肾上腺外肾上腺皮质癌与多发性1型内分泌肿瘤相关。

IF 0.7 Q4 ENDOCRINOLOGY & METABOLISM
Deirdre Green, Kate Richards, Brendan Doyle, Chris Thompson, Arnold Hill, Michael W O'Reilly, Mark Sherlock
{"title":"肾上腺外肾上腺皮质癌与多发性1型内分泌肿瘤相关。","authors":"Deirdre Green, Kate Richards, Brendan Doyle, Chris Thompson, Arnold Hill, Michael W O'Reilly, Mark Sherlock","doi":"10.1530/EDM-23-0068","DOIUrl":null,"url":null,"abstract":"<p><strong>Summary: </strong>Adrenocortical carcinoma (ACC) is a rare malignant tumour arising from the adrenal cortex, with an estimated annual incidence of one to two patients per million. Ectopic ACCs are extremely rare. The majority of ACCs are sporadic; however, ACC has been linked with genetic disease processes, including multiple endocrine neoplasia type-1 (MEN-1). We present the case of a 66-year-old lady referred with newly diagnosed diabetes on a background of primary hyperparathyroidism. Examination revealed Cushingoid features, and hormonal evaluation confirmed ACTH-independent Cushing's syndrome. Morning cortisol after a 1 mg overnight dexamethasone suppression test was 548 nmol/L with an undetectable ACTH <3.0 pg/mL. Dehydroepiandrosterone sulphate was 5.3 μmol/L and androstenedione 3.49 nmol/L, both of which were normal. Testosterone was suppressed at <0.4 nmol/L. Imaging revealed a 6 × 6 × 4.5 cm right-sided presumed adrenal lesion, a pancreatic lesion (2.5 × 1.6 cm), and bilateral pulmonary nodules (0.9 × 0.8 cm, 0.7 × 0.6 cm, 0.3 cm). Right adrenalectomy was performed, and histology was consistent with an extra-adrenal ACC (Weiss score 5/9) within the peri-adrenal adipose tissue. The resected adrenal gland was normal. Lung biopsy confirmed metastatic ACC tissue, and endoscopic ultrasound-guided biopsy of the pancreatic lesion revealed a pancreatic neuroendocrine tumour, which was confirmed biochemically to be an insulinoma. Genetic assessment confirmed MEN-1. This case highlights the importance of screening for MEN-1 in at-risk patients and the need for close clinical follow-up. To our knowledge, this is the first case report of extra-adrenal ACC in MEN-1 syndrome.</p><p><strong>Learning points: </strong>Adrenal lesions in MEN-1 syndrome have significant malignant potential. Newly diagnosed lesions should be followed closely with short-interval imaging, and a lower threshold for surgical removal is suggested. Primary hyperparathyroidism is often the earliest laboratory or clinical manifestation of MEN-1 syndrome. A detailed medical and family history is vital in order to appropriately identify patients at risk of MEN-1. To our knowledge, this is the first case report of extra-adrenal adrenocortical carcinoma in MEN-1 syndrome.</p>","PeriodicalId":37467,"journal":{"name":"Endocrinology, Diabetes and Metabolism Case Reports","volume":"2024 4","pages":""},"PeriodicalIF":0.7000,"publicationDate":"2024-11-25","publicationTypes":"Journal Article","fieldsOfStudy":null,"isOpenAccess":false,"openAccessPdf":"https://www.ncbi.nlm.nih.gov/pmc/articles/PMC11623281/pdf/","citationCount":"0","resultStr":"{\"title\":\"Extra-adrenal adrenocortical cancer associated with multiple endocrine neoplasia type 1.