溃疡性结肠炎肠病性SAPHO综合征对双膦酸盐的反应。

Case Reports in Rheumatology Pub Date : 2024-10-16 eCollection Date: 2024-01-01 DOI:10.1155/2024/3558853
Jordan Phillipps, Sehreen Mumtaz, Jayesh Valecha, Rupert O Stanborough, Florentina Berianu, Ejigayehu Abate, Vikas Majithia
{"title":"溃疡性结肠炎肠病性SAPHO综合征对双膦酸盐的反应。","authors":"Jordan Phillipps, Sehreen Mumtaz, Jayesh Valecha, Rupert O Stanborough, Florentina Berianu, Ejigayehu Abate, Vikas Majithia","doi":"10.1155/2024/3558853","DOIUrl":null,"url":null,"abstract":"<p><p>SAPHO syndrome, a rare inflammatory disorder of bone, joints, and skin, is named based on the presence of synovitis, acne, pustulosis, hyperostosis, and osteitis. The hallmark of SAPHO syndrome includes osteoarticular and dermatologic manifestations, however, rarer associations with inflammatory bowel disease (particularly Crohn's disease) have been documented. The literature on the relationship between SAPHO syndrome and inflammatory bowel disease (IBD), especially ulcerative colitis (UC), remains limited. We report an unusual case of SAPHO syndrome in a patient with UC. Chest x-ray and MRI showed enlargement of the right first rib and adjacent sternum. Bone scintigraphy revealed hyperostosis and ankylosis of the costochondral junction, and bone biopsy revealed reactive bone and costal cartilage without findings of infection or malignancy. Complete resolution of symptoms was achieved 4 months after starting zoledronic acid without significant adverse events. The diagnosis of SAPHO syndrome in IBD patients is rare, even more so in UC patients, likely attributable to underdiagnosis given the clinical heterogeneity of SAPHO syndrome and overlap with the extra-intestinal manifestation of IBD. Our treatment approach provides critical data to the underreported literature on diagnosis and managing SAPHO syndrome in UC.</p>","PeriodicalId":9622,"journal":{"name":"Case Reports in Rheumatology","volume":"2024 ","pages":"3558853"},"PeriodicalIF":0.0000,"publicationDate":"2024-10-16","publicationTypes":"Journal Article","fieldsOfStudy":null,"isOpenAccess":false,"openAccessPdf":"https://www.ncbi.nlm.nih.gov/pmc/articles/PMC11625086/pdf/","citationCount":"0","resultStr":"{\"title\":\"Enteropathic SAPHO Syndrome in Ulcerative Colitis Responsive to Bisphosphonates.\",\"authors\":\"Jordan Phillipps, Sehreen Mumtaz, Jayesh Valecha, Rupert O Stanborough, Florentina Berianu, Ejigayehu Abate, Vikas Majithia\",\"doi\":\"10.1155/2024/3558853\",\"DOIUrl\":null,\"url\":null,\"abstract\":\"<p><p>SAPHO syndrome, a rare inflammatory disorder of bone, joints, and skin, is named based on the presence of synovitis, acne, pustulosis, hyperostosis, and osteitis. The hallmark of SAPHO syndrome includes osteoarticular and dermatologic manifestations, however, rarer associations with inflammatory bowel disease (particularly Crohn's disease) have been documented. The literature on the relationship between SAPHO syndrome and inflammatory bowel disease (IBD), especially ulcerative colitis (UC), remains limited. We report an unusual case of SAPHO syndrome in a patient with UC. Chest x-ray and MRI showed enlargement of the right first rib and adjacent sternum. Bone scintigraphy revealed hyperostosis and ankylosis of the costochondral junction, and bone biopsy revealed reactive bone and costal cartilage without findings of infection or malignancy. Complete resolution of symptoms was achieved 4 months after starting zoledronic acid without significant adverse events. The diagnosis of SAPHO syndrome in IBD patients is rare, even more so in UC patients, likely attributable to underdiagnosis given the clinical heterogeneity of SAPHO syndrome and overlap with the extra-intestinal manifestation of IBD. Our treatment approach provides critical data to the underreported literature on diagnosis and managing SAPHO syndrome in UC.</p>\",\"PeriodicalId\":9622,\"journal\":{\"name\":\"Case Reports in Rheumatology\",\"volume\":\"2024 \",\"pages\":\"3558853\"},\"PeriodicalIF\":0.0000,\"publicationDate\":\"2024-10-16\",\"publicationTypes\":\"Journal Article\",\"fieldsOfStudy\":null,\"isOpenAccess\":false,\"openAccessPdf\":\"https://www.ncbi.nlm.nih.gov/pmc/articles/PMC11625086/pdf/\",\"citationCount\":\"0\",\"resultStr\":null,\"platform\":\"Semanticscholar\",\"paperid\":null,\"PeriodicalName\":\"Case Reports in Rheumatology\",\"FirstCategoryId\":\"1085\",\"ListUrlMain\":\"https://doi.org/10.1155/2024/3558853\",\"RegionNum\":0,\"RegionCategory\":null,\"ArticlePicture\":[],\"TitleCN\":null,\"AbstractTextCN\":null,\"PMCID\":null,\"EPubDate\":\"2024/1/1 0:00:00\",\"PubModel\":\"eCollection\",\"JCR\":\"\",\"JCRName\":\"\",\"Score\":null,\"Total\":0}","platform":"Semanticscholar","paperid":null,"PeriodicalName":"Case Reports in Rheumatology","FirstCategoryId":"1085","ListUrlMain":"https://doi.org/10.1155/2024/3558853","RegionNum":0,"RegionCategory":null,"ArticlePicture":[],"TitleCN":null,"AbstractTextCN":null,"PMCID":null,"EPubDate":"2024/1/1 0:00:00","PubModel":"eCollection","JCR":"","JCRName":"","Score":null,"Total":0}
引用次数: 0

