142例未经治疗的慢性蒙氏骨折患儿桡骨近端异常的危险因素

IF 3.7 2区 医学 Q1 ORTHOPEDICS
WenTao Wang, QianQian Mei, Hang Liu, YueMing Guo, HaiBo Mei, Federico Canavese, Antonio Andreacchio, HanQing Lyu, ShunYou Chen, ShengHua He
{"title":"142例未经治疗的慢性蒙氏骨折患儿桡骨近端异常的危险因素","authors":"WenTao Wang, QianQian Mei, Hang Liu, YueMing Guo, HaiBo Mei, Federico Canavese, Antonio Andreacchio, HanQing Lyu, ShunYou Chen, ShengHua He","doi":"10.1186/s10195-024-00793-z","DOIUrl":null,"url":null,"abstract":"<p><strong>Background: </strong>The risk factors for proximal radial abnormalities (PRA) in paediatric patients with untreated chronic Monteggia fractures (CMFs) are unclear. This multicentre study aimed to evaluate the risk factors for PRA in children with untreated CMFs.</p><p><strong>Materials and methods: </strong>The clinical data of 142 patients (mean age at the time of injury: 5.73 years) with untreated unilateral CMFs were retrospectively reviewed. The radial neck-shaft angle (RNS<sub>AP</sub>) and radial head size (RH<sub>L</sub>) were measured on anteroposterior (AP) and lateral (L) radiographs, respectively. The RH<sub>L</sub> size was the ratio of the widest width of the proximal radial metaphysis to the narrowest radial neck width. The En-RNS<sub>AP</sub> and En-RH<sub>L</sub> were the ratios of the enlargement (En) of the RNS<sub>AP</sub> angle and RH<sub>L</sub> size of the injured elbow to those of the uninjured elbow, respectively. Paired-sample t-tests, single-factor analyses and multiple linear regression analyses were performed to evaluate the correlation between the differences in these parameters between the injured and uninjured elbows and the assessed risk factors. These risk factors included institution, sex, laterality, age at injury, time from injury to diagnosis, direction of RH dislocation, distance of RH dislocation (DD-RH), presence of radial or median nerve injury, heterotopic ossification and immobilization of the elbow after injury.</p><p><strong>Results: </strong>In children with untreated CMFs (mean time from injury to diagnosis: 14.6 months), Student's t-test revealed a significant difference in the RH<sub>L</sub> size (P < 0.001) but not in the RNS<sub>AP</sub> angle (P = 0.075) between the injured and uninjured elbows. Pearson correlation analysis revealed a potential correlation between En-RH<sub>L</sub> and age at the time of injury (P = 0.069), time from injury to diagnosis (P < 0.001) and DD-RH (P < 0.001), excluding other risk factors (P > 0.05). Multiple linear regression analysis revealed that age at the time of injury (P = 0.047), time from injury to diagnosis (P = 0.007) and DD-RH (P = 0.001) were risk factors for an increased En-RH<sub>L</sub> in patients with untreated CMFs; the variability in En-RH<sub>L</sub> among the other three risk factors was 21.4%.</p><p><strong>Conclusions: </strong>In paediatric patients with unilateral untreated CMFs, PRA of the injured elbow consisted mainly of RH enlargement or radial neck narrowing rather than valgus deformities of the proximal radius. Older age at injury, increased time from injury to diagnosis and DD-RH were risk factors for more severe PRA.</p><p><strong>Level of evidence: </strong>III.</p>","PeriodicalId":48603,"journal":{"name":"Journal of Orthopaedics and Traumatology","volume":"25 1","pages":"60"},"PeriodicalIF":3.7000,"publicationDate":"2024-11-29","publicationTypes":"Journal Article","fieldsOfStudy":null,"isOpenAccess":false,"openAccessPdf":"https://www.ncbi.nlm.nih.gov/pmc/articles/PMC11607283/pdf/","citationCount":"0","resultStr":"{\"title\":\"Risk factors for proximal radial abnormalities in children with untreated chronic Monteggia fractures: a review of 142 cases.