\",\"authors\":\"Deirdre Green, Kate Richards, Brendan Doyle, Chris Thompson, Arnold Hill, Michael W O'Reilly, Mark Sherlock\",\"doi\":\"10.1530/EDM-23-0068\",\"DOIUrl\":null,\"url\":null,\"abstract\":\"<p><strong>Summary: </strong>Adrenocortical carcinoma (ACC) is a rare malignant tumour arising from the adrenal cortex, with an estimated annual incidence of one to two patients per million. Ectopic ACCs are extremely rare. The majority of ACCs are sporadic; however, ACC has been linked with genetic disease processes, including multiple endocrine neoplasia type-1 (MEN-1). We present the case of a 66-year-old lady referred with newly diagnosed diabetes on a background of primary hyperparathyroidism. Examination revealed Cushingoid features, and hormonal evaluation confirmed ACTH-independent Cushing's syndrome. Morning cortisol after a 1 mg overnight dexamethasone suppression test was 548 nmol/L with an undetectable ACTH <3.0 pg/mL. Dehydroepiandrosterone sulphate was 5.3 μmol/L and androstenedione 3.49 nmol/L, both of which were normal. Testosterone was suppressed at <0.4 nmol/L. Imaging revealed a 6 × 6 × 4.5 cm right-sided presumed adrenal lesion, a pancreatic lesion (2.5 × 1.6 cm), and bilateral pulmonary nodules (0.9 × 0.8 cm, 0.7 × 0.6 cm, 0.3 cm). Right adrenalectomy was performed, and histology was consistent with an extra-adrenal ACC (Weiss score 5/9) within the peri-adrenal adipose tissue. The resected adrenal gland was normal. Lung biopsy confirmed metastatic ACC tissue, and endoscopic ultrasound-guided biopsy of the pancreatic lesion revealed a pancreatic neuroendocrine tumour, which was confirmed biochemically to be an insulinoma. Genetic assessment confirmed MEN-1. This case highlights the importance of screening for MEN-1 in at-risk patients and the need for close clinical follow-up. To our knowledge, this is the first case report of extra-adrenal ACC in MEN-1 syndrome.</p><p><strong>Learning points: </strong>Adrenal lesions in MEN-1 syndrome have significant malignant potential. Newly diagnosed lesions should be followed closely with short-interval imaging, and a lower threshold for surgical removal is suggested. Primary hyperparathyroidism is often the earliest laboratory or clinical manifestation of MEN-1 syndrome. A detailed medical and family history is vital in order to appropriately identify patients at risk of MEN-1. To our knowledge, this is the first case report of extra-adrenal adrenocortical carcinoma in MEN-1 syndrome.</p>\",\"PeriodicalId\":37467,\"journal\":{\"name\":\"Endocrinology, Diabetes and Metabolism Case Reports\",\"volume\":\"2024 4\",\"pages\":\"\"},\"PeriodicalIF\":0.7000,\"publicationDate\":\"2024-11-25\",\"publicationTypes\":\"Journal Article\",\"fieldsOfStudy\":null,\"isOpenAccess\":false,\"openAccessPdf\":\"https://www.ncbi.nlm.nih.gov/pmc/articles/PMC11623281/pdf/\",\"citationCount\":\"0\",\"resultStr\":null,\"platform\":\"Semanticscholar\",\"paperid\":null,\"PeriodicalName\":\"Endocrinology, Diabetes and Metabolism Case Reports\",\"FirstCategoryId\":\"1085\",\"ListUrlMain\":\"https://doi.org/10.1530/EDM-23-0068\",\"RegionNum\":0,\"RegionCategory\":null,\"ArticlePicture\":[],\"TitleCN\":null,\"AbstractTextCN\":null,\"PMCID\":null,\"EPubDate\":\"2024/10/1 0:00:00\",\"PubModel\":\"Print\",\"JCR\":\"Q4\",\"JCRName\":\"ENDOCRINOLOGY & METABOLISM\",\"Score\":null,\"Total\":0}","platform":"Semanticscholar","paperid":null,"PeriodicalName":"Endocrinology, Diabetes and Metabolism Case Reports","FirstCategoryId":"1085","ListUrlMain":"https://doi.org/10.1530/EDM-23-0068","RegionNum":0,"RegionCategory":null,"ArticlePicture":[],"TitleCN":null,"AbstractTextCN":null,"PMCID":null,"EPubDate":"2024/10/1 0:00:00","PubModel":"Print","JCR":"Q4","JCRName":"ENDOCRINOLOGY & METABOLISM","Score":null,"Total":0}
引用次数: 0

