补充锌治疗伴有牛皮癣样病变的肠病性肢端皮炎。

IF 5.2 Q1 DERMATOLOGY
Psoriasis (Auckland, N.Z.) Pub Date : 2024-11-30 eCollection Date: 2024-01-01 DOI:10.2147/PTT.S494519
Liangzhe Wang, Shuaijun Zou, Yuanjie Zhu
{"title":"补充锌治疗伴有牛皮癣样病变的肠病性肢端皮炎。","authors":"Liangzhe Wang, Shuaijun Zou, Yuanjie Zhu","doi":"10.2147/PTT.S494519","DOIUrl":null,"url":null,"abstract":"<p><p>Acrodermatitis enteropathica (AE) can be caused by inherited or acquired zinc deficiency, among which site-specific skin lesions or even psoriasiform skin manifestations are present. Few cases exist in the literature involving the diagnosis and treatment of AE overlapped with psoriasiform lesions. In this case, we reported a teenage boy presented characteristic site-specific skin lesions of AE with low serum zinc level, subsequently progressed into generalized pustular psoriasiform manifestations under a genetic background, while a rapid recovery was observed after monotherapy of zinc supplementation. Since zinc malabsorption was suspend to be the trigger of both AE and psoriasiform lesions, simply maintaining balanced zinc homeostasis might be a safe and effective treatment for the overlapped manifestations.</p>","PeriodicalId":74589,"journal":{"name":"Psoriasis (Auckland, N.Z.)","volume":"14 ","pages":"175-178"},"PeriodicalIF":5.2000,"publicationDate":"2024-11-30","publicationTypes":"Journal Article","fieldsOfStudy":null,"isOpenAccess":false,"openAccessPdf":"https://www.ncbi.nlm.nih.gov/pmc/articles/PMC11616430/pdf/","citationCount":"0","resultStr":"{\"title\":\"Zinc Supplementation for Acrodermatitis Enteropathica Overlapped with Psoriasiform Lesions.\",\"authors\":\"Liangzhe Wang, Shuaijun Zou, Yuanjie Zhu\",\"doi\":\"10.2147/PTT.S494519\",\"DOIUrl\":null,\"url\":null,\"abstract\":\"<p><p>Acrodermatitis enteropathica (AE) can be caused by inherited or acquired zinc deficiency, among which site-specific skin lesions or even psoriasiform skin manifestations are present. Few cases exist in the literature involving the diagnosis and treatment of AE overlapped with psoriasiform lesions. In this case, we reported a teenage boy presented characteristic site-specific skin lesions of AE with low serum zinc level, subsequently progressed into generalized pustular psoriasiform manifestations under a genetic background, while a rapid recovery was observed after monotherapy of zinc supplementation. Since zinc malabsorption was suspend to be the trigger of both AE and psoriasiform lesions, simply maintaining balanced zinc homeostasis might be a safe and effective treatment for the overlapped manifestations.</p>\",\"PeriodicalId\":74589,\"journal\":{\"name\":\"Psoriasis (Auckland, N.Z.)\",\"volume\":\"14 \",\"pages\":\"175-178\"},\"PeriodicalIF\":5.2000,\"publicationDate\":\"2024-11-30\",\"publicationTypes\":\"Journal Article\",\"fieldsOfStudy\":null,\"isOpenAccess\":false,\"openAccessPdf\":\"https://www.ncbi.nlm.nih.gov/pmc/articles/PMC11616430/pdf/\",\"citationCount\":\"0\",\"resultStr\":null,\"platform\":\"Semanticscholar\",\"paperid\":null,\"PeriodicalName\":\"Psoriasis (Auckland, N.Z.)\",\"FirstCategoryId\":\"1085\",\"ListUrlMain\":\"https://doi.org/10.2147/PTT.S494519\",\"RegionNum\":0,\"RegionCategory\":null,\"ArticlePicture\":[],\"TitleCN\":null,\"AbstractTextCN\":null,\"PMCID\":null,\"EPubDate\":\"2024/1/1 0:00:00\",\"PubModel\":\"eCollection\",\"JCR\":\"Q1\",\"JCRName\":\"DERMATOLOGY\",\"Score\":null,\"Total\":0}","platform":"Semanticscholar","paperid":null,"PeriodicalName":"Psoriasis (Auckland, N.Z.)","FirstCategoryId":"1085","ListUrlMain":"https://doi.org/10.2147/PTT.S494519","RegionNum":0,"RegionCategory":null,"ArticlePicture":[],"TitleCN":null,"AbstractTextCN":null,"PMCID":null,"EPubDate":"2024/1/1 0:00:00","PubModel":"eCollection","JCR":"Q1","JCRName":"DERMATOLOGY","Score":null,"Total":0}
引用次数: 0

摘要

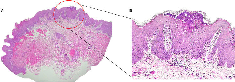
肠病性肢端皮炎(AE)可由遗传性或获得性缺锌引起,其中可出现部位特异性皮肤病变甚至牛皮癣样皮肤表现。文献中很少有病例涉及AE与牛皮癣样病变重叠的诊断和治疗。在这个病例中,我们报告了一个十几岁的男孩表现出特征性的部位特异性皮肤病变,血清锌水平低,随后在遗传背景下发展为广泛性脓疱性牛皮癣样表现,而在单次补锌治疗后观察到快速恢复。由于锌吸收不良被认为是AE和牛皮癣样病变的触发因素,简单地维持平衡的锌稳态可能是一种安全有效的治疗重叠表现的方法。
本文章由计算机程序翻译,如有差异,请以英文原文为准。

Zinc Supplementation for Acrodermatitis Enteropathica Overlapped with Psoriasiform Lesions.

Zinc Supplementation for Acrodermatitis Enteropathica Overlapped with Psoriasiform Lesions.

Zinc Supplementation for Acrodermatitis Enteropathica Overlapped with Psoriasiform Lesions.

Zinc Supplementation for Acrodermatitis Enteropathica Overlapped with Psoriasiform Lesions.

Acrodermatitis enteropathica (AE) can be caused by inherited or acquired zinc deficiency, among which site-specific skin lesions or even psoriasiform skin manifestations are present. Few cases exist in the literature involving the diagnosis and treatment of AE overlapped with psoriasiform lesions. In this case, we reported a teenage boy presented characteristic site-specific skin lesions of AE with low serum zinc level, subsequently progressed into generalized pustular psoriasiform manifestations under a genetic background, while a rapid recovery was observed after monotherapy of zinc supplementation. Since zinc malabsorption was suspend to be the trigger of both AE and psoriasiform lesions, simply maintaining balanced zinc homeostasis might be a safe and effective treatment for the overlapped manifestations.

求助全文
通过发布文献求助,成功后即可免费获取论文全文。 去求助
来源期刊
自引率
0.00%
发文量
0
审稿时长
16 weeks
×
引用
GB/T 7714-2015
复制
MLA
复制
APA
复制
导出至
BibTeX EndNote RefMan NoteFirst NoteExpress
×
提示
您的信息不完整,为了账户安全,请先补充。
现在去补充
×
提示
您因"违规操作"
具体请查看互助需知
我知道了
×
提示
确定
请完成安全验证×
copy
已复制链接
快去分享给好友吧!
我知道了
右上角分享
点击右上角分享
0
联系我们:info@booksci.cn Book学术提供免费学术资源搜索服务,方便国内外学者检索中英文文献。致力于提供最便捷和优质的服务体验。 Copyright © 2023 布克学术 All rights reserved.
京ICP备2023020795号-1
ghs 京公网安备 11010802042870号
Book学术文献互助
Book学术文献互助群
群 号:604180095
Book学术官方微信