\",\"authors\":\"WenTao Wang, QianQian Mei, Hang Liu, YueMing Guo, HaiBo Mei, Federico Canavese, Antonio Andreacchio, HanQing Lyu, ShunYou Chen, ShengHua He\",\"doi\":\"10.1186/s10195-024-00793-z\",\"DOIUrl\":null,\"url\":null,\"abstract\":\"<p><strong>Background: </strong>The risk factors for proximal radial abnormalities (PRA) in paediatric patients with untreated chronic Monteggia fractures (CMFs) are unclear. This multicentre study aimed to evaluate the risk factors for PRA in children with untreated CMFs.</p><p><strong>Materials and methods: </strong>The clinical data of 142 patients (mean age at the time of injury: 5.73 years) with untreated unilateral CMFs were retrospectively reviewed. The radial neck-shaft angle (RNS<sub>AP</sub>) and radial head size (RH<sub>L</sub>) were measured on anteroposterior (AP) and lateral (L) radiographs, respectively. The RH<sub>L</sub> size was the ratio of the widest width of the proximal radial metaphysis to the narrowest radial neck width. The En-RNS<sub>AP</sub> and En-RH<sub>L</sub> were the ratios of the enlargement (En) of the RNS<sub>AP</sub> angle and RH<sub>L</sub> size of the injured elbow to those of the uninjured elbow, respectively. Paired-sample t-tests, single-factor analyses and multiple linear regression analyses were performed to evaluate the correlation between the differences in these parameters between the injured and uninjured elbows and the assessed risk factors. These risk factors included institution, sex, laterality, age at injury, time from injury to diagnosis, direction of RH dislocation, distance of RH dislocation (DD-RH), presence of radial or median nerve injury, heterotopic ossification and immobilization of the elbow after injury.</p><p><strong>Results: </strong>In children with untreated CMFs (mean time from injury to diagnosis: 14.6 months), Student's t-test revealed a significant difference in the RH<sub>L</sub> size (P < 0.001) but not in the RNS<sub>AP</sub> angle (P = 0.075) between the injured and uninjured elbows. Pearson correlation analysis revealed a potential correlation between En-RH<sub>L</sub> and age at the time of injury (P = 0.069), time from injury to diagnosis (P < 0.001) and DD-RH (P < 0.001), excluding other risk factors (P > 0.05). Multiple linear regression analysis revealed that age at the time of injury (P = 0.047), time from injury to diagnosis (P = 0.007) and DD-RH (P = 0.001) were risk factors for an increased En-RH<sub>L</sub> in patients with untreated CMFs; the variability in En-RH<sub>L</sub> among the other three risk factors was 21.4%.</p><p><strong>Conclusions: </strong>In paediatric patients with unilateral untreated CMFs, PRA of the injured elbow consisted mainly of RH enlargement or radial neck narrowing rather than valgus deformities of the proximal radius. Older age at injury, increased time from injury to diagnosis and DD-RH were risk factors for more severe PRA.</p><p><strong>Level of evidence: </strong>III.</p>\",\"PeriodicalId\":48603,\"journal\":{\"name\":\"Journal of Orthopaedics and Traumatology\",\"volume\":\"25 1\",\"pages\":\"60\"},\"PeriodicalIF\":3.7000,\"publicationDate\":\"2024-11-29\",\"publicationTypes\":\"Journal Article\",\"fieldsOfStudy\":null,\"isOpenAccess\":false,\"openAccessPdf\":\"https://www.ncbi.nlm.nih.gov/pmc/articles/PMC11607283/pdf/\",\"citationCount\":\"0\",\"resultStr\":null,\"platform\":\"Semanticscholar\",\"paperid\":null,\"PeriodicalName\":\"Journal of Orthopaedics and Traumatology\",\"FirstCategoryId\":\"3\",\"ListUrlMain\":\"https://doi.org/10.1186/s10195-024-00793-z\",\"RegionNum\":2,\"RegionCategory\":\"医学\",\"ArticlePicture\":[],\"TitleCN\":null,\"AbstractTextCN\":null,\"PMCID\":null,\"EPubDate\":\"\",\"PubModel\":\"\",\"JCR\":\"Q1\",\"JCRName\":\"ORTHOPEDICS\",\"Score\":null,\"Total\":0}","platform":"Semanticscholar","paperid":null,"PeriodicalName":"Journal of Orthopaedics and Traumatology","FirstCategoryId":"3","ListUrlMain":"https://doi.org/10.1186/s10195-024-00793-z","RegionNum":2,"RegionCategory":"医学","ArticlePicture":[],"TitleCN":null,"AbstractTextCN":null,"PMCID":null,"EPubDate":"","PubModel":"","JCR":"Q1","JCRName":"ORTHOPEDICS","Score":null,"Total":0}
引用次数: 0

