重度深颈间隙感染的临床特点:5例临床病例及治疗体会。

IF 1.5 Q3 EMERGENCY MEDICINE
Open Access Emergency Medicine Pub Date : 2024-11-26 eCollection Date: 2024-01-01 DOI:10.2147/OAEM.S476737
Ling Jin, Yongjun Chang, Yihua Zhao, Kai Fan, Jiawei Lu, Yang Wang, Shaoqing Yu
{"title":"重度深颈间隙感染的临床特点:5例临床病例及治疗体会。","authors":"Ling Jin, Yongjun Chang, Yihua Zhao, Kai Fan, Jiawei Lu, Yang Wang, Shaoqing Yu","doi":"10.2147/OAEM.S476737","DOIUrl":null,"url":null,"abstract":"<p><strong>Background: </strong>Deep neck space infection (DNSI) is an acute and severe condition, with severe cases being relatively rare but considerably more critical. Consequently, in clinical practice, there is a limited understanding and lack of comprehensive reviews on severe DNSI.</p><p><strong>Methods: </strong>We conducted a retrospective analysis of the diagnosis and treatment of five cases of severe DNSI admitted to our department.</p><p><strong>Results: </strong>All five patients were diagnosed via neck CT and surgical exploration. Bacterial cultures predominantly revealed mixed infections of Klebsiella and other gram-negative bacilli, along with anaerobic bacteria. Three patients had diabetes, two presented with diabetic ketoacidosis, and three had mediastinal involvement. Three patients underwent tracheotomy, while two required tracheal intubation. All patients were treated with neck incision, drainage, regular dressing changes, and targeted antibiotic therapy. They had an average hospital stay of 35.8 days, and all were discharged fully recovered.</p><p><strong>Conclusion: </strong>Severe DNSI tends to occur in patients with diabetes and other underlying systemic conditions. Infections involving multiple deep neck spaces, such as the parapharyngeal, pretracheal, and prevertebral spaces, leading to high-risk complications like airway obstruction, cervical necrotizing fasciitis, mediastinitis, and sepsis, are considered severe DNSI. Early diagnosis, timely surgical exploration, drainage to maintain airway patency, and targeted antibiotic therapy are crucial to effective management.</p>","PeriodicalId":45096,"journal":{"name":"Open Access Emergency Medicine","volume":"16 ","pages":"257-266"},"PeriodicalIF":1.5000,"publicationDate":"2024-11-26","publicationTypes":"Journal Article","fieldsOfStudy":null,"isOpenAccess":false,"openAccessPdf":"https://www.ncbi.nlm.nih.gov/pmc/articles/PMC11608048/pdf/","citationCount":"0","resultStr":"{\"title\":\"Clinical Features of Severe Deep Neck Space Infection: Five Clinical Cases and Our Experience in Their Management.\",\"authors\":\"Ling Jin, Yongjun Chang, Yihua Zhao, Kai Fan, Jiawei Lu, Yang Wang, Shaoqing Yu\",\"doi\":\"10.2147/OAEM.S476737\",\"DOIUrl\":null,\"url\":null,\"abstract\":\"<p><strong>Background: </strong>Deep neck space infection (DNSI) is an acute and severe condition, with severe cases being relatively rare but considerably more critical. Consequently, in clinical practice, there is a limited understanding and lack of comprehensive reviews on severe DNSI.</p><p><strong>Methods: </strong>We conducted a retrospective analysis of the diagnosis and treatment of five cases of severe DNSI admitted to our department.</p><p><strong>Results: </strong>All five patients were diagnosed via neck CT and surgical exploration. Bacterial cultures predominantly revealed mixed infections of Klebsiella and other gram-negative bacilli, along with anaerobic bacteria. Three patients had diabetes, two presented with diabetic ketoacidosis, and three had mediastinal involvement. Three patients underwent tracheotomy, while two required tracheal intubation. All patients were treated with neck incision, drainage, regular dressing changes, and targeted antibiotic therapy. They had an average hospital stay of 35.8 days, and all were discharged fully recovered.</p><p><strong>Conclusion: </strong>Severe DNSI tends to occur in patients with diabetes and other underlying systemic conditions. Infections involving multiple deep neck spaces, such as the parapharyngeal, pretracheal, and prevertebral spaces, leading to high-risk complications like airway obstruction, cervical necrotizing fasciitis, mediastinitis, and sepsis, are considered severe DNSI. Early diagnosis, timely surgical exploration, drainage to maintain airway patency, and targeted antibiotic therapy are crucial to effective management.</p>\",\"PeriodicalId\":45096,\"journal\":{\"name\":\"Open Access Emergency Medicine\",\"volume\":\"16 \",\"pages\":\"257-266\"},\"PeriodicalIF\":1.5000,\"publicationDate\":\"2024-11-26\",\"publicationTypes\":\"Journal Article\",\"fieldsOfStudy\":null,\"isOpenAccess\":false,\"openAccessPdf\":\"https://www.ncbi.nlm.nih.gov/pmc/articles/PMC11608048/pdf/\",\"citationCount\":\"0\",\"resultStr\":null,\"platform\":\"Semanticscholar\",\"paperid\":null,\"PeriodicalName\":\"Open Access Emergency Medicine\",\"FirstCategoryId\":\"1085\",\"ListUrlMain\":\"https://doi.org/10.2147/OAEM.S476737\",\"RegionNum\":0,\"RegionCategory\":null,\"ArticlePicture\":[],\"TitleCN\":null,\"AbstractTextCN\":null,\"PMCID\":null,\"EPubDate\":\"2024/1/1 0:00:00\",\"PubModel\":\"eCollection\",\"JCR\":\"Q3\",\"JCRName\":\"EMERGENCY MEDICINE\",\"Score\":null,\"Total\":0}","platform":"Semanticscholar","paperid":null,"PeriodicalName":"Open Access Emergency Medicine","FirstCategoryId":"1085","ListUrlMain":"https://doi.org/10.2147/OAEM.S476737","RegionNum":0,"RegionCategory":null,"ArticlePicture":[],"TitleCN":null,"AbstractTextCN":null,"PMCID":null,"EPubDate":"2024/1/1 0:00:00","PubModel":"eCollection","JCR":"Q3","JCRName":"EMERGENCY MEDICINE","Score":null,"Total":0}
引用次数: 0