摘要

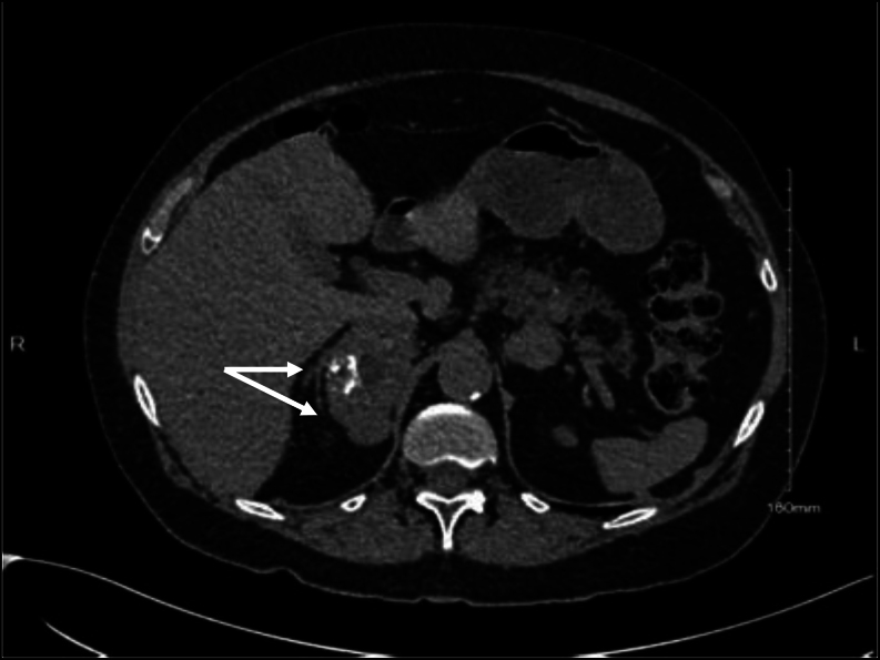
摘要:肾上腺皮质癌(ACC)是一种发生于肾上腺皮质的罕见恶性肿瘤,估计年发病率为百万分之一至两例。异位acc极为罕见。大多数acc是散发性的;然而,ACC与遗传疾病过程有关,包括多发性内分泌肿瘤1型(men1)。我们提出的情况下,66岁的妇女与新诊断糖尿病的背景下,原发性甲状旁腺功能亢进。检查显示库欣样特征,激素评估证实acth非依赖性库欣综合征。1 mg地塞米松夜间抑制试验后,早晨皮质醇为548 nmol/L, ACTH未检测到。新诊断的病变应密切跟踪短间隔成像,并建议降低手术切除的阈值。原发性甲状旁腺功能亢进往往是men1综合征最早的实验室或临床表现。详细的病史和家族史对于正确识别有man -1风险的患者至关重要。据我们所知,这是第一例报告的肾上腺外肾上腺皮质癌在men1综合征。
本文章由计算机程序翻译,如有差异,请以英文原文为准。

Extra-adrenal adrenocortical cancer associated with multiple endocrine neoplasia type 1.

Extra-adrenal adrenocortical cancer associated with multiple endocrine neoplasia type 1.

Extra-adrenal adrenocortical cancer associated with multiple endocrine neoplasia type 1.

Extra-adrenal adrenocortical cancer associated with multiple endocrine neoplasia type 1.

