在不稳定踝关节骨折的治疗中,与标准管状钢板相比,现代解剖锁定钢板与术后伤口并发症和计划外手术翻修相关:一项595例患者的比较队列研究。

IF 2.1 Q1 SURGERY
Patrick Gahr, Manuel Matthis, Lennart Schleese, Dagmar-C Fischer, Thomas Mittlmeier
{"title":"在不稳定踝关节骨折的治疗中,与标准管状钢板相比,现代解剖锁定钢板与术后伤口并发症和计划外手术翻修相关:一项595例患者的比较队列研究。","authors":"Patrick Gahr, Manuel Matthis, Lennart Schleese, Dagmar-C Fischer, Thomas Mittlmeier","doi":"10.1186/s13037-024-00419-7","DOIUrl":null,"url":null,"abstract":"<p><strong>Background: </strong>The clinical benefit of locking plates in distal fibula fractures has not yet been proven. In addition, the risk of wound complications appears to be higher than with conventional tubular plates. We hypothesize that the benefits of locking plates in terms of biomechanical properties are outweighed by a higher risk of wound complications.</p><p><strong>Methods: </strong>We conducted a retrospective review of fibula fractures treated by osteosynthesis with either a conventional one-third tubular plate or an anatomically shaped locking plate from January 1, 2015 to December 31, 2021. We recorded baseline data and relevant comorbidities and defined the need for revision surgery due to wound-related or mechanical complications as primary endpoints.</p><p><strong>Results: </strong>A total of 595 out of 727 patients were eligible for our study. Of these 595 fractures, 526 were fixed with a one-third tubular plate, 69 with a locking plate. Revision surgery was required in 54 patients, in 51 cases due to wound complications. Three patients required revision surgery for mechanical reasons and all of them were younger than 40 years of age, have not been diagnosed with osteoporosis, but experienced complex fracture types. As the third tubular plate and locking plate groups differed in terms of age and comorbidities, we performed a 2:1 matching based on age and gender, leaving data from 138 patients receiving a third tubular plate. While the two groups were comparable in many aspects, the rate of wound complications was significantly higher in the locking plate group. Although the locking plate group had a higher percentage of diabetes mellitus, there was no correlation between this comorbidity and the higher revision rate in this group.</p><p><strong>Conclusions: </strong>Our data do not support the general use of locking plates in the treatment of distal fibular fractures. The risk of mechanical complications in osteoporotic ankle fractures seems to be overrated, as there were no mechanical revisions in the osteoporotic subgroup. The rate of wound-related revision surgery was significantly higher after the use of locking plates. This might be attributed to the greater thickness of locking plates.</p>","PeriodicalId":46782,"journal":{"name":"Patient Safety in Surgery","volume":"18 1","pages":"33"},"PeriodicalIF":2.1000,"publicationDate":"2024-12-03","publicationTypes":"Journal Article","fieldsOfStudy":null,"isOpenAccess":false,"openAccessPdf":"https://www.ncbi.nlm.nih.gov/pmc/articles/PMC11613479/pdf/","citationCount":"0","resultStr":"{\"title\":\"Modern anatomical locking plates are associated with increased postoperative wound complications and unplanned surgical revisions compared to standard tubular plates in the management of unstable ankle fractures: a comparative cohort study in 595 patients.\",\"authors\":\"Patrick Gahr, Manuel Matthis, Lennart Schleese, Dagmar-C Fischer, Thomas Mittlmeier\",\"doi\":\"10.1186/s13037-024-00419-7\",\"DOIUrl\":null,\"url\":null,\"abstract\":\"<p><strong>Background: </strong>The clinical benefit of locking plates in distal fibula fractures has not yet been proven. In addition, the risk of wound complications appears to be higher than with conventional tubular plates. We hypothesize that the benefits of locking plates in terms of biomechanical properties are outweighed by a higher risk of wound complications.</p><p><strong>Methods: </strong>We conducted a retrospective review of fibula fractures treated by osteosynthesis with either a conventional one-third tubular plate or an anatomically shaped locking plate from January 1, 2015 to December 31, 2021. We recorded baseline data and relevant comorbidities and defined the need for revision surgery due to wound-related or mechanical complications as primary endpoints.</p><p><strong>Results: </strong>A total of 595 out of 727 patients were eligible for our study. Of these 595 fractures, 526 were fixed with a one-third tubular plate, 69 with a locking plate. Revision surgery was required in 54 patients, in 51 cases due to wound complications. Three patients required revision surgery for mechanical reasons and all of them were younger than 40 years of age, have not been diagnosed with osteoporosis, but experienced complex fracture types. As the third tubular plate and locking plate groups differed in terms of age and comorbidities, we performed a 2:1 matching based on age and gender, leaving data from 138 patients receiving a third tubular plate. While the two groups were comparable in many aspects, the rate of wound complications was significantly higher in the locking plate group. Although the locking plate group had a higher percentage of diabetes mellitus, there was no correlation between this comorbidity and the higher revision rate in this group.</p><p><strong>Conclusions: </strong>Our data do not support the general use of locking plates in the treatment of distal fibular fractures. The risk of mechanical complications in osteoporotic ankle fractures seems to be overrated, as there were no mechanical revisions in the osteoporotic subgroup. The rate of wound-related revision surgery was significantly higher after the use of locking plates. This might be attributed to the greater thickness of locking plates.</p>\",\"PeriodicalId\":46782,\"journal\":{\"name\":\"Patient Safety in Surgery\",\"volume\":\"18 1\",\"pages\":\"33\"},\"PeriodicalIF\":2.1000,\"publicationDate\":\"2024-12-03\",\"publicationTypes\":\"Journal Article\",\"fieldsOfStudy\":null,\"isOpenAccess\":false,\"openAccessPdf\":\"https://www.ncbi.nlm.nih.gov/pmc/articles/PMC11613479/pdf/\",\"citationCount\":\"0\",\"resultStr\":null,\"platform\":\"Semanticscholar\",\"paperid\":null,\"PeriodicalName\":\"Patient Safety in Surgery\",\"FirstCategoryId\":\"1085\",\"ListUrlMain\":\"https://doi.org/10.1186/s13037-024-00419-7\",\"RegionNum\":0,\"RegionCategory\":null,\"ArticlePicture\":[],\"TitleCN\":null,\"AbstractTextCN\":null,\"PMCID\":null,\"EPubDate\":\"\",\"PubModel\":\"\",\"JCR\":\"Q1\",\"JCRName\":\"SURGERY\",\"Score\":null,\"Total\":0}","platform":"Semanticscholar","paperid":null,"PeriodicalName":"Patient Safety in Surgery","FirstCategoryId":"1085","ListUrlMain":"https://doi.org/10.1186/s13037-024-00419-7","RegionNum":0,"RegionCategory":null,"ArticlePicture":[],"TitleCN":null,"AbstractTextCN":null,"PMCID":null,"EPubDate":"","PubModel":"","JCR":"Q1","JCRName":"SURGERY","Score":null,"Total":0}
引用次数: 0

