基于新型结构化报告清单的术后眼底成像计算机断层图。

IF 1.1 4区 医学 Q3 SURGERY
Journal of Minimal Access Surgery Pub Date : 2025-04-01 Epub Date: 2024-11-29 DOI:10.4103/jmas.jmas_325_23
Ritesh Kamat, Roy Patankar, Avinash Supe, Pallavi Dubey, Ravi Thapar, Vishakha Kalikar
{"title":"基于新型结构化报告清单的术后眼底成像计算机断层图。","authors":"Ritesh Kamat, Roy Patankar, Avinash Supe, Pallavi Dubey, Ravi Thapar, Vishakha Kalikar","doi":"10.4103/jmas.jmas_325_23","DOIUrl":null,"url":null,"abstract":"<p><strong>Introduction: </strong>With increasing numbers and acceptability of laparoscopic anti-reflux surgery (LARS) procedures over long-term medical treatment in the past decade, it follows that the complications of fundoplication wrap are seen intermittently with recurrent symptoms of heartburn and dysphagia. Endoscopy and barium swallow are the initial investigations performed for suspected fundoplication wrap failures. However, with easy availability of multislice computed tomography (CT) and the multiplanar reconstructions along with reduction in familiarity with barium examinations, it would be prudent for the surgeons to familiarise themselves with various appearances of wrap failure. Currently, there is no accepted standard to report a fundoplication wrap failure. We did a thorough literature review on the use of CT scans for fundoplication wrap failure, created a multidisciplinary hernia team with prominent radiologists and surgeons and discussed the role of CT scans in the management of suspected wrap failure. After completing a pilot study with around 43 patients of wrap failure, we created a standard CT reporting format which helped us in the management of even the most complex cases. This standard reporting format can be used by trainees and surgeons worldwide. This would lead to uniformity in reporting, would help in decision-making and would also help create national and international primary wrap failure and redo fundoplication registry.</p><p><strong>Patients and methods: </strong>A total of 43 patients of wrap failure of multislice CT evaluation were analysed for type of failure along with factors responsible for the maintenance of integrity of the wrap. A novel checklist with structured reporting was used for the description of the post-operative imaging findings.</p><p><strong>Results: </strong>The demographic characteristics, post-operative imaging and intraoperative findings were described. The different types of wrap failure - Hinder types and associated pathologies were analysed for relative frequency in wrap failures. The novel structured reporting included wrap integrity and failure complications in post-operative patients of LARS.</p><p><strong>Conclusion: </strong>Fundoplication wrap failure is not an uncommon complication seen after LARS. A novel structured report with checklist will help the surgeons to evaluate the post-operative patient with recurrent symptoms. Multislice CT is the ideal modality for imaging suspected wrap failures after primary endoscopic evaluation. Multiplanar imaging with coronal and sagittal reconstructions is useful for understanding the integrity of the wrap and its ability to detect failure/migration.</p>","PeriodicalId":48905,"journal":{"name":"Journal of Minimal Access Surgery","volume":" ","pages":"153-161"},"PeriodicalIF":1.1000,"publicationDate":"2025-04-01","publicationTypes":"Journal Article","fieldsOfStudy":null,"isOpenAccess":false,"openAccessPdf":"https://www.ncbi.nlm.nih.gov/pmc/articles/PMC12054952/pdf/","citationCount":"0","resultStr":"{\"title\":\"Computed tomography roadmap for post-operative fundoplication imaging with a novel structured reporting checklist.\",\"authors\":\"Ritesh Kamat, Roy Patankar, Avinash Supe, Pallavi Dubey, Ravi Thapar, Vishakha Kalikar\",\"doi\":\"10.4103/jmas.jmas_325_23\",\"DOIUrl\":null,\"url\":null,\"abstract\":\"<p><strong>Introduction: </strong>With increasing numbers and acceptability of laparoscopic anti-reflux surgery (LARS) procedures over long-term medical treatment in the past decade, it follows that the complications of fundoplication wrap are seen intermittently with recurrent symptoms of heartburn and dysphagia. Endoscopy and barium swallow are the initial investigations performed for suspected fundoplication wrap failures. However, with easy availability of multislice computed tomography (CT) and the multiplanar reconstructions along with reduction in familiarity with barium examinations, it would be prudent for the surgeons to familiarise themselves with various appearances of wrap failure. Currently, there is no accepted standard to report a fundoplication wrap failure. We did a thorough literature review on the use of CT scans for fundoplication wrap failure, created a multidisciplinary hernia team with prominent radiologists and surgeons and discussed the role of CT scans in the management of suspected wrap failure. After completing a pilot study with around 43 patients of wrap failure, we created a standard CT reporting format which helped us in the management of even the most complex cases. This standard reporting format can be used by trainees and surgeons worldwide. This would lead to uniformity in reporting, would help in decision-making and would also help create national and international primary wrap failure and redo fundoplication registry.</p><p><strong>Patients and methods: </strong>A total of 43 patients of wrap failure of multislice CT evaluation were analysed for type of failure along with factors responsible for the maintenance of integrity of the wrap. A novel checklist with structured reporting was used for the description of the post-operative imaging findings.</p><p><strong>Results: </strong>The demographic characteristics, post-operative imaging and intraoperative findings were described. The different types of wrap failure - Hinder types and associated pathologies were analysed for relative frequency in wrap failures. The novel structured reporting included wrap integrity and failure complications in post-operative patients of LARS.</p><p><strong>Conclusion: </strong>Fundoplication wrap failure is not an uncommon complication seen after LARS. A novel structured report with checklist will help the surgeons to evaluate the post-operative patient with recurrent symptoms. Multislice CT is the ideal modality for imaging suspected wrap failures after primary endoscopic evaluation. Multiplanar imaging with coronal and sagittal reconstructions is useful for understanding the integrity of the wrap and its ability to detect failure/migration.</p>\",\"PeriodicalId\":48905,\"journal\":{\"name\":\"Journal of Minimal Access Surgery\",\"volume\":\" \",\"pages\":\"153-161\"},\"PeriodicalIF\":1.1000,\"publicationDate\":\"2025-04-01\",\"publicationTypes\":\"Journal Article\",\"fieldsOfStudy\":null,\"isOpenAccess\":false,\"openAccessPdf\":\"https://www.ncbi.nlm.nih.gov/pmc/articles/PMC12054952/pdf/\",\"citationCount\":\"0\",\"resultStr\":null,\"platform\":\"Semanticscholar\",\"paperid\":null,\"PeriodicalName\":\"Journal of Minimal Access Surgery\",\"FirstCategoryId\":\"3\",\"ListUrlMain\":\"https://doi.org/10.4103/jmas.jmas_325_23\",\"RegionNum\":4,\"RegionCategory\":\"医学\",\"ArticlePicture\":[],\"TitleCN\":null,\"AbstractTextCN\":null,\"PMCID\":null,\"EPubDate\":\"2024/11/29 0:00:00\",\"PubModel\":\"Epub\",\"JCR\":\"Q3\",\"JCRName\":\"SURGERY\",\"Score\":null,\"Total\":0}","platform":"Semanticscholar","paperid":null,"PeriodicalName":"Journal of Minimal Access Surgery","FirstCategoryId":"3","ListUrlMain":"https://doi.org/10.4103/jmas.jmas_325_23","RegionNum":4,"RegionCategory":"医学","ArticlePicture":[],"TitleCN":null,"AbstractTextCN":null,"PMCID":null,"EPubDate":"2024/11/29 0:00:00","PubModel":"Epub","JCR":"Q3","JCRName":"SURGERY","Score":null,"Total":0}
引用次数: 0

