TG-43和TG-186剂量计算算法在腔内近距离串联和卵形涂敷器治疗计划中的比较。

IF 1.1 4区 医学 Q4 ONCOLOGY
Journal of Contemporary Brachytherapy Pub Date : 2024-08-01 Epub Date: 2024-09-12 DOI:10.5114/jcb.2024.143138
Syed Mohamed Shajid, Lalit Mohan Aggarwal, Ankur Mourya, Sunil Choudhary, Gogul Priean V, Ankita Singh, Saji Oommen
{"title":"TG-43和TG-186剂量计算算法在腔内近距离串联和卵形涂敷器治疗计划中的比较。","authors":"Syed Mohamed Shajid, Lalit Mohan Aggarwal, Ankur Mourya, Sunil Choudhary, Gogul Priean V, Ankita Singh, Saji Oommen","doi":"10.5114/jcb.2024.143138","DOIUrl":null,"url":null,"abstract":"<p><strong>Purpose: </strong>The present study evaluated the dosimetric impact and compared the dose variations between the advanced collapsed cone engine (Task Group 186) and Task Group 43 plans for cervical cancer using tandem and ovoid applicators.</p><p><strong>Material and methods: </strong>Thirty cervical cancer patients underwent iridium-192 (<sup>192</sup>Ir) high-dose-rate (HDR) intra-cavitary brachytherapy using tandem and ovoid applicator. Original treatment plans for all patients were created using TG-43 dose calculation formalism. Subsequently, these plans were re-calculated using ACE (TG-186) algorithm and were not re-optimized, so that dwell time and dwell positions were identical in both plans. High-risk clinical target volume and organs at risk were contoured in each dataset. Significant air gaps within region of interest and use of high density applicator materials were also considered. The assessment encompassed a point-based evaluation, extraction of dosimetric parameters from dose-volume histogram (DVH), and plan evaluation indices for each algorithm.</p><p><strong>Results: </strong>Compared with ACE (TG-186) plans, TG-43 plans predicted higher doses for point A, point B, D<sub>90</sub>, D<sub>100</sub>, V<sub>100</sub>, V<sub>150</sub>, V<sub>200</sub>, and V<sub>300</sub> for HR-CTV (<i>p</i> < 0.05). Similarly, TG-43 plans indicated higher doses for bladder point, rectum point, D<sub>0.1cm</sub> <sup>3</sup>, D<sub>10cm</sub> <sup>3</sup>, and D<sub>2cm</sub> <sup>3</sup> for bladder, rectum, and sigmoid (<i>p</i> < 0.05). Additionally, overall plan quality score (PQS) was significantly greater in plans calculated with ACE (TG-186) formalism than in TG-43 plans (<i>p</i> < 0.05). In TG-186 (ACE) plans, gradient index (GI) was found to be lower than that in TG-43 plans (<i>p</i> < 0.05).</p><p><strong>Conclusions: </strong>TG-43 tends to overestimate doses compared with ACE (TG-186); nonetheless, both methods meet clinical standards. Material differences in the applicator are notable, and dose overestimations by TG-43 are within 5%.</p>","PeriodicalId":51305,"journal":{"name":"Journal of Contemporary Brachytherapy","volume":"16 4","pages":"289-296"},"PeriodicalIF":1.1000,"publicationDate":"2024-08-01","publicationTypes":"Journal Article","fieldsOfStudy":null,"isOpenAccess":false,"openAccessPdf":"https://www.ncbi.nlm.nih.gov/pmc/articles/PMC11609851/pdf/","citationCount":"0","resultStr":"{\"title\":\"A comparison of TG-43 and TG-186 dose calculation algorithms for treatment planning of intra-cavitary brachytherapy using tandem and ovoid applicator.