蛇咬中毒致上矢状窦血栓形成的诊断挑战和治疗策略:索马里1例报告。

IF 1.5 Q3 EMERGENCY MEDICINE
Open Access Emergency Medicine Pub Date : 2024-11-25 eCollection Date: 2024-01-01 DOI:10.2147/OAEM.S490920
Abdullahi Ahmed Ahmed, Abdinasir Mohamed Elmi, Ismail Gedi Ibrahim, Mohamed Farah Yusuf Mohamud
{"title":"蛇咬中毒致上矢状窦血栓形成的诊断挑战和治疗策略:索马里1例报告。","authors":"Abdullahi Ahmed Ahmed, Abdinasir Mohamed Elmi, Ismail Gedi Ibrahim, Mohamed Farah Yusuf Mohamud","doi":"10.2147/OAEM.S490920","DOIUrl":null,"url":null,"abstract":"<p><strong>Introduction: </strong>Snakebite is a serious and potentially fatal public health concern, especially in tropical and subtropical regions, leading to severe complications. The World Health Organization (WHO) identified snakebite as a Neglected Tropical Disease (NTD) in 2017 and launched a global campaign in 2019 with the goal of halving the number of snakebite-related deaths and disability cases by half by the year 2030.</p><p><strong>Case presentation: </strong>A 26-year-old farmer male presented with a snake bite and soon developed neurological complications, including diplopia, seizures, and altered mental status with Glasgow coma scale(GCS) of 11 out of 15. Investigations revealed coagulation abnormalities and magnetic resonance venography showed acute thrombosis of the superior sagittal sinus. The patient was diagnosed with superior sagittal sinus thrombosis. He was admitted to the intensive care unit and treated with anticoagulants to manage the thrombus, prevent further clot formation, and administer seizure medications to control any potential seizures associated with the condition. Moreover, we closely monitored the patient's condition to ensure effective treatment and to address any complications that may arise. Throughout the next three days, the patient's health gradually improved due to supportive care. He was extubated and transferred to the general ward. He was discharged after 10 days, having made a full recovery.</p><p><strong>Conclusion: </strong>This case report from Somalia emphasizes the importance of recognizing and managing superior sagittal sinus thrombosis as a rare but life threatening consequence of snake bite envenomation, particularly in resource-limited settings where access to advanced diagnostic and treatment modalities may be limited. If a patient experiences headache, impaired vision or seizures, after a snake bite, it is important to be highly suspicious of cerebral vascular complications including venous sinus thrombosis. Moreover, we recommend that a national study be conducted to identify the prevalent snake species in the region and to determine their specific habitats.</p>","PeriodicalId":45096,"journal":{"name":"Open Access Emergency Medicine","volume":"16 ","pages":"251-255"},"PeriodicalIF":1.5000,"publicationDate":"2024-11-25","publicationTypes":"Journal Article","fieldsOfStudy":null,"isOpenAccess":false,"openAccessPdf":"https://www.ncbi.nlm.nih.gov/pmc/articles/PMC11606333/pdf/","citationCount":"0","resultStr":"{\"title\":\"Diagnostic Challenges and Management Strategies for Superior Sagittal Sinus Thrombosis Induced by Snake Bite Envenomation: A Case Report from Somalia.\",\"authors\":\"Abdullahi Ahmed Ahmed, Abdinasir Mohamed Elmi, Ismail Gedi Ibrahim, Mohamed Farah Yusuf Mohamud\",\"doi\":\"10.2147/OAEM.S490920\",\"DOIUrl\":null,\"url\":null,\"abstract\":\"<p><strong>Introduction: </strong>Snakebite is a serious and potentially fatal public health concern, especially in tropical and subtropical regions, leading to severe complications. The World Health Organization (WHO) identified snakebite as a Neglected Tropical Disease (NTD) in 2017 and launched a global campaign in 2019 with the goal of halving the number of snakebite-related deaths and disability cases by half by the year 2030.</p><p><strong>Case presentation: </strong>A 26-year-old farmer male presented with a snake bite and soon developed neurological complications, including diplopia, seizures, and altered mental status with Glasgow coma scale(GCS) of 11 out of 15. Investigations revealed coagulation abnormalities and magnetic resonance venography showed acute thrombosis of the superior sagittal sinus. The patient was diagnosed with superior sagittal sinus thrombosis. He was admitted to the intensive care unit and treated with anticoagulants to manage the thrombus, prevent further clot formation, and administer seizure medications to control any potential seizures associated with the condition. Moreover, we closely monitored the patient's condition to ensure effective treatment and to address any complications that may arise. Throughout the next three days, the patient's health gradually improved due to supportive care. He was extubated and transferred to the general ward. He was discharged after 10 days, having made a full recovery.</p><p><strong>Conclusion: </strong>This case report from Somalia emphasizes the importance of recognizing and managing superior sagittal sinus thrombosis as a rare but life threatening consequence of snake bite envenomation, particularly in resource-limited settings where access to advanced diagnostic and treatment modalities may be limited. If a patient experiences headache, impaired vision or seizures, after a snake bite, it is important to be highly suspicious of cerebral vascular complications including venous sinus thrombosis. Moreover, we recommend that a national study be conducted to identify the prevalent snake species in the region and to determine their specific habitats.</p>\",\"PeriodicalId\":45096,\"journal\":{\"name\":\"Open Access Emergency Medicine\",\"volume\":\"16 \",\"pages\":\"251-255\"},\"PeriodicalIF\":1.5000,\"publicationDate\":\"2024-11-25\",\"publicationTypes\":\"Journal Article\",\"fieldsOfStudy\":null,\"isOpenAccess\":false,\"openAccessPdf\":\"https://www.ncbi.nlm.nih.gov/pmc/articles/PMC11606333/pdf/\",\"citationCount\":\"0\",\"resultStr\":null,\"platform\":\"Semanticscholar\",\"paperid\":null,\"PeriodicalName\":\"Open Access Emergency Medicine\",\"FirstCategoryId\":\"1085\",\"ListUrlMain\":\"https://doi.org/10.2147/OAEM.S490920\",\"RegionNum\":0,\"RegionCategory\":null,\"ArticlePicture\":[],\"TitleCN\":null,\"AbstractTextCN\":null,\"PMCID\":null,\"EPubDate\":\"2024/1/1 0:00:00\",\"PubModel\":\"eCollection\",\"JCR\":\"Q3\",\"JCRName\":\"EMERGENCY MEDICINE\",\"Score\":null,\"Total\":0}","platform":"Semanticscholar","paperid":null,"PeriodicalName":"Open Access Emergency Medicine","FirstCategoryId":"1085","ListUrlMain":"https://doi.org/10.2147/OAEM.S490920","RegionNum":0,"RegionCategory":null,"ArticlePicture":[],"TitleCN":null,"AbstractTextCN":null,"PMCID":null,"EPubDate":"2024/1/1 0:00:00","PubModel":"eCollection","JCR":"Q3","JCRName":"EMERGENCY MEDICINE","Score":null,"Total":0}
引用次数: 0