摘要

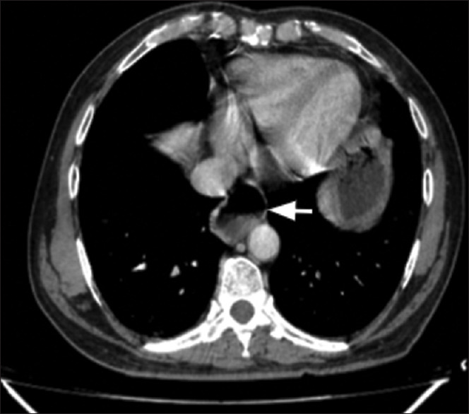
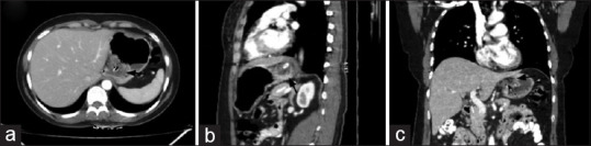
导读:在过去的十年中,随着腹腔镜抗反流手术(LARS)的数量和可接受性在长期医学治疗中不断增加,因此,盆底包裹术的并发症间歇性地出现胃灼热和吞咽困难的复发症状。内窥镜检查和钡餐是初步调查进行怀疑眼底包裹失败。然而,随着多层计算机断层扫描(CT)和多平面重建的容易获得以及对钡检查的熟悉程度的降低,外科医生熟悉包膜失败的各种表现将是谨慎的。目前,还没有公认的标准来报告应用程序封装失败。我们对使用CT扫描治疗基底膜包裹失败的文献进行了全面的回顾,并与著名的放射科医生和外科医生组成了一个多学科的疝气小组,讨论了CT扫描在治疗可疑包裹失败中的作用。在完成了对大约43例包膜失败患者的初步研究后,我们创建了一个标准的CT报告格式,这有助于我们管理即使是最复杂的病例。这个标准的报告格式可以被全世界的受训者和外科医生使用。这将导致报告的一致性,将有助于决策,也将有助于创建国家和国际主要包装失败和重做基金申请注册。患者与方法:对43例多层螺旋CT膜片失效患者进行评价,分析膜片失效类型及膜片完整性维持的影响因素。采用一种新颖的结构化报告清单来描述术后影像学发现。结果:描述了患者的人口学特征、术后影像学和术中表现。不同类型的包装失败-阻碍类型和相关病理分析相对频率在包装失败。新颖的结构化报告包括LARS术后患者的包裹完整性和失败并发症。结论:眼底包裹失败是LARS术后常见的并发症。一种新的结构报告与检查表将帮助外科医生评估术后复发症状的患者。多层螺旋CT是初步内镜评估后疑似包裹失败的理想成像方式。冠状面和矢状面重建的多平面成像有助于了解包裹层的完整性及其检测故障/迁移的能力。
本文章由计算机程序翻译,如有差异,请以英文原文为准。

