2型神经纤维瘤病表现为有症状的胆囊积液:罕见病例报告及文献复习。

IF 0.5 Q4 PEDIATRICS
Case Reports in Pediatrics Pub Date : 2024-11-20 eCollection Date: 2024-01-01 DOI:10.1155/crpe/7680840
Bassel Hafez, Joudie Sahar Alwan, Walid El Hout, Karim Koussa, Tamara El Annan, Dolly Noun, Ahmad Zaghal
{"title":"2型神经纤维瘤病表现为有症状的胆囊积液:罕见病例报告及文献复习。","authors":"Bassel Hafez, Joudie Sahar Alwan, Walid El Hout, Karim Koussa, Tamara El Annan, Dolly Noun, Ahmad Zaghal","doi":"10.1155/crpe/7680840","DOIUrl":null,"url":null,"abstract":"<p><p>Neurofibromatosis type 2 (NF2), also known as NF2-related schwannomatosis (SWN), is a rare dominantly inherited genetic disorder mainly characterized by the presence of vestibular schwannomas (VSs) in addition to a range of other tumors that affect both the central and peripheral nervous systems. These tumors include cranial, spinal, peripheral nerve, and intradermal schwannomas, cranial and spinal meningiomas, and intrinsic central nervous system (CNS) tumors, usually spinal ependymomas. Juvenile cataracts are also common in patients with NF2, with most symptoms at presentation being hearing loss and visual disturbances. We present the case of a previously healthy 12-year-old girl who presented with postprandial right upper quadrant pain and was found to have a large hydrops of the gallbladder on ultrasound scan of the abdomen. Pathology of the gallbladder post laparoscopic cholecystectomy showed diffuse involvement of the gallbladder by a benign nerve sheath tumor that was suggestive of schwannoma. Further testing confirmed the diagnosis of NF2. This case helps shed light on unusual NF2 symptoms and underscores the importance of recognizing atypical presentations for timely intervention and management. It also adds value to a multidisciplinary approach in diagnosing and managing NF2.</p>","PeriodicalId":9623,"journal":{"name":"Case Reports in Pediatrics","volume":"2024 ","pages":"7680840"},"PeriodicalIF":0.5000,"publicationDate":"2024-11-20","publicationTypes":"Journal Article","fieldsOfStudy":null,"isOpenAccess":false,"openAccessPdf":"https://www.ncbi.nlm.nih.gov/pmc/articles/PMC11606685/pdf/","citationCount":"0","resultStr":"{\"title\":\"Neurofibromatosis Type 2 Presenting as Symptomatic Gallbladder Hydrops: A Rare Case Report and Literature Review.\",\"authors\":\"Bassel Hafez, Joudie Sahar Alwan, Walid El Hout, Karim Koussa, Tamara El Annan, Dolly Noun, Ahmad Zaghal\",\"doi\":\"10.1155/crpe/7680840\",\"DOIUrl\":null,\"url\":null,\"abstract\":\"<p><p>Neurofibromatosis type 2 (NF2), also known as NF2-related schwannomatosis (SWN), is a rare dominantly inherited genetic disorder mainly characterized by the presence of vestibular schwannomas (VSs) in addition to a range of other tumors that affect both the central and peripheral nervous systems. These tumors include cranial, spinal, peripheral nerve, and intradermal schwannomas, cranial and spinal meningiomas, and intrinsic central nervous system (CNS) tumors, usually spinal ependymomas. Juvenile cataracts are also common in patients with NF2, with most symptoms at presentation being hearing loss and visual disturbances. We present the case of a previously healthy 12-year-old girl who presented with postprandial right upper quadrant pain and was found to have a large hydrops of the gallbladder on ultrasound scan of the abdomen. Pathology of the gallbladder post laparoscopic cholecystectomy showed diffuse involvement of the gallbladder by a benign nerve sheath tumor that was suggestive of schwannoma. Further testing confirmed the diagnosis of NF2. This case helps shed light on unusual NF2 symptoms and underscores the importance of recognizing atypical presentations for timely intervention and management. It also adds value to a multidisciplinary approach in diagnosing and managing NF2.</p>\",\"PeriodicalId\":9623,\"journal\":{\"name\":\"Case Reports in Pediatrics\",\"volume\":\"2024 \",\"pages\":\"7680840\"},\"PeriodicalIF\":0.5000,\"publicationDate\":\"2024-11-20\",\"publicationTypes\":\"Journal Article\",\"fieldsOfStudy\":null,\"isOpenAccess\":false,\"openAccessPdf\":\"https://www.ncbi.nlm.nih.gov/pmc/articles/PMC11606685/pdf/\",\"citationCount\":\"0\",\"resultStr\":null,\"platform\":\"Semanticscholar\",\"paperid\":null,\"PeriodicalName\":\"Case Reports in Pediatrics\",\"FirstCategoryId\":\"1085\",\"ListUrlMain\":\"https://doi.org/10.1155/crpe/7680840\",\"RegionNum\":0,\"RegionCategory\":null,\"ArticlePicture\":[],\"TitleCN\":null,\"AbstractTextCN\":null,\"PMCID\":null,\"EPubDate\":\"2024/1/1 0:00:00\",\"PubModel\":\"eCollection\",\"JCR\":\"Q4\",\"JCRName\":\"PEDIATRICS\",\"Score\":null,\"Total\":0}","platform":"Semanticscholar","paperid":null,"PeriodicalName":"Case Reports in Pediatrics","FirstCategoryId":"1085","ListUrlMain":"https://doi.org/10.1155/crpe/7680840","RegionNum":0,"RegionCategory":null,"ArticlePicture":[],"TitleCN":null,"AbstractTextCN":null,"PMCID":null,"EPubDate":"2024/1/1 0:00:00","PubModel":"eCollection","JCR":"Q4","JCRName":"PEDIATRICS","Score":null,"Total":0}
引用次数: 0