摘要

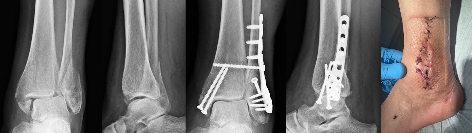
背景:锁定钢板治疗腓骨远端骨折的临床疗效尚未得到证实。此外,伤口并发症的风险似乎高于传统的管状钢板。我们假设锁定钢板在生物力学性能方面的好处被较高的伤口并发症风险所抵消。方法:我们对2015年1月1日至2021年12月31日期间采用常规三分之一管钢板或解剖形状锁定钢板进行骨固定治疗的腓骨骨折进行回顾性分析。我们记录了基线数据和相关合并症,并确定了因伤口相关或机械并发症而需要翻修手术作为主要终点。结果:727例患者中有595例符合我们的研究条件。在595例骨折中,526例用1 / 3管状钢板固定,69例用锁定钢板固定。54例患者需要翻修手术,其中51例因伤口并发症。3例患者因机械原因需要翻修手术,均小于40岁,未诊断为骨质疏松,但经历过复杂骨折类型。由于第三管状钢板组和锁定钢板组在年龄和合并症方面存在差异,我们根据年龄和性别进行2:1匹配,留下138名接受第三管状钢板的患者的数据。虽然两组在许多方面具有可比性,但锁定钢板组的伤口并发症发生率明显更高。虽然锁定钢板组有较高比例的糖尿病,但这一合并症与该组较高的翻修率之间没有相关性。结论:我们的数据不支持一般使用锁定钢板治疗腓骨远端骨折。骨质疏松性踝关节骨折机械并发症的风险似乎被高估了,因为在骨质疏松亚组中没有进行机械修复。使用锁定钢板后,伤口相关翻修手术的发生率明显升高。这可能是由于锁紧板的厚度较大。
本文章由计算机程序翻译,如有差异,请以英文原文为准。

