脑膜瘤的急诊手术治疗:影响早期疗效和并发症的因素。

Asian journal of neurosurgery Pub Date : 2024-09-30 eCollection Date: 2024-12-01 DOI:10.1055/s-0044-1790514
Gaurav Tyagi, Mustafa Iqbal Chandshah, Gyani Jail Singh Birua, Nishanth Sadashiva, Subhas Konar, Manish Beniwal, A R Prabhuraj, T S Lingaraju, Gopal Krishna, Nupur Pruthi, Dhaval P Shukla
{"title":"脑膜瘤的急诊手术治疗:影响早期疗效和并发症的因素。","authors":"Gaurav Tyagi, Mustafa Iqbal Chandshah, Gyani Jail Singh Birua, Nishanth Sadashiva, Subhas Konar, Manish Beniwal, A R Prabhuraj, T S Lingaraju, Gopal Krishna, Nupur Pruthi, Dhaval P Shukla","doi":"10.1055/s-0044-1790514","DOIUrl":null,"url":null,"abstract":"<p><p><b>Objective</b>  Intracranial meningiomas constitute a third of all brain tumors and are among the most common indications for neurosurgical procedures performed worldwide. Most meningiomas present with an indolent, longstanding history. However, the data on outcomes of emergency surgeries for meningioma is limited. This study aims to present our experience of urgent surgical intervention in patients with meningiomas presenting acutely. We also analyze the factors influencing early neurological outcomes and complications. <b>Materials and Methods</b>  All nonelective meningioma surgeries done on an emergency basis between January 2015 and December 2019 were retrospectively reviewed. Patients' demography, clinical, and radiological details were recorded for analysis. The surgical procedure, complications, and follow-up outcomes were also included for statistical comparison. <b>Results</b>  Forty-four patients qualified for the study with a mean age of 49.4 ± 13.4 years. The average presenting Glasgow Coma Scale (GCS) was 13; 47.7% of cases presented with altered sensorium. The most common lesion location was convexity (25, 56.8%), and the mean tumor volume was 74.1 ± 36.5 mL. Gross peritumor edema with mass effect was seen in 16 patients (36.4%). The mean Karnofsky Performance Status at 3 months' follow-up was 89.3 ± 18.2. Patient age and tumor size did not affect outcomes. The presenting GCS of < 15 (odds ratio [OR] 8.8, confidence interval [CI] 0.95-80.72, <i>p</i> 0.03) and the occurrence of postoperative complications (OR 25.71, CI 2.65-249.2, <i>p</i> 0.001) were associated with unfavorable outcomes. Although not statistically significant, a poor tumor grade was also associated with worse clinical outcomes ( <i>p</i> 0.20). <b>Conclusion</b>  Emergency meningioma surgery has comparable outcomes and complication rates with routine elective procedures. Grade II/III meningiomas are more likely to present with acute neurological deterioration and carry a relatively worse prognosis. Poor presenting GCS and postoperative complications are the most critical factors associated with poor patient outcomes in our study.</p>","PeriodicalId":94300,"journal":{"name":"Asian journal of neurosurgery","volume":"19 4","pages":"715-720"},"PeriodicalIF":0.0000,"publicationDate":"2024-09-30","publicationTypes":"Journal Article","fieldsOfStudy":null,"isOpenAccess":false,"openAccessPdf":"https://www.ncbi.nlm.nih.gov/pmc/articles/PMC11588614/pdf/","citationCount":"0","resultStr":"{\"title\":\"Emergency Surgical Management of Meningiomas: Factors Affecting Early Outcomes and Complications.