摘要

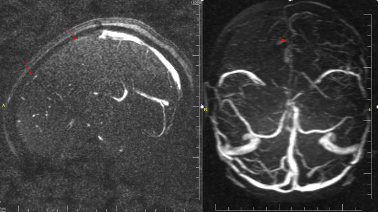
蛇咬伤是一种严重和可能致命的公共卫生问题,特别是在热带和亚热带地区,可导致严重并发症。世界卫生组织(世卫组织)于2017年将蛇咬伤确定为一种被忽视的热带病(NTD),并于2019年发起了一项全球运动,目标是到2030年将与蛇咬伤相关的死亡和残疾病例数量减半。病例介绍:一名26岁的农民男性因蛇咬伤而出现神经系统并发症,包括复视、癫痫发作和精神状态改变,格拉斯哥昏迷评分(GCS)为11分(满分15分)。检查显示凝血异常和磁共振静脉造影显示急性上矢状窦血栓形成。患者被诊断为上矢状窦血栓形成。他被送进重症监护室,接受抗凝治疗以控制血栓,防止血栓进一步形成,并给予癫痫药物以控制与该病症相关的任何潜在癫痫发作。此外,我们密切监测病人的病情,以确保有效的治疗,并解决任何可能出现的并发症。在接下来的三天里,由于支持性护理,患者的健康状况逐渐改善。他拔管后被转到普通病房。10天后,他完全康复出院了。结论:索马里的这一病例报告强调了认识和管理上矢状窦血栓形成的重要性,这是一种罕见但危及生命的蛇咬中毒后果,特别是在资源有限的环境中,获得先进的诊断和治疗方式可能有限。如果患者在被蛇咬伤后出现头痛、视力受损或癫痫发作,应高度怀疑是否有脑血管并发症,包括静脉窦血栓形成。此外,我们建议进行一项全国性的研究,以确定该地区流行的蛇种,并确定它们的具体栖息地。
本文章由计算机程序翻译,如有差异,请以英文原文为准。