摘要

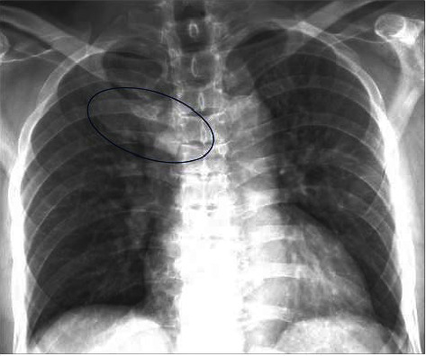
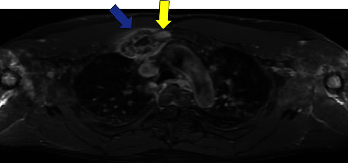
SAPHO综合征是一种罕见的骨、关节和皮肤炎症性疾病,因出现滑膜炎、痤疮、脓疱病、骨质增生和骨炎而得名。SAPHO综合征的标志包括骨关节和皮肤表现,然而,与炎症性肠病(特别是克罗恩病)的罕见关联已被记录。关于SAPHO综合征与炎症性肠病(IBD),特别是溃疡性结肠炎(UC)之间关系的文献仍然有限。我们报告一个不寻常的病例SAPHO综合征患者UC。胸部x线及MRI显示右侧第一肋骨及邻近胸骨肿大。骨显像显示肋软骨连接处骨质增生和强直,骨活检显示骨和肋软骨反应性,未见感染或恶性肿瘤。使用唑来膦酸4个月后症状完全缓解,无明显不良反应。SAPHO综合征在IBD患者中诊断罕见,在UC患者中更是如此,这可能是由于SAPHO综合征的临床异质性以及与IBD的肠外表现重叠导致的漏诊。我们的治疗方法为UC中SAPHO综合征的诊断和治疗文献提供了重要的数据。
本文章由计算机程序翻译,如有差异,请以英文原文为准。

Enteropathic SAPHO Syndrome in Ulcerative Colitis Responsive to Bisphosphonates.

Enteropathic SAPHO Syndrome in Ulcerative Colitis Responsive to Bisphosphonates.

Enteropathic SAPHO Syndrome in Ulcerative Colitis Responsive to Bisphosphonates.

Enteropathic SAPHO Syndrome in Ulcerative Colitis Responsive to Bisphosphonates.

SAPHO syndrome, a rare inflammatory disorder of bone, joints, and skin, is named based on the presence of synovitis, acne, pustulosis, hyperostosis, and osteitis. The hallmark of SAPHO syndrome includes osteoarticular and dermatologic manifestations, however, rarer associations with inflammatory bowel disease (particularly Crohn's disease) have been documented. The literature on the relationship between SAPHO syndrome and inflammatory bowel disease (IBD), especially ulcerative colitis (UC), remains limited. We report an unusual case of SAPHO syndrome in a patient with UC. Chest x-ray and MRI showed enlargement of the right first rib and adjacent sternum. Bone scintigraphy revealed hyperostosis and ankylosis of the costochondral junction, and bone biopsy revealed reactive bone and costal cartilage without findings of infection or malignancy. Complete resolution of symptoms was achieved 4 months after starting zoledronic acid without significant adverse events. The diagnosis of SAPHO syndrome in IBD patients is rare, even more so in UC patients, likely attributable to underdiagnosis given the clinical heterogeneity of SAPHO syndrome and overlap with the extra-intestinal manifestation of IBD. Our treatment approach provides critical data to the underreported literature on diagnosis and managing SAPHO syndrome in UC.

求助全文
通过发布文献求助,成功后即可免费获取论文全文。 去求助
来源期刊
自引率
0.00%
发文量
35
审稿时长
12 weeks
×
引用
GB/T 7714-2015
复制
MLA
复制
APA
复制
导出至
BibTeX EndNote RefMan NoteFirst NoteExpress
×
提示
您的信息不完整,为了账户安全,请先补充。
现在去补充
×
提示
您因"违规操作"
具体请查看互助需知
我知道了
×
提示
确定
请完成安全验证×
copy
已复制链接
快去分享给好友吧!
我知道了
右上角分享
点击右上角分享
0
联系我们:info@booksci.cn Book学术提供免费学术资源搜索服务,方便国内外学者检索中英文文献。致力于提供最便捷和优质的服务体验。 Copyright © 2023 布克学术 All rights reserved.
京ICP备2023020795号-1
ghs 京公网安备 11010802042870号
Book学术文献互助
Book学术文献互助群
群 号:604180095
Book学术官方微信