\",\"authors\":\"Gaurav Tyagi, Mustafa Iqbal Chandshah, Gyani Jail Singh Birua, Nishanth Sadashiva, Subhas Konar, Manish Beniwal, A R Prabhuraj, T S Lingaraju, Gopal Krishna, Nupur Pruthi, Dhaval P Shukla\",\"doi\":\"10.1055/s-0044-1790514\",\"DOIUrl\":null,\"url\":null,\"abstract\":\"<p><p><b>Objective</b>  Intracranial meningiomas constitute a third of all brain tumors and are among the most common indications for neurosurgical procedures performed worldwide. Most meningiomas present with an indolent, longstanding history. However, the data on outcomes of emergency surgeries for meningioma is limited. This study aims to present our experience of urgent surgical intervention in patients with meningiomas presenting acutely. We also analyze the factors influencing early neurological outcomes and complications. <b>Materials and Methods</b>  All nonelective meningioma surgeries done on an emergency basis between January 2015 and December 2019 were retrospectively reviewed. Patients' demography, clinical, and radiological details were recorded for analysis. The surgical procedure, complications, and follow-up outcomes were also included for statistical comparison. <b>Results</b>  Forty-four patients qualified for the study with a mean age of 49.4 ± 13.4 years. The average presenting Glasgow Coma Scale (GCS) was 13; 47.7% of cases presented with altered sensorium. The most common lesion location was convexity (25, 56.8%), and the mean tumor volume was 74.1 ± 36.5 mL. Gross peritumor edema with mass effect was seen in 16 patients (36.4%). The mean Karnofsky Performance Status at 3 months' follow-up was 89.3 ± 18.2. Patient age and tumor size did not affect outcomes. The presenting GCS of < 15 (odds ratio [OR] 8.8, confidence interval [CI] 0.95-80.72, <i>p</i> 0.03) and the occurrence of postoperative complications (OR 25.71, CI 2.65-249.2, <i>p</i> 0.001) were associated with unfavorable outcomes. Although not statistically significant, a poor tumor grade was also associated with worse clinical outcomes ( <i>p</i> 0.20). <b>Conclusion</b>  Emergency meningioma surgery has comparable outcomes and complication rates with routine elective procedures. Grade II/III meningiomas are more likely to present with acute neurological deterioration and carry a relatively worse prognosis. Poor presenting GCS and postoperative complications are the most critical factors associated with poor patient outcomes in our study.</p>\",\"PeriodicalId\":94300,\"journal\":{\"name\":\"Asian journal of neurosurgery\",\"volume\":\"19 4\",\"pages\":\"715-720\"},\"PeriodicalIF\":0.0000,\"publicationDate\":\"2024-09-30\",\"publicationTypes\":\"Journal Article\",\"fieldsOfStudy\":null,\"isOpenAccess\":false,\"openAccessPdf\":\"https://www.ncbi.nlm.nih.gov/pmc/articles/PMC11588614/pdf/\",\"citationCount\":\"0\",\"resultStr\":null,\"platform\":\"Semanticscholar\",\"paperid\":null,\"PeriodicalName\":\"Asian journal of neurosurgery\",\"FirstCategoryId\":\"1085\",\"ListUrlMain\":\"https://doi.org/10.1055/s-0044-1790514\",\"RegionNum\":0,\"RegionCategory\":null,\"ArticlePicture\":[],\"TitleCN\":null,\"AbstractTextCN\":null,\"PMCID\":null,\"EPubDate\":\"2024/12/1 0:00:00\",\"PubModel\":\"eCollection\",\"JCR\":\"\",\"JCRName\":\"\",\"Score\":null,\"Total\":0}","platform":"Semanticscholar","paperid":null,"PeriodicalName":"Asian journal of neurosurgery","FirstCategoryId":"1085","ListUrlMain":"https://doi.org/10.1055/s-0044-1790514","RegionNum":0,"RegionCategory":null,"ArticlePicture":[],"TitleCN":null,"AbstractTextCN":null,"PMCID":null,"EPubDate":"2024/12/1 0:00:00","PubModel":"eCollection","JCR":"","JCRName":"","Score":null,"Total":0}
引用次数: 0

