucolo, Maria Pia Guarneri, Paolo Del Barba, Paolo Silvani, Marco Gregnanin, Graziano Barera
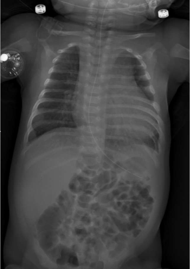
{"title":"先天性高胰岛素血症的重氮氧化物中毒:病例报告。","authors":"Roberta Pajno, Camilla Visconti, Carmen Bucolo, Maria Pia Guarneri, Paolo Del Barba, Paolo Silvani, Marco Gregnanin, Graziano Barera","doi":"10.5409/wjcp.v13.i4.94156","DOIUrl":null,"url":null,"abstract":"<p><strong>Background: </strong>Diazoxide is the sole approved drug for congenital hyperinsulinism; however, diuretic administration and vigilant monitoring are crucial to prevent and promptly identify potentially life-threatening adverse effects. This report aims to highlight a seldom-considered rare side effect of diazoxide. We believe that this brief report is of general interest to <i>World Journal of Clinical Pediatric</i> readership and increase the physicians' awareness of the guideline importance. Moreover, it underlines the importance of stopping immediately the drug if suspected side effects.</p><p><strong>Case summary: </strong>The manuscript describes a patient diagnosed with congenital hyperinsulinism (CHI) treated with diazoxide not overlapping with diuretic. He resulted in sudden respiratory distress and therefore was transferred to the Neonatal Intensive Care Unit. The cardiological evaluation showed pericardial effusion and left ventricular myocardial hypertrophy, absent before. In suspicion of an iatrogenic effect of diazoxide it was progressively reduced until stop while introducing diuretic treatment, with resolution of symptoms. Once clinically stabilized, an 18 fluoro-diydroxy-phenylalanine positron emission tomography/computed tomography (PET/CT) was performed to differentiate between a focal or diffuse form of CHI. The PET/CT highlighted the presence of a single focal accumulation of the tracer located in the pancreatic tail, consistent with a focal form of hyperinsulinism. At the age of four months, the patient underwent a distal pancreatectomy with histological confirmation of a focal form of nesidioblastosis, resulting in a curative operation.</p><p><strong>Conclusion: </strong>Diuretic administration and vigilant monitoring of diazoxide therapy are crucial to prevent and promptly identify potentially life-threatening adverse effects.</p>","PeriodicalId":75338,"journal":{"name":"World journal of clinical pediatrics","volume":"13 4","pages":"94156"},"PeriodicalIF":0.0000,"publicationDate":"2024-12-09","publicationTypes":"Journal Article","fieldsOfStudy":null,"isOpenAccess":false,"openAccessPdf":"https://www.ncbi.nlm.nih.gov/pmc/articles/PMC11572624/pdf/","citationCount":"0","resultStr":"{\"title\":\"Diazoxide toxicity in congenital hyperinsulinism: A case report.\",\"authors\":\"Roberta Pajno, Camilla Visconti, Carmen Bucolo, Maria Pia Guarneri, Paolo Del Barba, Paolo Silvani, Marco Gregnanin, Graziano Barera\",\"doi\":\"10.5409/wjcp.v13.i4.94156\",\"DOIUrl\":null,\"url\":null,\"abstract\":\"<p><strong>Background: </strong>Diazoxide is the sole approved drug for congenital hyperinsulinism; however, diuretic administration and vigilant monitoring are crucial to prevent and promptly identify potentially life-threatening adverse effects. This report aims to highlight a seldom-considered rare side effect of diazoxide. We believe that this brief report is of general interest to <i>World Journal of Clinical Pediatric</i> readership and increase the physicians' awareness of the guideline importance. Moreover, it underlines the importance of stopping immediately the drug if suspected side effects.</p><p><strong>Case summary: </strong>The manuscript describes a patient diagnosed with congenital hyperinsulinism (CHI) treated with diazoxide not overlapping with diuretic. He resulted in sudden respiratory distress and therefore was transferred to the Neonatal Intensive Care Unit. The cardiological evaluation showed pericardial effusion and left ventricular myocardial hypertrophy, absent before. In suspicion of an iatrogenic effect of diazoxide it was progressively reduced until stop while introducing diuretic treatment, with resolution of symptoms. Once clinically stabilized, an 18 fluoro-diydroxy-phenylalanine positron emission tomography/computed tomography (PET/CT) was performed to differentiate between a focal or diffuse form of CHI. The PET/CT highlighted the presence of a single focal accumulation of the tracer located in the pancreatic tail, consistent with a focal form of hyperinsulinism. At the age of four months, the patient underwent a distal pancreatectomy with histological confirmation of a focal form of nesidioblastosis, resulting in a curative operation.</p><p><strong>Conclusion: </strong>Diuretic administration and vigilant monitoring of diazoxide therapy are crucial to prevent and promptly identify potentially life-threatening adverse effects.</p>\",\"PeriodicalId\":75338,\"journal\":{\"name\":\"World journal of clinical pediatrics\",\"volume\":\"13 4\",\"pages\":\"94156\"},\"PeriodicalIF\":0.0000,\"publicationDate\":\"2024-12-09\",\"publicationTypes\":\"Journal Article\",\"fieldsOfStudy\":null,\"isOpenAccess\":false,\"openAccessPdf\":\"https://www.ncbi.nlm.nih.gov/pmc/articles/PMC11572624/pdf/\",\"citationCount\":\"0\",\"resultStr\":null,\"platform\":\"Semanticscholar\",\"paperid\":null,\"PeriodicalName\":\"World journal of clinical pediatrics\",\"FirstCategoryId\":\"1085\",\"ListUrlMain\":\"https://doi.org/10.5409/wjcp.v13.i4.94156\",\"RegionNum\":0,\"RegionCategory\":null,\"ArticlePicture\":[],\"TitleCN\":null,\"AbstractTextCN\":null,\"PMCID\":null,\"EPubDate\":\"\",\"PubModel\":\"\",\"JCR\":\"\",\"JCRName\":\"\",\"Score\":null,\"Total\":0}","platform":"Semanticscholar","paperid":null,"PeriodicalName":"World journal of clinical pediatrics","FirstCategoryId":"1085","ListUrlMain":"https://doi.org/10.5409/wjcp.v13.i4.94156","RegionNum":0,"RegionCategory":null,"ArticlePicture":[],"TitleCN":null,"AbstractTextCN":null,"PMCID":null,"EPubDate":"","PubModel":"","JCR":"","JCRName":"","Score":null,"Total":0}
引用次数: 0