摘要

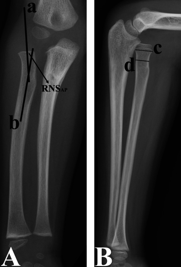
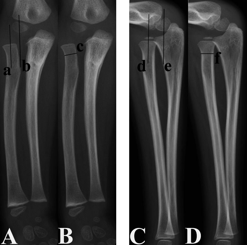
背景:未经治疗的慢性蒙氏骨折(CMFs)患儿桡骨近端异常(PRA)的危险因素尚不清楚。这项多中心研究旨在评估未经治疗的CMFs儿童患PRA的危险因素。材料与方法:回顾性分析142例未经治疗的单侧CMFs患者(损伤时平均年龄5.73岁)的临床资料。分别在正位x线片(AP)和侧位x线片(L)上测量桡骨颈轴角(RNSAP)和桡骨头尺寸(RHL)。RHL的大小为桡骨干骺端最宽宽度与最窄桡骨颈宽度之比。En-RNSAP和En-RHL分别为损伤肘关节RNSAP角度和RHL大小增大与未损伤肘关节的比值(En)。通过配对样本t检验、单因素分析和多元线性回归分析来评估肘部损伤与未损伤患者这些参数差异与评估危险因素之间的相关性。这些危险因素包括机构、性别、侧侧、受伤年龄、从受伤到诊断的时间、RH脱位方向、RH脱位距离(DD-RH)、是否存在桡骨或正中神经损伤、损伤后肘关节异位骨化和固定。结果:在未经治疗的CMFs患儿中(从损伤到诊断的平均时间:14.6个月),学生t检验显示受伤和未受伤肘关节的RHL大小有显著差异(P < 0.001),但RNSAP角度无显著差异(P = 0.075)。Pearson相关分析显示En-RHL与损伤时年龄(P = 0.069)、损伤至诊断时间(P < 0.001)和DD-RH (P < 0.001)存在潜在相关性,排除其他危险因素(P < 0.05)。多元线性回归分析显示,损伤时的年龄(P = 0.047)、损伤至诊断的时间(P = 0.007)和DD-RH (P = 0.001)是未治疗CMFs患者En-RHL升高的危险因素;En-RHL在其他三个危险因素中的变异性为21.4%。结论:在单侧未经治疗的CMFs患儿中,受伤肘关节的PRA主要包括RH增大或桡骨颈变窄,而不是桡骨近端外翻畸形。损伤年龄较大,从损伤到诊断的时间增加和DD-RH是更严重的PRA的危险因素。证据水平:III。
本文章由计算机程序翻译,如有差异,请以英文原文为准。

Risk factors for proximal radial abnormalities in children with untreated chronic Monteggia fractures: a review of 142 cases.

Risk factors for proximal radial abnormalities in children with untreated chronic Monteggia fractures: a review of 142 cases.

Risk factors for proximal radial abnormalities in children with untreated chronic Monteggia fractures: a review of 142 cases.

Risk factors for proximal radial abnormalities in children with untreated chronic Monteggia fractures: a review of 142 cases.