摘要

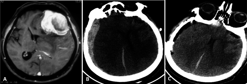
目的 颅内脑膜瘤占所有脑肿瘤的三分之一,是全世界神经外科手术最常见的适应症之一。大多数脑膜瘤症状不明显,病程较长。然而,有关脑膜瘤急诊手术结果的数据却很有限。本研究旨在介绍我们对急诊脑膜瘤患者进行紧急手术干预的经验。我们还分析了影响早期神经系统预后和并发症的因素。材料和方法 回顾性分析了 2015 年 1 月至 2019 年 12 月间所有非选择性急诊脑膜瘤手术。记录患者的人口统计学、临床和放射学细节,以便进行分析。手术过程、并发症和随访结果也包括在内,以便进行统计比较。结果 44 名患者符合研究条件,平均年龄(49.4±13.4)岁。患者的格拉斯哥昏迷量表(GCS)平均值为 13;47.7% 的病例出现感觉改变。最常见的病变位置是凸面(25 例,占 56.8%),平均肿瘤体积为 74.1 ± 36.5 mL。16例患者(36.4%)出现肿瘤周围水肿和肿块效应。随访 3 个月时的平均 Karnofsky 表情状态为 89.3 ± 18.2。患者年龄和肿瘤大小对预后没有影响。出现 GCS(P 0.03)和术后并发症(OR 25.71,CI 2.65-249.2,P 0.001)与不良预后有关。虽然没有统计学意义,但肿瘤分级较低也与较差的临床预后有关(P 0.20)。结论 脑膜瘤急诊手术的疗效和并发症发生率与常规择期手术相当。II/III 级脑膜瘤更有可能出现急性神经功能恶化,预后相对较差。在我们的研究中,GCS表现不佳和术后并发症是导致患者预后不佳的最关键因素。
本文章由计算机程序翻译,如有差异,请以英文原文为准。

Emergency Surgical Management of Meningiomas: Factors Affecting Early Outcomes and Complications.

Emergency Surgical Management of Meningiomas: Factors Affecting Early Outcomes and Complications.

Emergency Surgical Management of Meningiomas: Factors Affecting Early Outcomes and Complications.

Emergency Surgical Management of Meningiomas: Factors Affecting Early Outcomes and Complications.

Objective  Intracranial meningiomas constitute a third of all brain tumors and are among the most common indications for neurosurgical procedures performed worldwide. Most meningiomas present with an indolent, longstanding history. However, the data on outcomes of emergency surgeries for meningioma is limited. This study aims to present our experience of urgent surgical intervention in patients with meningiomas presenting acutely. We also analyze the factors influencing early neurological outcomes and complications. Materials and Methods  All nonelective meningioma surgeries done on an emergency basis between January 2015 and December 2019 were retrospectively reviewed. Patients' demography, clinical, and radiological details were recorded for analysis. The surgical procedure, complications, and follow-up outcomes were also included for statistical comparison. Results  Forty-four patients qualified for the study with a mean age of 49.4 ± 13.4 years. The average presenting Glasgow Coma Scale (GCS) was 13; 47.7% of cases presented with altered sensorium. The most common lesion location was convexity (25, 56.8%), and the mean tumor volume was 74.1 ± 36.5 mL. Gross peritumor edema with mass effect was seen in 16 patients (36.4%). The mean Karnofsky Performance Status at 3 months' follow-up was 89.3 ± 18.2. Patient age and tumor size did not affect outcomes. The presenting GCS of < 15 (odds ratio [OR] 8.8, confidence interval [CI] 0.95-80.72, p 0.03) and the occurrence of postoperative complications (OR 25.71, CI 2.65-249.2, p 0.001) were associated with unfavorable outcomes. Although not statistically significant, a poor tumor grade was also associated with worse clinical outcomes ( p 0.20). Conclusion  Emergency meningioma surgery has comparable outcomes and complication rates with routine elective procedures. Grade II/III meningiomas are more likely to present with acute neurological deterioration and carry a relatively worse prognosis. Poor presenting GCS and postoperative complications are the most critical factors associated with poor patient outcomes in our study.

求助全文
通过发布文献求助,成功后即可免费获取论文全文。 去求助
来源期刊
自引率
0.00%
发文量
0
×
引用
GB/T 7714-2015
复制
MLA
复制
APA
复制
导出至
BibTeX EndNote RefMan NoteFirst NoteExpress
×
提示
您的信息不完整,为了账户安全,请先补充。
现在去补充
×
提示
您因"违规操作"
具体请查看互助需知
我知道了
×
提示
确定
请完成安全验证×
copy
已复制链接
快去分享给好友吧!
我知道了
右上角分享
点击右上角分享
0
联系我们:info@booksci.cn Book学术提供免费学术资源搜索服务,方便国内外学者检索中英文文献。致力于提供最便捷和优质的服务体验。 Copyright © 2023 布克学术 All rights reserved.
京ICP备2023020795号-1
ghs 京公网安备 11010802042870号
Book学术文献互助
Book学术文献互助群
群 号:604180095
Book学术官方微信