摘要

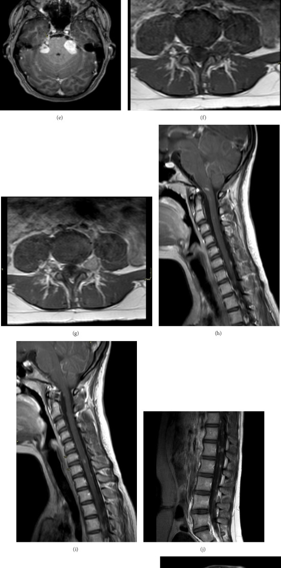
2型神经纤维瘤病(NF2),也称为NF2相关神经鞘瘤病(SWN),是一种罕见的显性遗传性遗传病,主要特征为前庭神经鞘瘤(VSs)以及一系列影响中枢和周围神经系统的其他肿瘤。这些肿瘤包括颅、脊髓、周围神经和皮内神经鞘瘤,颅和脊髓脑膜瘤,以及固有中枢神经系统(CNS)肿瘤,通常是脊髓室管膜瘤。青少年白内障在NF2患者中也很常见,大多数症状为听力丧失和视力障碍。我们提出的情况下,以前健康的12岁女孩谁提出餐后右上腹部疼痛,并被发现有一个大的胆囊积液超声扫描腹部。腹腔镜胆囊切除术后胆囊病理显示胆囊弥漫性受累于良性神经鞘肿瘤,提示神经鞘瘤。进一步的检测证实了NF2的诊断。本病例有助于阐明不寻常的NF2症状,并强调了识别非典型表现以及时干预和管理的重要性。它还增加了诊断和管理NF2的多学科方法的价值。
本文章由计算机程序翻译,如有差异,请以英文原文为准。

Neurofibromatosis Type 2 Presenting as Symptomatic Gallbladder Hydrops: A Rare Case Report and Literature Review.

Neurofibromatosis Type 2 Presenting as Symptomatic Gallbladder Hydrops: A Rare Case Report and Literature Review.

Neurofibromatosis Type 2 Presenting as Symptomatic Gallbladder Hydrops: A Rare Case Report and Literature Review.

Neurofibromatosis Type 2 Presenting as Symptomatic Gallbladder Hydrops: A Rare Case Report and Literature Review.

Neurofibromatosis type 2 (NF2), also known as NF2-related schwannomatosis (SWN), is a rare dominantly inherited genetic disorder mainly characterized by the presence of vestibular schwannomas (VSs) in addition to a range of other tumors that affect both the central and peripheral nervous systems. These tumors include cranial, spinal, peripheral nerve, and intradermal schwannomas, cranial and spinal meningiomas, and intrinsic central nervous system (CNS) tumors, usually spinal ependymomas. Juvenile cataracts are also common in patients with NF2, with most symptoms at presentation being hearing loss and visual disturbances. We present the case of a previously healthy 12-year-old girl who presented with postprandial right upper quadrant pain and was found to have a large hydrops of the gallbladder on ultrasound scan of the abdomen. Pathology of the gallbladder post laparoscopic cholecystectomy showed diffuse involvement of the gallbladder by a benign nerve sheath tumor that was suggestive of schwannoma. Further testing confirmed the diagnosis of NF2. This case helps shed light on unusual NF2 symptoms and underscores the importance of recognizing atypical presentations for timely intervention and management. It also adds value to a multidisciplinary approach in diagnosing and managing NF2.

求助全文
通过发布文献求助,成功后即可免费获取论文全文。 去求助
来源期刊
自引率
11.10%
发文量
48
审稿时长
13 weeks
×
引用
GB/T 7714-2015
复制
MLA
复制
APA
复制
导出至
BibTeX EndNote RefMan NoteFirst NoteExpress
×
提示
您的信息不完整,为了账户安全,请先补充。
现在去补充
×
提示
您因"违规操作"
具体请查看互助需知
我知道了
×
提示
确定
请完成安全验证×
copy
已复制链接
快去分享给好友吧!
我知道了
右上角分享
点击右上角分享
0
联系我们:info@booksci.cn Book学术提供免费学术资源搜索服务,方便国内外学者检索中英文文献。致力于提供最便捷和优质的服务体验。 Copyright © 2023 布克学术 All rights reserved.
京ICP备2023020795号-1
ghs 京公网安备 11010802042870号
Book学术文献互助
Book学术文献互助群
群 号:604180095
Book学术官方微信