Diagnostic Challenges and Management Strategies for Superior Sagittal Sinus Thrombosis Induced by Snake Bite Envenomation: A Case Report from Somalia.

Diagnostic Challenges and Management Strategies for Superior Sagittal Sinus Thrombosis Induced by Snake Bite Envenomation: A Case Report from Somalia.

Diagnostic Challenges and Management Strategies for Superior Sagittal Sinus Thrombosis Induced by Snake Bite Envenomation: A Case Report from Somalia.

Introduction: Snakebite is a serious and potentially fatal public health concern, especially in tropical and subtropical regions, leading to severe complications. The World Health Organization (WHO) identified snakebite as a Neglected Tropical Disease (NTD) in 2017 and launched a global campaign in 2019 with the goal of halving the number of snakebite-related deaths and disability cases by half by the year 2030.

Case presentation: A 26-year-old farmer male presented with a snake bite and soon developed neurological complications, including diplopia, seizures, and altered mental status with Glasgow coma scale(GCS) of 11 out of 15. Investigations revealed coagulation abnormalities and magnetic resonance venography showed acute thrombosis of the superior sagittal sinus. The patient was diagnosed with superior sagittal sinus thrombosis. He was admitted to the intensive care unit and treated with anticoagulants to manage the thrombus, prevent further clot formation, and administer seizure medications to control any potential seizures associated with the condition. Moreover, we closely monitored the patient's condition to ensure effective treatment and to address any complications that may arise. Throughout the next three days, the patient's health gradually improved due to supportive care. He was extubated and transferred to the general ward. He was discharged after 10 days, having made a full recovery.

Conclusion: This case report from Somalia emphasizes the importance of recognizing and managing superior sagittal sinus thrombosis as a rare but life threatening consequence of snake bite envenomation, particularly in resource-limited settings where access to advanced diagnostic and treatment modalities may be limited. If a patient experiences headache, impaired vision or seizures, after a snake bite, it is important to be highly suspicious of cerebral vascular complications including venous sinus thrombosis. Moreover, we recommend that a national study be conducted to identify the prevalent snake species in the region and to determine their specific habitats.

求助全文
通过发布文献求助,成功后即可免费获取论文全文。 去求助
来源期刊
Open Access Emergency Medicine
Open Access Emergency Medicine EMERGENCY MEDICINE-
CiteScore
2.60
自引率
6.70%
发文量
85
审稿时长
16 weeks
×
引用
GB/T 7714-2015
复制
MLA
复制
APA
复制
导出至
BibTeX EndNote RefMan NoteFirst NoteExpress
×
提示
您的信息不完整,为了账户安全,请先补充。
现在去补充
×
提示
您因"违规操作"
具体请查看互助需知
我知道了
×
提示
确定
请完成安全验证×
copy
已复制链接
快去分享给好友吧!
我知道了
右上角分享
点击右上角分享
0
联系我们:info@booksci.cn Book学术提供免费学术资源搜索服务,方便国内外学者检索中英文文献。致力于提供最便捷和优质的服务体验。 Copyright © 2023 布克学术 All rights reserved.
京ICP备2023020795号-1
ghs 京公网安备 11010802042870号
Book学术文献互助
Book学术文献互助群
群 号:604180095
Book学术官方微信