摘要

背景:地佐氧是唯一获准用于治疗先天性高胰岛素血症的药物;然而,利尿剂的使用和警惕性监测对于预防和及时发现可能危及生命的不良反应至关重要。本报告旨在强调二氮醇的一种很少被考虑的罕见副作用。我们相信,这份简短的报告会引起《世界临床儿科杂志》读者的普遍兴趣,并提高医生对指南重要性的认识。病例摘要:手稿描述了一名被诊断为先天性胰岛素分泌过多症(CHI)的患者,他在使用二氮醇治疗的同时并未同时使用利尿剂。他突然出现呼吸窘迫,因此被转入新生儿重症监护室。心脏病学评估显示心包积液和左心室心肌肥厚,而这在以前是不存在的。由于怀疑是二氮醇的先天性影响,医生在采用利尿剂治疗的同时,逐渐减少了二氮醇的剂量,直至停药,症状才有所缓解。临床症状稳定后,患者接受了 18 氟-二羟基苯丙氨酸正电子发射断层扫描/计算机断层扫描(PET/CT)检查,以区分是局灶性还是弥漫性心肌缺血。PET/CT 突出显示了位于胰腺尾部的单个示踪剂灶性积聚,与灶性高胰岛素血症一致。四个月大时,患者接受了胰腺远端切除术,组织学证实为局灶性无胰岛细胞增生症,最终手术治愈:结论:利尿剂的使用和对双氮醇治疗的警惕性监测对于预防和及时发现可能危及生命的不良反应至关重要。
本文章由计算机程序翻译,如有差异,请以英文原文为准。

Diazoxide toxicity in congenital hyperinsulinism: A case report.

Diazoxide toxicity in congenital hyperinsulinism: A case report.

Diazoxide toxicity in congenital hyperinsulinism: A case report.

Background: Diazoxide is the sole approved drug for congenital hyperinsulinism; however, diuretic administration and vigilant monitoring are crucial to prevent and promptly identify potentially life-threatening adverse effects. This report aims to highlight a seldom-considered rare side effect of diazoxide. We believe that this brief report is of general interest to World Journal of Clinical Pediatric readership and increase the physicians' awareness of the guideline importance. Moreover, it underlines the importance of stopping immediately the drug if suspected side effects.

Case summary: The manuscript describes a patient diagnosed with congenital hyperinsulinism (CHI) treated with diazoxide not overlapping with diuretic. He resulted in sudden respiratory distress and therefore was transferred to the Neonatal Intensive Care Unit. The cardiological evaluation showed pericardial effusion and left ventricular myocardial hypertrophy, absent before. In suspicion of an iatrogenic effect of diazoxide it was progressively reduced until stop while introducing diuretic treatment, with resolution of symptoms. Once clinically stabilized, an 18 fluoro-diydroxy-phenylalanine positron emission tomography/computed tomography (PET/CT) was performed to differentiate between a focal or diffuse form of CHI. The PET/CT highlighted the presence of a single focal accumulation of the tracer located in the pancreatic tail, consistent with a focal form of hyperinsulinism. At the age of four months, the patient underwent a distal pancreatectomy with histological confirmation of a focal form of nesidioblastosis, resulting in a curative operation.

Conclusion: Diuretic administration and vigilant monitoring of diazoxide therapy are crucial to prevent and promptly identify potentially life-threatening adverse effects.

求助全文
通过发布文献求助,成功后即可免费获取论文全文。 去求助
来源期刊
CiteScore
3.20
自引率
0.00%
发文量
0
×
引用
GB/T 7714-2015
复制
MLA
复制
APA
复制
导出至
BibTeX EndNote RefMan NoteFirst NoteExpress
×
提示
您的信息不完整,为了账户安全,请先补充。
现在去补充
×
提示
您因"违规操作"
具体请查看互助需知
我知道了
×
提示
确定
请完成安全验证×
copy
已复制链接
快去分享给好友吧!
我知道了
右上角分享
点击右上角分享
0
联系我们:info@booksci.cn Book学术提供免费学术资源搜索服务,方便国内外学者检索中英文文献。致力于提供最便捷和优质的服务体验。 Copyright © 2023 布克学术 All rights reserved.
京ICP备2023020795号-1
ghs 京公网安备 11010802042870号
Book学术文献互助
Book学术文献互助群
群 号:604180095
Book学术官方微信