\",\"authors\":\"Syed Mohamed Shajid, Lalit Mohan Aggarwal, Ankur Mourya, Sunil Choudhary, Gogul Priean V, Ankita Singh, Saji Oommen\",\"doi\":\"10.5114/jcb.2024.143138\",\"DOIUrl\":null,\"url\":null,\"abstract\":\"<p><strong>Purpose: </strong>The present study evaluated the dosimetric impact and compared the dose variations between the advanced collapsed cone engine (Task Group 186) and Task Group 43 plans for cervical cancer using tandem and ovoid applicators.</p><p><strong>Material and methods: </strong>Thirty cervical cancer patients underwent iridium-192 (<sup>192</sup>Ir) high-dose-rate (HDR) intra-cavitary brachytherapy using tandem and ovoid applicator. Original treatment plans for all patients were created using TG-43 dose calculation formalism. Subsequently, these plans were re-calculated using ACE (TG-186) algorithm and were not re-optimized, so that dwell time and dwell positions were identical in both plans. High-risk clinical target volume and organs at risk were contoured in each dataset. Significant air gaps within region of interest and use of high density applicator materials were also considered. The assessment encompassed a point-based evaluation, extraction of dosimetric parameters from dose-volume histogram (DVH), and plan evaluation indices for each algorithm.</p><p><strong>Results: </strong>Compared with ACE (TG-186) plans, TG-43 plans predicted higher doses for point A, point B, D<sub>90</sub>, D<sub>100</sub>, V<sub>100</sub>, V<sub>150</sub>, V<sub>200</sub>, and V<sub>300</sub> for HR-CTV (<i>p</i> < 0.05). Similarly, TG-43 plans indicated higher doses for bladder point, rectum point, D<sub>0.1cm</sub> <sup>3</sup>, D<sub>10cm</sub> <sup>3</sup>, and D<sub>2cm</sub> <sup>3</sup> for bladder, rectum, and sigmoid (<i>p</i> < 0.05). Additionally, overall plan quality score (PQS) was significantly greater in plans calculated with ACE (TG-186) formalism than in TG-43 plans (<i>p</i> < 0.05). In TG-186 (ACE) plans, gradient index (GI) was found to be lower than that in TG-43 plans (<i>p</i> < 0.05).</p><p><strong>Conclusions: </strong>TG-43 tends to overestimate doses compared with ACE (TG-186); nonetheless, both methods meet clinical standards. Material differences in the applicator are notable, and dose overestimations by TG-43 are within 5%.</p>\",\"PeriodicalId\":51305,\"journal\":{\"name\":\"Journal of Contemporary Brachytherapy\",\"volume\":\"16 4\",\"pages\":\"289-296\"},\"PeriodicalIF\":1.1000,\"publicationDate\":\"2024-08-01\",\"publicationTypes\":\"Journal Article\",\"fieldsOfStudy\":null,\"isOpenAccess\":false,\"openAccessPdf\":\"https://www.ncbi.nlm.nih.gov/pmc/articles/PMC11609851/pdf/\",\"citationCount\":\"0\",\"resultStr\":null,\"platform\":\"Semanticscholar\",\"paperid\":null,\"PeriodicalName\":\"Journal of Contemporary Brachytherapy\",\"FirstCategoryId\":\"3\",\"ListUrlMain\":\"https://doi.org/10.5114/jcb.2024.143138\",\"RegionNum\":4,\"RegionCategory\":\"医学\",\"ArticlePicture\":[],\"TitleCN\":null,\"AbstractTextCN\":null,\"PMCID\":null,\"EPubDate\":\"2024/9/12 0:00:00\",\"PubModel\":\"Epub\",\"JCR\":\"Q4\",\"JCRName\":\"ONCOLOGY\",\"Score\":null,\"Total\":0}","platform":"Semanticscholar","paperid":null,"PeriodicalName":"Journal of Contemporary Brachytherapy","FirstCategoryId":"3","ListUrlMain":"https://doi.org/10.5114/jcb.2024.143138","RegionNum":4,"RegionCategory":"医学","ArticlePicture":[],"TitleCN":null,"AbstractTextCN":null,"PMCID":null,"EPubDate":"2024/9/12 0:00:00","PubModel":"Epub","JCR":"Q4","JCRName":"ONCOLOGY","Score":null,"Total":0}
引用次数: 0

