唐氏综合征髋部骨折的半关节置换术:回顾性分析5例。

Ahmed Nageeb Mahmoud, John Paul Prodoehl, Maria F Echeverry-Martinez, Daniel S Horwitz
{"title":"唐氏综合征髋部骨折的半关节置换术:回顾性分析5例。","authors":"Ahmed Nageeb Mahmoud, John Paul Prodoehl, Maria F Echeverry-Martinez, Daniel S Horwitz","doi":"10.5371/hp.2024.36.4.281","DOIUrl":null,"url":null,"abstract":"<p><strong>Purpose: </strong>There is limited evidence regarding the outcomes of hip hemiarthroplasty (HA) following trauma in individuals living with Down syndrome (DS). This study aims to summarize the outcomes of hip HA in a series of individuals living with DS following femoral neck fractures.</p><p><strong>Materials and methods: </strong>This retrospective study includes five cases of hip HA in four individuals with DS and displaced femoral neck fractures. Subjects (four males) had a mean age of 49.3 years (range, 26.1-59.7 years) at the time of surgery. All subjects presented with hip pain, loss of weight-bearing ability, and decreased activity level as reported by the subject caregivers. In all cases, the precise time of injury was not known.</p><p><strong>Results: </strong>After a mean follow-up of 15.2 months, all subjects had returned to the pre-injury activity level without any recorded complications. One individual died 32 months after surgery for unrelated causes; the remaining subjects are alive and ambulating without pain at a mean of 24.2 months since the surgery.</p><p><strong>Conclusion: </strong>When treating femoral neck fractures in those living with DS, careful history taking should be performed as regards the timing of trauma and the individual's functional status. Hip HA seems a viable treatment option for those living with DS if a proper surgical procedure is utilized.</p>","PeriodicalId":73239,"journal":{"name":"Hip & pelvis","volume":"36 4","pages":"281-289"},"PeriodicalIF":0.0000,"publicationDate":"2024-12-01","publicationTypes":"Journal Article","fieldsOfStudy":null,"isOpenAccess":false,"openAccessPdf":"https://www.ncbi.nlm.nih.gov/pmc/articles/PMC11638755/pdf/","citationCount":"0","resultStr":"{\"title\":\"Hemiarthroplasty for Hip Fracture in Down Syndrome: A Retrospective Series of Five Cases.\",\"authors\":\"Ahmed Nageeb Mahmoud, John Paul Prodoehl, Maria F Echeverry-Martinez, Daniel S Horwitz\",\"doi\":\"10.5371/hp.2024.36.4.281\",\"DOIUrl\":null,\"url\":null,\"abstract\":\"<p><strong>Purpose: </strong>There is limited evidence regarding the outcomes of hip hemiarthroplasty (HA) following trauma in individuals living with Down syndrome (DS). This study aims to summarize the outcomes of hip HA in a series of individuals living with DS following femoral neck fractures.</p><p><strong>Materials and methods: </strong>This retrospective study includes five cases of hip HA in four individuals with DS and displaced femoral neck fractures. Subjects (four males) had a mean age of 49.3 years (range, 26.1-59.7 years) at the time of surgery. All subjects presented with hip pain, loss of weight-bearing ability, and decreased activity level as reported by the subject caregivers. In all cases, the precise time of injury was not known.</p><p><strong>Results: </strong>After a mean follow-up of 15.2 months, all subjects had returned to the pre-injury activity level without any recorded complications. One individual died 32 months after surgery for unrelated causes; the remaining subjects are alive and ambulating without pain at a mean of 24.2 months since the surgery.</p><p><strong>Conclusion: </strong>When treating femoral neck fractures in those living with DS, careful history taking should be performed as regards the timing of trauma and the individual's functional status. Hip HA seems a viable treatment option for those living with DS if a proper surgical procedure is utilized.</p>\",\"PeriodicalId\":73239,\"journal\":{\"name\":\"Hip & pelvis\",\"volume\":\"36 4\",\"pages\":\"281-289\"},\"PeriodicalIF\":0.0000,\"publicationDate\":\"2024-12-01\",\"publicationTypes\":\"Journal Article\",\"fieldsOfStudy\":null,\"isOpenAccess\":false,\"openAccessPdf\":\"https://www.ncbi.nlm.nih.gov/pmc/articles/PMC11638755/pdf/\",\"citationCount\":\"0\",\"resultStr\":null,\"platform\":\"Semanticscholar\",\"paperid\":null,\"PeriodicalName\":\"Hip & pelvis\",\"FirstCategoryId\":\"1085\",\"ListUrlMain\":\"https://doi.org/10.5371/hp.2024.36.4.281\",\"RegionNum\":0,\"RegionCategory\":null,\"ArticlePicture\":[],\"TitleCN\":null,\"AbstractTextCN\":null,\"PMCID\":null,\"EPubDate\":\"\",\"PubModel\":\"\",\"JCR\":\"\",\"JCRName\":\"\",\"Score\":null,\"Total\":0}","platform":"Semanticscholar","paperid":null,"PeriodicalName":"Hip & pelvis","FirstCategoryId":"1085","ListUrlMain":"https://doi.org/10.5371/hp.2024.36.4.281","RegionNum":0,"RegionCategory":null,"ArticlePicture":[],"TitleCN":null,"AbstractTextCN":null,"PMCID":null,"EPubDate":"","PubModel":"","JCR":"","JCRName":"","Score":null,"Total":0}
引用次数: 0