Computed tomography roadmap for post-operative fundoplication imaging with a novel structured reporting checklist.

Computed tomography roadmap for post-operative fundoplication imaging with a novel structured reporting checklist.

Computed tomography roadmap for post-operative fundoplication imaging with a novel structured reporting checklist.

Computed tomography roadmap for post-operative fundoplication imaging with a novel structured reporting checklist.

Introduction: With increasing numbers and acceptability of laparoscopic anti-reflux surgery (LARS) procedures over long-term medical treatment in the past decade, it follows that the complications of fundoplication wrap are seen intermittently with recurrent symptoms of heartburn and dysphagia. Endoscopy and barium swallow are the initial investigations performed for suspected fundoplication wrap failures. However, with easy availability of multislice computed tomography (CT) and the multiplanar reconstructions along with reduction in familiarity with barium examinations, it would be prudent for the surgeons to familiarise themselves with various appearances of wrap failure. Currently, there is no accepted standard to report a fundoplication wrap failure. We did a thorough literature review on the use of CT scans for fundoplication wrap failure, created a multidisciplinary hernia team with prominent radiologists and surgeons and discussed the role of CT scans in the management of suspected wrap failure. After completing a pilot study with around 43 patients of wrap failure, we created a standard CT reporting format which helped us in the management of even the most complex cases. This standard reporting format can be used by trainees and surgeons worldwide. This would lead to uniformity in reporting, would help in decision-making and would also help create national and international primary wrap failure and redo fundoplication registry.

Patients and methods: A total of 43 patients of wrap failure of multislice CT evaluation were analysed for type of failure along with factors responsible for the maintenance of integrity of the wrap. A novel checklist with structured reporting was used for the description of the post-operative imaging findings.

Results: The demographic characteristics, post-operative imaging and intraoperative findings were described. The different types of wrap failure - Hinder types and associated pathologies were analysed for relative frequency in wrap failures. The novel structured reporting included wrap integrity and failure complications in post-operative patients of LARS.

Conclusion: Fundoplication wrap failure is not an uncommon complication seen after LARS. A novel structured report with checklist will help the surgeons to evaluate the post-operative patient with recurrent symptoms. Multislice CT is the ideal modality for imaging suspected wrap failures after primary endoscopic evaluation. Multiplanar imaging with coronal and sagittal reconstructions is useful for understanding the integrity of the wrap and its ability to detect failure/migration.

求助全文
通过发布文献求助,成功后即可免费获取论文全文。 去求助
来源期刊
CiteScore
1.70
自引率
0.00%
发文量
151
审稿时长
36 weeks
期刊介绍: Journal of Minimal Access Surgery (JMAS), the official publication of Indian Association of Gastrointestinal Endo Surgeons, launched in early 2005. The JMAS, a quarterly publication, is the first English-language journal from India, as also from this part of the world, dedicated to Minimal Access Surgery. The JMAS boasts an outstanding editorial board comprising of Indian and international experts in the field.
×
引用
GB/T 7714-2015
复制
MLA
复制
APA
复制
导出至
BibTeX EndNote RefMan NoteFirst NoteExpress
×
提示
您的信息不完整,为了账户安全,请先补充。
现在去补充
×
提示
您因"违规操作"
具体请查看互助需知
我知道了
×
提示
确定
请完成安全验证×
copy
已复制链接
快去分享给好友吧!
我知道了
右上角分享
点击右上角分享
0
联系我们:info@booksci.cn Book学术提供免费学术资源搜索服务,方便国内外学者检索中英文文献。致力于提供最便捷和优质的服务体验。 Copyright © 2023 布克学术 All rights reserved.
京ICP备2023020795号-1
ghs 京公网安备 11010802042870号
Book学术文献互助
Book学术文献互助群
群 号:604180095
Book学术官方微信