摘要

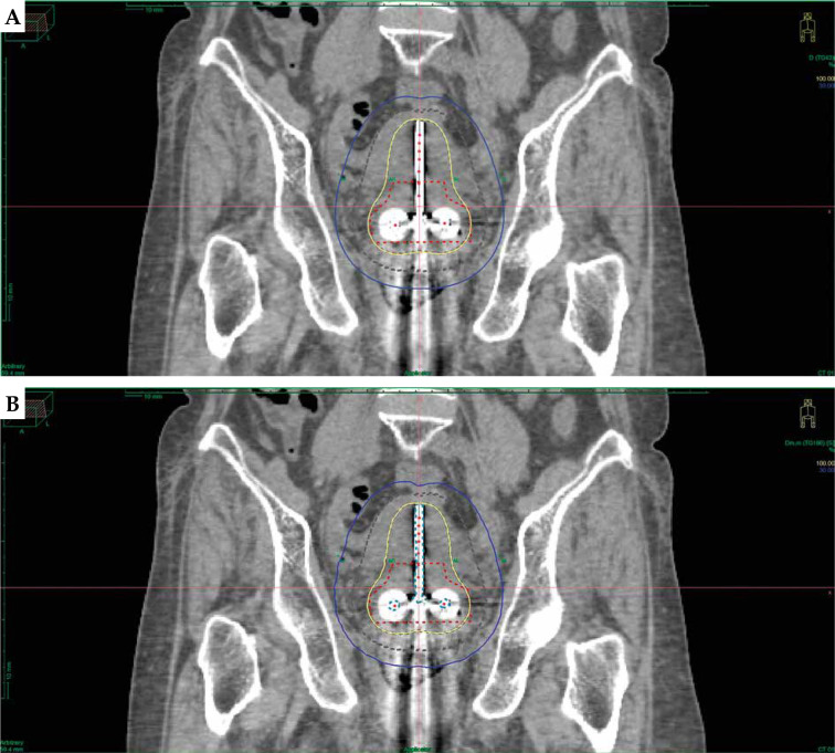
目的:本研究评估了先进塌陷锥发动机(任务组186)和任务组43使用串联和卵形涂抹器治疗宫颈癌的剂量学影响,并比较了剂量变化。材料与方法:30例宫颈癌患者行高剂量率(HDR)铱-192 (192Ir)腔内近距离放射治疗。所有患者的原始治疗方案均采用TG-43剂量计算公式。随后,使用ACE (TG-186)算法重新计算这些方案,不进行重新优化,使两种方案的驻留时间和驻留位置相同。在每个数据集中绘制高危临床靶体积和高危器官的轮廓。还考虑了感兴趣区域内的显著气隙和高密度涂抹器材料的使用。评估包括基于点的评价,从剂量-体积直方图(DVH)中提取剂量学参数,以及每种算法的计划评价指标。结果:与ACE (TG-186)方案相比,TG-43方案对HR-CTV A点、B点、D90、D100、V100、V150、V200、V300的剂量预测较高(p < 0.05)。TG-43方案膀胱点、直肠点、膀胱、直肠、乙状结肠D0.1cm 3、D10cm 3、D2cm 3剂量较高(p < 0.05)。此外,采用ACE (TG-186)形式主义计算方案的总体计划质量评分(PQS)显著高于TG-43方案(p < 0.05)。TG-186 (ACE)组的梯度指数(GI)低于TG-43组(p < 0.05)。结论:与ACE (TG-186)相比,TG-43有高估剂量的倾向;尽管如此,这两种方法都符合临床标准。施用器的材料差异是显著的,TG-43的剂量高估在5%以内。
本文章由计算机程序翻译,如有差异,请以英文原文为准。

A comparison of TG-43 and TG-186 dose calculation algorithms for treatment planning of intra-cavitary brachytherapy using tandem and ovoid applicator.