摘要

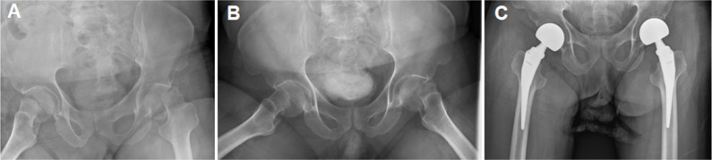
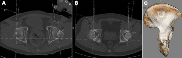
目的:关于唐氏综合征(DS)患者创伤后髋关节置换术(HA)的结果的证据有限。本研究旨在总结一系列股骨颈骨折后退行性椎体滑移患者的髋关节HA治疗结果。材料和方法:本回顾性研究包括4例退行性椎体滑移伴移位性股骨颈骨折的5例髋关节HA。受试者(4名男性)手术时平均年龄49.3岁(范围26.1-59.7岁)。根据受试者护理人员的报告,所有受试者均表现为髋关节疼痛、负重能力丧失和活动水平下降。在所有病例中,受伤的确切时间都不清楚。结果:平均随访15.2个月后,所有受试者均恢复到损伤前活动水平,无任何并发症记录。一例患者在手术后32个月因无关原因死亡;其余受试者存活,术后平均24.2个月无疼痛行走。结论:在治疗退行性椎体滑移患者股骨颈骨折时,应根据创伤时间和个体功能状态仔细记录病史。如果采用适当的外科手术,髋部HA似乎是退行性椎体滑移患者可行的治疗选择。
本文章由计算机程序翻译,如有差异,请以英文原文为准。

Hemiarthroplasty for Hip Fracture in Down Syndrome: A Retrospective Series of Five Cases.

Hemiarthroplasty for Hip Fracture in Down Syndrome: A Retrospective Series of Five Cases.

Hemiarthroplasty for Hip Fracture in Down Syndrome: A Retrospective Series of Five Cases.

Hemiarthroplasty for Hip Fracture in Down Syndrome: A Retrospective Series of Five Cases.

Purpose: There is limited evidence regarding the outcomes of hip hemiarthroplasty (HA) following trauma in individuals living with Down syndrome (DS). This study aims to summarize the outcomes of hip HA in a series of individuals living with DS following femoral neck fractures.

Materials and methods: This retrospective study includes five cases of hip HA in four individuals with DS and displaced femoral neck fractures. Subjects (four males) had a mean age of 49.3 years (range, 26.1-59.7 years) at the time of surgery. All subjects presented with hip pain, loss of weight-bearing ability, and decreased activity level as reported by the subject caregivers. In all cases, the precise time of injury was not known.

Results: After a mean follow-up of 15.2 months, all subjects had returned to the pre-injury activity level without any recorded complications. One individual died 32 months after surgery for unrelated causes; the remaining subjects are alive and ambulating without pain at a mean of 24.2 months since the surgery.

Conclusion: When treating femoral neck fractures in those living with DS, careful history taking should be performed as regards the timing of trauma and the individual's functional status. Hip HA seems a viable treatment option for those living with DS if a proper surgical procedure is utilized.

求助全文
通过发布文献求助,成功后即可免费获取论文全文。 去求助
来源期刊
CiteScore
2.90
自引率
0.00%
发文量
0
×
引用
GB/T 7714-2015
复制
MLA
复制
APA
复制
导出至
BibTeX EndNote RefMan NoteFirst NoteExpress
×
提示
您的信息不完整,为了账户安全,请先补充。
现在去补充
×
提示
您因"违规操作"
具体请查看互助需知
我知道了
×
提示
确定
请完成安全验证×
copy
已复制链接
快去分享给好友吧!
我知道了
右上角分享
点击右上角分享
0
联系我们:info@booksci.cn Book学术提供免费学术资源搜索服务,方便国内外学者检索中英文文献。致力于提供最便捷和优质的服务体验。 Copyright © 2023 布克学术 All rights reserved.
京ICP备2023020795号-1
ghs 京公网安备 11010802042870号
Book学术文献互助
Book学术文献互助群
群 号:604180095
Book学术官方微信