Background: The risk factors for proximal radial abnormalities (PRA) in paediatric patients with untreated chronic Monteggia fractures (CMFs) are unclear. This multicentre study aimed to evaluate the risk factors for PRA in children with untreated CMFs.

Materials and methods: The clinical data of 142 patients (mean age at the time of injury: 5.73 years) with untreated unilateral CMFs were retrospectively reviewed. The radial neck-shaft angle (RNSAP) and radial head size (RHL) were measured on anteroposterior (AP) and lateral (L) radiographs, respectively. The RHL size was the ratio of the widest width of the proximal radial metaphysis to the narrowest radial neck width. The En-RNSAP and En-RHL were the ratios of the enlargement (En) of the RNSAP angle and RHL size of the injured elbow to those of the uninjured elbow, respectively. Paired-sample t-tests, single-factor analyses and multiple linear regression analyses were performed to evaluate the correlation between the differences in these parameters between the injured and uninjured elbows and the assessed risk factors. These risk factors included institution, sex, laterality, age at injury, time from injury to diagnosis, direction of RH dislocation, distance of RH dislocation (DD-RH), presence of radial or median nerve injury, heterotopic ossification and immobilization of the elbow after injury.

Results: In children with untreated CMFs (mean time from injury to diagnosis: 14.6 months), Student's t-test revealed a significant difference in the RHL size (P < 0.001) but not in the RNSAP angle (P = 0.075) between the injured and uninjured elbows. Pearson correlation analysis revealed a potential correlation between En-RHL and age at the time of injury (P = 0.069), time from injury to diagnosis (P < 0.001) and DD-RH (P < 0.001), excluding other risk factors (P > 0.05). Multiple linear regression analysis revealed that age at the time of injury (P = 0.047), time from injury to diagnosis (P = 0.007) and DD-RH (P = 0.001) were risk factors for an increased En-RHL in patients with untreated CMFs; the variability in En-RHL among the other three risk factors was 21.4%.

Conclusions: In paediatric patients with unilateral untreated CMFs, PRA of the injured elbow consisted mainly of RH enlargement or radial neck narrowing rather than valgus deformities of the proximal radius. Older age at injury, increased time from injury to diagnosis and DD-RH were risk factors for more severe PRA.

Level of evidence: III.

求助全文
通过发布文献求助,成功后即可免费获取论文全文。 去求助
来源期刊
Journal of Orthopaedics and Traumatology
Journal of Orthopaedics and Traumatology Medicine-Orthopedics and Sports Medicine
CiteScore
4.30
自引率
0.00%
发文量
56
审稿时长
13 weeks
期刊介绍: The Journal of Orthopaedics and Traumatology, the official open access peer-reviewed journal of the Italian Society of Orthopaedics and Traumatology, publishes original papers reporting basic or clinical research in the field of orthopaedic and traumatologic surgery, as well as systematic reviews, brief communications, case reports and letters to the Editor. Narrative instructional reviews and commentaries to original articles may be commissioned by Editors from eminent colleagues. The Journal of Orthopaedics and Traumatology aims to be an international forum for the communication and exchange of ideas concerning the various aspects of orthopaedics and musculoskeletal trauma.
×
引用
GB/T 7714-2015
复制
MLA
复制
APA
复制
导出至
BibTeX EndNote RefMan NoteFirst NoteExpress
×
提示
您的信息不完整,为了账户安全,请先补充。
现在去补充
×
提示
您因"违规操作"
具体请查看互助需知
我知道了
×
提示
确定
请完成安全验证×
copy
已复制链接
快去分享给好友吧!
我知道了
右上角分享
点击右上角分享
0
联系我们:info@booksci.cn Book学术提供免费学术资源搜索服务,方便国内外学者检索中英文文献。致力于提供最便捷和优质的服务体验。 Copyright © 2023 布克学术 All rights reserved.
京ICP备2023020795号-1
ghs 京公网安备 11010802042870号
Book学术文献互助
Book学术文献互助群
群 号:604180095
Book学术官方微信