A comparison of TG-43 and TG-186 dose calculation algorithms for treatment planning of intra-cavitary brachytherapy using tandem and ovoid applicator.

A comparison of TG-43 and TG-186 dose calculation algorithms for treatment planning of intra-cavitary brachytherapy using tandem and ovoid applicator.

Purpose: The present study evaluated the dosimetric impact and compared the dose variations between the advanced collapsed cone engine (Task Group 186) and Task Group 43 plans for cervical cancer using tandem and ovoid applicators.

Material and methods: Thirty cervical cancer patients underwent iridium-192 (192Ir) high-dose-rate (HDR) intra-cavitary brachytherapy using tandem and ovoid applicator. Original treatment plans for all patients were created using TG-43 dose calculation formalism. Subsequently, these plans were re-calculated using ACE (TG-186) algorithm and were not re-optimized, so that dwell time and dwell positions were identical in both plans. High-risk clinical target volume and organs at risk were contoured in each dataset. Significant air gaps within region of interest and use of high density applicator materials were also considered. The assessment encompassed a point-based evaluation, extraction of dosimetric parameters from dose-volume histogram (DVH), and plan evaluation indices for each algorithm.

Results: Compared with ACE (TG-186) plans, TG-43 plans predicted higher doses for point A, point B, D90, D100, V100, V150, V200, and V300 for HR-CTV (p < 0.05). Similarly, TG-43 plans indicated higher doses for bladder point, rectum point, D0.1cm 3, D10cm 3, and D2cm 3 for bladder, rectum, and sigmoid (p < 0.05). Additionally, overall plan quality score (PQS) was significantly greater in plans calculated with ACE (TG-186) formalism than in TG-43 plans (p < 0.05). In TG-186 (ACE) plans, gradient index (GI) was found to be lower than that in TG-43 plans (p < 0.05).

Conclusions: TG-43 tends to overestimate doses compared with ACE (TG-186); nonetheless, both methods meet clinical standards. Material differences in the applicator are notable, and dose overestimations by TG-43 are within 5%.

求助全文
通过发布文献求助,成功后即可免费获取论文全文。 去求助
来源期刊
Journal of Contemporary Brachytherapy
Journal of Contemporary Brachytherapy ONCOLOGY-RADIOLOGY, NUCLEAR MEDICINE & MEDICAL IMAGING
CiteScore
2.40
自引率
14.30%
发文量
54
审稿时长
16 weeks
期刊介绍: The “Journal of Contemporary Brachytherapy” is an international and multidisciplinary journal that will publish papers of original research as well as reviews of articles. Main subjects of the journal include: clinical brachytherapy, combined modality treatment, advances in radiobiology, hyperthermia and tumour biology, as well as physical aspects relevant to brachytherapy, particularly in the field of imaging, dosimetry and radiation therapy planning. Original contributions will include experimental studies of combined modality treatment, tumor sensitization and normal tissue protection, molecular radiation biology, and clinical investigations of cancer treatment in brachytherapy. Another field of interest will be the educational part of the journal.
×
引用
GB/T 7714-2015
复制
MLA
复制
APA
复制
导出至
BibTeX EndNote RefMan NoteFirst NoteExpress
×
提示
您的信息不完整,为了账户安全,请先补充。
现在去补充
×
提示
您因"违规操作"
具体请查看互助需知
我知道了
×
提示
确定
请完成安全验证×
copy
已复制链接
快去分享给好友吧!
我知道了
右上角分享
点击右上角分享
0
联系我们:info@booksci.cn Book学术提供免费学术资源搜索服务,方便国内外学者检索中英文文献。致力于提供最便捷和优质的服务体验。 Copyright © 2023 布克学术 All rights reserved.
京ICP备2023020795号-1
ghs 京公网安备 11010802042870号
Book学术文献互助
Book学术文献互助群
群 号:604180095
Book学术官方微信