Summary: Adrenocortical carcinoma (ACC) is a rare malignant tumour arising from the adrenal cortex, with an estimated annual incidence of one to two patients per million. Ectopic ACCs are extremely rare. The majority of ACCs are sporadic; however, ACC has been linked with genetic disease processes, including multiple endocrine neoplasia type-1 (MEN-1). We present the case of a 66-year-old lady referred with newly diagnosed diabetes on a background of primary hyperparathyroidism. Examination revealed Cushingoid features, and hormonal evaluation confirmed ACTH-independent Cushing's syndrome. Morning cortisol after a 1 mg overnight dexamethasone suppression test was 548 nmol/L with an undetectable ACTH <3.0 pg/mL. Dehydroepiandrosterone sulphate was 5.3 μmol/L and androstenedione 3.49 nmol/L, both of which were normal. Testosterone was suppressed at <0.4 nmol/L. Imaging revealed a 6 × 6 × 4.5 cm right-sided presumed adrenal lesion, a pancreatic lesion (2.5 × 1.6 cm), and bilateral pulmonary nodules (0.9 × 0.8 cm, 0.7 × 0.6 cm, 0.3 cm). Right adrenalectomy was performed, and histology was consistent with an extra-adrenal ACC (Weiss score 5/9) within the peri-adrenal adipose tissue. The resected adrenal gland was normal. Lung biopsy confirmed metastatic ACC tissue, and endoscopic ultrasound-guided biopsy of the pancreatic lesion revealed a pancreatic neuroendocrine tumour, which was confirmed biochemically to be an insulinoma. Genetic assessment confirmed MEN-1. This case highlights the importance of screening for MEN-1 in at-risk patients and the need for close clinical follow-up. To our knowledge, this is the first case report of extra-adrenal ACC in MEN-1 syndrome.

Learning points: Adrenal lesions in MEN-1 syndrome have significant malignant potential. Newly diagnosed lesions should be followed closely with short-interval imaging, and a lower threshold for surgical removal is suggested. Primary hyperparathyroidism is often the earliest laboratory or clinical manifestation of MEN-1 syndrome. A detailed medical and family history is vital in order to appropriately identify patients at risk of MEN-1. To our knowledge, this is the first case report of extra-adrenal adrenocortical carcinoma in MEN-1 syndrome.

求助全文
通过发布文献求助,成功后即可免费获取论文全文。 去求助
来源期刊
CiteScore
1.50
自引率
0.00%
发文量
142
审稿时长
9 weeks
期刊介绍: Endocrinology, Diabetes & Metabolism Case Reports publishes case reports on common and rare conditions in all areas of clinical endocrinology, diabetes and metabolism. Articles should include clear learning points which readers can use to inform medical education or clinical practice. The types of cases of interest to Endocrinology, Diabetes & Metabolism Case Reports include: -Insight into disease pathogenesis or mechanism of therapy - Novel diagnostic procedure - Novel treatment - Unique/unexpected symptoms or presentations of a disease - New disease or syndrome: presentations/diagnosis/management - Unusual effects of medical treatment - Error in diagnosis/pitfalls and caveats
×
引用
GB/T 7714-2015
复制
MLA
复制
APA
复制
导出至
BibTeX EndNote RefMan NoteFirst NoteExpress
×
提示
您的信息不完整,为了账户安全,请先补充。
现在去补充
×
提示
您因"违规操作"
具体请查看互助需知
我知道了
×
提示
确定
请完成安全验证×
copy
已复制链接
快去分享给好友吧!
我知道了
右上角分享
点击右上角分享
0
联系我们:info@booksci.cn Book学术提供免费学术资源搜索服务,方便国内外学者检索中英文文献。致力于提供最便捷和优质的服务体验。 Copyright © 2023 布克学术 All rights reserved.
京ICP备2023020795号-1
ghs 京公网安备 11010802042870号
Book学术文献互助
Book学术文献互助群
群 号:604180095
Book学术官方微信