Modern anatomical locking plates are associated with increased postoperative wound complications and unplanned surgical revisions compared to standard tubular plates in the management of unstable ankle fractures: a comparative cohort study in 595 patients.

Modern anatomical locking plates are associated with increased postoperative wound complications and unplanned surgical revisions compared to standard tubular plates in the management of unstable ankle fractures: a comparative cohort study in 595 patients.

Modern anatomical locking plates are associated with increased postoperative wound complications and unplanned surgical revisions compared to standard tubular plates in the management of unstable ankle fractures: a comparative cohort study in 595 patients.

Modern anatomical locking plates are associated with increased postoperative wound complications and unplanned surgical revisions compared to standard tubular plates in the management of unstable ankle fractures: a comparative cohort study in 595 patients.

Background: The clinical benefit of locking plates in distal fibula fractures has not yet been proven. In addition, the risk of wound complications appears to be higher than with conventional tubular plates. We hypothesize that the benefits of locking plates in terms of biomechanical properties are outweighed by a higher risk of wound complications.

Methods: We conducted a retrospective review of fibula fractures treated by osteosynthesis with either a conventional one-third tubular plate or an anatomically shaped locking plate from January 1, 2015 to December 31, 2021. We recorded baseline data and relevant comorbidities and defined the need for revision surgery due to wound-related or mechanical complications as primary endpoints.

Results: A total of 595 out of 727 patients were eligible for our study. Of these 595 fractures, 526 were fixed with a one-third tubular plate, 69 with a locking plate. Revision surgery was required in 54 patients, in 51 cases due to wound complications. Three patients required revision surgery for mechanical reasons and all of them were younger than 40 years of age, have not been diagnosed with osteoporosis, but experienced complex fracture types. As the third tubular plate and locking plate groups differed in terms of age and comorbidities, we performed a 2:1 matching based on age and gender, leaving data from 138 patients receiving a third tubular plate. While the two groups were comparable in many aspects, the rate of wound complications was significantly higher in the locking plate group. Although the locking plate group had a higher percentage of diabetes mellitus, there was no correlation between this comorbidity and the higher revision rate in this group.

Conclusions: Our data do not support the general use of locking plates in the treatment of distal fibular fractures. The risk of mechanical complications in osteoporotic ankle fractures seems to be overrated, as there were no mechanical revisions in the osteoporotic subgroup. The rate of wound-related revision surgery was significantly higher after the use of locking plates. This might be attributed to the greater thickness of locking plates.

求助全文
通过发布文献求助,成功后即可免费获取论文全文。 去求助
来源期刊
CiteScore
6.80
自引率
8.10%
发文量
37
审稿时长
9 weeks
×
引用
GB/T 7714-2015
复制
MLA
复制
APA
复制
导出至
BibTeX EndNote RefMan NoteFirst NoteExpress
×
提示
您的信息不完整,为了账户安全,请先补充。
现在去补充
×
提示
您因"违规操作"
具体请查看互助需知
我知道了
×
提示
确定
请完成安全验证×
copy
已复制链接
快去分享给好友吧!
我知道了
右上角分享
点击右上角分享
0
联系我们:info@booksci.cn Book学术提供免费学术资源搜索服务,方便国内外学者检索中英文文献。致力于提供最便捷和优质的服务体验。 Copyright © 2023 布克学术 All rights reserved.
京ICP备2023020795号-1
ghs 京公网安备 11010802042870号
Book学术文献互助
Book学术文献互助群
群 号:604180095
Book学术官方微信