摘要

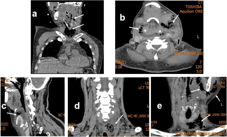
背景:深颈间隙感染(DNSI)是一种急性和严重的疾病,重症病例相对罕见,但相当严重。因此,在临床实践中,对严重DNSI的理解有限,缺乏全面的综述。方法:回顾性分析我科收治的5例重症DNSI的诊治情况。结果:5例患者均经颈部CT及手术探查确诊。细菌培养主要显示克雷伯氏菌和其他革兰氏阴性杆菌的混合感染,以及厌氧菌。3例患者有糖尿病,2例出现糖尿病酮症酸中毒,3例纵隔受累。3例行气管切开术,2例行气管插管。所有患者均行颈部切开、引流、常规换药及靶向抗生素治疗。他们的平均住院时间为35.8天,出院时均完全康复。结论:严重的DNSI往往发生在糖尿病和其他潜在全身疾病的患者中。涉及多个深颈部间隙,如咽旁、气管前和椎前间隙的感染,导致气道阻塞、颈部坏死性筋膜炎、纵隔炎和败血症等高危并发症,被认为是严重的DNSI。早期诊断、及时手术探查、引流维持气道通畅、靶向抗生素治疗是有效治疗的关键。
本文章由计算机程序翻译,如有差异,请以英文原文为准。

Clinical Features of Severe Deep Neck Space Infection: Five Clinical Cases and Our Experience in Their Management.

Clinical Features of Severe Deep Neck Space Infection: Five Clinical Cases and Our Experience in Their Management.

Background: Deep neck space infection (DNSI) is an acute and severe condition, with severe cases being relatively rare but considerably more critical. Consequently, in clinical practice, there is a limited understanding and lack of comprehensive reviews on severe DNSI.

Methods: We conducted a retrospective analysis of the diagnosis and treatment of five cases of severe DNSI admitted to our department.

Results: All five patients were diagnosed via neck CT and surgical exploration. Bacterial cultures predominantly revealed mixed infections of Klebsiella and other gram-negative bacilli, along with anaerobic bacteria. Three patients had diabetes, two presented with diabetic ketoacidosis, and three had mediastinal involvement. Three patients underwent tracheotomy, while two required tracheal intubation. All patients were treated with neck incision, drainage, regular dressing changes, and targeted antibiotic therapy. They had an average hospital stay of 35.8 days, and all were discharged fully recovered.

Conclusion: Severe DNSI tends to occur in patients with diabetes and other underlying systemic conditions. Infections involving multiple deep neck spaces, such as the parapharyngeal, pretracheal, and prevertebral spaces, leading to high-risk complications like airway obstruction, cervical necrotizing fasciitis, mediastinitis, and sepsis, are considered severe DNSI. Early diagnosis, timely surgical exploration, drainage to maintain airway patency, and targeted antibiotic therapy are crucial to effective management.

求助全文
通过发布文献求助,成功后即可免费获取论文全文。 去求助
来源期刊
Open Access Emergency Medicine
Open Access Emergency Medicine EMERGENCY MEDICINE-
CiteScore
2.60
自引率
6.70%
发文量
85
审稿时长
16 weeks
×
引用
GB/T 7714-2015
复制
MLA
复制
APA
复制
导出至
BibTeX EndNote RefMan NoteFirst NoteExpress
×
提示
您的信息不完整,为了账户安全,请先补充。
现在去补充
×
提示
您因"违规操作"
具体请查看互助需知
我知道了
×
提示
确定
请完成安全验证×
copy
已复制链接
快去分享给好友吧!
我知道了
右上角分享
点击右上角分享
0
联系我们:info@booksci.cn Book学术提供免费学术资源搜索服务,方便国内外学者检索中英文文献。致力于提供最便捷和优质的服务体验。 Copyright © 2023 布克学术 All rights reserved.
京ICP备2023020795号-1
ghs 京公网安备 11010802042870号
Book学术文献互助
Book学术文献互助群
群 号:604180095
Book学术官方微信